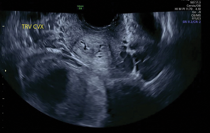
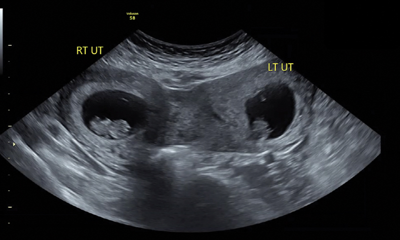
双子宫双腔妊娠伴肾发育不全。

IF 0.6 Q4 PEDIATRICS
AJP Reports Pub Date : 2025-04-10 eCollection Date: 2025-04-01 DOI:10.1055/a-2562-1607
Helen Woolcock Martinez, Noora Haghighi, Whitney A Booker
{"title":"双子宫双腔妊娠伴肾发育不全。","authors":"Helen Woolcock Martinez, Noora Haghighi, Whitney A Booker","doi":"10.1055/a-2562-1607","DOIUrl":null,"url":null,"abstract":"<p><strong>Introduction: </strong>A didelphys uterus is a rare Müllerian duct anomaly (MDA) caused by the incomplete fusion of the Müllerian ducts, leading to the formation of two distinct uterine cavities. The occurrence of simultaneous twin pregnancies, with each fetus developing in a separate horn of a didelphys uterus, is estimated at approximately 1 in 1,000,000 cases. This case report describes a rare instance of a spontaneous dichorionic diamniotic twin pregnancy, with one fetus in each horn of a didelphys uterus.</p><p><strong>Case description: </strong>This is the case of a 35-year-old woman with unilateral renal agenesis who presented with a spontaneous dichorionic diamniotic twin pregnancy, with one fetus in each uterine cavity. This patient's pregnancy complications included intrahepatic cholestasis of pregnancy and rising creatinine levels, leading to a planned cesarean delivery at 36 weeks. The delivery was complicated by intrapartum hemorrhage and the postpartum course was further complicated by sepsis and endometritis.</p><p><strong>Conclusion: </strong>This case highlights the complexity of managing a dichorionic diamniotic twin pregnancy in a didelphys uterus with concomitant congenital unilateral renal agenesis. It contributes to the understanding of optimal management strategies for MDA presentations and highlights the necessity for ongoing research into complications and long-term outcomes associated with such anomalies.</p>","PeriodicalId":7645,"journal":{"name":"AJP Reports","volume":"15 2","pages":"e53-e57"},"PeriodicalIF":0.6000,"publicationDate":"2025-04-10","publicationTypes":"Journal Article","fieldsOfStudy":null,"isOpenAccess":false,"openAccessPdf":"https://www.ncbi.nlm.nih.gov/pmc/articles/PMC12020541/pdf/","citationCount":"0","resultStr":"{\"title\":\"Di-Cavitary Twin Pregnancy in Didelphys Uterus with Associated Renal Agenesis.\",\"authors\":\"Helen Woolcock Martinez, Noora Haghighi, Whitney A Booker\",\"doi\":\"10.1055/a-2562-1607\",\"DOIUrl\":null,\"url\":null,\"abstract\":\"<p><strong>Introduction: </strong>A didelphys uterus is a rare Müllerian duct anomaly (MDA) caused by the incomplete fusion of the Müllerian ducts, leading to the formation of two distinct uterine cavities. The occurrence of simultaneous twin pregnancies, with each fetus developing in a separate horn of a didelphys uterus, is estimated at approximately 1 in 1,000,000 cases. This case report describes a rare instance of a spontaneous dichorionic diamniotic twin pregnancy, with one fetus in each horn of a didelphys uterus.</p><p><strong>Case description: </strong>This is the case of a 35-year-old woman with unilateral renal agenesis who presented with a spontaneous dichorionic diamniotic twin pregnancy, with one fetus in each uterine cavity. This patient's pregnancy complications included intrahepatic cholestasis of pregnancy and rising creatinine levels, leading to a planned cesarean delivery at 36 weeks. The delivery was complicated by intrapartum hemorrhage and the postpartum course was further complicated by sepsis and endometritis.</p><p><strong>Conclusion: </strong>This case highlights the complexity of managing a dichorionic diamniotic twin pregnancy in a didelphys uterus with concomitant congenital unilateral renal agenesis. It contributes to the understanding of optimal management strategies for MDA presentations and highlights the necessity for ongoing research into complications and long-term outcomes associated with such anomalies.</p>\",\"PeriodicalId\":7645,\"journal\":{\"name\":\"AJP Reports\",\"volume\":\"15 2\",\"pages\":\"e53-e57\"},\"PeriodicalIF\":0.6000,\"publicationDate\":\"2025-04-10\",\"publicationTypes\":\"Journal Article\",\"fieldsOfStudy\":null,\"isOpenAccess\":false,\"openAccessPdf\":\"https://www.ncbi.nlm.nih.gov/pmc/articles/PMC12020541/pdf/\",\"citationCount\":\"0\",\"resultStr\":null,\"platform\":\"Semanticscholar\",\"paperid\":null,\"PeriodicalName\":\"AJP Reports\",\"FirstCategoryId\":\"1085\",\"ListUrlMain\":\"https://doi.org/10.1055/a-2562-1607\",\"RegionNum\":0,\"RegionCategory\":null,\"ArticlePicture\":[],\"TitleCN\":null,\"AbstractTextCN\":null,\"PMCID\":null,\"EPubDate\":\"2025/4/1 0:00:00\",\"PubModel\":\"eCollection\",\"JCR\":\"Q4\",\"JCRName\":\"PEDIATRICS\",\"Score\":null,\"Total\":0}","platform":"Semanticscholar","paperid":null,"PeriodicalName":"AJP Reports","FirstCategoryId":"1085","ListUrlMain":"https://doi.org/10.1055/a-2562-1607","RegionNum":0,"RegionCategory":null,"ArticlePicture":[],"TitleCN":null,"AbstractTextCN":null,"PMCID":null,"EPubDate":"2025/4/1 0:00:00","PubModel":"eCollection","JCR":"Q4","JCRName":"PEDIATRICS","Score":null,"Total":0}
引用次数: 0

摘要

双垂性子宫是一种罕见的勒氏管异常(MDA),其原因是勒氏管不完全融合,导致两个不同的子宫腔的形成。同时发生双胎妊娠,每个胎儿在双假子宫的单独角发育,估计约为1 / 100万例。本病例报告描述了一例罕见的自发性双绒毛膜双羊膜双胎妊娠,双胎子宫各角各有一个胎儿。病例描述:这是一例35岁女性单侧肾发育不全,表现为自发性双绒毛膜双羊膜双胎妊娠,每个子宫腔内各有一个胎儿。该患者的妊娠并发症包括妊娠肝内胆汁淤积和肌酐水平升高,导致在36周时计划剖宫产。分娩时并发产内出血,产后并发脓毒症和子宫内膜炎。结论:本病例强调了处理双绒毛膜双羊膜双胎妊娠合并先天性单侧肾发育不全的复杂性。它有助于理解MDA表现的最佳管理策略,并强调了对此类异常相关的并发症和长期结果进行持续研究的必要性。
本文章由计算机程序翻译,如有差异,请以英文原文为准。

Di-Cavitary Twin Pregnancy in Didelphys Uterus with Associated Renal Agenesis.

Di-Cavitary Twin Pregnancy in Didelphys Uterus with Associated Renal Agenesis.

Di-Cavitary Twin Pregnancy in Didelphys Uterus with Associated Renal Agenesis.

Di-Cavitary Twin Pregnancy in Didelphys Uterus with Associated Renal Agenesis.

Introduction: A didelphys uterus is a rare Müllerian duct anomaly (MDA) caused by the incomplete fusion of the Müllerian ducts, leading to the formation of two distinct uterine cavities. The occurrence of simultaneous twin pregnancies, with each fetus developing in a separate horn of a didelphys uterus, is estimated at approximately 1 in 1,000,000 cases. This case report describes a rare instance of a spontaneous dichorionic diamniotic twin pregnancy, with one fetus in each horn of a didelphys uterus.

Case description: This is the case of a 35-year-old woman with unilateral renal agenesis who presented with a spontaneous dichorionic diamniotic twin pregnancy, with one fetus in each uterine cavity. This patient's pregnancy complications included intrahepatic cholestasis of pregnancy and rising creatinine levels, leading to a planned cesarean delivery at 36 weeks. The delivery was complicated by intrapartum hemorrhage and the postpartum course was further complicated by sepsis and endometritis.

Conclusion: This case highlights the complexity of managing a dichorionic diamniotic twin pregnancy in a didelphys uterus with concomitant congenital unilateral renal agenesis. It contributes to the understanding of optimal management strategies for MDA presentations and highlights the necessity for ongoing research into complications and long-term outcomes associated with such anomalies.

求助全文
通过发布文献求助,成功后即可免费获取论文全文。 去求助
来源期刊
AJP Reports
AJP Reports PEDIATRICS-
CiteScore
2.20
自引率
0.00%
发文量
30
审稿时长
12 weeks
×
引用
GB/T 7714-2015
复制
MLA
复制
APA
复制
导出至
BibTeX EndNote RefMan NoteFirst NoteExpress
×
提示
您的信息不完整,为了账户安全,请先补充。
现在去补充
×
提示
您因"违规操作"
具体请查看互助需知
我知道了
×
提示
确定
请完成安全验证×
copy
已复制链接
快去分享给好友吧!
我知道了
右上角分享
点击右上角分享
0
联系我们:info@booksci.cn Book学术提供免费学术资源搜索服务,方便国内外学者检索中英文文献。致力于提供最便捷和优质的服务体验。 Copyright © 2023 布克学术 All rights reserved.
京ICP备2023020795号-1
ghs 京公网安备 11010802042870号
Book学术文献互助
Book学术文献互助群
群 号:604180095
Book学术官方微信