常染色体隐性帕金森病的多模态影像学分析。

IF 2.5 4区 医学 Q2 RADIOLOGY, NUCLEAR MEDICINE & MEDICAL IMAGING
Başak Soydaş-Turan, Gül Yalçın-Çakmaklı, Eser Lay Ergün, Hacer Dasgin, Kader Karli Oguz, Bulent Elibol, Omer Ugur, Bilge Volkan-Salanci
{"title":"常染色体隐性帕金森病的多模态影像学分析。","authors":"Başak Soydaş-Turan,&nbsp;Gül Yalçın-Çakmaklı,&nbsp;Eser Lay Ergün,&nbsp;Hacer Dasgin,&nbsp;Kader Karli Oguz,&nbsp;Bulent Elibol,&nbsp;Omer Ugur,&nbsp;Bilge Volkan-Salanci","doi":"10.1007/s12149-025-02053-4","DOIUrl":null,"url":null,"abstract":"<div><h3>Objective</h3><p>Pathophysiological backgrounds of idiopathic Parkinson’s disease (IPD) and autosomal recessive monogenic Parkinson’s disease (AR-PD) have common features that can be assessed through multimodal imaging. In this study, the striatal and myocardial dopaminergic innervation, brain 18F-FDG metabolism, resting-state functional activity of basal ganglia network (BGN) and white-matter (WM) microstructure were evaluated in AR-PD with respect to IPD, to investigate whether AR-PD can be subtyped as “brain-first” parkinsonism according to recent etiopathogenetic classification effort.</p><h3>Methods</h3><p>Forty patients (17 with Parkin, 3 with DJ-1 mutations and 20 with IPD) were included. Striatal dopaminergic innervation was assessed semi-quantitatively by 18F-DOPA PET, and cardiac 18F-DOPA uptake was also evaluated. Brain 18F-FDG PET images were evaluated visually. Resting-state functional MRI and diffusion tensor imaging (DTI) were used to assess the BGN activity and WM microstructural alterations.</p><h3>Results</h3><p>AR-PD patients showed significantly decreased 18F-DOPA uptake in caudate corpus compared to both IPD and controls, with a more symmetrical striatal dopaminergic denervation. Myocardial 18F-DOPA uptake in AR-PD was similar to controls, while it was significantly reduced in IPD. There was no significant difference in cortical 18F-FDG metabolism and functional activity of BGN between PD groups. The DTI data revealed more extensive WM microstructural damage in AR-PD compared to IPD.</p><h3>Conclusions</h3><p>AR-PD group showed additional significant decreased 18F-DOPA uptake in caudate corpus and more symmetrical striatal denervation. Additionally, relatively preserved myocardial innervation, cortical metabolic and WM microstructural changes suggest the possibility of “brain-first” type progression in AR-PD. Also, 18F-DOPA PET/CT may be a practical tool for evaluating dopaminergic innervation of striatum and heart together, but further evaluation is needed in this area.</p></div>","PeriodicalId":8007,"journal":{"name":"Annals of Nuclear Medicine","volume":"39 8","pages":"813 - 822"},"PeriodicalIF":2.5000,"publicationDate":"2025-04-24","publicationTypes":"Journal Article","fieldsOfStudy":null,"isOpenAccess":false,"openAccessPdf":"https://www.ncbi.nlm.nih.gov/pmc/articles/PMC12289758/pdf/","citationCount":"0","resultStr":"{\"title\":\"Multimodal imaging analysis of autosomal recessive Parkinson’s disease\",\"authors\":\"Başak Soydaş-Turan,&nbsp;Gül Yalçın-Çakmaklı,&nbsp;Eser Lay Ergün,&nbsp;Hacer Dasgin,&nbsp;Kader Karli Oguz,&nbsp;Bulent Elibol,&nbsp;Omer Ugur,&nbsp;Bilge Volkan-Salanci\",\"doi\":\"10.1007/s12149-025-02053-4\",\"DOIUrl\":null,\"url\":null,\"abstract\":\"<div><h3>Objective</h3><p>Pathophysiological backgrounds of idiopathic Parkinson’s disease (IPD) and autosomal recessive monogenic Parkinson’s disease (AR-PD) have common features that can be assessed through multimodal imaging. In this study, the striatal and myocardial dopaminergic innervation, brain 18F-FDG metabolism, resting-state functional activity of basal ganglia network (BGN) and white-matter (WM) microstructure were evaluated in AR-PD with respect to IPD, to investigate whether AR-PD can be subtyped as “brain-first” parkinsonism according to recent etiopathogenetic classification effort.</p><h3>Methods</h3><p>Forty patients (17 with Parkin, 3 with DJ-1 mutations and 20 with IPD) were included. Striatal dopaminergic innervation was assessed semi-quantitatively by 18F-DOPA PET, and cardiac 18F-DOPA uptake was also evaluated. Brain 18F-FDG PET images were evaluated visually. Resting-state functional MRI and diffusion tensor imaging (DTI) were used to assess the BGN activity and WM microstructural alterations.</p><h3>Results</h3><p>AR-PD patients showed significantly decreased 18F-DOPA uptake in caudate corpus compared to both IPD and controls, with a more symmetrical striatal dopaminergic denervation. Myocardial 18F-DOPA uptake in AR-PD was similar to controls, while it was significantly reduced in IPD. There was no significant difference in cortical 18F-FDG metabolism and functional activity of BGN between PD groups. The DTI data revealed more extensive WM microstructural damage in AR-PD compared to IPD.</p><h3>Conclusions</h3><p>AR-PD group showed additional significant decreased 18F-DOPA uptake in caudate corpus and more symmetrical striatal denervation. Additionally, relatively preserved myocardial innervation, cortical metabolic and WM microstructural changes suggest the possibility of “brain-first” type progression in AR-PD. Also, 18F-DOPA PET/CT may be a practical tool for evaluating dopaminergic innervation of striatum and heart together, but further evaluation is needed in this area.</p></div>\",\"PeriodicalId\":8007,\"journal\":{\"name\":\"Annals of Nuclear Medicine\",\"volume\":\"39 8\",\"pages\":\"813 - 822\"},\"PeriodicalIF\":2.5000,\"publicationDate\":\"2025-04-24\",\"publicationTypes\":\"Journal Article\",\"fieldsOfStudy\":null,\"isOpenAccess\":false,\"openAccessPdf\":\"https://www.ncbi.nlm.nih.gov/pmc/articles/PMC12289758/pdf/\",\"citationCount\":\"0\",\"resultStr\":null,\"platform\":\"Semanticscholar\",\"paperid\":null,\"PeriodicalName\":\"Annals of Nuclear Medicine\",\"FirstCategoryId\":\"3\",\"ListUrlMain\":\"https://link.springer.com/article/10.1007/s12149-025-02053-4\",\"RegionNum\":4,\"RegionCategory\":\"医学\",\"ArticlePicture\":[],\"TitleCN\":null,\"AbstractTextCN\":null,\"PMCID\":null,\"EPubDate\":\"\",\"PubModel\":\"\",\"JCR\":\"Q2\",\"JCRName\":\"RADIOLOGY, NUCLEAR MEDICINE & MEDICAL IMAGING\",\"Score\":null,\"Total\":0}","platform":"Semanticscholar","paperid":null,"PeriodicalName":"Annals of Nuclear Medicine","FirstCategoryId":"3","ListUrlMain":"https://link.springer.com/article/10.1007/s12149-025-02053-4","RegionNum":4,"RegionCategory":"医学","ArticlePicture":[],"TitleCN":null,"AbstractTextCN":null,"PMCID":null,"EPubDate":"","PubModel":"","JCR":"Q2","JCRName":"RADIOLOGY, NUCLEAR MEDICINE & MEDICAL IMAGING","Score":null,"Total":0}
引用次数: 0

摘要

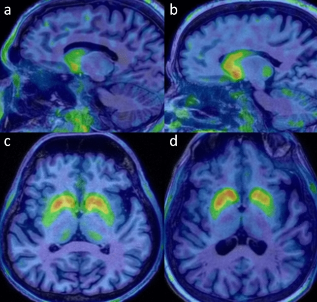
目的:特发性帕金森病(IPD)和常染色体隐性单基因帕金森病(AR-PD)的病理生理背景具有共同特征,可通过多模态成像进行评估。本研究通过对AR-PD中纹状体和心肌多巴胺能神经支配、脑18F-FDG代谢、静息状态基底神经节网络(BGN)功能活性和白质(WM)微观结构与IPD的关系进行评价,探讨AR-PD是否可以根据最近的病因分类成果被划分为“脑优先”帕金森病亚型。方法:40例患者(Parkin患者17例,DJ-1突变患者3例,IPD患者20例)。18F-DOPA PET半定量评估纹状体多巴胺能神经支配,并评估心脏18F-DOPA摄取。脑18F-FDG PET图像进行视觉评估。静息状态功能MRI和弥散张量成像(DTI)评估BGN活性和WM微结构改变。结果:与IPD和对照组相比,AR-PD患者尾状体的18F-DOPA摄取明显减少,纹状体多巴胺能去神经支配更加对称。AR-PD组心肌18F-DOPA摄取与对照组相似,而IPD组心肌18F-DOPA摄取明显降低。PD组间皮质18F-FDG代谢及BGN功能活性无显著差异。与IPD相比,DTI数据显示AR-PD的WM微结构损伤更广泛。结论:AR-PD组尾状体18F-DOPA摄取明显减少,纹状体去神经更为对称。此外,相对保存的心肌神经支配、皮质代谢和WM微结构变化提示AR-PD可能发生“脑优先”型进展。同时,18F-DOPA PET/CT可能是评估纹状体和心脏多巴胺能神经支配的实用工具,但在该领域有待进一步的研究。
本文章由计算机程序翻译,如有差异,请以英文原文为准。

Multimodal imaging analysis of autosomal recessive Parkinson’s disease

Multimodal imaging analysis of autosomal recessive Parkinson’s disease

Multimodal imaging analysis of autosomal recessive Parkinson’s disease

Objective

Pathophysiological backgrounds of idiopathic Parkinson’s disease (IPD) and autosomal recessive monogenic Parkinson’s disease (AR-PD) have common features that can be assessed through multimodal imaging. In this study, the striatal and myocardial dopaminergic innervation, brain 18F-FDG metabolism, resting-state functional activity of basal ganglia network (BGN) and white-matter (WM) microstructure were evaluated in AR-PD with respect to IPD, to investigate whether AR-PD can be subtyped as “brain-first” parkinsonism according to recent etiopathogenetic classification effort.

Methods

Forty patients (17 with Parkin, 3 with DJ-1 mutations and 20 with IPD) were included. Striatal dopaminergic innervation was assessed semi-quantitatively by 18F-DOPA PET, and cardiac 18F-DOPA uptake was also evaluated. Brain 18F-FDG PET images were evaluated visually. Resting-state functional MRI and diffusion tensor imaging (DTI) were used to assess the BGN activity and WM microstructural alterations.

Results

AR-PD patients showed significantly decreased 18F-DOPA uptake in caudate corpus compared to both IPD and controls, with a more symmetrical striatal dopaminergic denervation. Myocardial 18F-DOPA uptake in AR-PD was similar to controls, while it was significantly reduced in IPD. There was no significant difference in cortical 18F-FDG metabolism and functional activity of BGN between PD groups. The DTI data revealed more extensive WM microstructural damage in AR-PD compared to IPD.

Conclusions

AR-PD group showed additional significant decreased 18F-DOPA uptake in caudate corpus and more symmetrical striatal denervation. Additionally, relatively preserved myocardial innervation, cortical metabolic and WM microstructural changes suggest the possibility of “brain-first” type progression in AR-PD. Also, 18F-DOPA PET/CT may be a practical tool for evaluating dopaminergic innervation of striatum and heart together, but further evaluation is needed in this area.

求助全文
通过发布文献求助,成功后即可免费获取论文全文。 去求助
来源期刊
Annals of Nuclear Medicine
Annals of Nuclear Medicine 医学-核医学
CiteScore
4.90
自引率
7.70%
发文量
111
审稿时长
4-8 weeks
期刊介绍: Annals of Nuclear Medicine is an official journal of the Japanese Society of Nuclear Medicine. It develops the appropriate application of radioactive substances and stable nuclides in the field of medicine. The journal promotes the exchange of ideas and information and research in nuclear medicine and includes the medical application of radionuclides and related subjects. It presents original articles, short communications, reviews and letters to the editor.
×
引用
GB/T 7714-2015
复制
MLA
复制
APA
复制
导出至
BibTeX EndNote RefMan NoteFirst NoteExpress
×
提示
您的信息不完整,为了账户安全,请先补充。
现在去补充
×
提示
您因"违规操作"
具体请查看互助需知
我知道了
×
提示
确定
请完成安全验证×
copy
已复制链接
快去分享给好友吧!
我知道了
右上角分享
点击右上角分享
0
联系我们:info@booksci.cn Book学术提供免费学术资源搜索服务,方便国内外学者检索中英文文献。致力于提供最便捷和优质的服务体验。 Copyright © 2023 布克学术 All rights reserved.
京ICP备2023020795号-1
ghs 京公网安备 11010802042870号
Book学术文献互助
Book学术文献互助群
群 号:604180095
Book学术官方微信