诊断准确性高,但复杂性阑尾炎的持续风险:来自沙特阿拉伯Hail省的回顾性分析。

IF 0.8 Q3 MEDICINE, GENERAL & INTERNAL
Alfatih Mohamed Ahmed Aljanib, Faisal Fawaz Alshammari, Fahad Maiyah Alshammari, Ali Ahmed Alqahtani, Bandar Alsaif, Jerold C Alcantara, Abdulaziz Bin Ali Alshammari, Talal Alharazi
{"title":"诊断准确性高,但复杂性阑尾炎的持续风险:来自沙特阿拉伯Hail省的回顾性分析。","authors":"Alfatih Mohamed Ahmed Aljanib, Faisal Fawaz Alshammari, Fahad Maiyah Alshammari, Ali Ahmed Alqahtani, Bandar Alsaif, Jerold C Alcantara, Abdulaziz Bin Ali Alshammari, Talal Alharazi","doi":"10.4103/ijabmr.ijabmr_529_24","DOIUrl":null,"url":null,"abstract":"<p><strong>Context: </strong>Acute appendicitis is a common surgical emergency. While clinical diagnosis is generally effective, it is not perfect, potentially leading to negative appendectomies or delayed treatment.</p><p><strong>Aims: </strong>This study investigated the histopathological patterns of appendectomy specimens in King Khalid Hospital, Hail Province, Saudi Arabia, correlating them with preoperative clinical diagnoses to assess diagnostic accuracy and guide optimal management.</p><p><strong>Subjects and methods: </strong>A retrospective analysis was conducted on 198 patients who underwent appendectomies between August 2023 and July 2024. Resected appendix specimens underwent histopathological examination and were categorized as inflamed, malignant, or benign. Clinical data and histopathological findings were compared using statistical analyses, including Fisher's exact test, to assess diagnostic accuracy and explore potential associations between patient demographics, appendicitis severity, and clinical presentation.</p><p><strong>Results: </strong>The study cohort consisted predominantly of young males (78.8%, mean age: 26 ± 9.2 years), with no pediatric cases included. The most common histopathological finding was an inflamed appendix (99.5%), with acute inflammation being most prevalent (86.9%). Perforation (10.1%) and gangrenous changes (2.5%) were also observed. A rare case of negative appendectomy (0.5%) was attributed to a perforated Meckel's diverticulum.</p><p><strong>Conclusions: </strong>This study demonstrates a high preoperative diagnostic accuracy for acute appendicitis. However, the occurrence of negative appendectomies and complicated cases, particularly in young adult males, highlights the need for continuous vigilance and refinement of diagnostic approaches. Further research exploring age- and sex-specific risk factors for complicated appendicitis is crucial to optimizing patient management strategies and minimizing unnecessary surgical interventions.</p>","PeriodicalId":13727,"journal":{"name":"International Journal of Applied and Basic Medical Research","volume":"15 2","pages":"85-90"},"PeriodicalIF":0.8000,"publicationDate":"2025-04-01","publicationTypes":"Journal Article","fieldsOfStudy":null,"isOpenAccess":false,"openAccessPdf":"https://www.ncbi.nlm.nih.gov/pmc/articles/PMC12058051/pdf/","citationCount":"0","resultStr":"{\"title\":\"High Diagnostic Accuracy but Persistent Risk of Complicated Appendicitis: A Retrospective Analysis from Hail Province, Saudi Arabia.\",\"authors\":\"Alfatih Mohamed Ahmed Aljanib, Faisal Fawaz Alshammari, Fahad Maiyah Alshammari, Ali Ahmed Alqahtani, Bandar Alsaif, Jerold C Alcantara, Abdulaziz Bin Ali Alshammari, Talal Alharazi\",\"doi\":\"10.4103/ijabmr.ijabmr_529_24\",\"DOIUrl\":null,\"url\":null,\"abstract\":\"<p><strong>Context: </strong>Acute appendicitis is a common surgical emergency. While clinical diagnosis is generally effective, it is not perfect, potentially leading to negative appendectomies or delayed treatment.</p><p><strong>Aims: </strong>This study investigated the histopathological patterns of appendectomy specimens in King Khalid Hospital, Hail Province, Saudi Arabia, correlating them with preoperative clinical diagnoses to assess diagnostic accuracy and guide optimal management.</p><p><strong>Subjects and methods: </strong>A retrospective analysis was conducted on 198 patients who underwent appendectomies between August 2023 and July 2024. Resected appendix specimens underwent histopathological examination and were categorized as inflamed, malignant, or benign. Clinical data and histopathological findings were compared using statistical analyses, including Fisher's exact test, to assess diagnostic accuracy and explore potential associations between patient demographics, appendicitis severity, and clinical presentation.</p><p><strong>Results: </strong>The study cohort consisted predominantly of young males (78.8%, mean age: 26 ± 9.2 years), with no pediatric cases included. The most common histopathological finding was an inflamed appendix (99.5%), with acute inflammation being most prevalent (86.9%). Perforation (10.1%) and gangrenous changes (2.5%) were also observed. A rare case of negative appendectomy (0.5%) was attributed to a perforated Meckel's diverticulum.</p><p><strong>Conclusions: </strong>This study demonstrates a high preoperative diagnostic accuracy for acute appendicitis. However, the occurrence of negative appendectomies and complicated cases, particularly in young adult males, highlights the need for continuous vigilance and refinement of diagnostic approaches. Further research exploring age- and sex-specific risk factors for complicated appendicitis is crucial to optimizing patient management strategies and minimizing unnecessary surgical interventions.</p>\",\"PeriodicalId\":13727,\"journal\":{\"name\":\"International Journal of Applied and Basic Medical Research\",\"volume\":\"15 2\",\"pages\":\"85-90\"},\"PeriodicalIF\":0.8000,\"publicationDate\":\"2025-04-01\",\"publicationTypes\":\"Journal Article\",\"fieldsOfStudy\":null,\"isOpenAccess\":false,\"openAccessPdf\":\"https://www.ncbi.nlm.nih.gov/pmc/articles/PMC12058051/pdf/\",\"citationCount\":\"0\",\"resultStr\":null,\"platform\":\"Semanticscholar\",\"paperid\":null,\"PeriodicalName\":\"International Journal of Applied and Basic Medical Research\",\"FirstCategoryId\":\"1085\",\"ListUrlMain\":\"https://doi.org/10.4103/ijabmr.ijabmr_529_24\",\"RegionNum\":0,\"RegionCategory\":null,\"ArticlePicture\":[],\"TitleCN\":null,\"AbstractTextCN\":null,\"PMCID\":null,\"EPubDate\":\"2025/4/7 0:00:00\",\"PubModel\":\"Epub\",\"JCR\":\"Q3\",\"JCRName\":\"MEDICINE, GENERAL & INTERNAL\",\"Score\":null,\"Total\":0}","platform":"Semanticscholar","paperid":null,"PeriodicalName":"International Journal of Applied and Basic Medical Research","FirstCategoryId":"1085","ListUrlMain":"https://doi.org/10.4103/ijabmr.ijabmr_529_24","RegionNum":0,"RegionCategory":null,"ArticlePicture":[],"TitleCN":null,"AbstractTextCN":null,"PMCID":null,"EPubDate":"2025/4/7 0:00:00","PubModel":"Epub","JCR":"Q3","JCRName":"MEDICINE, GENERAL & INTERNAL","Score":null,"Total":0}
引用次数: 0

摘要

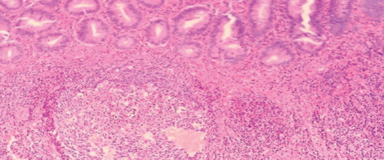
背景:急性阑尾炎是一种常见的外科急症。虽然临床诊断通常是有效的,但它并不完美,可能导致阑尾切除术阴性或延迟治疗。目的:本研究探讨沙特阿拉伯Hail省哈立德国王医院阑尾切除术标本的组织病理学特征,并将其与术前临床诊断相关联,以评估诊断的准确性并指导最佳治疗。对象与方法:对2023年8月至2024年7月行阑尾切除术的198例患者进行回顾性分析。切除的阑尾标本进行组织病理学检查,分为炎症、恶性和良性。临床资料和组织病理学结果使用统计分析进行比较,包括Fisher精确检验,以评估诊断的准确性,并探索患者人口统计学、阑尾炎严重程度和临床表现之间的潜在关联。结果:研究队列主要由年轻男性组成(78.8%,平均年龄:26±9.2岁),未包括儿科病例。最常见的组织病理学发现是阑尾炎症(99.5%),急性炎症最常见(86.9%)。穿孔(10.1%)和坏疽(2.5%)。一例罕见的阑尾切除阴性病例(0.5%)归因于梅克尔憩室穿孔。结论:本研究显示急性阑尾炎的术前诊断准确率较高。然而,阴性阑尾切除术和复杂病例的发生,特别是在年轻成年男性中,突出了持续警惕和改进诊断方法的必要性。进一步研究复杂阑尾炎的年龄和性别特异性危险因素对于优化患者管理策略和减少不必要的手术干预至关重要。
本文章由计算机程序翻译,如有差异,请以英文原文为准。

High Diagnostic Accuracy but Persistent Risk of Complicated Appendicitis: A Retrospective Analysis from Hail Province, Saudi Arabia.

High Diagnostic Accuracy but Persistent Risk of Complicated Appendicitis: A Retrospective Analysis from Hail Province, Saudi Arabia.

Context: Acute appendicitis is a common surgical emergency. While clinical diagnosis is generally effective, it is not perfect, potentially leading to negative appendectomies or delayed treatment.

Aims: This study investigated the histopathological patterns of appendectomy specimens in King Khalid Hospital, Hail Province, Saudi Arabia, correlating them with preoperative clinical diagnoses to assess diagnostic accuracy and guide optimal management.

Subjects and methods: A retrospective analysis was conducted on 198 patients who underwent appendectomies between August 2023 and July 2024. Resected appendix specimens underwent histopathological examination and were categorized as inflamed, malignant, or benign. Clinical data and histopathological findings were compared using statistical analyses, including Fisher's exact test, to assess diagnostic accuracy and explore potential associations between patient demographics, appendicitis severity, and clinical presentation.

Results: The study cohort consisted predominantly of young males (78.8%, mean age: 26 ± 9.2 years), with no pediatric cases included. The most common histopathological finding was an inflamed appendix (99.5%), with acute inflammation being most prevalent (86.9%). Perforation (10.1%) and gangrenous changes (2.5%) were also observed. A rare case of negative appendectomy (0.5%) was attributed to a perforated Meckel's diverticulum.

Conclusions: This study demonstrates a high preoperative diagnostic accuracy for acute appendicitis. However, the occurrence of negative appendectomies and complicated cases, particularly in young adult males, highlights the need for continuous vigilance and refinement of diagnostic approaches. Further research exploring age- and sex-specific risk factors for complicated appendicitis is crucial to optimizing patient management strategies and minimizing unnecessary surgical interventions.

求助全文
通过发布文献求助,成功后即可免费获取论文全文。 去求助
来源期刊
自引率
0.00%
发文量
46
×
引用
GB/T 7714-2015
复制
MLA
复制
APA
复制
导出至
BibTeX EndNote RefMan NoteFirst NoteExpress
×
提示
您的信息不完整,为了账户安全,请先补充。
现在去补充
×
提示
您因"违规操作"
具体请查看互助需知
我知道了
×
提示
确定
请完成安全验证×
copy
已复制链接
快去分享给好友吧!
我知道了
右上角分享
点击右上角分享
0
联系我们:info@booksci.cn Book学术提供免费学术资源搜索服务,方便国内外学者检索中英文文献。致力于提供最便捷和优质的服务体验。 Copyright © 2023 布克学术 All rights reserved.
京ICP备2023020795号-1
ghs 京公网安备 11010802042870号
Book学术文献互助
Book学术文献互助群
群 号:604180095
Book学术官方微信