一种独立于纤溶酶原的兼性溶栓酶

IF 15.7 1区 综合性期刊 Q1 MULTIDISCIPLINARY SCIENCES
Mingqing Tang, Guoxing Ma, Chunyan Xu, Hui Yang, Hongjun Lin, Chao Bian, Chengjia Hu, Meiling Lu, Lei Chen, Wencai Jie, Zhen Yue, Jianbo Jian, Yuqing Sun, Hui Yan, Jingjing Zhou, Xianying Zhang, Shengye Liao, Zhaofa Li, Shuangfeng Cai, Yaqing Wu, Kexin Yang, Yanan Xiong, Yonggang Zhao, Zhimin Lv, Xiaoming Xu, Chuang Liu, Pengliang Xin, Lichao Ye, Xiuling Cui, Qiong Shi, Xi Chen, Ruian Xu
{"title":"一种独立于纤溶酶原的兼性溶栓酶","authors":"Mingqing Tang, Guoxing Ma, Chunyan Xu, Hui Yang, Hongjun Lin, Chao Bian, Chengjia Hu, Meiling Lu, Lei Chen, Wencai Jie, Zhen Yue, Jianbo Jian, Yuqing Sun, Hui Yan, Jingjing Zhou, Xianying Zhang, Shengye Liao, Zhaofa Li, Shuangfeng Cai, Yaqing Wu, Kexin Yang, Yanan Xiong, Yonggang Zhao, Zhimin Lv, Xiaoming Xu, Chuang Liu, Pengliang Xin, Lichao Ye, Xiuling Cui, Qiong Shi, Xi Chen, Ruian Xu","doi":"10.1038/s41467-025-58915-y","DOIUrl":null,"url":null,"abstract":"<p>Current thrombolytic therapies primarily function by converting plasminogen into plasmin, a process dependent on the fibrin–activator complex. This dependence, coupled with the substantial molecular size of plasmin, constrains its effectiveness in degrading D-dimer and restricts its diffusion within thrombi. Here, we introduce a small facultative plasminogen-independent thrombolytic enzyme, snFPITE, isolated from <i>Sipunculus nudus</i>. Compared to traditional thrombolytic agents, snFPITE does not require plasminogen for thrombolysis, although its presence enhances lytic activity. This enzyme fully degrades cross-linked fibrin without leaving residual nondegradable D-dimer and generates a smaller fibrinolytic-active agent from plasminogen. A series of male rats and mice models further confirm that snFPITE is a safety injectable thrombolytic agent. Mechanistically, snFPITE activates plasminogen and degrades fibrin(ogen) in a multisite cleavage manner. snFPITE is inhibited by plasminogen activator inhibitor 1 and α2-antiplasmin via a competitive inhibition. We further identify 28 snFPITE candidate sequences, of which 10 are confirmed as functional genes.</p>","PeriodicalId":19066,"journal":{"name":"Nature Communications","volume":"42 1","pages":""},"PeriodicalIF":15.7000,"publicationDate":"2025-04-24","publicationTypes":"Journal Article","fieldsOfStudy":null,"isOpenAccess":false,"openAccessPdf":"","citationCount":"0","resultStr":"{\"title\":\"A facultative plasminogen-independent thrombolytic enzyme from Sipunculus nudus\",\"authors\":\"Mingqing Tang, Guoxing Ma, Chunyan Xu, Hui Yang, Hongjun Lin, Chao Bian, Chengjia Hu, Meiling Lu, Lei Chen, Wencai Jie, Zhen Yue, Jianbo Jian, Yuqing Sun, Hui Yan, Jingjing Zhou, Xianying Zhang, Shengye Liao, Zhaofa Li, Shuangfeng Cai, Yaqing Wu, Kexin Yang, Yanan Xiong, Yonggang Zhao, Zhimin Lv, Xiaoming Xu, Chuang Liu, Pengliang Xin, Lichao Ye, Xiuling Cui, Qiong Shi, Xi Chen, Ruian Xu\",\"doi\":\"10.1038/s41467-025-58915-y\",\"DOIUrl\":null,\"url\":null,\"abstract\":\"<p>Current thrombolytic therapies primarily function by converting plasminogen into plasmin, a process dependent on the fibrin–activator complex. This dependence, coupled with the substantial molecular size of plasmin, constrains its effectiveness in degrading D-dimer and restricts its diffusion within thrombi. Here, we introduce a small facultative plasminogen-independent thrombolytic enzyme, snFPITE, isolated from <i>Sipunculus nudus</i>. Compared to traditional thrombolytic agents, snFPITE does not require plasminogen for thrombolysis, although its presence enhances lytic activity. This enzyme fully degrades cross-linked fibrin without leaving residual nondegradable D-dimer and generates a smaller fibrinolytic-active agent from plasminogen. A series of male rats and mice models further confirm that snFPITE is a safety injectable thrombolytic agent. Mechanistically, snFPITE activates plasminogen and degrades fibrin(ogen) in a multisite cleavage manner. snFPITE is inhibited by plasminogen activator inhibitor 1 and α2-antiplasmin via a competitive inhibition. We further identify 28 snFPITE candidate sequences, of which 10 are confirmed as functional genes.</p>\",\"PeriodicalId\":19066,\"journal\":{\"name\":\"Nature Communications\",\"volume\":\"42 1\",\"pages\":\"\"},\"PeriodicalIF\":15.7000,\"publicationDate\":\"2025-04-24\",\"publicationTypes\":\"Journal Article\",\"fieldsOfStudy\":null,\"isOpenAccess\":false,\"openAccessPdf\":\"\",\"citationCount\":\"0\",\"resultStr\":null,\"platform\":\"Semanticscholar\",\"paperid\":null,\"PeriodicalName\":\"Nature Communications\",\"FirstCategoryId\":\"103\",\"ListUrlMain\":\"https://doi.org/10.1038/s41467-025-58915-y\",\"RegionNum\":1,\"RegionCategory\":\"综合性期刊\",\"ArticlePicture\":[],\"TitleCN\":null,\"AbstractTextCN\":null,\"PMCID\":null,\"EPubDate\":\"\",\"PubModel\":\"\",\"JCR\":\"Q1\",\"JCRName\":\"MULTIDISCIPLINARY SCIENCES\",\"Score\":null,\"Total\":0}","platform":"Semanticscholar","paperid":null,"PeriodicalName":"Nature Communications","FirstCategoryId":"103","ListUrlMain":"https://doi.org/10.1038/s41467-025-58915-y","RegionNum":1,"RegionCategory":"综合性期刊","ArticlePicture":[],"TitleCN":null,"AbstractTextCN":null,"PMCID":null,"EPubDate":"","PubModel":"","JCR":"Q1","JCRName":"MULTIDISCIPLINARY SCIENCES","Score":null,"Total":0}
引用次数: 0

摘要

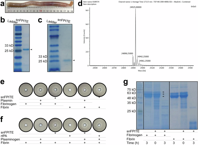
目前的溶栓疗法主要通过将纤溶酶原转化为纤溶酶来发挥作用,这一过程依赖于纤维蛋白激活剂复合物。这种依赖性,再加上纤溶酶的分子较大,限制了它降解D-二聚体的效果,并限制了它在血栓内的扩散。在这里,我们介绍了一种从裸鲤中分离出来的、不依赖于纤溶酶原的小型溶栓酶--snFPITE。与传统的溶栓药物相比,snFPITE 不需要纤溶酶原就能溶栓,但它的存在会增强溶解活性。这种酶能完全降解交联纤维蛋白,不会残留不可降解的 D-二聚体,并能从纤溶酶原中生成较小的纤溶活性物质。一系列雄性大鼠和小鼠模型进一步证实,snFPITE 是一种安全的注射溶栓剂。从机理上讲,snFPITE 能以多位点裂解的方式激活纤溶酶原并降解纤维蛋白(ogen)。snFPITE 通过竞争性抑制作用被纤溶酶原激活剂抑制剂 1 和 α2-抗凝血酶抑制。我们进一步确定了 28 个 snFPITE 候选序列,其中 10 个被确认为功能基因。
本文章由计算机程序翻译,如有差异,请以英文原文为准。

A facultative plasminogen-independent thrombolytic enzyme from Sipunculus nudus

A facultative plasminogen-independent thrombolytic enzyme from Sipunculus nudus

Current thrombolytic therapies primarily function by converting plasminogen into plasmin, a process dependent on the fibrin–activator complex. This dependence, coupled with the substantial molecular size of plasmin, constrains its effectiveness in degrading D-dimer and restricts its diffusion within thrombi. Here, we introduce a small facultative plasminogen-independent thrombolytic enzyme, snFPITE, isolated from Sipunculus nudus. Compared to traditional thrombolytic agents, snFPITE does not require plasminogen for thrombolysis, although its presence enhances lytic activity. This enzyme fully degrades cross-linked fibrin without leaving residual nondegradable D-dimer and generates a smaller fibrinolytic-active agent from plasminogen. A series of male rats and mice models further confirm that snFPITE is a safety injectable thrombolytic agent. Mechanistically, snFPITE activates plasminogen and degrades fibrin(ogen) in a multisite cleavage manner. snFPITE is inhibited by plasminogen activator inhibitor 1 and α2-antiplasmin via a competitive inhibition. We further identify 28 snFPITE candidate sequences, of which 10 are confirmed as functional genes.

求助全文
通过发布文献求助,成功后即可免费获取论文全文。 去求助
来源期刊
Nature Communications
Nature Communications Biological Science Disciplines-
CiteScore
24.90
自引率
2.40%
发文量
6928
审稿时长
3.7 months
期刊介绍: Nature Communications, an open-access journal, publishes high-quality research spanning all areas of the natural sciences. Papers featured in the journal showcase significant advances relevant to specialists in each respective field. With a 2-year impact factor of 16.6 (2022) and a median time of 8 days from submission to the first editorial decision, Nature Communications is committed to rapid dissemination of research findings. As a multidisciplinary journal, it welcomes contributions from biological, health, physical, chemical, Earth, social, mathematical, applied, and engineering sciences, aiming to highlight important breakthroughs within each domain.
×
引用
GB/T 7714-2015
复制
MLA
复制
APA
复制
导出至
BibTeX EndNote RefMan NoteFirst NoteExpress
×
提示
您的信息不完整,为了账户安全,请先补充。
现在去补充
×
提示
您因"违规操作"
具体请查看互助需知
我知道了
×
提示
确定
请完成安全验证×
copy
已复制链接
快去分享给好友吧!
我知道了
右上角分享
点击右上角分享
0
联系我们:info@booksci.cn Book学术提供免费学术资源搜索服务,方便国内外学者检索中英文文献。致力于提供最便捷和优质的服务体验。 Copyright © 2023 布克学术 All rights reserved.
京ICP备2023020795号-1
ghs 京公网安备 11010802042870号
Book学术文献互助
Book学术文献互助群
群 号:604180095
Book学术官方微信