HIV/AIDS患者播散性组织胞浆菌病引起的发热性全血细胞减少和噬血症:2例及抗真菌和类固醇联合治疗的综述。

IF 0.8 Q4 INFECTIOUS DISEASES
Case Reports in Infectious Diseases Pub Date : 2025-04-17 eCollection Date: 2025-01-01 DOI:10.1155/crdi/2623694
Chinelo Animalu, Nupur Singh, Kenneth Cory Guice, Kase Maner
{"title":"HIV/AIDS患者播散性组织胞浆菌病引起的发热性全血细胞减少和噬血症:2例及抗真菌和类固醇联合治疗的综述。","authors":"Chinelo Animalu, Nupur Singh, Kenneth Cory Guice, Kase Maner","doi":"10.1155/crdi/2623694","DOIUrl":null,"url":null,"abstract":"<p><p>Hemophagocytosis is a clinical condition characterized by the engulfment of bone marrow cellular elements, including erythrocytes, leukocytes, platelets, and their precursors, by activated macrophages. It has been associated with several infectious organisms, including the Epstein-Barr virus (EBV) and histoplasmosis. Human immunodeficiency virus (HIV) has been known to trigger hemophagocytosis in the presence or absence of other infections. Disseminated histoplasmosis is a common opportunistic infection in advanced patients with acquired immunodeficiency syndrome (AIDS) in endemic areas; however, the best treatment for histoplasmosis associated with hemophagocytosis is uncertain. This article presents two cases of patients with AIDS secondary to uncontrolled HIV who were admitted with fever, malaise, low CD4 + counts, and a history of noncompliance with antiretroviral therapy (ART). Both patients had pancytopenia, markedly elevated serum ferritin, and elevated liver transaminases. The diagnosis of histoplasmosis was confirmed by positive fungal blood cultures, buffy coat smears showing intracellular fungal organisms, and positive urine <i>Histoplasma</i> antigen. Bone marrow biopsies revealed <i>Histoplasma capsulatum</i> (<i>H. capsulatum</i>) in Grocott methenamine silver (GMS) stains and fungal cultures, histiocytes with intracellular red blood cells, and precursors of granulocytes, consistent with hemophagocytosis. Both patients received amphotericin B but remained febrile and pancytopenic, eventually requiring corticosteroid therapy. We present our experience with these patients and discuss the management of hemophagocytosis in patients with AIDS with disseminated histoplasmosis. We also completed a literature review and created a list of all known cases of disseminated histoplasmosis complicated by HIV/AIDS and hemophagocytosis and listed previous treatments.</p>","PeriodicalId":9608,"journal":{"name":"Case Reports in Infectious Diseases","volume":"2025 ","pages":"2623694"},"PeriodicalIF":0.8000,"publicationDate":"2025-04-17","publicationTypes":"Journal Article","fieldsOfStudy":null,"isOpenAccess":false,"openAccessPdf":"https://www.ncbi.nlm.nih.gov/pmc/articles/PMC12021483/pdf/","citationCount":"0","resultStr":"{\"title\":\"Febrile Pancytopenia and Hemophagocytosis From Disseminated Histoplasmosis in HIV/AIDS Patients: Two Cases and a Review of Combined Antifungal and Steroid Therapy.\",\"authors\":\"Chinelo Animalu, Nupur Singh, Kenneth Cory Guice, Kase Maner\",\"doi\":\"10.1155/crdi/2623694\",\"DOIUrl\":null,\"url\":null,\"abstract\":\"<p><p>Hemophagocytosis is a clinical condition characterized by the engulfment of bone marrow cellular elements, including erythrocytes, leukocytes, platelets, and their precursors, by activated macrophages. It has been associated with several infectious organisms, including the Epstein-Barr virus (EBV) and histoplasmosis. Human immunodeficiency virus (HIV) has been known to trigger hemophagocytosis in the presence or absence of other infections. Disseminated histoplasmosis is a common opportunistic infection in advanced patients with acquired immunodeficiency syndrome (AIDS) in endemic areas; however, the best treatment for histoplasmosis associated with hemophagocytosis is uncertain. This article presents two cases of patients with AIDS secondary to uncontrolled HIV who were admitted with fever, malaise, low CD4 + counts, and a history of noncompliance with antiretroviral therapy (ART). Both patients had pancytopenia, markedly elevated serum ferritin, and elevated liver transaminases. The diagnosis of histoplasmosis was confirmed by positive fungal blood cultures, buffy coat smears showing intracellular fungal organisms, and positive urine <i>Histoplasma</i> antigen. Bone marrow biopsies revealed <i>Histoplasma capsulatum</i> (<i>H. capsulatum</i>) in Grocott methenamine silver (GMS) stains and fungal cultures, histiocytes with intracellular red blood cells, and precursors of granulocytes, consistent with hemophagocytosis. Both patients received amphotericin B but remained febrile and pancytopenic, eventually requiring corticosteroid therapy. We present our experience with these patients and discuss the management of hemophagocytosis in patients with AIDS with disseminated histoplasmosis. We also completed a literature review and created a list of all known cases of disseminated histoplasmosis complicated by HIV/AIDS and hemophagocytosis and listed previous treatments.</p>\",\"PeriodicalId\":9608,\"journal\":{\"name\":\"Case Reports in Infectious Diseases\",\"volume\":\"2025 \",\"pages\":\"2623694\"},\"PeriodicalIF\":0.8000,\"publicationDate\":\"2025-04-17\",\"publicationTypes\":\"Journal Article\",\"fieldsOfStudy\":null,\"isOpenAccess\":false,\"openAccessPdf\":\"https://www.ncbi.nlm.nih.gov/pmc/articles/PMC12021483/pdf/\",\"citationCount\":\"0\",\"resultStr\":null,\"platform\":\"Semanticscholar\",\"paperid\":null,\"PeriodicalName\":\"Case Reports in Infectious Diseases\",\"FirstCategoryId\":\"1085\",\"ListUrlMain\":\"https://doi.org/10.1155/crdi/2623694\",\"RegionNum\":0,\"RegionCategory\":null,\"ArticlePicture\":[],\"TitleCN\":null,\"AbstractTextCN\":null,\"PMCID\":null,\"EPubDate\":\"2025/1/1 0:00:00\",\"PubModel\":\"eCollection\",\"JCR\":\"Q4\",\"JCRName\":\"INFECTIOUS DISEASES\",\"Score\":null,\"Total\":0}","platform":"Semanticscholar","paperid":null,"PeriodicalName":"Case Reports in Infectious Diseases","FirstCategoryId":"1085","ListUrlMain":"https://doi.org/10.1155/crdi/2623694","RegionNum":0,"RegionCategory":null,"ArticlePicture":[],"TitleCN":null,"AbstractTextCN":null,"PMCID":null,"EPubDate":"2025/1/1 0:00:00","PubModel":"eCollection","JCR":"Q4","JCRName":"INFECTIOUS DISEASES","Score":null,"Total":0}
引用次数: 0

摘要

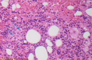
噬血细胞症是一种临床疾病,其特征是被活化的巨噬细胞吞噬骨髓细胞成分,包括红细胞、白细胞、血小板及其前体。它与几种传染性生物有关,包括爱泼斯坦-巴尔病毒(EBV)和组织浆菌病。已知人类免疫缺陷病毒(HIV)在存在或不存在其他感染的情况下都会引发噬血细胞症。播散性组织胞浆菌病是流行地区获得性免疫缺陷综合征(AIDS)晚期患者常见的机会性感染;然而,组织浆菌病合并噬血细胞症的最佳治疗方法尚不确定。本文介绍了两例继发于未控制的HIV的艾滋病患者,他们入院时伴有发热、不适、CD4 +计数低和不遵守抗逆转录病毒治疗(ART)的历史。两例患者均有全血细胞减少症,血清铁蛋白明显升高,肝转氨酶升高。组织浆菌病的诊断通过阳性的真菌血培养、显示细胞内真菌生物的灰白色被涂片和阳性的尿组织浆抗原得到证实。骨髓活组织检查显示,Grocott methenamine silver (GMS)染色和真菌培养中发现了荚膜组织浆(H. capsulatum),细胞内红细胞组织细胞和粒细胞前体,与噬血细胞症一致。两例患者均接受两性霉素B治疗,但仍保持发热和全细胞减少,最终需要皮质类固醇治疗。我们提出我们的经验与这些患者,并讨论了管理的噬血细胞症的艾滋病患者与播散性组织浆菌病。我们还完成了一项文献综述,并创建了所有已知的弥散性组织胞浆菌病合并HIV/AIDS和噬血细胞症的病例列表,并列出了以前的治疗方法。
本文章由计算机程序翻译,如有差异,请以英文原文为准。

Febrile Pancytopenia and Hemophagocytosis From Disseminated Histoplasmosis in HIV/AIDS Patients: Two Cases and a Review of Combined Antifungal and Steroid Therapy.

Febrile Pancytopenia and Hemophagocytosis From Disseminated Histoplasmosis in HIV/AIDS Patients: Two Cases and a Review of Combined Antifungal and Steroid Therapy.

Febrile Pancytopenia and Hemophagocytosis From Disseminated Histoplasmosis in HIV/AIDS Patients: Two Cases and a Review of Combined Antifungal and Steroid Therapy.

Hemophagocytosis is a clinical condition characterized by the engulfment of bone marrow cellular elements, including erythrocytes, leukocytes, platelets, and their precursors, by activated macrophages. It has been associated with several infectious organisms, including the Epstein-Barr virus (EBV) and histoplasmosis. Human immunodeficiency virus (HIV) has been known to trigger hemophagocytosis in the presence or absence of other infections. Disseminated histoplasmosis is a common opportunistic infection in advanced patients with acquired immunodeficiency syndrome (AIDS) in endemic areas; however, the best treatment for histoplasmosis associated with hemophagocytosis is uncertain. This article presents two cases of patients with AIDS secondary to uncontrolled HIV who were admitted with fever, malaise, low CD4 + counts, and a history of noncompliance with antiretroviral therapy (ART). Both patients had pancytopenia, markedly elevated serum ferritin, and elevated liver transaminases. The diagnosis of histoplasmosis was confirmed by positive fungal blood cultures, buffy coat smears showing intracellular fungal organisms, and positive urine Histoplasma antigen. Bone marrow biopsies revealed Histoplasma capsulatum (H. capsulatum) in Grocott methenamine silver (GMS) stains and fungal cultures, histiocytes with intracellular red blood cells, and precursors of granulocytes, consistent with hemophagocytosis. Both patients received amphotericin B but remained febrile and pancytopenic, eventually requiring corticosteroid therapy. We present our experience with these patients and discuss the management of hemophagocytosis in patients with AIDS with disseminated histoplasmosis. We also completed a literature review and created a list of all known cases of disseminated histoplasmosis complicated by HIV/AIDS and hemophagocytosis and listed previous treatments.

求助全文
通过发布文献求助,成功后即可免费获取论文全文。 去求助
来源期刊
自引率
0.00%
发文量
64
审稿时长
13 weeks
×
引用
GB/T 7714-2015
复制
MLA
复制
APA
复制
导出至
BibTeX EndNote RefMan NoteFirst NoteExpress
×
提示
您的信息不完整,为了账户安全,请先补充。
现在去补充
×
提示
您因"违规操作"
具体请查看互助需知
我知道了
×
提示
确定
请完成安全验证×
copy
已复制链接
快去分享给好友吧!
我知道了
右上角分享
点击右上角分享
0
联系我们:info@booksci.cn Book学术提供免费学术资源搜索服务,方便国内外学者检索中英文文献。致力于提供最便捷和优质的服务体验。 Copyright © 2023 布克学术 All rights reserved.
京ICP备2023020795号-1
ghs 京公网安备 11010802042870号
Book学术文献互助
Book学术文献互助群
群 号:604180095
Book学术官方微信