MRI定量分析在评估听庭损伤中的应用。

IF 2.1 4区 医学 Q2 OTORHINOLARYNGOLOGY
Rosalinda Calandrelli, Fabio Pilato, Pasqualina Maria Picciotti, Giorgia Rossi, Marco Panfili, Giovanni Mazzon, Angelo Tizio, Daniela Rodolico, Simona Gaudino, Jacopo Galli
{"title":"MRI定量分析在评估听庭损伤中的应用。","authors":"Rosalinda Calandrelli, Fabio Pilato, Pasqualina Maria Picciotti, Giorgia Rossi, Marco Panfili, Giovanni Mazzon, Angelo Tizio, Daniela Rodolico, Simona Gaudino, Jacopo Galli","doi":"10.14639/0392-100X-N3022","DOIUrl":null,"url":null,"abstract":"<p><strong>Objectives: </strong>To quantify inner ear fluid changes in patients with audiovestibular deficits by measuring signal intensity values; to correlate the signal intensity values of inner ear structures and audio-vestibular impairment severity.</p><p><strong>Methods: </strong>26 patients with unilateral vestibulocochlear deficits underwent hearing and vestibular assessments and were categorised into severity classes using audiological and vestibular deficit scores. Normalised signal intensity values of inner ear structures were extracted from 3D-T2-WI-MRI scans (nT2mean, nT2Max, nT2min) and signal intensity ratios were calculated using the unaffected ear as a reference.</p><p><strong>Results: </strong>Asymmetry ratios of nT2Max and nT2mean volumetric intensity values from the cochlea and entire inner ear discriminated severe hearing impairment from lesser deficits and diagnostic performance of nT2mean values was excellent.</p><p><strong>Conclusions: </strong>Quantitative MRI analysis may be a useful tool to assess the severity of auditory deficits. Asymmetry ratios of nT2mean and nT2Max signal intensity values derived from the cochlea and entire inner labyrinth are surrogate indicators of unilateral cochlear-vestibular deficits and may have potential prognostic value.</p>","PeriodicalId":6890,"journal":{"name":"Acta Otorhinolaryngologica Italica","volume":"45 2","pages":"135-143"},"PeriodicalIF":2.1000,"publicationDate":"2025-04-01","publicationTypes":"Journal Article","fieldsOfStudy":null,"isOpenAccess":false,"openAccessPdf":"https://www.ncbi.nlm.nih.gov/pmc/articles/PMC12068521/pdf/","citationCount":"0","resultStr":"{\"title\":\"Utility of MRI quantitative analysis in assessment of audio-vestibular impairment.\",\"authors\":\"Rosalinda Calandrelli, Fabio Pilato, Pasqualina Maria Picciotti, Giorgia Rossi, Marco Panfili, Giovanni Mazzon, Angelo Tizio, Daniela Rodolico, Simona Gaudino, Jacopo Galli\",\"doi\":\"10.14639/0392-100X-N3022\",\"DOIUrl\":null,\"url\":null,\"abstract\":\"<p><strong>Objectives: </strong>To quantify inner ear fluid changes in patients with audiovestibular deficits by measuring signal intensity values; to correlate the signal intensity values of inner ear structures and audio-vestibular impairment severity.</p><p><strong>Methods: </strong>26 patients with unilateral vestibulocochlear deficits underwent hearing and vestibular assessments and were categorised into severity classes using audiological and vestibular deficit scores. Normalised signal intensity values of inner ear structures were extracted from 3D-T2-WI-MRI scans (nT2mean, nT2Max, nT2min) and signal intensity ratios were calculated using the unaffected ear as a reference.</p><p><strong>Results: </strong>Asymmetry ratios of nT2Max and nT2mean volumetric intensity values from the cochlea and entire inner ear discriminated severe hearing impairment from lesser deficits and diagnostic performance of nT2mean values was excellent.</p><p><strong>Conclusions: </strong>Quantitative MRI analysis may be a useful tool to assess the severity of auditory deficits. Asymmetry ratios of nT2mean and nT2Max signal intensity values derived from the cochlea and entire inner labyrinth are surrogate indicators of unilateral cochlear-vestibular deficits and may have potential prognostic value.</p>\",\"PeriodicalId\":6890,\"journal\":{\"name\":\"Acta Otorhinolaryngologica Italica\",\"volume\":\"45 2\",\"pages\":\"135-143\"},\"PeriodicalIF\":2.1000,\"publicationDate\":\"2025-04-01\",\"publicationTypes\":\"Journal Article\",\"fieldsOfStudy\":null,\"isOpenAccess\":false,\"openAccessPdf\":\"https://www.ncbi.nlm.nih.gov/pmc/articles/PMC12068521/pdf/\",\"citationCount\":\"0\",\"resultStr\":null,\"platform\":\"Semanticscholar\",\"paperid\":null,\"PeriodicalName\":\"Acta Otorhinolaryngologica Italica\",\"FirstCategoryId\":\"3\",\"ListUrlMain\":\"https://doi.org/10.14639/0392-100X-N3022\",\"RegionNum\":4,\"RegionCategory\":\"医学\",\"ArticlePicture\":[],\"TitleCN\":null,\"AbstractTextCN\":null,\"PMCID\":null,\"EPubDate\":\"\",\"PubModel\":\"\",\"JCR\":\"Q2\",\"JCRName\":\"OTORHINOLARYNGOLOGY\",\"Score\":null,\"Total\":0}","platform":"Semanticscholar","paperid":null,"PeriodicalName":"Acta Otorhinolaryngologica Italica","FirstCategoryId":"3","ListUrlMain":"https://doi.org/10.14639/0392-100X-N3022","RegionNum":4,"RegionCategory":"医学","ArticlePicture":[],"TitleCN":null,"AbstractTextCN":null,"PMCID":null,"EPubDate":"","PubModel":"","JCR":"Q2","JCRName":"OTORHINOLARYNGOLOGY","Score":null,"Total":0}
引用次数: 0

摘要

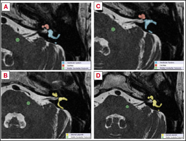
目的:通过测量信号强度值来量化听前庭功能障碍患者的内耳液体变化;内耳结构信号强度值与听觉前庭损伤严重程度的相关性。方法:对26例单侧前庭耳蜗缺损患者进行听力和前庭功能评估,并根据听力学和前庭功能缺损评分将其分为不同的严重程度。从3D-T2-WI-MRI扫描中提取内耳结构的归一化信号强度值(nT2mean, nT2Max, nT2min),并以未受影响的耳作为参考计算信号强度比。结果:耳蜗和整个内耳的nT2Max和nT2mean体积强度值的不对称比可区分重度听力障碍和轻度听力障碍,nT2mean值的诊断性能良好。结论:定量MRI分析可能是评估听觉缺陷严重程度的有用工具。来自耳蜗和整个内迷路的nT2mean和nT2Max信号强度值的不对称比率是单侧耳蜗-前庭功能缺损的替代指标,可能具有潜在的预后价值。
本文章由计算机程序翻译,如有差异,请以英文原文为准。

Utility of MRI quantitative analysis in assessment of audio-vestibular impairment.

Utility of MRI quantitative analysis in assessment of audio-vestibular impairment.

Utility of MRI quantitative analysis in assessment of audio-vestibular impairment.

Utility of MRI quantitative analysis in assessment of audio-vestibular impairment.

Objectives: To quantify inner ear fluid changes in patients with audiovestibular deficits by measuring signal intensity values; to correlate the signal intensity values of inner ear structures and audio-vestibular impairment severity.

Methods: 26 patients with unilateral vestibulocochlear deficits underwent hearing and vestibular assessments and were categorised into severity classes using audiological and vestibular deficit scores. Normalised signal intensity values of inner ear structures were extracted from 3D-T2-WI-MRI scans (nT2mean, nT2Max, nT2min) and signal intensity ratios were calculated using the unaffected ear as a reference.

Results: Asymmetry ratios of nT2Max and nT2mean volumetric intensity values from the cochlea and entire inner ear discriminated severe hearing impairment from lesser deficits and diagnostic performance of nT2mean values was excellent.

Conclusions: Quantitative MRI analysis may be a useful tool to assess the severity of auditory deficits. Asymmetry ratios of nT2mean and nT2Max signal intensity values derived from the cochlea and entire inner labyrinth are surrogate indicators of unilateral cochlear-vestibular deficits and may have potential prognostic value.

求助全文
通过发布文献求助,成功后即可免费获取论文全文。 去求助
来源期刊
Acta Otorhinolaryngologica Italica
Acta Otorhinolaryngologica Italica OTORHINOLARYNGOLOGY-
CiteScore
3.40
自引率
10.00%
发文量
97
审稿时长
6-12 weeks
期刊介绍: Acta Otorhinolaryngologica Italica first appeared as “Annali di Laringologia Otologia e Faringologia” and was founded in 1901 by Giulio Masini. It is the official publication of the Italian Hospital Otology Association (A.O.O.I.) and, since 1976, also of the Società Italiana di Otorinolaringoiatria e Chirurgia Cervico-Facciale (S.I.O.Ch.C.-F.). The journal publishes original articles (clinical trials, cohort studies, case-control studies, cross-sectional surveys, and diagnostic test assessments) of interest in the field of otorhinolaryngology as well as clinical techniques and technology (a short report of unique or original methods for surgical techniques, medical management or new devices or technology), editorials (including editorial guests – special contribution) and letters to the Editor-in-Chief. Articles concerning science investigations and well prepared systematic reviews (including meta-analyses) on themes related to basic science, clinical otorhinolaryngology and head and neck surgery have high priority.
×
引用
GB/T 7714-2015
复制
MLA
复制
APA
复制
导出至
BibTeX EndNote RefMan NoteFirst NoteExpress
×
提示
您的信息不完整,为了账户安全,请先补充。
现在去补充
×
提示
您因"违规操作"
具体请查看互助需知
我知道了
×
提示
确定
请完成安全验证×
copy
已复制链接
快去分享给好友吧!
我知道了
右上角分享
点击右上角分享
0
联系我们:info@booksci.cn Book学术提供免费学术资源搜索服务,方便国内外学者检索中英文文献。致力于提供最便捷和优质的服务体验。 Copyright © 2023 布克学术 All rights reserved.
京ICP备2023020795号-1
ghs 京公网安备 11010802042870号
Book学术文献互助
Book学术文献互助群
群 号:604180095
Book学术官方微信