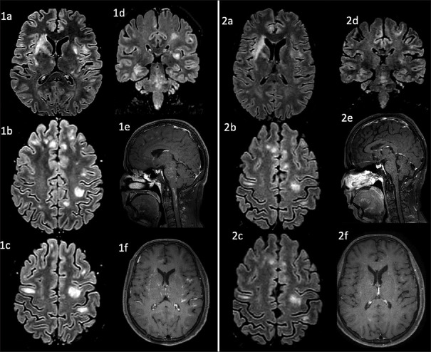
幕上淋巴细胞炎症伴类固醇反应性实质血管周围增强(拖鞋)伴伴慢性淋巴细胞炎症伴桥脑桥血管周围增强(CLIPPERS) 1例并文献回顾。

IF 1.8 4区 医学 Q3 CLINICAL NEUROLOGY
Annals of Indian Academy of Neurology Pub Date : 2025-05-01 Epub Date: 2025-05-05 DOI:10.4103/aian.aian_998_24
Shivam Mirg, Animesh Das, Akhil Parashar, Manjari Tripathi, Ajay Garg
{"title":"幕上淋巴细胞炎症伴类固醇反应性实质血管周围增强(拖鞋)伴伴慢性淋巴细胞炎症伴桥脑桥血管周围增强(CLIPPERS) 1例并文献回顾。","authors":"Shivam Mirg, Animesh Das, Akhil Parashar, Manjari Tripathi, Ajay Garg","doi":"10.4103/aian.aian_998_24","DOIUrl":null,"url":null,"abstract":"","PeriodicalId":8036,"journal":{"name":"Annals of Indian Academy of Neurology","volume":" ","pages":"474-476"},"PeriodicalIF":1.8000,"publicationDate":"2025-05-01","publicationTypes":"Journal Article","fieldsOfStudy":null,"isOpenAccess":false,"openAccessPdf":"https://www.ncbi.nlm.nih.gov/pmc/articles/PMC12192379/pdf/","citationCount":"0","resultStr":"{\"title\":\"A Case of Supratentorial Lymphocytic Inflammation with Parenchymal Perivascular Enhancement Responsive to Steroids (SLIPPERS) with Associated Chronic Lymphocytic Inflammation with Pontine Perivascular Enhancement Responsive to Steroids (CLIPPERS) and a Review of Literature.\",\"authors\":\"Shivam Mirg, Animesh Das, Akhil Parashar, Manjari Tripathi, Ajay Garg\",\"doi\":\"10.4103/aian.aian_998_24\",\"DOIUrl\":null,\"url\":null,\"abstract\":\"\",\"PeriodicalId\":8036,\"journal\":{\"name\":\"Annals of Indian Academy of Neurology\",\"volume\":\" \",\"pages\":\"474-476\"},\"PeriodicalIF\":1.8000,\"publicationDate\":\"2025-05-01\",\"publicationTypes\":\"Journal Article\",\"fieldsOfStudy\":null,\"isOpenAccess\":false,\"openAccessPdf\":\"https://www.ncbi.nlm.nih.gov/pmc/articles/PMC12192379/pdf/\",\"citationCount\":\"0\",\"resultStr\":null,\"platform\":\"Semanticscholar\",\"paperid\":null,\"PeriodicalName\":\"Annals of Indian Academy of Neurology\",\"FirstCategoryId\":\"3\",\"ListUrlMain\":\"https://doi.org/10.4103/aian.aian_998_24\",\"RegionNum\":4,\"RegionCategory\":\"医学\",\"ArticlePicture\":[],\"TitleCN\":null,\"AbstractTextCN\":null,\"PMCID\":null,\"EPubDate\":\"2025/5/5 0:00:00\",\"PubModel\":\"Epub\",\"JCR\":\"Q3\",\"JCRName\":\"CLINICAL NEUROLOGY\",\"Score\":null,\"Total\":0}","platform":"Semanticscholar","paperid":null,"PeriodicalName":"Annals of Indian Academy of Neurology","FirstCategoryId":"3","ListUrlMain":"https://doi.org/10.4103/aian.aian_998_24","RegionNum":4,"RegionCategory":"医学","ArticlePicture":[],"TitleCN":null,"AbstractTextCN":null,"PMCID":null,"EPubDate":"2025/5/5 0:00:00","PubModel":"Epub","JCR":"Q3","JCRName":"CLINICAL NEUROLOGY","Score":null,"Total":0}
引用次数: 0

摘要

本文章由计算机程序翻译,如有差异,请以英文原文为准。

A Case of Supratentorial Lymphocytic Inflammation with Parenchymal Perivascular Enhancement Responsive to Steroids (SLIPPERS) with Associated Chronic Lymphocytic Inflammation with Pontine Perivascular Enhancement Responsive to Steroids (CLIPPERS) and a Review of Literature.

A Case of Supratentorial Lymphocytic Inflammation with Parenchymal Perivascular Enhancement Responsive to Steroids (SLIPPERS) with Associated Chronic Lymphocytic Inflammation with Pontine Perivascular Enhancement Responsive to Steroids (CLIPPERS) and a Review of Literature.
求助全文
通过发布文献求助,成功后即可免费获取论文全文。 去求助
来源期刊
Annals of Indian Academy of Neurology
Annals of Indian Academy of Neurology Nervous System Diseases-
CiteScore
2.20
自引率
11.80%
发文量
293
审稿时长
29 weeks
期刊介绍: The journal has a clinical foundation and has been utilized most by clinical neurologists for improving the practice of neurology. While the focus is on neurology in India, the journal publishes manuscripts of high value from all parts of the world. Journal publishes reviews of various types, original articles, short communications, interesting images and case reports. The journal respects the scientific submission of its authors and believes in following an expeditious double-blind peer review process and endeavors to complete the review process within scheduled time frame. A significant effort from the author and the journal perhaps enables to strike an equilibrium to meet the professional expectations of the peers in the world of scientific publication. AIAN believes in safeguarding the privacy rights of human subjects. In order to comply with it, the journal instructs all authors when uploading the manuscript to also add the ethical clearance (human/animals)/ informed consent of subject in the manuscript. This applies to the study/case report that involves animal/human subjects/human specimens e.g. extracted tooth part/soft tissue for biopsy/in vitro analysis.
×
引用
GB/T 7714-2015
复制
MLA
复制
APA
复制
导出至
BibTeX EndNote RefMan NoteFirst NoteExpress
×
提示
您的信息不完整,为了账户安全,请先补充。
现在去补充
×
提示
您因"违规操作"
具体请查看互助需知
我知道了
×
提示
确定
请完成安全验证×
copy
已复制链接
快去分享给好友吧!
我知道了
右上角分享
点击右上角分享
0
联系我们:info@booksci.cn Book学术提供免费学术资源搜索服务,方便国内外学者检索中英文文献。致力于提供最便捷和优质的服务体验。 Copyright © 2023 布克学术 All rights reserved.
京ICP备2023020795号-1
ghs 京公网安备 11010802042870号
Book学术文献互助
Book学术文献互助群
群 号:604180095
Book学术官方微信
小红书