牙周病与年龄相关性黄斑病变1例报告。

IF 0.6 Q3 MEDICINE, GENERAL & INTERNAL
Clinical Medicine Insights. Case Reports Pub Date : 2025-04-29 eCollection Date: 2025-01-01 DOI:10.1177/11795476251333251
Francesco Mattia Ceruso, Stephany Gabriela Zambrano Leon, Luca Fiorillo, Gabriele Cervino, Marco Cicciù, Artak Heboyan, Francesco Pernice, Silvio Meloni, Marco Tallarico
{"title":"牙周病与年龄相关性黄斑病变1例报告。","authors":"Francesco Mattia Ceruso, Stephany Gabriela Zambrano Leon, Luca Fiorillo, Gabriele Cervino, Marco Cicciù, Artak Heboyan, Francesco Pernice, Silvio Meloni, Marco Tallarico","doi":"10.1177/11795476251333251","DOIUrl":null,"url":null,"abstract":"<p><p>Age-related macular degeneration (AMD) is a leading cause of significant vision impairment in individuals aged 50 and older, primarily impacting central vision. This study seeks to investigate potential associations between periodontal disease and age-related maculopathy in the analyzed clinical case. A male subject of 66 years old, with age-related degenerative maculopathy and severe periodontal disease, was evaluated and treated. After an initial phase of non-surgical causal periodontal therapy, the periodontal indices were re-evaluated. In addition, the extraction of hopeless teeth replaced by dental implants was performed. A retinal topography was used to assess possible regression of the pathology, and proper anti-VEGF therapy was administered. The results showed a regression of periodontal disease and an improvement of the degenerative maculopathy. These preliminary results, even if encouraging, should be supported by larger prospective trials.</p>","PeriodicalId":10357,"journal":{"name":"Clinical Medicine Insights. Case Reports","volume":"18 ","pages":"11795476251333251"},"PeriodicalIF":0.6000,"publicationDate":"2025-04-29","publicationTypes":"Journal Article","fieldsOfStudy":null,"isOpenAccess":false,"openAccessPdf":"https://www.ncbi.nlm.nih.gov/pmc/articles/PMC12044269/pdf/","citationCount":"0","resultStr":"{\"title\":\"Periodontal Disease and Age-Related Maculopathy: A Case Report.\",\"authors\":\"Francesco Mattia Ceruso, Stephany Gabriela Zambrano Leon, Luca Fiorillo, Gabriele Cervino, Marco Cicciù, Artak Heboyan, Francesco Pernice, Silvio Meloni, Marco Tallarico\",\"doi\":\"10.1177/11795476251333251\",\"DOIUrl\":null,\"url\":null,\"abstract\":\"<p><p>Age-related macular degeneration (AMD) is a leading cause of significant vision impairment in individuals aged 50 and older, primarily impacting central vision. This study seeks to investigate potential associations between periodontal disease and age-related maculopathy in the analyzed clinical case. A male subject of 66 years old, with age-related degenerative maculopathy and severe periodontal disease, was evaluated and treated. After an initial phase of non-surgical causal periodontal therapy, the periodontal indices were re-evaluated. In addition, the extraction of hopeless teeth replaced by dental implants was performed. A retinal topography was used to assess possible regression of the pathology, and proper anti-VEGF therapy was administered. The results showed a regression of periodontal disease and an improvement of the degenerative maculopathy. These preliminary results, even if encouraging, should be supported by larger prospective trials.</p>\",\"PeriodicalId\":10357,\"journal\":{\"name\":\"Clinical Medicine Insights. Case Reports\",\"volume\":\"18 \",\"pages\":\"11795476251333251\"},\"PeriodicalIF\":0.6000,\"publicationDate\":\"2025-04-29\",\"publicationTypes\":\"Journal Article\",\"fieldsOfStudy\":null,\"isOpenAccess\":false,\"openAccessPdf\":\"https://www.ncbi.nlm.nih.gov/pmc/articles/PMC12044269/pdf/\",\"citationCount\":\"0\",\"resultStr\":null,\"platform\":\"Semanticscholar\",\"paperid\":null,\"PeriodicalName\":\"Clinical Medicine Insights. Case Reports\",\"FirstCategoryId\":\"1085\",\"ListUrlMain\":\"https://doi.org/10.1177/11795476251333251\",\"RegionNum\":0,\"RegionCategory\":null,\"ArticlePicture\":[],\"TitleCN\":null,\"AbstractTextCN\":null,\"PMCID\":null,\"EPubDate\":\"2025/1/1 0:00:00\",\"PubModel\":\"eCollection\",\"JCR\":\"Q3\",\"JCRName\":\"MEDICINE, GENERAL & INTERNAL\",\"Score\":null,\"Total\":0}","platform":"Semanticscholar","paperid":null,"PeriodicalName":"Clinical Medicine Insights. Case Reports","FirstCategoryId":"1085","ListUrlMain":"https://doi.org/10.1177/11795476251333251","RegionNum":0,"RegionCategory":null,"ArticlePicture":[],"TitleCN":null,"AbstractTextCN":null,"PMCID":null,"EPubDate":"2025/1/1 0:00:00","PubModel":"eCollection","JCR":"Q3","JCRName":"MEDICINE, GENERAL & INTERNAL","Score":null,"Total":0}
引用次数: 0

摘要

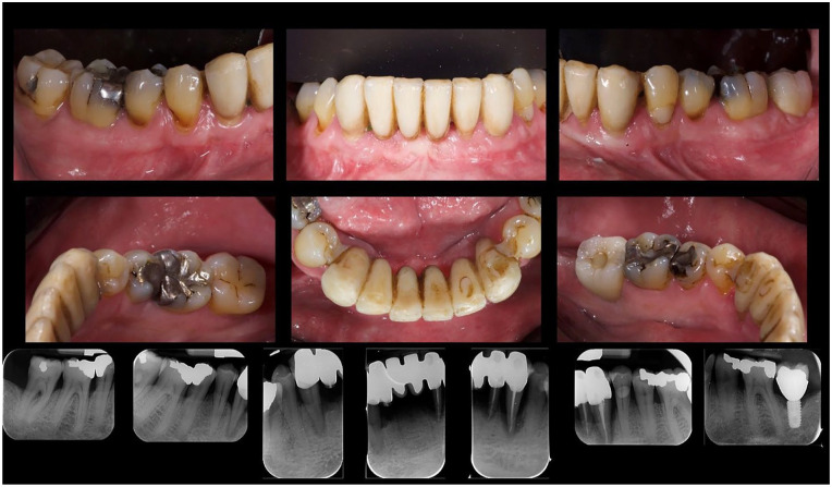
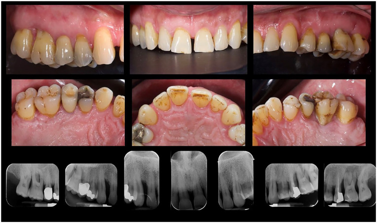
年龄相关性黄斑变性(AMD)是50岁及以上人群视力受损的主要原因,主要影响中央视力。本研究旨在调查牙周病与年龄相关性黄斑病变之间的潜在关联。66岁男性受试者,患有年龄相关性退行性黄斑病变和严重牙周病,评估和治疗。在最初阶段的非手术牙周治疗后,重新评估牙周指标。此外,还进行了用种植体代替无希望牙的拔牙。视网膜地形图用于评估可能的病理消退,并给予适当的抗vegf治疗。结果显示牙周病的消退和退行性黄斑病变的改善。这些初步结果即使令人鼓舞,也应该得到更大规模前瞻性试验的支持。
本文章由计算机程序翻译,如有差异,请以英文原文为准。

Periodontal Disease and Age-Related Maculopathy: A Case Report.

Periodontal Disease and Age-Related Maculopathy: A Case Report.

Periodontal Disease and Age-Related Maculopathy: A Case Report.

Periodontal Disease and Age-Related Maculopathy: A Case Report.

Age-related macular degeneration (AMD) is a leading cause of significant vision impairment in individuals aged 50 and older, primarily impacting central vision. This study seeks to investigate potential associations between periodontal disease and age-related maculopathy in the analyzed clinical case. A male subject of 66 years old, with age-related degenerative maculopathy and severe periodontal disease, was evaluated and treated. After an initial phase of non-surgical causal periodontal therapy, the periodontal indices were re-evaluated. In addition, the extraction of hopeless teeth replaced by dental implants was performed. A retinal topography was used to assess possible regression of the pathology, and proper anti-VEGF therapy was administered. The results showed a regression of periodontal disease and an improvement of the degenerative maculopathy. These preliminary results, even if encouraging, should be supported by larger prospective trials.

求助全文
通过发布文献求助,成功后即可免费获取论文全文。 去求助
来源期刊
Clinical Medicine Insights. Case Reports
Clinical Medicine Insights. Case Reports MEDICINE, GENERAL & INTERNAL-
CiteScore
1.10
自引率
0.00%
发文量
57
审稿时长
8 weeks
×
引用
GB/T 7714-2015
复制
MLA
复制
APA
复制
导出至
BibTeX EndNote RefMan NoteFirst NoteExpress
×
提示
您的信息不完整,为了账户安全,请先补充。
现在去补充
×
提示
您因"违规操作"
具体请查看互助需知
我知道了
×
提示
确定
请完成安全验证×
copy
已复制链接
快去分享给好友吧!
我知道了
右上角分享
点击右上角分享
0
联系我们:info@booksci.cn Book学术提供免费学术资源搜索服务,方便国内外学者检索中英文文献。致力于提供最便捷和优质的服务体验。 Copyright © 2023 布克学术 All rights reserved.
京ICP备2023020795号-1
ghs 京公网安备 11010802042870号
Book学术文献互助
Book学术文献互助群
群 号:604180095
Book学术官方微信