免疫功能正常儿童HHV-6脑炎的神经学表现谱——印度南部三级保健中心的回顾性研究

IF 1.8 4区 医学 Q3 CLINICAL NEUROLOGY
Annals of Indian Academy of Neurology Pub Date : 2025-05-01 Epub Date: 2025-05-06 DOI:10.4103/aian.aian_717_24
Dona T Thomas, Kalpana Devadathan, Greeshma Baby, Mohammed Pa Kunju, Prameela Joji
{"title":"免疫功能正常儿童HHV-6脑炎的神经学表现谱——印度南部三级保健中心的回顾性研究","authors":"Dona T Thomas, Kalpana Devadathan, Greeshma Baby, Mohammed Pa Kunju, Prameela Joji","doi":"10.4103/aian.aian_717_24","DOIUrl":null,"url":null,"abstract":"<p><strong>Background: </strong>Human Herpes Virus 6 (HHV6) can cause severe neurological manifestations in immunocompromised individuals. However, there is sparse data regarding this in immunocompetent children.</p><p><strong>Objective: </strong>To describe the spectrum of neurological manifestations of HHV 6 infection and outcome in immunocompetent children admitted with suspected meningoencephalitis from January 2017 to December 2023.</p><p><strong>Methodology: </strong>We retrospectively analysed the electronic medical records of children admitted for suspected meningoencephalitis in a tertiary care Pediatric Neurology centre in South India. The children whose cerebrospinal fluid (CSF) was found to be positive for HHV6 DNA in film array meningoencephalitis (FA -ME) panel were included.</p><p><strong>Results: </strong>204 /416 children with suspected meningoencephalitis were included in the study. HHV 6 was detected in 12 children. The median age was 19 months (Range - 6 months to 16 years). 4 (33%) of them were classified as febrile status. 5 (42%) children had meningoencephalitis, and one had aseptic meningitis. One child each had features of probable acute demyelinating encephalo myelitis (ADEM) and anti NMDA receptor encephalitis. 9 (75%) children had uneventful clinical recovery, one child died, one child with probable ADEM had extrapyramidal signs at discharge, which improved completely at one year follow up and the baby with autoimmune encephalitis had significant neurological deficits.</p><p><strong>Conclusion: </strong>HHV 6 can cause significant neurological problems, with significant morbidity and mortality in immunocompetent children also.</p>","PeriodicalId":8036,"journal":{"name":"Annals of Indian Academy of Neurology","volume":" ","pages":"400-405"},"PeriodicalIF":1.8000,"publicationDate":"2025-05-01","publicationTypes":"Journal Article","fieldsOfStudy":null,"isOpenAccess":false,"openAccessPdf":"https://www.ncbi.nlm.nih.gov/pmc/articles/PMC12192404/pdf/","citationCount":"0","resultStr":"{\"title\":\"Spectrum of Neurological Manifestations of HHV-6 Encephalitis in Immunocompetent Children - A Retrospective Study at a Tertiary Care Center in South India.\",\"authors\":\"Dona T Thomas, Kalpana Devadathan, Greeshma Baby, Mohammed Pa Kunju, Prameela Joji\",\"doi\":\"10.4103/aian.aian_717_24\",\"DOIUrl\":null,\"url\":null,\"abstract\":\"<p><strong>Background: </strong>Human Herpes Virus 6 (HHV6) can cause severe neurological manifestations in immunocompromised individuals. However, there is sparse data regarding this in immunocompetent children.</p><p><strong>Objective: </strong>To describe the spectrum of neurological manifestations of HHV 6 infection and outcome in immunocompetent children admitted with suspected meningoencephalitis from January 2017 to December 2023.</p><p><strong>Methodology: </strong>We retrospectively analysed the electronic medical records of children admitted for suspected meningoencephalitis in a tertiary care Pediatric Neurology centre in South India. The children whose cerebrospinal fluid (CSF) was found to be positive for HHV6 DNA in film array meningoencephalitis (FA -ME) panel were included.</p><p><strong>Results: </strong>204 /416 children with suspected meningoencephalitis were included in the study. HHV 6 was detected in 12 children. The median age was 19 months (Range - 6 months to 16 years). 4 (33%) of them were classified as febrile status. 5 (42%) children had meningoencephalitis, and one had aseptic meningitis. One child each had features of probable acute demyelinating encephalo myelitis (ADEM) and anti NMDA receptor encephalitis. 9 (75%) children had uneventful clinical recovery, one child died, one child with probable ADEM had extrapyramidal signs at discharge, which improved completely at one year follow up and the baby with autoimmune encephalitis had significant neurological deficits.</p><p><strong>Conclusion: </strong>HHV 6 can cause significant neurological problems, with significant morbidity and mortality in immunocompetent children also.</p>\",\"PeriodicalId\":8036,\"journal\":{\"name\":\"Annals of Indian Academy of Neurology\",\"volume\":\" \",\"pages\":\"400-405\"},\"PeriodicalIF\":1.8000,\"publicationDate\":\"2025-05-01\",\"publicationTypes\":\"Journal Article\",\"fieldsOfStudy\":null,\"isOpenAccess\":false,\"openAccessPdf\":\"https://www.ncbi.nlm.nih.gov/pmc/articles/PMC12192404/pdf/\",\"citationCount\":\"0\",\"resultStr\":null,\"platform\":\"Semanticscholar\",\"paperid\":null,\"PeriodicalName\":\"Annals of Indian Academy of Neurology\",\"FirstCategoryId\":\"3\",\"ListUrlMain\":\"https://doi.org/10.4103/aian.aian_717_24\",\"RegionNum\":4,\"RegionCategory\":\"医学\",\"ArticlePicture\":[],\"TitleCN\":null,\"AbstractTextCN\":null,\"PMCID\":null,\"EPubDate\":\"2025/5/6 0:00:00\",\"PubModel\":\"Epub\",\"JCR\":\"Q3\",\"JCRName\":\"CLINICAL NEUROLOGY\",\"Score\":null,\"Total\":0}","platform":"Semanticscholar","paperid":null,"PeriodicalName":"Annals of Indian Academy of Neurology","FirstCategoryId":"3","ListUrlMain":"https://doi.org/10.4103/aian.aian_717_24","RegionNum":4,"RegionCategory":"医学","ArticlePicture":[],"TitleCN":null,"AbstractTextCN":null,"PMCID":null,"EPubDate":"2025/5/6 0:00:00","PubModel":"Epub","JCR":"Q3","JCRName":"CLINICAL NEUROLOGY","Score":null,"Total":0}
引用次数: 0

摘要

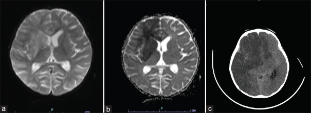
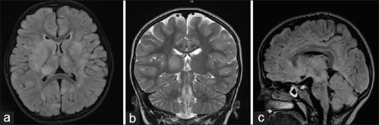
背景:人类疱疹病毒6 (HHV6)可在免疫功能低下的个体中引起严重的神经系统症状。然而,在免疫功能正常的儿童中,这方面的数据很少。目的:描述2017年1月至2023年12月期间疑似脑膜脑炎的免疫功能正常儿童HHV - 6感染的神经学表现谱和转诊结果。方法:我们回顾性分析了印度南部一家三级儿科神经病学中心因疑似脑膜脑炎入院的儿童电子病历。纳入经膜阵脑膜脑炎(FA -ME)检测脑脊液(CSF) HHV6 DNA阳性的患儿。结果:416例疑似脑膜脑炎患儿中有204例纳入研究。在12名儿童中检出HHV 6。中位年龄为19个月(范围- 6个月至16岁)。其中4例(33%)为发热状态。5例(42%)患儿为脑膜脑炎,1例为无菌性脑膜炎。1名儿童分别有急性脱髓鞘性脑脊炎(ADEM)和抗NMDA受体脑炎的特征。9例(75%)患儿临床恢复正常,1例死亡,1例疑似ADEM患儿出院时有锥体外系体征,随访1年完全好转,自身免疫性脑炎患儿有明显的神经功能缺损。结论:HHV - 6可引起严重的神经系统疾病,在免疫功能正常的儿童中也有显著的发病率和死亡率。
本文章由计算机程序翻译,如有差异,请以英文原文为准。

Spectrum of Neurological Manifestations of HHV-6 Encephalitis in Immunocompetent Children - A Retrospective Study at a Tertiary Care Center in South India.

Spectrum of Neurological Manifestations of HHV-6 Encephalitis in Immunocompetent Children - A Retrospective Study at a Tertiary Care Center in South India.

Spectrum of Neurological Manifestations of HHV-6 Encephalitis in Immunocompetent Children - A Retrospective Study at a Tertiary Care Center in South India.

Spectrum of Neurological Manifestations of HHV-6 Encephalitis in Immunocompetent Children - A Retrospective Study at a Tertiary Care Center in South India.

Background: Human Herpes Virus 6 (HHV6) can cause severe neurological manifestations in immunocompromised individuals. However, there is sparse data regarding this in immunocompetent children.

Objective: To describe the spectrum of neurological manifestations of HHV 6 infection and outcome in immunocompetent children admitted with suspected meningoencephalitis from January 2017 to December 2023.

Methodology: We retrospectively analysed the electronic medical records of children admitted for suspected meningoencephalitis in a tertiary care Pediatric Neurology centre in South India. The children whose cerebrospinal fluid (CSF) was found to be positive for HHV6 DNA in film array meningoencephalitis (FA -ME) panel were included.

Results: 204 /416 children with suspected meningoencephalitis were included in the study. HHV 6 was detected in 12 children. The median age was 19 months (Range - 6 months to 16 years). 4 (33%) of them were classified as febrile status. 5 (42%) children had meningoencephalitis, and one had aseptic meningitis. One child each had features of probable acute demyelinating encephalo myelitis (ADEM) and anti NMDA receptor encephalitis. 9 (75%) children had uneventful clinical recovery, one child died, one child with probable ADEM had extrapyramidal signs at discharge, which improved completely at one year follow up and the baby with autoimmune encephalitis had significant neurological deficits.

Conclusion: HHV 6 can cause significant neurological problems, with significant morbidity and mortality in immunocompetent children also.

求助全文
通过发布文献求助,成功后即可免费获取论文全文。 去求助
来源期刊
Annals of Indian Academy of Neurology
Annals of Indian Academy of Neurology Nervous System Diseases-
CiteScore
2.20
自引率
11.80%
发文量
293
审稿时长
29 weeks
期刊介绍: The journal has a clinical foundation and has been utilized most by clinical neurologists for improving the practice of neurology. While the focus is on neurology in India, the journal publishes manuscripts of high value from all parts of the world. Journal publishes reviews of various types, original articles, short communications, interesting images and case reports. The journal respects the scientific submission of its authors and believes in following an expeditious double-blind peer review process and endeavors to complete the review process within scheduled time frame. A significant effort from the author and the journal perhaps enables to strike an equilibrium to meet the professional expectations of the peers in the world of scientific publication. AIAN believes in safeguarding the privacy rights of human subjects. In order to comply with it, the journal instructs all authors when uploading the manuscript to also add the ethical clearance (human/animals)/ informed consent of subject in the manuscript. This applies to the study/case report that involves animal/human subjects/human specimens e.g. extracted tooth part/soft tissue for biopsy/in vitro analysis.
×
引用
GB/T 7714-2015
复制
MLA
复制
APA
复制
导出至
BibTeX EndNote RefMan NoteFirst NoteExpress
×
提示
您的信息不完整,为了账户安全,请先补充。
现在去补充
×
提示
您因"违规操作"
具体请查看互助需知
我知道了
×
提示
确定
请完成安全验证×
copy
已复制链接
快去分享给好友吧!
我知道了
右上角分享
点击右上角分享
0
联系我们:info@booksci.cn Book学术提供免费学术资源搜索服务,方便国内外学者检索中英文文献。致力于提供最便捷和优质的服务体验。 Copyright © 2023 布克学术 All rights reserved.
京ICP备2023020795号-1
ghs 京公网安备 11010802042870号
Book学术文献互助
Book学术文献互助群
群 号:604180095
Book学术官方微信