眼眶骨折致对侧视神经管骨折伴外伤性视神经病变1例。

IF 0.6 Q4 OPHTHALMOLOGY
Case Reports in Ophthalmology Pub Date : 2025-03-20 eCollection Date: 2025-01-01 DOI:10.1159/000545040
Paulina Truong, Saif Aldeen Alryalat, Osama Al Deyabat, Amina Malik, Masayoshi Takashima, Andrew Go Lee
{"title":"眼眶骨折致对侧视神经管骨折伴外伤性视神经病变1例。","authors":"Paulina Truong, Saif Aldeen Alryalat, Osama Al Deyabat, Amina Malik, Masayoshi Takashima, Andrew Go Lee","doi":"10.1159/000545040","DOIUrl":null,"url":null,"abstract":"<p><strong>Introduction: </strong>Traumatic optic neuropathy (TON) can cause acute vision loss after head trauma, either due to indirect shearing forces or direct trauma, i.e., by a bony fragment of an optic canal fracture (OCF). We present a case of TON due to an isolated OCF with contralateral orbital fracture and injury.</p><p><strong>Case presentation: </strong>A 19-year old male presented with immediate total loss of vision to no light perception in the right eye after being struck on the left cheek by a lawn sign. Computed tomography and magnetic resonance imaging revealed left orbital floor fracture and right optic nerve enhancement. The patient was treated with high-dose intravenous corticosteroids and plasma exchange for a presumed inflammatory or TON. Repeat orbital imaging revealed a right OCF with bony impingement of the optic nerve. The patient underwent endoscopic optic nerve decompression; a 4 × 5 mm bone fragment abutting the optic nerve was removed. 1 month later, vision improved to hand motion.</p><p><strong>Conclusion: </strong>Imaging may fail to detect OCF, and visual prognosis depends on time to surgery and fracture pattern. Therefore, operative management and preoperative intravenous corticosteroids, though controversial, may be considered even in the absence of radiographic findings of bony impingement causing direct TON. Isolated OCF without continuous fractures originating at the injury site is also a rare fracture pattern and potential cause of direct TON.</p>","PeriodicalId":9635,"journal":{"name":"Case Reports in Ophthalmology","volume":"16 1","pages":"290-296"},"PeriodicalIF":0.6000,"publicationDate":"2025-03-20","publicationTypes":"Journal Article","fieldsOfStudy":null,"isOpenAccess":false,"openAccessPdf":"https://www.ncbi.nlm.nih.gov/pmc/articles/PMC12021382/pdf/","citationCount":"0","resultStr":"{\"title\":\"Orbital Fracture Resulting in Contralateral Optic Canal Fracture with Traumatic Optic Neuropathy: A Case Report.\",\"authors\":\"Paulina Truong, Saif Aldeen Alryalat, Osama Al Deyabat, Amina Malik, Masayoshi Takashima, Andrew Go Lee\",\"doi\":\"10.1159/000545040\",\"DOIUrl\":null,\"url\":null,\"abstract\":\"<p><strong>Introduction: </strong>Traumatic optic neuropathy (TON) can cause acute vision loss after head trauma, either due to indirect shearing forces or direct trauma, i.e., by a bony fragment of an optic canal fracture (OCF). We present a case of TON due to an isolated OCF with contralateral orbital fracture and injury.</p><p><strong>Case presentation: </strong>A 19-year old male presented with immediate total loss of vision to no light perception in the right eye after being struck on the left cheek by a lawn sign. Computed tomography and magnetic resonance imaging revealed left orbital floor fracture and right optic nerve enhancement. The patient was treated with high-dose intravenous corticosteroids and plasma exchange for a presumed inflammatory or TON. Repeat orbital imaging revealed a right OCF with bony impingement of the optic nerve. The patient underwent endoscopic optic nerve decompression; a 4 × 5 mm bone fragment abutting the optic nerve was removed. 1 month later, vision improved to hand motion.</p><p><strong>Conclusion: </strong>Imaging may fail to detect OCF, and visual prognosis depends on time to surgery and fracture pattern. Therefore, operative management and preoperative intravenous corticosteroids, though controversial, may be considered even in the absence of radiographic findings of bony impingement causing direct TON. Isolated OCF without continuous fractures originating at the injury site is also a rare fracture pattern and potential cause of direct TON.</p>\",\"PeriodicalId\":9635,\"journal\":{\"name\":\"Case Reports in Ophthalmology\",\"volume\":\"16 1\",\"pages\":\"290-296\"},\"PeriodicalIF\":0.6000,\"publicationDate\":\"2025-03-20\",\"publicationTypes\":\"Journal Article\",\"fieldsOfStudy\":null,\"isOpenAccess\":false,\"openAccessPdf\":\"https://www.ncbi.nlm.nih.gov/pmc/articles/PMC12021382/pdf/\",\"citationCount\":\"0\",\"resultStr\":null,\"platform\":\"Semanticscholar\",\"paperid\":null,\"PeriodicalName\":\"Case Reports in Ophthalmology\",\"FirstCategoryId\":\"1085\",\"ListUrlMain\":\"https://doi.org/10.1159/000545040\",\"RegionNum\":0,\"RegionCategory\":null,\"ArticlePicture\":[],\"TitleCN\":null,\"AbstractTextCN\":null,\"PMCID\":null,\"EPubDate\":\"2025/1/1 0:00:00\",\"PubModel\":\"eCollection\",\"JCR\":\"Q4\",\"JCRName\":\"OPHTHALMOLOGY\",\"Score\":null,\"Total\":0}","platform":"Semanticscholar","paperid":null,"PeriodicalName":"Case Reports in Ophthalmology","FirstCategoryId":"1085","ListUrlMain":"https://doi.org/10.1159/000545040","RegionNum":0,"RegionCategory":null,"ArticlePicture":[],"TitleCN":null,"AbstractTextCN":null,"PMCID":null,"EPubDate":"2025/1/1 0:00:00","PubModel":"eCollection","JCR":"Q4","JCRName":"OPHTHALMOLOGY","Score":null,"Total":0}
引用次数: 0

摘要

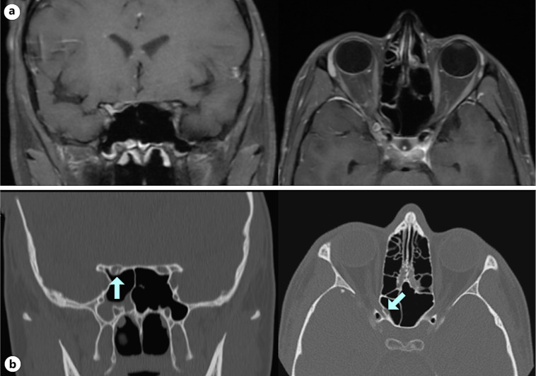
外伤性视神经病变(TON)可在头部创伤后引起急性视力丧失,无论是由于间接剪切力还是直接创伤,即由视神经管骨折(OCF)的骨碎片。我们报告一例因孤立性眶外瘘合并对侧眶骨折和损伤而导致的眼内瘘。病例介绍:一名19岁男性在被草坪标志击中左脸颊后,右眼立即完全失明,没有光感。计算机断层扫描和磁共振成像显示左侧眶底骨折和右侧视神经增强。患者接受大剂量静脉注射皮质类固醇和血浆置换治疗,以诊断为炎症或TON。重复眼眶成像显示右侧OCF伴视神经骨性撞击。患者行内窥镜视神经减压术;切除靠近视神经的一块4 × 5 mm骨碎片。1个月后,视力改善至手部运动。结论:影像可能无法发现OCF,视觉预后与手术时间和骨折类型有关。因此,手术处理和术前静脉注射皮质类固醇,尽管存在争议,但即使在没有骨撞击引起直接TON的x线检查结果的情况下,也可以考虑。在损伤部位无连续性骨折的孤立OCF也是一种罕见的骨折类型和直接TON的潜在原因。
本文章由计算机程序翻译,如有差异,请以英文原文为准。

Orbital Fracture Resulting in Contralateral Optic Canal Fracture with Traumatic Optic Neuropathy: A Case Report.

Orbital Fracture Resulting in Contralateral Optic Canal Fracture with Traumatic Optic Neuropathy: A Case Report.

Orbital Fracture Resulting in Contralateral Optic Canal Fracture with Traumatic Optic Neuropathy: A Case Report.

Introduction: Traumatic optic neuropathy (TON) can cause acute vision loss after head trauma, either due to indirect shearing forces or direct trauma, i.e., by a bony fragment of an optic canal fracture (OCF). We present a case of TON due to an isolated OCF with contralateral orbital fracture and injury.

Case presentation: A 19-year old male presented with immediate total loss of vision to no light perception in the right eye after being struck on the left cheek by a lawn sign. Computed tomography and magnetic resonance imaging revealed left orbital floor fracture and right optic nerve enhancement. The patient was treated with high-dose intravenous corticosteroids and plasma exchange for a presumed inflammatory or TON. Repeat orbital imaging revealed a right OCF with bony impingement of the optic nerve. The patient underwent endoscopic optic nerve decompression; a 4 × 5 mm bone fragment abutting the optic nerve was removed. 1 month later, vision improved to hand motion.

Conclusion: Imaging may fail to detect OCF, and visual prognosis depends on time to surgery and fracture pattern. Therefore, operative management and preoperative intravenous corticosteroids, though controversial, may be considered even in the absence of radiographic findings of bony impingement causing direct TON. Isolated OCF without continuous fractures originating at the injury site is also a rare fracture pattern and potential cause of direct TON.

求助全文
通过发布文献求助,成功后即可免费获取论文全文。 去求助
来源期刊
CiteScore
0.90
自引率
0.00%
发文量
129
审稿时长
12 weeks
期刊介绍: This peer-reviewed online-only journal publishes original case reports covering the entire spectrum of ophthalmology, including prevention, diagnosis, treatment, toxicities of therapy, supportive care, quality-of-life, and survivorship issues. The submission of negative results is strongly encouraged. The journal will also accept case reports dealing with the use of novel technologies, both in the arena of diagnosis and treatment. Supplementary material is welcomed. The intent of the journal is to provide clinicians and researchers with a tool to disseminate their personal experiences to a wider public as well as to review interesting cases encountered by colleagues all over the world. Universally used terms can be searched across the entire growing collection of case reports, further facilitating the retrieval of specific information. Following the open access principle, the entire contents can be retrieved at no charge, guaranteeing easy access to this valuable source of anecdotal information at all times.
×
引用
GB/T 7714-2015
复制
MLA
复制
APA
复制
导出至
BibTeX EndNote RefMan NoteFirst NoteExpress
×
提示
您的信息不完整,为了账户安全,请先补充。
现在去补充
×
提示
您因"违规操作"
具体请查看互助需知
我知道了
×
提示
确定
请完成安全验证×
copy
已复制链接
快去分享给好友吧!
我知道了
右上角分享
点击右上角分享
0
联系我们:info@booksci.cn Book学术提供免费学术资源搜索服务,方便国内外学者检索中英文文献。致力于提供最便捷和优质的服务体验。 Copyright © 2023 布克学术 All rights reserved.
京ICP备2023020795号-1
ghs 京公网安备 11010802042870号
Book学术文献互助
Book学术文献互助群
群 号:604180095
Book学术官方微信