nivolumab联合局部热疗治疗pd - l1阴性转移性头颈部鳞状细胞癌患者的持久疗效

IF 5.1 2区 医学 Q2 IMMUNOLOGY
Luc M Berclaz, Anton Burkhard-Meier, Axel Lechner, Michael Völkl, Sinan E Güler, Sultan Abdel-Rahman, Sina Mansoorian, Wolfgang G Kunz, Thomas Knösel, Martin Canis, Michael von Bergwelt-Baildon, Rolf D Issels, Dorit Di Gioia, Lars H Lindner
{"title":"nivolumab联合局部热疗治疗pd - l1阴性转移性头颈部鳞状细胞癌患者的持久疗效","authors":"Luc M Berclaz, Anton Burkhard-Meier, Axel Lechner, Michael Völkl, Sinan E Güler, Sultan Abdel-Rahman, Sina Mansoorian, Wolfgang G Kunz, Thomas Knösel, Martin Canis, Michael von Bergwelt-Baildon, Rolf D Issels, Dorit Di Gioia, Lars H Lindner","doi":"10.1007/s00262-025-04029-9","DOIUrl":null,"url":null,"abstract":"<p><p>We report a long-lasting response to the immune checkpoint inhibitor nivolumab in combination with regional hyperthermia (RHT) in a patient with recurrent metastatic Head and Neck Squamous Cell Carcinoma (HNSCC) and negative programmed death ligand 1 (PD-L1) expression. Treatment was well tolerated with no local side effects. Tumor-related symptoms in the orbital and masticator area gradually decreased under treatment with nivolumab and RHT. Over the course of treatment, magnetic resonance imaging (MRI) showed a local tumor control in the heated tumor areas, while metastatic lesions developed in areas outside of the RHT field. This is the first case report demonstrating the feasibility and clinical potential of the addition of RHT in this patient collective with poor outcomes and low response rates to immune checkpoint inhibitors. RHT might be an additional tool to activate an immunogenic milieu responsive to immune checkpoint inhibitors.</p>","PeriodicalId":9595,"journal":{"name":"Cancer Immunology, Immunotherapy","volume":"74 6","pages":"174"},"PeriodicalIF":5.1000,"publicationDate":"2025-04-17","publicationTypes":"Journal Article","fieldsOfStudy":null,"isOpenAccess":false,"openAccessPdf":"https://www.ncbi.nlm.nih.gov/pmc/articles/PMC12006646/pdf/","citationCount":"0","resultStr":"{\"title\":\"Durable response to nivolumab in combination with regional hyperthermia in a patient with PD-L1-negative metastatic head and neck squamous cell carcinoma.\",\"authors\":\"Luc M Berclaz, Anton Burkhard-Meier, Axel Lechner, Michael Völkl, Sinan E Güler, Sultan Abdel-Rahman, Sina Mansoorian, Wolfgang G Kunz, Thomas Knösel, Martin Canis, Michael von Bergwelt-Baildon, Rolf D Issels, Dorit Di Gioia, Lars H Lindner\",\"doi\":\"10.1007/s00262-025-04029-9\",\"DOIUrl\":null,\"url\":null,\"abstract\":\"<p><p>We report a long-lasting response to the immune checkpoint inhibitor nivolumab in combination with regional hyperthermia (RHT) in a patient with recurrent metastatic Head and Neck Squamous Cell Carcinoma (HNSCC) and negative programmed death ligand 1 (PD-L1) expression. Treatment was well tolerated with no local side effects. Tumor-related symptoms in the orbital and masticator area gradually decreased under treatment with nivolumab and RHT. Over the course of treatment, magnetic resonance imaging (MRI) showed a local tumor control in the heated tumor areas, while metastatic lesions developed in areas outside of the RHT field. This is the first case report demonstrating the feasibility and clinical potential of the addition of RHT in this patient collective with poor outcomes and low response rates to immune checkpoint inhibitors. RHT might be an additional tool to activate an immunogenic milieu responsive to immune checkpoint inhibitors.</p>\",\"PeriodicalId\":9595,\"journal\":{\"name\":\"Cancer Immunology, Immunotherapy\",\"volume\":\"74 6\",\"pages\":\"174\"},\"PeriodicalIF\":5.1000,\"publicationDate\":\"2025-04-17\",\"publicationTypes\":\"Journal Article\",\"fieldsOfStudy\":null,\"isOpenAccess\":false,\"openAccessPdf\":\"https://www.ncbi.nlm.nih.gov/pmc/articles/PMC12006646/pdf/\",\"citationCount\":\"0\",\"resultStr\":null,\"platform\":\"Semanticscholar\",\"paperid\":null,\"PeriodicalName\":\"Cancer Immunology, Immunotherapy\",\"FirstCategoryId\":\"3\",\"ListUrlMain\":\"https://doi.org/10.1007/s00262-025-04029-9\",\"RegionNum\":2,\"RegionCategory\":\"医学\",\"ArticlePicture\":[],\"TitleCN\":null,\"AbstractTextCN\":null,\"PMCID\":null,\"EPubDate\":\"\",\"PubModel\":\"\",\"JCR\":\"Q2\",\"JCRName\":\"IMMUNOLOGY\",\"Score\":null,\"Total\":0}","platform":"Semanticscholar","paperid":null,"PeriodicalName":"Cancer Immunology, Immunotherapy","FirstCategoryId":"3","ListUrlMain":"https://doi.org/10.1007/s00262-025-04029-9","RegionNum":2,"RegionCategory":"医学","ArticlePicture":[],"TitleCN":null,"AbstractTextCN":null,"PMCID":null,"EPubDate":"","PubModel":"","JCR":"Q2","JCRName":"IMMUNOLOGY","Score":null,"Total":0}
引用次数: 0

摘要

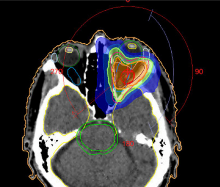
我们报道了一名复发性转移性头颈部鳞状细胞癌(HNSCC)和程序性死亡配体1 (PD-L1)阴性表达的患者对免疫检查点抑制剂nivolumab联合局部热疗(RHT)的长期反应。治疗耐受性良好,无局部副作用。在纳武单抗和RHT治疗下,眼眶和咀嚼区肿瘤相关症状逐渐减轻。在治疗过程中,磁共振成像(MRI)显示在加热的肿瘤区域局部肿瘤得到控制,而转移性病变发生在RHT区以外的区域。这是第一个病例报告,证明了在这种预后不佳且对免疫检查点抑制剂反应率低的患者群体中添加RHT的可行性和临床潜力。RHT可能是激活对免疫检查点抑制剂有反应的免疫原性环境的另一种工具。
本文章由计算机程序翻译,如有差异,请以英文原文为准。

Durable response to nivolumab in combination with regional hyperthermia in a patient with PD-L1-negative metastatic head and neck squamous cell carcinoma.

Durable response to nivolumab in combination with regional hyperthermia in a patient with PD-L1-negative metastatic head and neck squamous cell carcinoma.

Durable response to nivolumab in combination with regional hyperthermia in a patient with PD-L1-negative metastatic head and neck squamous cell carcinoma.

Durable response to nivolumab in combination with regional hyperthermia in a patient with PD-L1-negative metastatic head and neck squamous cell carcinoma.

We report a long-lasting response to the immune checkpoint inhibitor nivolumab in combination with regional hyperthermia (RHT) in a patient with recurrent metastatic Head and Neck Squamous Cell Carcinoma (HNSCC) and negative programmed death ligand 1 (PD-L1) expression. Treatment was well tolerated with no local side effects. Tumor-related symptoms in the orbital and masticator area gradually decreased under treatment with nivolumab and RHT. Over the course of treatment, magnetic resonance imaging (MRI) showed a local tumor control in the heated tumor areas, while metastatic lesions developed in areas outside of the RHT field. This is the first case report demonstrating the feasibility and clinical potential of the addition of RHT in this patient collective with poor outcomes and low response rates to immune checkpoint inhibitors. RHT might be an additional tool to activate an immunogenic milieu responsive to immune checkpoint inhibitors.

求助全文
通过发布文献求助,成功后即可免费获取论文全文。 去求助
来源期刊
CiteScore
10.50
自引率
1.70%
发文量
207
审稿时长
1 months
期刊介绍: Cancer Immunology, Immunotherapy has the basic aim of keeping readers informed of the latest research results in the fields of oncology and immunology. As knowledge expands, the scope of the journal has broadened to include more of the progress being made in the areas of biology concerned with biological response modifiers. This helps keep readers up to date on the latest advances in our understanding of tumor-host interactions. The journal publishes short editorials including "position papers," general reviews, original articles, and short communications, providing a forum for the most current experimental and clinical advances in tumor immunology.
×
引用
GB/T 7714-2015
复制
MLA
复制
APA
复制
导出至
BibTeX EndNote RefMan NoteFirst NoteExpress
×
提示
您的信息不完整,为了账户安全,请先补充。
现在去补充
×
提示
您因"违规操作"
具体请查看互助需知
我知道了
×
提示
确定
请完成安全验证×
copy
已复制链接
快去分享给好友吧!
我知道了
右上角分享
点击右上角分享
0
联系我们:info@booksci.cn Book学术提供免费学术资源搜索服务,方便国内外学者检索中英文文献。致力于提供最便捷和优质的服务体验。 Copyright © 2023 布克学术 All rights reserved.
京ICP备2023020795号-1
ghs 京公网安备 11010802042870号
Book学术文献互助
Book学术文献互助群
群 号:604180095
Book学术官方微信