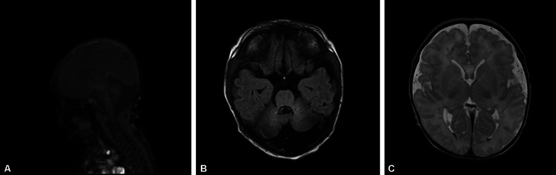
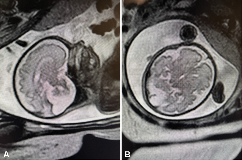
婴儿有已知的丹迪步行者畸形和喂养不良被发现有额外的诊断。

IF 0.6 Q4 PEDIATRICS
AJP Reports Pub Date : 2025-04-08 eCollection Date: 2025-04-01 DOI:10.1055/a-2562-1814
Jacob Q Lin, April Cooke, Nick Townley
{"title":"婴儿有已知的丹迪步行者畸形和喂养不良被发现有额外的诊断。","authors":"Jacob Q Lin, April Cooke, Nick Townley","doi":"10.1055/a-2562-1814","DOIUrl":null,"url":null,"abstract":"<p><strong>Background: </strong>There are few reported cases of Dandy-Walker Malformation associated with Noonan syndrome (NS).</p><p><strong>Case presentation: </strong>We herein present a case of a late preterm infant with Dandy-Walker malformation (DWM) that underwent a workup for feeding difficulty and was found to have NS. This is one of the few reported cases of DWM with NS having a PTPN11 gene mutation.</p><p><strong>Conclusion: </strong>Overlapping clinical features may disguise diagnosis in infants with multiple pathologies.</p>","PeriodicalId":7645,"journal":{"name":"AJP Reports","volume":"15 2","pages":"e43-e46"},"PeriodicalIF":0.6000,"publicationDate":"2025-04-08","publicationTypes":"Journal Article","fieldsOfStudy":null,"isOpenAccess":false,"openAccessPdf":"https://www.ncbi.nlm.nih.gov/pmc/articles/PMC12020535/pdf/","citationCount":"0","resultStr":"{\"title\":\"Infant with Known Dandy-Walker Malformation and Poor Feeding Found to Have Additional Diagnosis.\",\"authors\":\"Jacob Q Lin, April Cooke, Nick Townley\",\"doi\":\"10.1055/a-2562-1814\",\"DOIUrl\":null,\"url\":null,\"abstract\":\"<p><strong>Background: </strong>There are few reported cases of Dandy-Walker Malformation associated with Noonan syndrome (NS).</p><p><strong>Case presentation: </strong>We herein present a case of a late preterm infant with Dandy-Walker malformation (DWM) that underwent a workup for feeding difficulty and was found to have NS. This is one of the few reported cases of DWM with NS having a PTPN11 gene mutation.</p><p><strong>Conclusion: </strong>Overlapping clinical features may disguise diagnosis in infants with multiple pathologies.</p>\",\"PeriodicalId\":7645,\"journal\":{\"name\":\"AJP Reports\",\"volume\":\"15 2\",\"pages\":\"e43-e46\"},\"PeriodicalIF\":0.6000,\"publicationDate\":\"2025-04-08\",\"publicationTypes\":\"Journal Article\",\"fieldsOfStudy\":null,\"isOpenAccess\":false,\"openAccessPdf\":\"https://www.ncbi.nlm.nih.gov/pmc/articles/PMC12020535/pdf/\",\"citationCount\":\"0\",\"resultStr\":null,\"platform\":\"Semanticscholar\",\"paperid\":null,\"PeriodicalName\":\"AJP Reports\",\"FirstCategoryId\":\"1085\",\"ListUrlMain\":\"https://doi.org/10.1055/a-2562-1814\",\"RegionNum\":0,\"RegionCategory\":null,\"ArticlePicture\":[],\"TitleCN\":null,\"AbstractTextCN\":null,\"PMCID\":null,\"EPubDate\":\"2025/4/1 0:00:00\",\"PubModel\":\"eCollection\",\"JCR\":\"Q4\",\"JCRName\":\"PEDIATRICS\",\"Score\":null,\"Total\":0}","platform":"Semanticscholar","paperid":null,"PeriodicalName":"AJP Reports","FirstCategoryId":"1085","ListUrlMain":"https://doi.org/10.1055/a-2562-1814","RegionNum":0,"RegionCategory":null,"ArticlePicture":[],"TitleCN":null,"AbstractTextCN":null,"PMCID":null,"EPubDate":"2025/4/1 0:00:00","PubModel":"eCollection","JCR":"Q4","JCRName":"PEDIATRICS","Score":null,"Total":0}
引用次数: 0

摘要

背景:很少有与努南综合征(NS)相关的Dandy-Walker畸形的报道。病例介绍:我们在此提出一个患有Dandy-Walker畸形(DWM)的晚期早产儿的病例,该婴儿接受了喂养困难的检查,并被发现患有NS。这是少数报道的DWM合并NS具有PTPN11基因突变的病例之一。结论:重叠的临床特征可能会掩盖婴儿多重病理的诊断。
本文章由计算机程序翻译,如有差异,请以英文原文为准。

Infant with Known Dandy-Walker Malformation and Poor Feeding Found to Have Additional Diagnosis.

Infant with Known Dandy-Walker Malformation and Poor Feeding Found to Have Additional Diagnosis.

Infant with Known Dandy-Walker Malformation and Poor Feeding Found to Have Additional Diagnosis.

Infant with Known Dandy-Walker Malformation and Poor Feeding Found to Have Additional Diagnosis.

Background: There are few reported cases of Dandy-Walker Malformation associated with Noonan syndrome (NS).

Case presentation: We herein present a case of a late preterm infant with Dandy-Walker malformation (DWM) that underwent a workup for feeding difficulty and was found to have NS. This is one of the few reported cases of DWM with NS having a PTPN11 gene mutation.

Conclusion: Overlapping clinical features may disguise diagnosis in infants with multiple pathologies.

求助全文
通过发布文献求助,成功后即可免费获取论文全文。 去求助
来源期刊
AJP Reports
AJP Reports PEDIATRICS-
CiteScore
2.20
自引率
0.00%
发文量
30
审稿时长
12 weeks
×
引用
GB/T 7714-2015
复制
MLA
复制
APA
复制
导出至
BibTeX EndNote RefMan NoteFirst NoteExpress
×
提示
您的信息不完整,为了账户安全,请先补充。
现在去补充
×
提示
您因"违规操作"
具体请查看互助需知
我知道了
×
提示
确定
请完成安全验证×
copy
已复制链接
快去分享给好友吧!
我知道了
右上角分享
点击右上角分享
0
联系我们:info@booksci.cn Book学术提供免费学术资源搜索服务,方便国内外学者检索中英文文献。致力于提供最便捷和优质的服务体验。 Copyright © 2023 布克学术 All rights reserved.
京ICP备2023020795号-1
ghs 京公网安备 11010802042870号
Book学术文献互助
Book学术文献互助群
群 号:604180095
Book学术官方微信