口腔局部淀粉样变:一种罕见的临床疾病

IF 0.6 Q3 MEDICINE, GENERAL & INTERNAL
Brian Maloney, Veronica Fisher, Claire M. Healy
{"title":"口腔局部淀粉样变:一种罕见的临床疾病","authors":"Brian Maloney,&nbsp;Veronica Fisher,&nbsp;Claire M. Healy","doi":"10.1002/ccr3.70413","DOIUrl":null,"url":null,"abstract":"<p>Amyloidosis is a complex disease which rarely affects the oral cavity. While localized and systemic variants have a similar clinical presentation, these entities differ vastly in their natural history and prognosis. There is a need for practitioners to be aware of the diverse presentation of this disease and the need for further workup. We present two cases of localised oral amyloidosis, outline their investigation and management and review the related literature.</p>","PeriodicalId":10327,"journal":{"name":"Clinical Case Reports","volume":"13 5","pages":""},"PeriodicalIF":0.6000,"publicationDate":"2025-05-15","publicationTypes":"Journal Article","fieldsOfStudy":null,"isOpenAccess":false,"openAccessPdf":"https://onlinelibrary.wiley.com/doi/epdf/10.1002/ccr3.70413","citationCount":"0","resultStr":"{\"title\":\"Localized Amyloidosis of the Oral Cavity: A Rare Clinical Entity\",\"authors\":\"Brian Maloney,&nbsp;Veronica Fisher,&nbsp;Claire M. Healy\",\"doi\":\"10.1002/ccr3.70413\",\"DOIUrl\":null,\"url\":null,\"abstract\":\"<p>Amyloidosis is a complex disease which rarely affects the oral cavity. While localized and systemic variants have a similar clinical presentation, these entities differ vastly in their natural history and prognosis. There is a need for practitioners to be aware of the diverse presentation of this disease and the need for further workup. We present two cases of localised oral amyloidosis, outline their investigation and management and review the related literature.</p>\",\"PeriodicalId\":10327,\"journal\":{\"name\":\"Clinical Case Reports\",\"volume\":\"13 5\",\"pages\":\"\"},\"PeriodicalIF\":0.6000,\"publicationDate\":\"2025-05-15\",\"publicationTypes\":\"Journal Article\",\"fieldsOfStudy\":null,\"isOpenAccess\":false,\"openAccessPdf\":\"https://onlinelibrary.wiley.com/doi/epdf/10.1002/ccr3.70413\",\"citationCount\":\"0\",\"resultStr\":null,\"platform\":\"Semanticscholar\",\"paperid\":null,\"PeriodicalName\":\"Clinical Case Reports\",\"FirstCategoryId\":\"1085\",\"ListUrlMain\":\"https://onlinelibrary.wiley.com/doi/10.1002/ccr3.70413\",\"RegionNum\":0,\"RegionCategory\":null,\"ArticlePicture\":[],\"TitleCN\":null,\"AbstractTextCN\":null,\"PMCID\":null,\"EPubDate\":\"\",\"PubModel\":\"\",\"JCR\":\"Q3\",\"JCRName\":\"MEDICINE, GENERAL & INTERNAL\",\"Score\":null,\"Total\":0}","platform":"Semanticscholar","paperid":null,"PeriodicalName":"Clinical Case Reports","FirstCategoryId":"1085","ListUrlMain":"https://onlinelibrary.wiley.com/doi/10.1002/ccr3.70413","RegionNum":0,"RegionCategory":null,"ArticlePicture":[],"TitleCN":null,"AbstractTextCN":null,"PMCID":null,"EPubDate":"","PubModel":"","JCR":"Q3","JCRName":"MEDICINE, GENERAL & INTERNAL","Score":null,"Total":0}
引用次数: 0

摘要

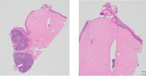
淀粉样变是一种复杂的疾病,很少影响口腔。虽然局部和全身变异具有相似的临床表现,但这些实体在其自然史和预后方面差异很大。有必要从业者意识到这种疾病的不同表现和需要进一步的检查。我们报告两例局部口腔淀粉样变,概述其调查和处理,并复习相关文献。
本文章由计算机程序翻译,如有差异,请以英文原文为准。

Localized Amyloidosis of the Oral Cavity: A Rare Clinical Entity

Localized Amyloidosis of the Oral Cavity: A Rare Clinical Entity

Amyloidosis is a complex disease which rarely affects the oral cavity. While localized and systemic variants have a similar clinical presentation, these entities differ vastly in their natural history and prognosis. There is a need for practitioners to be aware of the diverse presentation of this disease and the need for further workup. We present two cases of localised oral amyloidosis, outline their investigation and management and review the related literature.

求助全文
通过发布文献求助,成功后即可免费获取论文全文。 去求助
来源期刊
Clinical Case Reports
Clinical Case Reports MEDICINE, GENERAL & INTERNAL-
自引率
14.30%
发文量
1268
审稿时长
13 weeks
期刊介绍: Clinical Case Reports is different from other case report journals. Our aim is to directly improve global health and increase clinical understanding using case reports to convey important best practice information. We welcome case reports from all areas of Medicine, Nursing, Dentistry, and Veterinary Science and may include: -Any clinical case or procedure which illustrates an important best practice teaching message -Any clinical case or procedure which illustrates the appropriate use of an important clinical guideline or systematic review. As well as: -The management of novel or very uncommon diseases -A common disease presenting in an uncommon way -An uncommon disease masquerading as something more common -Cases which expand understanding of disease pathogenesis -Cases where the teaching point is based on an error -Cases which allow us to re-think established medical lore -Unreported adverse effects of interventions (drug, procedural, or other).
×
引用
GB/T 7714-2015
复制
MLA
复制
APA
复制
导出至
BibTeX EndNote RefMan NoteFirst NoteExpress
×
提示
您的信息不完整,为了账户安全,请先补充。
现在去补充
×
提示
您因"违规操作"
具体请查看互助需知
我知道了
×
提示
确定
请完成安全验证×
copy
已复制链接
快去分享给好友吧!
我知道了
右上角分享
点击右上角分享
0
联系我们:info@booksci.cn Book学术提供免费学术资源搜索服务,方便国内外学者检索中英文文献。致力于提供最便捷和优质的服务体验。 Copyright © 2023 布克学术 All rights reserved.
京ICP备2023020795号-1
ghs 京公网安备 11010802042870号
Book学术文献互助
Book学术文献互助群
群 号:604180095
Book学术官方微信