下颌副管的存在与下颌管的大小有关吗?

IF 1.9 4区 医学 Q3 DENTISTRY, ORAL SURGERY & MEDICINE
Emre Sözen, Hasan Akpınar
{"title":"下颌副管的存在与下颌管的大小有关吗?","authors":"Emre Sözen, Hasan Akpınar","doi":"10.2340/aos.v84.43600","DOIUrl":null,"url":null,"abstract":"<p><strong>Aim: </strong>The aim of this study is to classify accessory mandibular canals (AMC) and investigate their association with the dimensions of the mandibular canal (MC) to enhance surgical planning and prevent complications in dental treatments.</p><p><strong>Methods: </strong>Cone-beam computed tomography (CBCT) images were evaluated. AMC's frequency, length, and diameter, including dental, superior, inferior, forward-open, forward-closed, and retromolar types, were determined. Additionally, the dimensions of the MC, including its length and diameter, were measured, and the relationship between the AMC and MC was statistically analyzed. Descriptive statistics, chi-square test, independent samples t-test (for normally distributed data), Kruskal-Wallis test (for non-normally distributed data), and Tamhane post hoc test were used for statistical analysis of the data.</p><p><strong>Results: </strong>AMC was identified in 82 of the 222 hemimandibles examined (36.9%). It was found that the length and diameter of AMCs varied significantly depending on the AMC type (p = 0.000). The diameter of the dental type AMCs (mean 0.40 ± 0.22 mm) was considerably smaller than that of other AMC types (mean 0.86 ± 0.37 mm). The length and diameter of the MC were measured as 69.20 ± 5.10 mm and 2.96 ± 0.57 mm, respectively. While MC length was not found to influence the presence of AMC (p = 0.785), MC diameter was significantly associated with the occurrence of AMC (p = 0.000).</p><p><strong>Conclusions: </strong>AMC, which is critical for improving surgical planning and reducing the risk of complications in dental procedures, is not uncommon. Their presence should be carefully evaluated, particularly in cases where the MC has a larger diameter.</p>","PeriodicalId":7313,"journal":{"name":"Acta Odontologica Scandinavica","volume":"84 ","pages":"241-249"},"PeriodicalIF":1.9000,"publicationDate":"2025-05-13","publicationTypes":"Journal Article","fieldsOfStudy":null,"isOpenAccess":false,"openAccessPdf":"https://www.ncbi.nlm.nih.gov/pmc/articles/PMC12153199/pdf/","citationCount":"0","resultStr":"{\"title\":\"Is the presence of accessory mandibular canals associated with the dimensions of the mandibular canal?\",\"authors\":\"Emre Sözen, Hasan Akpınar\",\"doi\":\"10.2340/aos.v84.43600\",\"DOIUrl\":null,\"url\":null,\"abstract\":\"<p><strong>Aim: </strong>The aim of this study is to classify accessory mandibular canals (AMC) and investigate their association with the dimensions of the mandibular canal (MC) to enhance surgical planning and prevent complications in dental treatments.</p><p><strong>Methods: </strong>Cone-beam computed tomography (CBCT) images were evaluated. AMC's frequency, length, and diameter, including dental, superior, inferior, forward-open, forward-closed, and retromolar types, were determined. Additionally, the dimensions of the MC, including its length and diameter, were measured, and the relationship between the AMC and MC was statistically analyzed. Descriptive statistics, chi-square test, independent samples t-test (for normally distributed data), Kruskal-Wallis test (for non-normally distributed data), and Tamhane post hoc test were used for statistical analysis of the data.</p><p><strong>Results: </strong>AMC was identified in 82 of the 222 hemimandibles examined (36.9%). It was found that the length and diameter of AMCs varied significantly depending on the AMC type (p = 0.000). The diameter of the dental type AMCs (mean 0.40 ± 0.22 mm) was considerably smaller than that of other AMC types (mean 0.86 ± 0.37 mm). The length and diameter of the MC were measured as 69.20 ± 5.10 mm and 2.96 ± 0.57 mm, respectively. While MC length was not found to influence the presence of AMC (p = 0.785), MC diameter was significantly associated with the occurrence of AMC (p = 0.000).</p><p><strong>Conclusions: </strong>AMC, which is critical for improving surgical planning and reducing the risk of complications in dental procedures, is not uncommon. Their presence should be carefully evaluated, particularly in cases where the MC has a larger diameter.</p>\",\"PeriodicalId\":7313,\"journal\":{\"name\":\"Acta Odontologica Scandinavica\",\"volume\":\"84 \",\"pages\":\"241-249\"},\"PeriodicalIF\":1.9000,\"publicationDate\":\"2025-05-13\",\"publicationTypes\":\"Journal Article\",\"fieldsOfStudy\":null,\"isOpenAccess\":false,\"openAccessPdf\":\"https://www.ncbi.nlm.nih.gov/pmc/articles/PMC12153199/pdf/\",\"citationCount\":\"0\",\"resultStr\":null,\"platform\":\"Semanticscholar\",\"paperid\":null,\"PeriodicalName\":\"Acta Odontologica Scandinavica\",\"FirstCategoryId\":\"3\",\"ListUrlMain\":\"https://doi.org/10.2340/aos.v84.43600\",\"RegionNum\":4,\"RegionCategory\":\"医学\",\"ArticlePicture\":[],\"TitleCN\":null,\"AbstractTextCN\":null,\"PMCID\":null,\"EPubDate\":\"\",\"PubModel\":\"\",\"JCR\":\"Q3\",\"JCRName\":\"DENTISTRY, ORAL SURGERY & MEDICINE\",\"Score\":null,\"Total\":0}","platform":"Semanticscholar","paperid":null,"PeriodicalName":"Acta Odontologica Scandinavica","FirstCategoryId":"3","ListUrlMain":"https://doi.org/10.2340/aos.v84.43600","RegionNum":4,"RegionCategory":"医学","ArticlePicture":[],"TitleCN":null,"AbstractTextCN":null,"PMCID":null,"EPubDate":"","PubModel":"","JCR":"Q3","JCRName":"DENTISTRY, ORAL SURGERY & MEDICINE","Score":null,"Total":0}
引用次数: 0

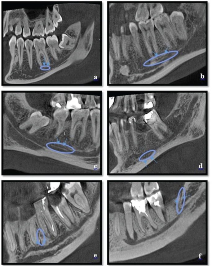
摘要

目的:本研究的目的是对下颌副管(AMC)进行分类,并探讨其与下颌副管(MC)尺寸的关系,以提高手术计划和预防牙科治疗并发症的发生。方法:对锥形束计算机断层扫描(CBCT)图像进行评价。确定AMC的频率、长度和直径,包括牙、上、下、前开、前闭和后磨牙类型。此外,测量了MC的尺寸,包括其长度和直径,并统计分析了AMC与MC的关系。采用描述性统计、卡方检验、独立样本t检验(对于正态分布数据)、Kruskal-Wallis检验(对于非正态分布数据)和Tamhane事后检验对数据进行统计分析。结果:222例半下颌骨患者中有82例(36.9%)发现AMC。不同的AMC类型,AMC的长度和直径有显著差异(p = 0.000)。牙型AMC的直径(平均0.40±0.22 mm)明显小于其他AMC的直径(平均0.86±0.37 mm)。MC的长度为69.20±5.10 mm,直径为2.96±0.57 mm。虽然未发现MC长度影响AMC的存在(p = 0.785),但MC直径与AMC的发生显著相关(p = 0.000)。结论:AMC对于改善手术计划和降低牙科手术并发症的风险至关重要。应仔细评估它们的存在,特别是在MC直径较大的情况下。
本文章由计算机程序翻译,如有差异,请以英文原文为准。

Is the presence of accessory mandibular canals associated with the dimensions of the mandibular canal?

Is the presence of accessory mandibular canals associated with the dimensions of the mandibular canal?

Is the presence of accessory mandibular canals associated with the dimensions of the mandibular canal?

Is the presence of accessory mandibular canals associated with the dimensions of the mandibular canal?

Aim: The aim of this study is to classify accessory mandibular canals (AMC) and investigate their association with the dimensions of the mandibular canal (MC) to enhance surgical planning and prevent complications in dental treatments.

Methods: Cone-beam computed tomography (CBCT) images were evaluated. AMC's frequency, length, and diameter, including dental, superior, inferior, forward-open, forward-closed, and retromolar types, were determined. Additionally, the dimensions of the MC, including its length and diameter, were measured, and the relationship between the AMC and MC was statistically analyzed. Descriptive statistics, chi-square test, independent samples t-test (for normally distributed data), Kruskal-Wallis test (for non-normally distributed data), and Tamhane post hoc test were used for statistical analysis of the data.

Results: AMC was identified in 82 of the 222 hemimandibles examined (36.9%). It was found that the length and diameter of AMCs varied significantly depending on the AMC type (p = 0.000). The diameter of the dental type AMCs (mean 0.40 ± 0.22 mm) was considerably smaller than that of other AMC types (mean 0.86 ± 0.37 mm). The length and diameter of the MC were measured as 69.20 ± 5.10 mm and 2.96 ± 0.57 mm, respectively. While MC length was not found to influence the presence of AMC (p = 0.785), MC diameter was significantly associated with the occurrence of AMC (p = 0.000).

Conclusions: AMC, which is critical for improving surgical planning and reducing the risk of complications in dental procedures, is not uncommon. Their presence should be carefully evaluated, particularly in cases where the MC has a larger diameter.

求助全文
通过发布文献求助,成功后即可免费获取论文全文。 去求助
来源期刊
Acta Odontologica Scandinavica
Acta Odontologica Scandinavica 医学-牙科与口腔外科
CiteScore
4.00
自引率
5.00%
发文量
69
审稿时长
6-12 weeks
期刊介绍: Acta Odontologica Scandinavica publishes papers conveying new knowledge within all areas of oral health and disease sciences.
×
引用
GB/T 7714-2015
复制
MLA
复制
APA
复制
导出至
BibTeX EndNote RefMan NoteFirst NoteExpress
×
提示
您的信息不完整,为了账户安全,请先补充。
现在去补充
×
提示
您因"违规操作"
具体请查看互助需知
我知道了
×
提示
确定
请完成安全验证×
copy
已复制链接
快去分享给好友吧!
我知道了
右上角分享
点击右上角分享
0
联系我们:info@booksci.cn Book学术提供免费学术资源搜索服务,方便国内外学者检索中英文文献。致力于提供最便捷和优质的服务体验。 Copyright © 2023 布克学术 All rights reserved.
京ICP备2023020795号-1
ghs 京公网安备 11010802042870号
Book学术文献互助
Book学术文献互助群
群 号:604180095
Book学术官方微信