新冠肺炎合并气管支气管曲霉病1例报告。

IF 0.8 Q4 INFECTIOUS DISEASES
Case Reports in Infectious Diseases Pub Date : 2025-04-13 eCollection Date: 2025-01-01 DOI:10.1155/crdi/4627040
Haolei Liu, Hailu Jiao, Jun Feng, Hui Gao, Shikui Wu
{"title":"新冠肺炎合并气管支气管曲霉病1例报告。","authors":"Haolei Liu, Hailu Jiao, Jun Feng, Hui Gao, Shikui Wu","doi":"10.1155/crdi/4627040","DOIUrl":null,"url":null,"abstract":"<p><p>The concurrence of COVID-19 and tracheobronchial aspergillosis (TBA) is rarely documented in clinical practice. This report presents a case of TBA in a patient diagnosed with COVID-19 prior to the administration of immunosuppressive agents. This case underscores the necessity of considering fungal infections in patients with COVID-19, even during the early stages of the disease. The combination of timely bronchoscopy, antiviral therapy, and antifungal treatment resulted in favorable therapeutic outcomes for the patient.</p>","PeriodicalId":9608,"journal":{"name":"Case Reports in Infectious Diseases","volume":"2025 ","pages":"4627040"},"PeriodicalIF":0.8000,"publicationDate":"2025-04-13","publicationTypes":"Journal Article","fieldsOfStudy":null,"isOpenAccess":false,"openAccessPdf":"https://www.ncbi.nlm.nih.gov/pmc/articles/PMC12009674/pdf/","citationCount":"0","resultStr":"{\"title\":\"A Case Report of COVID-19 With Tracheobronchial Aspergillosis.\",\"authors\":\"Haolei Liu, Hailu Jiao, Jun Feng, Hui Gao, Shikui Wu\",\"doi\":\"10.1155/crdi/4627040\",\"DOIUrl\":null,\"url\":null,\"abstract\":\"<p><p>The concurrence of COVID-19 and tracheobronchial aspergillosis (TBA) is rarely documented in clinical practice. This report presents a case of TBA in a patient diagnosed with COVID-19 prior to the administration of immunosuppressive agents. This case underscores the necessity of considering fungal infections in patients with COVID-19, even during the early stages of the disease. The combination of timely bronchoscopy, antiviral therapy, and antifungal treatment resulted in favorable therapeutic outcomes for the patient.</p>\",\"PeriodicalId\":9608,\"journal\":{\"name\":\"Case Reports in Infectious Diseases\",\"volume\":\"2025 \",\"pages\":\"4627040\"},\"PeriodicalIF\":0.8000,\"publicationDate\":\"2025-04-13\",\"publicationTypes\":\"Journal Article\",\"fieldsOfStudy\":null,\"isOpenAccess\":false,\"openAccessPdf\":\"https://www.ncbi.nlm.nih.gov/pmc/articles/PMC12009674/pdf/\",\"citationCount\":\"0\",\"resultStr\":null,\"platform\":\"Semanticscholar\",\"paperid\":null,\"PeriodicalName\":\"Case Reports in Infectious Diseases\",\"FirstCategoryId\":\"1085\",\"ListUrlMain\":\"https://doi.org/10.1155/crdi/4627040\",\"RegionNum\":0,\"RegionCategory\":null,\"ArticlePicture\":[],\"TitleCN\":null,\"AbstractTextCN\":null,\"PMCID\":null,\"EPubDate\":\"2025/1/1 0:00:00\",\"PubModel\":\"eCollection\",\"JCR\":\"Q4\",\"JCRName\":\"INFECTIOUS DISEASES\",\"Score\":null,\"Total\":0}","platform":"Semanticscholar","paperid":null,"PeriodicalName":"Case Reports in Infectious Diseases","FirstCategoryId":"1085","ListUrlMain":"https://doi.org/10.1155/crdi/4627040","RegionNum":0,"RegionCategory":null,"ArticlePicture":[],"TitleCN":null,"AbstractTextCN":null,"PMCID":null,"EPubDate":"2025/1/1 0:00:00","PubModel":"eCollection","JCR":"Q4","JCRName":"INFECTIOUS DISEASES","Score":null,"Total":0}
引用次数: 0

摘要

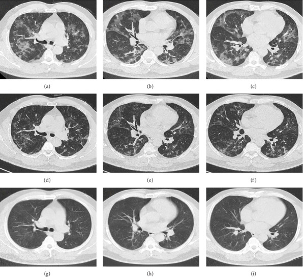
COVID-19合并气管支气管曲霉病(TBA)在临床实践中很少有文献记载。本报告报告了一例在使用免疫抑制剂之前被诊断为COVID-19的患者发生TBA的病例。这一病例强调了考虑COVID-19患者真菌感染的必要性,即使是在疾病的早期阶段。及时的支气管镜检查、抗病毒治疗和抗真菌治疗的结合使患者获得了良好的治疗结果。
本文章由计算机程序翻译,如有差异,请以英文原文为准。

A Case Report of COVID-19 With Tracheobronchial Aspergillosis.

A Case Report of COVID-19 With Tracheobronchial Aspergillosis.

A Case Report of COVID-19 With Tracheobronchial Aspergillosis.

A Case Report of COVID-19 With Tracheobronchial Aspergillosis.

The concurrence of COVID-19 and tracheobronchial aspergillosis (TBA) is rarely documented in clinical practice. This report presents a case of TBA in a patient diagnosed with COVID-19 prior to the administration of immunosuppressive agents. This case underscores the necessity of considering fungal infections in patients with COVID-19, even during the early stages of the disease. The combination of timely bronchoscopy, antiviral therapy, and antifungal treatment resulted in favorable therapeutic outcomes for the patient.

求助全文
通过发布文献求助,成功后即可免费获取论文全文。 去求助
来源期刊
自引率
0.00%
发文量
64
审稿时长
13 weeks
×
引用
GB/T 7714-2015
复制
MLA
复制
APA
复制
导出至
BibTeX EndNote RefMan NoteFirst NoteExpress
×
提示
您的信息不完整,为了账户安全,请先补充。
现在去补充
×
提示
您因"违规操作"
具体请查看互助需知
我知道了
×
提示
确定
请完成安全验证×
copy
已复制链接
快去分享给好友吧!
我知道了
右上角分享
点击右上角分享
0
联系我们:info@booksci.cn Book学术提供免费学术资源搜索服务,方便国内外学者检索中英文文献。致力于提供最便捷和优质的服务体验。 Copyright © 2023 布克学术 All rights reserved.
京ICP备2023020795号-1
ghs 京公网安备 11010802042870号
Book学术文献互助
Book学术文献互助群
群 号:604180095
Book学术官方微信