早期依诺肝素治疗新生儿脑静脉窦血栓形成和急性小脑出血1例。

IF 0.6 Q4 PEDIATRICS
AJP Reports Pub Date : 2025-04-21 eCollection Date: 2025-04-01 DOI:10.1055/a-2566-3952
Margherita Velardi, Rita Luciano, Simonetta Costa, Mirta Corsello, Tommaso Verdolotti, Luca Massimi, Domenico M Romeo, Francesca Gallini, Giovanni Vento
{"title":"早期依诺肝素治疗新生儿脑静脉窦血栓形成和急性小脑出血1例。","authors":"Margherita Velardi, Rita Luciano, Simonetta Costa, Mirta Corsello, Tommaso Verdolotti, Luca Massimi, Domenico M Romeo, Francesca Gallini, Giovanni Vento","doi":"10.1055/a-2566-3952","DOIUrl":null,"url":null,"abstract":"<p><strong>Objective: </strong>To evaluate the management of anticoagulant therapy in neonates with cerebral sinus venous thrombosis (CSVT), focusing on potential benefits and risks.</p><p><strong>Study design: </strong>We report the case of a full-term neonate diagnosed with CSVT, highlighting the rationale for early anticoagulation with unfractionated heparin. A brief literature review supports our clinical decision-making, considering current evidence and expert consensus despite limited neonatal-specific guidelines.</p><p><strong>Results: </strong>Heparin therapy was started shortly after diagnosis, without hemorrhagic complications. Neuroimaging showed complete thrombus resolution. The neonate had a normal neurological examination at discharge. Follow-up confirmed overall good clinical condition and showed mild axial hypotonia and convergent strabismus suggestive of cortical visual impairment.</p><p><strong>Conclusion: </strong>Management of CSVT in neonates remains debated. While heparin may carry a risk of bleeding, delaying treatment can lead to thrombus progression. Our case supports the potential safety and efficacy of early heparin use in selected patients. Tailored, risk-based decisions may improve outcomes, though further studies are needed to establish standardized protocols.</p>","PeriodicalId":7645,"journal":{"name":"AJP Reports","volume":"15 2","pages":"e62-e66"},"PeriodicalIF":0.6000,"publicationDate":"2025-04-21","publicationTypes":"Journal Article","fieldsOfStudy":null,"isOpenAccess":false,"openAccessPdf":"https://www.ncbi.nlm.nih.gov/pmc/articles/PMC12020507/pdf/","citationCount":"0","resultStr":"{\"title\":\"Early Enoxaparin Treatment in a Newborn with Cerebral Venous Sinus Thrombosis and Acute Cerebellar Hemorrhage.\",\"authors\":\"Margherita Velardi, Rita Luciano, Simonetta Costa, Mirta Corsello, Tommaso Verdolotti, Luca Massimi, Domenico M Romeo, Francesca Gallini, Giovanni Vento\",\"doi\":\"10.1055/a-2566-3952\",\"DOIUrl\":null,\"url\":null,\"abstract\":\"<p><strong>Objective: </strong>To evaluate the management of anticoagulant therapy in neonates with cerebral sinus venous thrombosis (CSVT), focusing on potential benefits and risks.</p><p><strong>Study design: </strong>We report the case of a full-term neonate diagnosed with CSVT, highlighting the rationale for early anticoagulation with unfractionated heparin. A brief literature review supports our clinical decision-making, considering current evidence and expert consensus despite limited neonatal-specific guidelines.</p><p><strong>Results: </strong>Heparin therapy was started shortly after diagnosis, without hemorrhagic complications. Neuroimaging showed complete thrombus resolution. The neonate had a normal neurological examination at discharge. Follow-up confirmed overall good clinical condition and showed mild axial hypotonia and convergent strabismus suggestive of cortical visual impairment.</p><p><strong>Conclusion: </strong>Management of CSVT in neonates remains debated. While heparin may carry a risk of bleeding, delaying treatment can lead to thrombus progression. Our case supports the potential safety and efficacy of early heparin use in selected patients. Tailored, risk-based decisions may improve outcomes, though further studies are needed to establish standardized protocols.</p>\",\"PeriodicalId\":7645,\"journal\":{\"name\":\"AJP Reports\",\"volume\":\"15 2\",\"pages\":\"e62-e66\"},\"PeriodicalIF\":0.6000,\"publicationDate\":\"2025-04-21\",\"publicationTypes\":\"Journal Article\",\"fieldsOfStudy\":null,\"isOpenAccess\":false,\"openAccessPdf\":\"https://www.ncbi.nlm.nih.gov/pmc/articles/PMC12020507/pdf/\",\"citationCount\":\"0\",\"resultStr\":null,\"platform\":\"Semanticscholar\",\"paperid\":null,\"PeriodicalName\":\"AJP Reports\",\"FirstCategoryId\":\"1085\",\"ListUrlMain\":\"https://doi.org/10.1055/a-2566-3952\",\"RegionNum\":0,\"RegionCategory\":null,\"ArticlePicture\":[],\"TitleCN\":null,\"AbstractTextCN\":null,\"PMCID\":null,\"EPubDate\":\"2025/4/1 0:00:00\",\"PubModel\":\"eCollection\",\"JCR\":\"Q4\",\"JCRName\":\"PEDIATRICS\",\"Score\":null,\"Total\":0}","platform":"Semanticscholar","paperid":null,"PeriodicalName":"AJP Reports","FirstCategoryId":"1085","ListUrlMain":"https://doi.org/10.1055/a-2566-3952","RegionNum":0,"RegionCategory":null,"ArticlePicture":[],"TitleCN":null,"AbstractTextCN":null,"PMCID":null,"EPubDate":"2025/4/1 0:00:00","PubModel":"eCollection","JCR":"Q4","JCRName":"PEDIATRICS","Score":null,"Total":0}
引用次数: 0

摘要

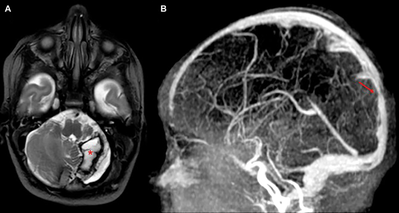
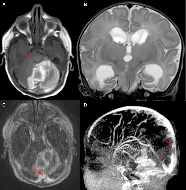
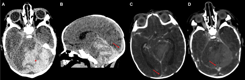
目的:评价新生儿脑静脉窦血栓形成(CSVT)的抗凝治疗管理,重点分析潜在的获益和风险。研究设计:我们报告了一例确诊为CSVT的足月新生儿,强调了早期使用无分离肝素抗凝的基本原理。一个简短的文献回顾支持我们的临床决策,考虑到目前的证据和专家共识,尽管有限的新生儿特异性指南。结果:诊断后不久开始肝素治疗,无出血并发症。神经影像学显示血栓完全溶解。新生儿出院时进行了正常的神经学检查。随访证实临床情况总体良好,但表现为轻度轴性低张力及会聚性斜视,提示皮质性视力障碍。结论:新生儿CSVT的处理仍有争议。虽然肝素可能有出血的风险,但延迟治疗可能导致血栓进展。我们的病例支持在选定的患者中早期使用肝素的潜在安全性和有效性。量身定制的、基于风险的决策可能会改善结果,尽管需要进一步的研究来建立标准化的方案。
本文章由计算机程序翻译,如有差异,请以英文原文为准。

Early Enoxaparin Treatment in a Newborn with Cerebral Venous Sinus Thrombosis and Acute Cerebellar Hemorrhage.

Early Enoxaparin Treatment in a Newborn with Cerebral Venous Sinus Thrombosis and Acute Cerebellar Hemorrhage.

Early Enoxaparin Treatment in a Newborn with Cerebral Venous Sinus Thrombosis and Acute Cerebellar Hemorrhage.

Early Enoxaparin Treatment in a Newborn with Cerebral Venous Sinus Thrombosis and Acute Cerebellar Hemorrhage.

Objective: To evaluate the management of anticoagulant therapy in neonates with cerebral sinus venous thrombosis (CSVT), focusing on potential benefits and risks.

Study design: We report the case of a full-term neonate diagnosed with CSVT, highlighting the rationale for early anticoagulation with unfractionated heparin. A brief literature review supports our clinical decision-making, considering current evidence and expert consensus despite limited neonatal-specific guidelines.

Results: Heparin therapy was started shortly after diagnosis, without hemorrhagic complications. Neuroimaging showed complete thrombus resolution. The neonate had a normal neurological examination at discharge. Follow-up confirmed overall good clinical condition and showed mild axial hypotonia and convergent strabismus suggestive of cortical visual impairment.

Conclusion: Management of CSVT in neonates remains debated. While heparin may carry a risk of bleeding, delaying treatment can lead to thrombus progression. Our case supports the potential safety and efficacy of early heparin use in selected patients. Tailored, risk-based decisions may improve outcomes, though further studies are needed to establish standardized protocols.

求助全文
通过发布文献求助,成功后即可免费获取论文全文。 去求助
来源期刊
AJP Reports
AJP Reports PEDIATRICS-
CiteScore
2.20
自引率
0.00%
发文量
30
审稿时长
12 weeks
×
引用
GB/T 7714-2015
复制
MLA
复制
APA
复制
导出至
BibTeX EndNote RefMan NoteFirst NoteExpress
×
提示
您的信息不完整,为了账户安全,请先补充。
现在去补充
×
提示
您因"违规操作"
具体请查看互助需知
我知道了
×
提示
确定
请完成安全验证×
copy
已复制链接
快去分享给好友吧!
我知道了
右上角分享
点击右上角分享
0
联系我们:info@booksci.cn Book学术提供免费学术资源搜索服务,方便国内外学者检索中英文文献。致力于提供最便捷和优质的服务体验。 Copyright © 2023 布克学术 All rights reserved.
京ICP备2023020795号-1
ghs 京公网安备 11010802042870号
Book学术文献互助
Book学术文献互助群
群 号:604180095
Book学术官方微信