槲皮素通过改变精子发生和解开3β-HSD、17β-HSD和StAR通路介导高脂肪饮食诱导的男性生殖功能障碍的恢复。

IF 2.7 3区 医学 Q2 PHARMACOLOGY & PHARMACY
Mona H Hafez, Shereen B Gad, Yasser S El-Sayed
{"title":"槲皮素通过改变精子发生和解开3β-HSD、17β-HSD和StAR通路介导高脂肪饮食诱导的男性生殖功能障碍的恢复。","authors":"Mona H Hafez, Shereen B Gad, Yasser S El-Sayed","doi":"10.1186/s40360-025-00918-y","DOIUrl":null,"url":null,"abstract":"<p><strong>Purpose: </strong>We explored the astounding potential of quercetin (QRT) to counteract the determinantal impacts of a high-fat diet (HFD) on testicular function in rat model. The goal was to understand how QRT, and its mechanisms of action can protect testicular health from HFD.</p><p><strong>Methods: </strong>Rats were divided into four groups receiving a control diet, QRT supplement (100 mg/kg), HFD, or HFD plus QRT for 8 weeks. Afterward, assessments were conducted, and reproductive organs were analyzed for hormone levels, gene expression, and subjected to biochemical, histopathological, and immunohistochemical analyses.</p><p><strong>Results: </strong>The HFD caused substantial declines in testicular weight, accessory sex glands and epididymis. The HFD also negatively impacted sperm characteristics including reduced motility, viability, and count, along with impaired morphology. Additionally, the HFD decreased testosterone levels in the testes and serum, impaired antioxidant enzymes like superoxide dismutase (SOD), glutathione peroxidase (GPx), and catalase, and reduced expression of key steroid metabolism enzymes 17β-hydroxysteroid dehydrogenase (17β-HSD), 3β-hydroxysteroid dehydrogenase (3β-HSD), and steroidogenic acute regulatory protein (StAR) involved in testosterone synthesis. These changes were paired with enhanced testicular lipid peroxidation, nitrite, and the inflammatory marker tumor necrosis factor-alpha (TNF-α), reflecting the damaging еffеcts of the HFD. Examination of testicular tissues verified structural damage and significantly fewer proliferating cell nuclear antigen (PCNA)-positive spermatogenic cells in seminiferous tubules of HFD-fed group, confirming HFD's adverse еffеcts.</p><p><strong>Conclusion: </strong>QRT supplementation was able to curb the harmful impacts of the HFD on testicular spermatogenesis and steroidogenesis through its antioxidant, anti-inflammatory and androgen boosting properties.</p>","PeriodicalId":9023,"journal":{"name":"BMC Pharmacology & Toxicology","volume":"26 1","pages":"90"},"PeriodicalIF":2.7000,"publicationDate":"2025-04-22","publicationTypes":"Journal Article","fieldsOfStudy":null,"isOpenAccess":false,"openAccessPdf":"https://www.ncbi.nlm.nih.gov/pmc/articles/PMC12016373/pdf/","citationCount":"0","resultStr":"{\"title\":\"Quercetin-mediated restoration of high-fat diet-induced male reproductive dysfunction through modifying spermatogenesis and unraveling 3β-HSD, 17β-HSD, and StAR pathways.\",\"authors\":\"Mona H Hafez, Shereen B Gad, Yasser S El-Sayed\",\"doi\":\"10.1186/s40360-025-00918-y\",\"DOIUrl\":null,\"url\":null,\"abstract\":\"<p><strong>Purpose: </strong>We explored the astounding potential of quercetin (QRT) to counteract the determinantal impacts of a high-fat diet (HFD) on testicular function in rat model. The goal was to understand how QRT, and its mechanisms of action can protect testicular health from HFD.</p><p><strong>Methods: </strong>Rats were divided into four groups receiving a control diet, QRT supplement (100 mg/kg), HFD, or HFD plus QRT for 8 weeks. Afterward, assessments were conducted, and reproductive organs were analyzed for hormone levels, gene expression, and subjected to biochemical, histopathological, and immunohistochemical analyses.</p><p><strong>Results: </strong>The HFD caused substantial declines in testicular weight, accessory sex glands and epididymis. The HFD also negatively impacted sperm characteristics including reduced motility, viability, and count, along with impaired morphology. Additionally, the HFD decreased testosterone levels in the testes and serum, impaired antioxidant enzymes like superoxide dismutase (SOD), glutathione peroxidase (GPx), and catalase, and reduced expression of key steroid metabolism enzymes 17β-hydroxysteroid dehydrogenase (17β-HSD), 3β-hydroxysteroid dehydrogenase (3β-HSD), and steroidogenic acute regulatory protein (StAR) involved in testosterone synthesis. These changes were paired with enhanced testicular lipid peroxidation, nitrite, and the inflammatory marker tumor necrosis factor-alpha (TNF-α), reflecting the damaging еffеcts of the HFD. Examination of testicular tissues verified structural damage and significantly fewer proliferating cell nuclear antigen (PCNA)-positive spermatogenic cells in seminiferous tubules of HFD-fed group, confirming HFD's adverse еffеcts.</p><p><strong>Conclusion: </strong>QRT supplementation was able to curb the harmful impacts of the HFD on testicular spermatogenesis and steroidogenesis through its antioxidant, anti-inflammatory and androgen boosting properties.</p>\",\"PeriodicalId\":9023,\"journal\":{\"name\":\"BMC Pharmacology & Toxicology\",\"volume\":\"26 1\",\"pages\":\"90\"},\"PeriodicalIF\":2.7000,\"publicationDate\":\"2025-04-22\",\"publicationTypes\":\"Journal Article\",\"fieldsOfStudy\":null,\"isOpenAccess\":false,\"openAccessPdf\":\"https://www.ncbi.nlm.nih.gov/pmc/articles/PMC12016373/pdf/\",\"citationCount\":\"0\",\"resultStr\":null,\"platform\":\"Semanticscholar\",\"paperid\":null,\"PeriodicalName\":\"BMC Pharmacology & Toxicology\",\"FirstCategoryId\":\"3\",\"ListUrlMain\":\"https://doi.org/10.1186/s40360-025-00918-y\",\"RegionNum\":3,\"RegionCategory\":\"医学\",\"ArticlePicture\":[],\"TitleCN\":null,\"AbstractTextCN\":null,\"PMCID\":null,\"EPubDate\":\"\",\"PubModel\":\"\",\"JCR\":\"Q2\",\"JCRName\":\"PHARMACOLOGY & PHARMACY\",\"Score\":null,\"Total\":0}","platform":"Semanticscholar","paperid":null,"PeriodicalName":"BMC Pharmacology & Toxicology","FirstCategoryId":"3","ListUrlMain":"https://doi.org/10.1186/s40360-025-00918-y","RegionNum":3,"RegionCategory":"医学","ArticlePicture":[],"TitleCN":null,"AbstractTextCN":null,"PMCID":null,"EPubDate":"","PubModel":"","JCR":"Q2","JCRName":"PHARMACOLOGY & PHARMACY","Score":null,"Total":0}
引用次数: 0

摘要

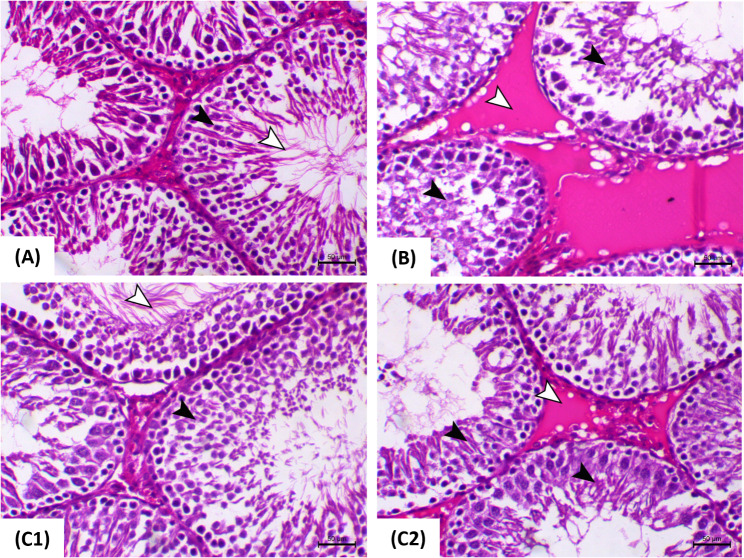
目的:我们探索槲皮素(QRT)在大鼠模型中抵消高脂肪饮食(HFD)对睾丸功能的决定性影响的惊人潜力。目的是了解QRT及其作用机制如何保护睾丸健康免受HFD的影响。方法:将大鼠分为4组,分别给予对照饮食、QRT补充(100 mg/kg)、HFD或HFD加QRT,连续8周。之后进行评估,分析生殖器官的激素水平、基因表达,并进行生化、组织病理学和免疫组织化学分析。结果:HFD使睾丸重量、附属性腺和附睾明显下降。HFD还会对精子特征产生负面影响,包括活力、活力和数量下降,以及形态受损。此外,HFD降低了睾丸和血清中的睾酮水平,破坏了超氧化物歧化酶(SOD)、谷胱甘肽过氧化物酶(GPx)和过氧化氢酶等抗氧化酶,降低了参与睾酮合成的关键类固醇代谢酶17β-羟基类固醇脱氢酶(17β-HSD)、3β-羟基类固醇脱氢酶(3β-HSD)和类固醇急性调节蛋白(StAR)的表达。这些变化与睾丸脂质过氧化、亚硝酸盐和炎症标志物肿瘤坏死因子-α (TNF-α)的增强相结合,反映了HFD的破坏性。对睾丸组织的检查证实了HFD喂养组的结构损伤和精管中增殖细胞核抗原(PCNA)阳性的生精细胞明显减少,证实了HFD的不良反应。结论:补充QRT可通过其抗氧化、抗炎和促雄激素的特性抑制HFD对睾丸精子发生和类固醇生成的有害影响。
本文章由计算机程序翻译,如有差异,请以英文原文为准。

Quercetin-mediated restoration of high-fat diet-induced male reproductive dysfunction through modifying spermatogenesis and unraveling 3β-HSD, 17β-HSD, and StAR pathways.

Quercetin-mediated restoration of high-fat diet-induced male reproductive dysfunction through modifying spermatogenesis and unraveling 3β-HSD, 17β-HSD, and StAR pathways.

Quercetin-mediated restoration of high-fat diet-induced male reproductive dysfunction through modifying spermatogenesis and unraveling 3β-HSD, 17β-HSD, and StAR pathways.

Quercetin-mediated restoration of high-fat diet-induced male reproductive dysfunction through modifying spermatogenesis and unraveling 3β-HSD, 17β-HSD, and StAR pathways.

Purpose: We explored the astounding potential of quercetin (QRT) to counteract the determinantal impacts of a high-fat diet (HFD) on testicular function in rat model. The goal was to understand how QRT, and its mechanisms of action can protect testicular health from HFD.

Methods: Rats were divided into four groups receiving a control diet, QRT supplement (100 mg/kg), HFD, or HFD plus QRT for 8 weeks. Afterward, assessments were conducted, and reproductive organs were analyzed for hormone levels, gene expression, and subjected to biochemical, histopathological, and immunohistochemical analyses.

Results: The HFD caused substantial declines in testicular weight, accessory sex glands and epididymis. The HFD also negatively impacted sperm characteristics including reduced motility, viability, and count, along with impaired morphology. Additionally, the HFD decreased testosterone levels in the testes and serum, impaired antioxidant enzymes like superoxide dismutase (SOD), glutathione peroxidase (GPx), and catalase, and reduced expression of key steroid metabolism enzymes 17β-hydroxysteroid dehydrogenase (17β-HSD), 3β-hydroxysteroid dehydrogenase (3β-HSD), and steroidogenic acute regulatory protein (StAR) involved in testosterone synthesis. These changes were paired with enhanced testicular lipid peroxidation, nitrite, and the inflammatory marker tumor necrosis factor-alpha (TNF-α), reflecting the damaging еffеcts of the HFD. Examination of testicular tissues verified structural damage and significantly fewer proliferating cell nuclear antigen (PCNA)-positive spermatogenic cells in seminiferous tubules of HFD-fed group, confirming HFD's adverse еffеcts.

Conclusion: QRT supplementation was able to curb the harmful impacts of the HFD on testicular spermatogenesis and steroidogenesis through its antioxidant, anti-inflammatory and androgen boosting properties.

求助全文
通过发布文献求助,成功后即可免费获取论文全文。 去求助
来源期刊
BMC Pharmacology & Toxicology
BMC Pharmacology & Toxicology PHARMACOLOGY & PHARMACYTOXICOLOGY&nb-TOXICOLOGY
CiteScore
4.80
自引率
0.00%
发文量
87
审稿时长
12 weeks
期刊介绍: BMC Pharmacology and Toxicology is an open access, peer-reviewed journal that considers articles on all aspects of chemically defined therapeutic and toxic agents. The journal welcomes submissions from all fields of experimental and clinical pharmacology including clinical trials and toxicology.
×
引用
GB/T 7714-2015
复制
MLA
复制
APA
复制
导出至
BibTeX EndNote RefMan NoteFirst NoteExpress
×
提示
您的信息不完整,为了账户安全,请先补充。
现在去补充
×
提示
您因"违规操作"
具体请查看互助需知
我知道了
×
提示
确定
请完成安全验证×
copy
已复制链接
快去分享给好友吧!
我知道了
右上角分享
点击右上角分享
0
联系我们:info@booksci.cn Book学术提供免费学术资源搜索服务,方便国内外学者检索中英文文献。致力于提供最便捷和优质的服务体验。 Copyright © 2023 布克学术 All rights reserved.
京ICP备2023020795号-1
ghs 京公网安备 11010802042870号
Book学术文献互助
Book学术文献互助群
群 号:604180095
Book学术官方微信