恶性胸膜间皮瘤的显著抗肿瘤作用和严重的多重免疫相关不良事件2例报告

IF 0.6 Q4 ONCOLOGY
Case Reports in Oncological Medicine Pub Date : 2025-03-03 eCollection Date: 2025-01-01 DOI:10.1155/crom/8768823
Koharu Harada, Hidehiro Irie, Akifumi Mitsuishi, Takahiro Fukui, Nao Takada, Ryosuke Nagaoka, Yohei Funatsu, Hidefumi Koh
{"title":"恶性胸膜间皮瘤的显著抗肿瘤作用和严重的多重免疫相关不良事件2例报告","authors":"Koharu Harada, Hidehiro Irie, Akifumi Mitsuishi, Takahiro Fukui, Nao Takada, Ryosuke Nagaoka, Yohei Funatsu, Hidefumi Koh","doi":"10.1155/crom/8768823","DOIUrl":null,"url":null,"abstract":"<p><p>We describe two patients who experienced serious multiple immune-related adverse events (irAEs), treatment interruption, and steroid administration. Despite these challenges, they achieved a remarkable antitumor effect beyond the expected. Various carcinomas demonstrated a possible correlation between the antitumor effect of immune checkpoint inhibitors and the intensity of irAEs, but few studies report on malignant pleural mesothelioma (MPM). Our two cases exhibited much stronger irAEs than usual. These two cases still demonstrated a complete response (CR) or near CR partial response, indicating a correlation between irAEs and the antitumor effect in MPM.</p>","PeriodicalId":9636,"journal":{"name":"Case Reports in Oncological Medicine","volume":"2025 ","pages":"8768823"},"PeriodicalIF":0.6000,"publicationDate":"2025-03-03","publicationTypes":"Journal Article","fieldsOfStudy":null,"isOpenAccess":false,"openAccessPdf":"https://www.ncbi.nlm.nih.gov/pmc/articles/PMC11991814/pdf/","citationCount":"0","resultStr":"{\"title\":\"Remarkable Antitumor Effects and Serious Multiple Immune-Related Adverse Events in Malignant Pleural Mesothelioma: Two Case Reports.\",\"authors\":\"Koharu Harada, Hidehiro Irie, Akifumi Mitsuishi, Takahiro Fukui, Nao Takada, Ryosuke Nagaoka, Yohei Funatsu, Hidefumi Koh\",\"doi\":\"10.1155/crom/8768823\",\"DOIUrl\":null,\"url\":null,\"abstract\":\"<p><p>We describe two patients who experienced serious multiple immune-related adverse events (irAEs), treatment interruption, and steroid administration. Despite these challenges, they achieved a remarkable antitumor effect beyond the expected. Various carcinomas demonstrated a possible correlation between the antitumor effect of immune checkpoint inhibitors and the intensity of irAEs, but few studies report on malignant pleural mesothelioma (MPM). Our two cases exhibited much stronger irAEs than usual. These two cases still demonstrated a complete response (CR) or near CR partial response, indicating a correlation between irAEs and the antitumor effect in MPM.</p>\",\"PeriodicalId\":9636,\"journal\":{\"name\":\"Case Reports in Oncological Medicine\",\"volume\":\"2025 \",\"pages\":\"8768823\"},\"PeriodicalIF\":0.6000,\"publicationDate\":\"2025-03-03\",\"publicationTypes\":\"Journal Article\",\"fieldsOfStudy\":null,\"isOpenAccess\":false,\"openAccessPdf\":\"https://www.ncbi.nlm.nih.gov/pmc/articles/PMC11991814/pdf/\",\"citationCount\":\"0\",\"resultStr\":null,\"platform\":\"Semanticscholar\",\"paperid\":null,\"PeriodicalName\":\"Case Reports in Oncological Medicine\",\"FirstCategoryId\":\"1085\",\"ListUrlMain\":\"https://doi.org/10.1155/crom/8768823\",\"RegionNum\":0,\"RegionCategory\":null,\"ArticlePicture\":[],\"TitleCN\":null,\"AbstractTextCN\":null,\"PMCID\":null,\"EPubDate\":\"2025/1/1 0:00:00\",\"PubModel\":\"eCollection\",\"JCR\":\"Q4\",\"JCRName\":\"ONCOLOGY\",\"Score\":null,\"Total\":0}","platform":"Semanticscholar","paperid":null,"PeriodicalName":"Case Reports in Oncological Medicine","FirstCategoryId":"1085","ListUrlMain":"https://doi.org/10.1155/crom/8768823","RegionNum":0,"RegionCategory":null,"ArticlePicture":[],"TitleCN":null,"AbstractTextCN":null,"PMCID":null,"EPubDate":"2025/1/1 0:00:00","PubModel":"eCollection","JCR":"Q4","JCRName":"ONCOLOGY","Score":null,"Total":0}
引用次数: 0

摘要

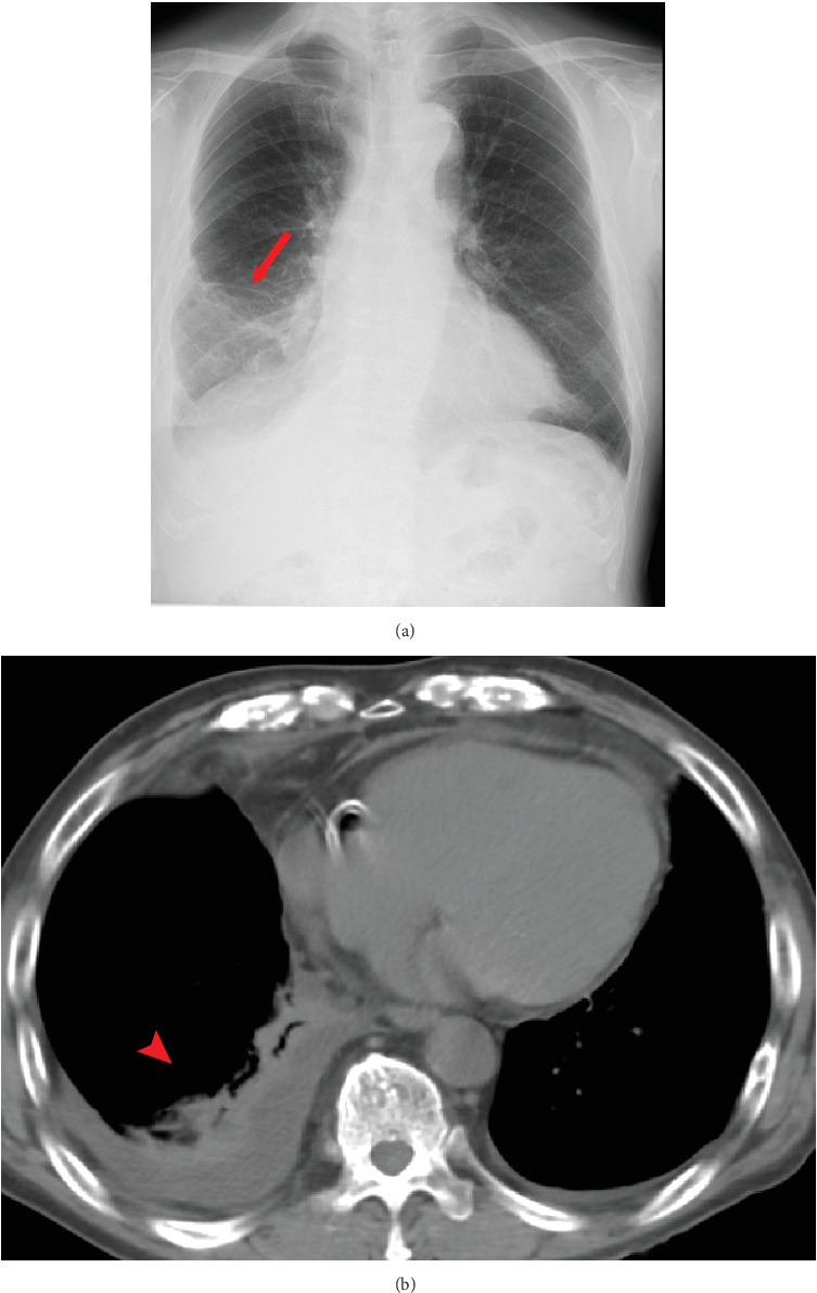
我们描述了两例经历了严重的多重免疫相关不良事件(irAEs)、治疗中断和类固醇治疗的患者。尽管存在这些挑战,但它们取得了超出预期的显著抗肿瘤效果。多种肿瘤显示免疫检查点抑制剂的抗肿瘤作用可能与irae的强度相关,但对恶性胸膜间皮瘤(MPM)的研究很少报道。我们的两个病例表现出比平常更强的irae。这两个病例仍然表现出完全缓解(CR)或接近CR部分缓解,表明irAEs与MPM抗肿瘤作用之间存在相关性。
本文章由计算机程序翻译,如有差异,请以英文原文为准。

Remarkable Antitumor Effects and Serious Multiple Immune-Related Adverse Events in Malignant Pleural Mesothelioma: Two Case Reports.

Remarkable Antitumor Effects and Serious Multiple Immune-Related Adverse Events in Malignant Pleural Mesothelioma: Two Case Reports.

Remarkable Antitumor Effects and Serious Multiple Immune-Related Adverse Events in Malignant Pleural Mesothelioma: Two Case Reports.

Remarkable Antitumor Effects and Serious Multiple Immune-Related Adverse Events in Malignant Pleural Mesothelioma: Two Case Reports.

We describe two patients who experienced serious multiple immune-related adverse events (irAEs), treatment interruption, and steroid administration. Despite these challenges, they achieved a remarkable antitumor effect beyond the expected. Various carcinomas demonstrated a possible correlation between the antitumor effect of immune checkpoint inhibitors and the intensity of irAEs, but few studies report on malignant pleural mesothelioma (MPM). Our two cases exhibited much stronger irAEs than usual. These two cases still demonstrated a complete response (CR) or near CR partial response, indicating a correlation between irAEs and the antitumor effect in MPM.

求助全文
通过发布文献求助,成功后即可免费获取论文全文。 去求助
来源期刊
自引率
0.00%
发文量
11
审稿时长
16 weeks
期刊介绍: Case Reports in Oncological Medicine is a peer-reviewed, Open Access journal that publishes case reports and case series related to breast cancer, lung cancer, gastrointestinal cancer, skin cancer, head and neck cancer, paediatric oncology, neurooncology as well as genitourinary cancer.
×
引用
GB/T 7714-2015
复制
MLA
复制
APA
复制
导出至
BibTeX EndNote RefMan NoteFirst NoteExpress
×
提示
您的信息不完整,为了账户安全,请先补充。
现在去补充
×
提示
您因"违规操作"
具体请查看互助需知
我知道了
×
提示
确定
请完成安全验证×
copy
已复制链接
快去分享给好友吧!
我知道了
右上角分享
点击右上角分享
0
联系我们:info@booksci.cn Book学术提供免费学术资源搜索服务,方便国内外学者检索中英文文献。致力于提供最便捷和优质的服务体验。 Copyright © 2023 布克学术 All rights reserved.
京ICP备2023020795号-1
ghs 京公网安备 11010802042870号
Book学术文献互助
Book学术文献互助群
群 号:604180095
Book学术官方微信