高细胞乳头状甲状腺癌患者的生化和结构反应:一项双中心回顾性研究:高细胞PTC的早期复发。

IF 2.2 3区 医学 Q2 OTORHINOLARYNGOLOGY
Louis Britten-Jones, Spinder Samra, David Goltsman, Gideon Sandler, Matti L Gild, Christian M Girgis
{"title":"高细胞乳头状甲状腺癌患者的生化和结构反应:一项双中心回顾性研究:高细胞PTC的早期复发。","authors":"Louis Britten-Jones, Spinder Samra, David Goltsman, Gideon Sandler, Matti L Gild, Christian M Girgis","doi":"10.1007/s00405-025-09426-5","DOIUrl":null,"url":null,"abstract":"<p><strong>Purpose: </strong>Tall cell papillary thyroid cancer (tcPTC) is traditionally considered to be an aggressive subtype of differentiated thyroid cancer, although its independent prognostic value is unclear. To investigate the independent prognostic value of tall cell morphology a tcPTC cohort was compared with a classical PTC (cPTC) cohort.</p><p><strong>Methods: </strong>A retrospective longitudinal study was performed using a cohort of tcPTC patients treated at Royal North Shore Hospital and Westmead Hospital in Sydney, Australia, and a cohort of cPTC patients treated at Westmead Hospital. Clinicopathological tumour characteristics and treatment pathways were analysed. Thyroglobulin and thyroglobulin antibody levels and further neck surgeries in the two years post thyroidectomy were used as a surrogate marker for early disease recurrence.</p><p><strong>Results: </strong>Presentation and treatment were analysed for 51 tcPTC patients and a comparator group of 365 cPTC patients. On univariate analysis, tcPTC was found to present at an older age (53.6 years v 46.4 years, p < 0.01), with greater rates of positive surgical margins (31.37% v 16.44%, p < 0.05), and greater rates of microscopic (47.06% v 22.74%, p < 0.001) and gross extrathyroidal extension (15.69% v 6.30%, p < 0.05). Longitudinal analysis was conducted for 236 patients (n = 24 for tcPTC, n = 212 for cPTC). Multivariate analysis found no difference in the odds of developing early recurrence between the tcPTC cohort and the cPTC cohort (OR = 0.65, p > 0.1).</p><p><strong>Conclusion: </strong>tcPTC is associated with more aggressive features compared with cPTC. Tall cell morphology was not found to be an independent predictor of early recurrence.</p>","PeriodicalId":11952,"journal":{"name":"European Archives of Oto-Rhino-Laryngology","volume":" ","pages":"4265-4272"},"PeriodicalIF":2.2000,"publicationDate":"2025-08-01","publicationTypes":"Journal Article","fieldsOfStudy":null,"isOpenAccess":false,"openAccessPdf":"https://www.ncbi.nlm.nih.gov/pmc/articles/PMC12399698/pdf/","citationCount":"0","resultStr":"{\"title\":\"Biochemical and structural response in patients with tall cell papillary thyroid cancer: a dual centre retrospective study : Early Recurrence in Tall Cell PTC.\",\"authors\":\"Louis Britten-Jones, Spinder Samra, David Goltsman, Gideon Sandler, Matti L Gild, Christian M Girgis\",\"doi\":\"10.1007/s00405-025-09426-5\",\"DOIUrl\":null,\"url\":null,\"abstract\":\"<p><strong>Purpose: </strong>Tall cell papillary thyroid cancer (tcPTC) is traditionally considered to be an aggressive subtype of differentiated thyroid cancer, although its independent prognostic value is unclear. To investigate the independent prognostic value of tall cell morphology a tcPTC cohort was compared with a classical PTC (cPTC) cohort.</p><p><strong>Methods: </strong>A retrospective longitudinal study was performed using a cohort of tcPTC patients treated at Royal North Shore Hospital and Westmead Hospital in Sydney, Australia, and a cohort of cPTC patients treated at Westmead Hospital. Clinicopathological tumour characteristics and treatment pathways were analysed. Thyroglobulin and thyroglobulin antibody levels and further neck surgeries in the two years post thyroidectomy were used as a surrogate marker for early disease recurrence.</p><p><strong>Results: </strong>Presentation and treatment were analysed for 51 tcPTC patients and a comparator group of 365 cPTC patients. On univariate analysis, tcPTC was found to present at an older age (53.6 years v 46.4 years, p < 0.01), with greater rates of positive surgical margins (31.37% v 16.44%, p < 0.05), and greater rates of microscopic (47.06% v 22.74%, p < 0.001) and gross extrathyroidal extension (15.69% v 6.30%, p < 0.05). Longitudinal analysis was conducted for 236 patients (n = 24 for tcPTC, n = 212 for cPTC). Multivariate analysis found no difference in the odds of developing early recurrence between the tcPTC cohort and the cPTC cohort (OR = 0.65, p > 0.1).</p><p><strong>Conclusion: </strong>tcPTC is associated with more aggressive features compared with cPTC. Tall cell morphology was not found to be an independent predictor of early recurrence.</p>\",\"PeriodicalId\":11952,\"journal\":{\"name\":\"European Archives of Oto-Rhino-Laryngology\",\"volume\":\" \",\"pages\":\"4265-4272\"},\"PeriodicalIF\":2.2000,\"publicationDate\":\"2025-08-01\",\"publicationTypes\":\"Journal Article\",\"fieldsOfStudy\":null,\"isOpenAccess\":false,\"openAccessPdf\":\"https://www.ncbi.nlm.nih.gov/pmc/articles/PMC12399698/pdf/\",\"citationCount\":\"0\",\"resultStr\":null,\"platform\":\"Semanticscholar\",\"paperid\":null,\"PeriodicalName\":\"European Archives of Oto-Rhino-Laryngology\",\"FirstCategoryId\":\"3\",\"ListUrlMain\":\"https://doi.org/10.1007/s00405-025-09426-5\",\"RegionNum\":3,\"RegionCategory\":\"医学\",\"ArticlePicture\":[],\"TitleCN\":null,\"AbstractTextCN\":null,\"PMCID\":null,\"EPubDate\":\"2025/5/5 0:00:00\",\"PubModel\":\"Epub\",\"JCR\":\"Q2\",\"JCRName\":\"OTORHINOLARYNGOLOGY\",\"Score\":null,\"Total\":0}","platform":"Semanticscholar","paperid":null,"PeriodicalName":"European Archives of Oto-Rhino-Laryngology","FirstCategoryId":"3","ListUrlMain":"https://doi.org/10.1007/s00405-025-09426-5","RegionNum":3,"RegionCategory":"医学","ArticlePicture":[],"TitleCN":null,"AbstractTextCN":null,"PMCID":null,"EPubDate":"2025/5/5 0:00:00","PubModel":"Epub","JCR":"Q2","JCRName":"OTORHINOLARYNGOLOGY","Score":null,"Total":0}
引用次数: 0

摘要

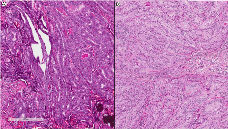
目的:高细胞乳头状甲状腺癌(tcPTC)传统上被认为是分化型甲状腺癌的侵袭性亚型,尽管其独立的预后价值尚不清楚。为了研究高细胞形态学的独立预后价值,将tcPTC队列与经典PTC (cPTC)队列进行比较。方法:对澳大利亚悉尼皇家北岸医院和韦斯特米德医院治疗的tcPTC患者和韦斯特米德医院治疗的cPTC患者进行回顾性纵向研究。分析肿瘤的临床病理特点及治疗途径。甲状腺球蛋白和甲状腺球蛋白抗体水平和甲状腺切除术后两年内进一步的颈部手术被用作早期疾病复发的替代标志物。结果:对51例tcPTC患者的表现和治疗进行了分析,比较组为365例tcPTC患者。单因素分析发现,tcPTC出现在年龄较大的人群中(53.6岁vs 46.4岁,p 0.1)。结论:与cPTC相比,tcPTC具有更强的侵袭性特征。未发现高细胞形态是早期复发的独立预测因子。
本文章由计算机程序翻译,如有差异,请以英文原文为准。

Biochemical and structural response in patients with tall cell papillary thyroid cancer: a dual centre retrospective study : Early Recurrence in Tall Cell PTC.

Biochemical and structural response in patients with tall cell papillary thyroid cancer: a dual centre retrospective study : Early Recurrence in Tall Cell PTC.

Biochemical and structural response in patients with tall cell papillary thyroid cancer: a dual centre retrospective study : Early Recurrence in Tall Cell PTC.

Purpose: Tall cell papillary thyroid cancer (tcPTC) is traditionally considered to be an aggressive subtype of differentiated thyroid cancer, although its independent prognostic value is unclear. To investigate the independent prognostic value of tall cell morphology a tcPTC cohort was compared with a classical PTC (cPTC) cohort.

Methods: A retrospective longitudinal study was performed using a cohort of tcPTC patients treated at Royal North Shore Hospital and Westmead Hospital in Sydney, Australia, and a cohort of cPTC patients treated at Westmead Hospital. Clinicopathological tumour characteristics and treatment pathways were analysed. Thyroglobulin and thyroglobulin antibody levels and further neck surgeries in the two years post thyroidectomy were used as a surrogate marker for early disease recurrence.

Results: Presentation and treatment were analysed for 51 tcPTC patients and a comparator group of 365 cPTC patients. On univariate analysis, tcPTC was found to present at an older age (53.6 years v 46.4 years, p < 0.01), with greater rates of positive surgical margins (31.37% v 16.44%, p < 0.05), and greater rates of microscopic (47.06% v 22.74%, p < 0.001) and gross extrathyroidal extension (15.69% v 6.30%, p < 0.05). Longitudinal analysis was conducted for 236 patients (n = 24 for tcPTC, n = 212 for cPTC). Multivariate analysis found no difference in the odds of developing early recurrence between the tcPTC cohort and the cPTC cohort (OR = 0.65, p > 0.1).

Conclusion: tcPTC is associated with more aggressive features compared with cPTC. Tall cell morphology was not found to be an independent predictor of early recurrence.

求助全文
通过发布文献求助,成功后即可免费获取论文全文。 去求助
来源期刊
CiteScore
5.30
自引率
7.70%
发文量
537
审稿时长
2-4 weeks
期刊介绍: Official Journal of European Union of Medical Specialists – ORL Section and Board Official Journal of Confederation of European Oto-Rhino-Laryngology Head and Neck Surgery "European Archives of Oto-Rhino-Laryngology" publishes original clinical reports and clinically relevant experimental studies, as well as short communications presenting new results of special interest. With peer review by a respected international editorial board and prompt English-language publication, the journal provides rapid dissemination of information by authors from around the world. This particular feature makes it the journal of choice for readers who want to be informed about the continuing state of the art concerning basic sciences and the diagnosis and management of diseases of the head and neck on an international level. European Archives of Oto-Rhino-Laryngology was founded in 1864 as "Archiv für Ohrenheilkunde" by A. von Tröltsch, A. Politzer and H. Schwartze.
×
引用
GB/T 7714-2015
复制
MLA
复制
APA
复制
导出至
BibTeX EndNote RefMan NoteFirst NoteExpress
×
提示
您的信息不完整,为了账户安全,请先补充。
现在去补充
×
提示
您因"违规操作"
具体请查看互助需知
我知道了
×
提示
确定
请完成安全验证×
copy
已复制链接
快去分享给好友吧!
我知道了
右上角分享
点击右上角分享
0
联系我们:info@booksci.cn Book学术提供免费学术资源搜索服务,方便国内外学者检索中英文文献。致力于提供最便捷和优质的服务体验。 Copyright © 2023 布克学术 All rights reserved.
京ICP备2023020795号-1
ghs 京公网安备 11010802042870号
Book学术文献互助
Book学术文献互助群
群 号:604180095
Book学术官方微信