多发性肺粘液囊腺瘤伴卵巢样间质1例。

IF 2.3 3区 医学 Q2 PATHOLOGY
Lei Wang, Xieraili Wumener, Wenting Huang
{"title":"多发性肺粘液囊腺瘤伴卵巢样间质1例。","authors":"Lei Wang, Xieraili Wumener, Wenting Huang","doi":"10.1186/s13000-025-01642-1","DOIUrl":null,"url":null,"abstract":"<p><strong>Background: </strong>Pulmonary mucinous cystadenoma with ovarian-like stroma has rarely been reported. To the best of our knowledge, only two prior cases have been reported to date.</p><p><strong>Case presentation: </strong>A 47-year-old female underwent an <sup>18</sup>F-fluorodeoxyglucose(FDG) positron emission tomography/computed tomography(PET/CT) scan, revealig multiple solid and cystic nodules with mild FDG uptake in both lungs. The tumor exhibited an adenoid or papillary structure, covered by monolayer mucous columnar epithelium and pseudostratified ciliated columnar epithelium, with abundant mesenchymal cells. Nuclei were oval, fusiform, or polygonal, resembling ovarian-like stroma, and showed mild nuclear atypia without atypical mitoses. Immunohistochemical analysis indicated: CK (epithelial cell +), P63 (epithelial basal cells +), CK7 (epithelial cell +), CK20 (-), TTF-1 (epithelial cell +), napsin A (partial epithelial cell +), α-inhibin (-), S100 (-), SMA (-), EMA (epithelial cell +), CEA (-), WT-1 (mesenchymal cells +), ER (mesenchymal cells +), P16 (partial mesenchymal cells +), CD10 (mesenchymal cells +), and Ki-67 (2% +).</p><p><strong>Conclusion: </strong>Pulmonary mucinous cystadenoma with ovarian-like stroma is rare, and its pathological nature and classification are not yet fully understood.</p>","PeriodicalId":11237,"journal":{"name":"Diagnostic Pathology","volume":"20 1","pages":"44"},"PeriodicalIF":2.3000,"publicationDate":"2025-04-16","publicationTypes":"Journal Article","fieldsOfStudy":null,"isOpenAccess":false,"openAccessPdf":"https://www.ncbi.nlm.nih.gov/pmc/articles/PMC12001701/pdf/","citationCount":"0","resultStr":"{\"title\":\"Multiple pulmonary mucinous cystadenoma with Ovarian-like stroma: a case report.\",\"authors\":\"Lei Wang, Xieraili Wumener, Wenting Huang\",\"doi\":\"10.1186/s13000-025-01642-1\",\"DOIUrl\":null,\"url\":null,\"abstract\":\"<p><strong>Background: </strong>Pulmonary mucinous cystadenoma with ovarian-like stroma has rarely been reported. To the best of our knowledge, only two prior cases have been reported to date.</p><p><strong>Case presentation: </strong>A 47-year-old female underwent an <sup>18</sup>F-fluorodeoxyglucose(FDG) positron emission tomography/computed tomography(PET/CT) scan, revealig multiple solid and cystic nodules with mild FDG uptake in both lungs. The tumor exhibited an adenoid or papillary structure, covered by monolayer mucous columnar epithelium and pseudostratified ciliated columnar epithelium, with abundant mesenchymal cells. Nuclei were oval, fusiform, or polygonal, resembling ovarian-like stroma, and showed mild nuclear atypia without atypical mitoses. Immunohistochemical analysis indicated: CK (epithelial cell +), P63 (epithelial basal cells +), CK7 (epithelial cell +), CK20 (-), TTF-1 (epithelial cell +), napsin A (partial epithelial cell +), α-inhibin (-), S100 (-), SMA (-), EMA (epithelial cell +), CEA (-), WT-1 (mesenchymal cells +), ER (mesenchymal cells +), P16 (partial mesenchymal cells +), CD10 (mesenchymal cells +), and Ki-67 (2% +).</p><p><strong>Conclusion: </strong>Pulmonary mucinous cystadenoma with ovarian-like stroma is rare, and its pathological nature and classification are not yet fully understood.</p>\",\"PeriodicalId\":11237,\"journal\":{\"name\":\"Diagnostic Pathology\",\"volume\":\"20 1\",\"pages\":\"44\"},\"PeriodicalIF\":2.3000,\"publicationDate\":\"2025-04-16\",\"publicationTypes\":\"Journal Article\",\"fieldsOfStudy\":null,\"isOpenAccess\":false,\"openAccessPdf\":\"https://www.ncbi.nlm.nih.gov/pmc/articles/PMC12001701/pdf/\",\"citationCount\":\"0\",\"resultStr\":null,\"platform\":\"Semanticscholar\",\"paperid\":null,\"PeriodicalName\":\"Diagnostic Pathology\",\"FirstCategoryId\":\"3\",\"ListUrlMain\":\"https://doi.org/10.1186/s13000-025-01642-1\",\"RegionNum\":3,\"RegionCategory\":\"医学\",\"ArticlePicture\":[],\"TitleCN\":null,\"AbstractTextCN\":null,\"PMCID\":null,\"EPubDate\":\"\",\"PubModel\":\"\",\"JCR\":\"Q2\",\"JCRName\":\"PATHOLOGY\",\"Score\":null,\"Total\":0}","platform":"Semanticscholar","paperid":null,"PeriodicalName":"Diagnostic Pathology","FirstCategoryId":"3","ListUrlMain":"https://doi.org/10.1186/s13000-025-01642-1","RegionNum":3,"RegionCategory":"医学","ArticlePicture":[],"TitleCN":null,"AbstractTextCN":null,"PMCID":null,"EPubDate":"","PubModel":"","JCR":"Q2","JCRName":"PATHOLOGY","Score":null,"Total":0}
引用次数: 0

摘要

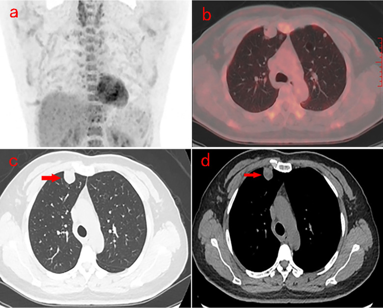
背景:肺粘液囊腺瘤合并卵巢样间质很少被报道。据我们所知,迄今为止仅报告了两例既往病例。病例介绍:一位47岁女性接受了18f -氟脱氧葡萄糖(FDG)正电子发射断层扫描/计算机断层扫描(PET/CT),显示双肺多发实性和囊性结节,伴有轻度FDG摄取。肿瘤呈腺样或乳头状结构,被单层黏液柱状上皮和假层状纤毛柱状上皮覆盖,并有丰富的间充质细胞。细胞核呈卵圆形、梭形或多角形,类似于卵巢样基质,表现为轻度核异型性,无非典型有丝分裂。免疫组化分析显示:CK(上皮细胞+)、P63(上皮基底细胞+)、CK7(上皮细胞+)、CK20(-)、TTF-1(上皮细胞+)、napsin A(部分上皮细胞+)、α-抑制素(-)、S100(-)、SMA(-)、EMA(上皮细胞+)、CEA(-)、WT-1(间充质细胞+)、ER(间充质细胞+)、P16(部分间充质细胞+)、CD10(间充质细胞+)、Ki-67(2% +)。结论:肺粘液囊腺瘤合并卵巢样间质较为罕见,其病理性质及分型尚不完全清楚。
本文章由计算机程序翻译,如有差异,请以英文原文为准。

Multiple pulmonary mucinous cystadenoma with Ovarian-like stroma: a case report.

Multiple pulmonary mucinous cystadenoma with Ovarian-like stroma: a case report.

Multiple pulmonary mucinous cystadenoma with Ovarian-like stroma: a case report.

Background: Pulmonary mucinous cystadenoma with ovarian-like stroma has rarely been reported. To the best of our knowledge, only two prior cases have been reported to date.

Case presentation: A 47-year-old female underwent an 18F-fluorodeoxyglucose(FDG) positron emission tomography/computed tomography(PET/CT) scan, revealig multiple solid and cystic nodules with mild FDG uptake in both lungs. The tumor exhibited an adenoid or papillary structure, covered by monolayer mucous columnar epithelium and pseudostratified ciliated columnar epithelium, with abundant mesenchymal cells. Nuclei were oval, fusiform, or polygonal, resembling ovarian-like stroma, and showed mild nuclear atypia without atypical mitoses. Immunohistochemical analysis indicated: CK (epithelial cell +), P63 (epithelial basal cells +), CK7 (epithelial cell +), CK20 (-), TTF-1 (epithelial cell +), napsin A (partial epithelial cell +), α-inhibin (-), S100 (-), SMA (-), EMA (epithelial cell +), CEA (-), WT-1 (mesenchymal cells +), ER (mesenchymal cells +), P16 (partial mesenchymal cells +), CD10 (mesenchymal cells +), and Ki-67 (2% +).

Conclusion: Pulmonary mucinous cystadenoma with ovarian-like stroma is rare, and its pathological nature and classification are not yet fully understood.

求助全文
通过发布文献求助,成功后即可免费获取论文全文。 去求助
来源期刊
Diagnostic Pathology
Diagnostic Pathology 医学-病理学
CiteScore
4.60
自引率
0.00%
发文量
93
审稿时长
1 months
期刊介绍: Diagnostic Pathology is an open access, peer-reviewed, online journal that considers research in surgical and clinical pathology, immunology, and biology, with a special focus on cutting-edge approaches in diagnostic pathology and tissue-based therapy. The journal covers all aspects of surgical pathology, including classic diagnostic pathology, prognosis-related diagnosis (tumor stages, prognosis markers, such as MIB-percentage, hormone receptors, etc.), and therapy-related findings. The journal also focuses on the technological aspects of pathology, including molecular biology techniques, morphometry aspects (stereology, DNA analysis, syntactic structure analysis), communication aspects (telecommunication, virtual microscopy, virtual pathology institutions, etc.), and electronic education and quality assurance (for example interactive publication, on-line references with automated updating, etc.).
×
引用
GB/T 7714-2015
复制
MLA
复制
APA
复制
导出至
BibTeX EndNote RefMan NoteFirst NoteExpress
×
提示
您的信息不完整,为了账户安全,请先补充。
现在去补充
×
提示
您因"违规操作"
具体请查看互助需知
我知道了
×
提示
确定
请完成安全验证×
copy
已复制链接
快去分享给好友吧!
我知道了
右上角分享
点击右上角分享
0
联系我们:info@booksci.cn Book学术提供免费学术资源搜索服务,方便国内外学者检索中英文文献。致力于提供最便捷和优质的服务体验。 Copyright © 2023 布克学术 All rights reserved.
京ICP备2023020795号-1
ghs 京公网安备 11010802042870号
Book学术文献互助
Book学术文献互助群
群 号:604180095
Book学术官方微信