聚乙烯吡咯烷酮可有效提高瑞奇莫特对牛Y精子的分选效率。

IF 2.5 2区 农林科学 Q1 AGRICULTURE, DAIRY & ANIMAL SCIENCE
Animal Bioscience Pub Date : 2025-09-01 Epub Date: 2025-03-31 DOI:10.5713/ab.24.0738
Fei Huang, Peng Niu, Hui-Min Qu, Hong Cheng, Jie-Ru Wang, Jia-Jia Suo, Jie Wang, Di Fang, Qing-Hua Gao
{"title":"聚乙烯吡咯烷酮可有效提高瑞奇莫特对牛Y精子的分选效率。","authors":"Fei Huang, Peng Niu, Hui-Min Qu, Hong Cheng, Jie-Ru Wang, Jia-Jia Suo, Jie Wang, Di Fang, Qing-Hua Gao","doi":"10.5713/ab.24.0738","DOIUrl":null,"url":null,"abstract":"<p><strong>Objective: </strong>The X/Y sperm separation technique plays a crucial role in gender control. The objective of this experiment is to investigate the effect of polyvinylpyrrolidone (PVP) concentration (A: 0%, B: 1%, C: 3%, D: 5%, E: 7%, vol/vol) on Y sperm sorting efficiency, based on the specific binding of Resiquimod (R848) to toll-like receptor (TLR)7/8 receptors on the tail of X sperm.</p><p><strong>Methods: </strong>The different concentrations of PVP were added to the R848 sperm sorting solution to facilitate the separation of Y sperm. Subsequently, the isolated sperm were subjected to quantification and motility assessment using computer-assisted semen analysis system. The X/Y sperm ratio is then analyzed by flow cytometry. The sorted sperm were evaluated for acrosomal and plasma membrane integrity. The spermatozoa were then subjected to immunofluorescent staining through immunofluorescence (IF) techniques, which preceded the quantification of the negative sperm rate. The proportion of male embryos was determined through embryonic sex identification after in vitro fertilization.</p><p><strong>Results: </strong>Flow cytometry analysis results showed that when the PVP concentrations were 3%, 5% and 7%, the proportion of Y sperm was not statistically significant, (p≥0.05). However, these percentages were significantly elevated compared to those obtained with 0% and 1% PVP concentrations (p<0.05). The IF staining results demonstrated that the proportion of TLR7/8-negative sperm remained statistically unchanged across PVP concentrations of 3%, 5%, and 7% (p≥0.05). However, these percentages were significantly elevated compared to those obtained with 0% and 1% PVP concentrations (p<0.05). The generation of male blastocysts was significantly higher at a PVP concentration of 3% compared to 0% and 1% (p<0.05), but showed no significant difference from 5% and 7% (p≥0.05).</p><p><strong>Conclusion: </strong>Selecting a 3% PVP concentration not only ensures sufficient sperm yield but also promotes effective selection of Y-sperm. These findings provide empirical evidence supporting the high-efficiency separation of X/Y sperm in livestock.</p>","PeriodicalId":7825,"journal":{"name":"Animal Bioscience","volume":" ","pages":"1881-1893"},"PeriodicalIF":2.5000,"publicationDate":"2025-09-01","publicationTypes":"Journal Article","fieldsOfStudy":null,"isOpenAccess":false,"openAccessPdf":"https://www.ncbi.nlm.nih.gov/pmc/articles/PMC12415464/pdf/","citationCount":"0","resultStr":"{\"title\":\"Polyvinylpyrrolidone can effectively improve the efficiency of resiquimod in sorting bovine Y sperm.\",\"authors\":\"Fei Huang, Peng Niu, Hui-Min Qu, Hong Cheng, Jie-Ru Wang, Jia-Jia Suo, Jie Wang, Di Fang, Qing-Hua Gao\",\"doi\":\"10.5713/ab.24.0738\",\"DOIUrl\":null,\"url\":null,\"abstract\":\"<p><strong>Objective: </strong>The X/Y sperm separation technique plays a crucial role in gender control. The objective of this experiment is to investigate the effect of polyvinylpyrrolidone (PVP) concentration (A: 0%, B: 1%, C: 3%, D: 5%, E: 7%, vol/vol) on Y sperm sorting efficiency, based on the specific binding of Resiquimod (R848) to toll-like receptor (TLR)7/8 receptors on the tail of X sperm.</p><p><strong>Methods: </strong>The different concentrations of PVP were added to the R848 sperm sorting solution to facilitate the separation of Y sperm. Subsequently, the isolated sperm were subjected to quantification and motility assessment using computer-assisted semen analysis system. The X/Y sperm ratio is then analyzed by flow cytometry. The sorted sperm were evaluated for acrosomal and plasma membrane integrity. The spermatozoa were then subjected to immunofluorescent staining through immunofluorescence (IF) techniques, which preceded the quantification of the negative sperm rate. The proportion of male embryos was determined through embryonic sex identification after in vitro fertilization.</p><p><strong>Results: </strong>Flow cytometry analysis results showed that when the PVP concentrations were 3%, 5% and 7%, the proportion of Y sperm was not statistically significant, (p≥0.05). However, these percentages were significantly elevated compared to those obtained with 0% and 1% PVP concentrations (p<0.05). The IF staining results demonstrated that the proportion of TLR7/8-negative sperm remained statistically unchanged across PVP concentrations of 3%, 5%, and 7% (p≥0.05). However, these percentages were significantly elevated compared to those obtained with 0% and 1% PVP concentrations (p<0.05). The generation of male blastocysts was significantly higher at a PVP concentration of 3% compared to 0% and 1% (p<0.05), but showed no significant difference from 5% and 7% (p≥0.05).</p><p><strong>Conclusion: </strong>Selecting a 3% PVP concentration not only ensures sufficient sperm yield but also promotes effective selection of Y-sperm. These findings provide empirical evidence supporting the high-efficiency separation of X/Y sperm in livestock.</p>\",\"PeriodicalId\":7825,\"journal\":{\"name\":\"Animal Bioscience\",\"volume\":\" \",\"pages\":\"1881-1893\"},\"PeriodicalIF\":2.5000,\"publicationDate\":\"2025-09-01\",\"publicationTypes\":\"Journal Article\",\"fieldsOfStudy\":null,\"isOpenAccess\":false,\"openAccessPdf\":\"https://www.ncbi.nlm.nih.gov/pmc/articles/PMC12415464/pdf/\",\"citationCount\":\"0\",\"resultStr\":null,\"platform\":\"Semanticscholar\",\"paperid\":null,\"PeriodicalName\":\"Animal Bioscience\",\"FirstCategoryId\":\"97\",\"ListUrlMain\":\"https://doi.org/10.5713/ab.24.0738\",\"RegionNum\":2,\"RegionCategory\":\"农林科学\",\"ArticlePicture\":[],\"TitleCN\":null,\"AbstractTextCN\":null,\"PMCID\":null,\"EPubDate\":\"2025/3/31 0:00:00\",\"PubModel\":\"Epub\",\"JCR\":\"Q1\",\"JCRName\":\"AGRICULTURE, DAIRY & ANIMAL SCIENCE\",\"Score\":null,\"Total\":0}","platform":"Semanticscholar","paperid":null,"PeriodicalName":"Animal Bioscience","FirstCategoryId":"97","ListUrlMain":"https://doi.org/10.5713/ab.24.0738","RegionNum":2,"RegionCategory":"农林科学","ArticlePicture":[],"TitleCN":null,"AbstractTextCN":null,"PMCID":null,"EPubDate":"2025/3/31 0:00:00","PubModel":"Epub","JCR":"Q1","JCRName":"AGRICULTURE, DAIRY & ANIMAL SCIENCE","Score":null,"Total":0}
引用次数: 0

摘要

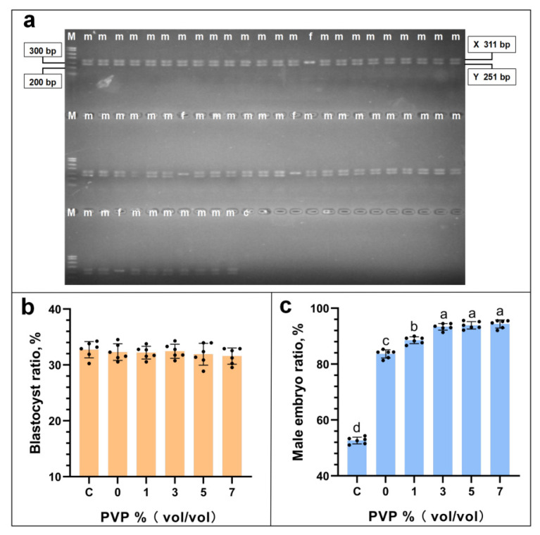
目的:X/Y精子分离技术在性别控制中起着关键作用。本实验旨在通过雷西喹莫特(R848)与X精子尾部TLR7/8受体的特异性结合,探讨聚乙烯吡咯烷酮(PVP)浓度(A: 0%, B: 1%, C: 3%, D: 5%, E: 7%, vol/vol)对Y精子分选效率的影响。方法:在R848精子分选液中加入不同浓度的PVP,促进Y精子的分离。随后,使用计算机辅助精液分析(CASA)系统对分离精子进行定量和活力评估。然后用流式细胞术分析X/Y精子比例。对分选后的精子进行顶体和质膜完整性评价。然后通过免疫荧光(IF)技术对精子进行免疫荧光染色,然后对阴性精子率进行量化。体外受精后通过胚胎性别鉴定确定雄性胚胎比例。结果:流式细胞术分析结果显示,PVP浓度分别为3%、5%、7%时,Y精子比例差异无统计学意义(P≥0.05)。然而,与PVP浓度为0%和1%相比,这些百分比显著提高(结论:选择3%的PVP浓度不仅可以保证足够的精子产量,而且可以促进y精子的有效选择。这些发现为牲畜X/Y精子的高效分离提供了经验证据。
本文章由计算机程序翻译,如有差异,请以英文原文为准。

Polyvinylpyrrolidone can effectively improve the efficiency of resiquimod in sorting bovine Y sperm.

Polyvinylpyrrolidone can effectively improve the efficiency of resiquimod in sorting bovine Y sperm.

Polyvinylpyrrolidone can effectively improve the efficiency of resiquimod in sorting bovine Y sperm.

Polyvinylpyrrolidone can effectively improve the efficiency of resiquimod in sorting bovine Y sperm.

Objective: The X/Y sperm separation technique plays a crucial role in gender control. The objective of this experiment is to investigate the effect of polyvinylpyrrolidone (PVP) concentration (A: 0%, B: 1%, C: 3%, D: 5%, E: 7%, vol/vol) on Y sperm sorting efficiency, based on the specific binding of Resiquimod (R848) to toll-like receptor (TLR)7/8 receptors on the tail of X sperm.

Methods: The different concentrations of PVP were added to the R848 sperm sorting solution to facilitate the separation of Y sperm. Subsequently, the isolated sperm were subjected to quantification and motility assessment using computer-assisted semen analysis system. The X/Y sperm ratio is then analyzed by flow cytometry. The sorted sperm were evaluated for acrosomal and plasma membrane integrity. The spermatozoa were then subjected to immunofluorescent staining through immunofluorescence (IF) techniques, which preceded the quantification of the negative sperm rate. The proportion of male embryos was determined through embryonic sex identification after in vitro fertilization.

Results: Flow cytometry analysis results showed that when the PVP concentrations were 3%, 5% and 7%, the proportion of Y sperm was not statistically significant, (p≥0.05). However, these percentages were significantly elevated compared to those obtained with 0% and 1% PVP concentrations (p<0.05). The IF staining results demonstrated that the proportion of TLR7/8-negative sperm remained statistically unchanged across PVP concentrations of 3%, 5%, and 7% (p≥0.05). However, these percentages were significantly elevated compared to those obtained with 0% and 1% PVP concentrations (p<0.05). The generation of male blastocysts was significantly higher at a PVP concentration of 3% compared to 0% and 1% (p<0.05), but showed no significant difference from 5% and 7% (p≥0.05).

Conclusion: Selecting a 3% PVP concentration not only ensures sufficient sperm yield but also promotes effective selection of Y-sperm. These findings provide empirical evidence supporting the high-efficiency separation of X/Y sperm in livestock.

求助全文
通过发布文献求助,成功后即可免费获取论文全文。 去求助
来源期刊
Animal Bioscience
Animal Bioscience AGRICULTURE, DAIRY & ANIMAL SCIENCE-
CiteScore
5.00
自引率
0.00%
发文量
223
审稿时长
3 months
×
引用
GB/T 7714-2015
复制
MLA
复制
APA
复制
导出至
BibTeX EndNote RefMan NoteFirst NoteExpress
×
提示
您的信息不完整,为了账户安全,请先补充。
现在去补充
×
提示
您因"违规操作"
具体请查看互助需知
我知道了
×
提示
确定
请完成安全验证×
copy
已复制链接
快去分享给好友吧!
我知道了
右上角分享
点击右上角分享
0
联系我们:info@booksci.cn Book学术提供免费学术资源搜索服务,方便国内外学者检索中英文文献。致力于提供最便捷和优质的服务体验。 Copyright © 2023 布克学术 All rights reserved.
京ICP备2023020795号-1
ghs 京公网安备 11010802042870号
Book学术文献互助
Book学术文献互助群
群 号:604180095
Book学术官方微信