通过抑制Fxr破坏胆汁酸代谢导致YAP激活诱导的肝细胞癌

IF 15.7 1区 综合性期刊 Q1 MULTIDISCIPLINARY SCIENCES
Yuchen Liu, Juanjuan Zhu, Yu Jin, Zhonghe Sun, Xiaolin Wu, Huiping Zhou, Yingzi Yang
{"title":"通过抑制Fxr破坏胆汁酸代谢导致YAP激活诱导的肝细胞癌","authors":"Yuchen Liu, Juanjuan Zhu, Yu Jin, Zhonghe Sun, Xiaolin Wu, Huiping Zhou, Yingzi Yang","doi":"10.1038/s41467-025-58809-z","DOIUrl":null,"url":null,"abstract":"<p>Disruption of bile acid (BA) metabolism causes various liver diseases including hepatocellular carcinoma (HCC). However, the underlying molecular mechanism remains elusive. Here, we report that BA metabolism is directly controlled by a repressor function of YAP, which induces cholestasis by altering BA levels and composition via inhibiting the transcription activity of Fxr, a key physiological BA sensor. Elevated BA levels further activate hepatic YAP, resulting in a feedforward cycle leading to HCC. Mechanistically, Teads are found to bind Fxr in a DNA-binding-independent manner and recruit YAP to epigenetically suppress Fxr. Promoting BA excretion, or alleviating YAP repressor function by pharmacologically activating Fxr and inhibiting HDAC1, or overexpressing an Fxr target gene <i>Bsep</i> to promote BA exportation, alleviate cholestasis and HCC caused by YAP activation. Our results identify YAP’s transcriptional repressor role in BA metabolism as a key driver of HCC and suggest its potential as a therapeutic target.</p>","PeriodicalId":19066,"journal":{"name":"Nature Communications","volume":"42 1","pages":""},"PeriodicalIF":15.7000,"publicationDate":"2025-04-15","publicationTypes":"Journal Article","fieldsOfStudy":null,"isOpenAccess":false,"openAccessPdf":"","citationCount":"0","resultStr":"{\"title\":\"Disrupting bile acid metabolism by suppressing Fxr causes hepatocellular carcinoma induced by YAP activation\",\"authors\":\"Yuchen Liu, Juanjuan Zhu, Yu Jin, Zhonghe Sun, Xiaolin Wu, Huiping Zhou, Yingzi Yang\",\"doi\":\"10.1038/s41467-025-58809-z\",\"DOIUrl\":null,\"url\":null,\"abstract\":\"<p>Disruption of bile acid (BA) metabolism causes various liver diseases including hepatocellular carcinoma (HCC). However, the underlying molecular mechanism remains elusive. Here, we report that BA metabolism is directly controlled by a repressor function of YAP, which induces cholestasis by altering BA levels and composition via inhibiting the transcription activity of Fxr, a key physiological BA sensor. Elevated BA levels further activate hepatic YAP, resulting in a feedforward cycle leading to HCC. Mechanistically, Teads are found to bind Fxr in a DNA-binding-independent manner and recruit YAP to epigenetically suppress Fxr. Promoting BA excretion, or alleviating YAP repressor function by pharmacologically activating Fxr and inhibiting HDAC1, or overexpressing an Fxr target gene <i>Bsep</i> to promote BA exportation, alleviate cholestasis and HCC caused by YAP activation. Our results identify YAP’s transcriptional repressor role in BA metabolism as a key driver of HCC and suggest its potential as a therapeutic target.</p>\",\"PeriodicalId\":19066,\"journal\":{\"name\":\"Nature Communications\",\"volume\":\"42 1\",\"pages\":\"\"},\"PeriodicalIF\":15.7000,\"publicationDate\":\"2025-04-15\",\"publicationTypes\":\"Journal Article\",\"fieldsOfStudy\":null,\"isOpenAccess\":false,\"openAccessPdf\":\"\",\"citationCount\":\"0\",\"resultStr\":null,\"platform\":\"Semanticscholar\",\"paperid\":null,\"PeriodicalName\":\"Nature Communications\",\"FirstCategoryId\":\"103\",\"ListUrlMain\":\"https://doi.org/10.1038/s41467-025-58809-z\",\"RegionNum\":1,\"RegionCategory\":\"综合性期刊\",\"ArticlePicture\":[],\"TitleCN\":null,\"AbstractTextCN\":null,\"PMCID\":null,\"EPubDate\":\"\",\"PubModel\":\"\",\"JCR\":\"Q1\",\"JCRName\":\"MULTIDISCIPLINARY SCIENCES\",\"Score\":null,\"Total\":0}","platform":"Semanticscholar","paperid":null,"PeriodicalName":"Nature Communications","FirstCategoryId":"103","ListUrlMain":"https://doi.org/10.1038/s41467-025-58809-z","RegionNum":1,"RegionCategory":"综合性期刊","ArticlePicture":[],"TitleCN":null,"AbstractTextCN":null,"PMCID":null,"EPubDate":"","PubModel":"","JCR":"Q1","JCRName":"MULTIDISCIPLINARY SCIENCES","Score":null,"Total":0}
引用次数: 0

摘要

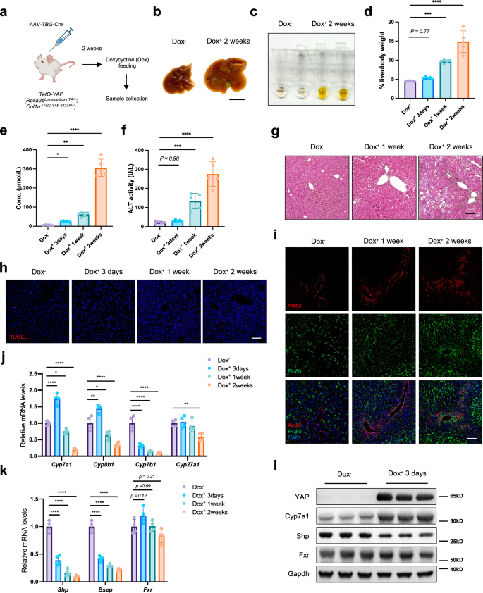
胆汁酸(BA)代谢紊乱会导致各种肝脏疾病,包括肝细胞癌(HCC)。然而,其潜在的分子机制仍然难以捉摸。在这里,我们报告了胆汁酸代谢受 YAP 抑制功能的直接控制,YAP 通过抑制 Fxr(一种关键的胆汁酸生理传感器)的转录活性,改变胆汁酸的水平和组成,从而诱导胆汁淤积。BA 水平的升高会进一步激活肝脏 YAP,从而形成导致 HCC 的前馈循环。从机理上讲,研究发现 Teads 以不依赖 DNA 结合的方式与 Fxr 结合,并招募 YAP 从表观遗传学上抑制 Fxr。促进BA排泄,或通过药物激活Fxr和抑制HDAC1来减轻YAP的抑制功能,或过量表达Fxr靶基因Bsep以促进BA输出,都能减轻YAP激活引起的胆汁淤积和HCC。我们的研究结果表明,YAP在BA代谢中的转录抑制作用是导致HCC的一个关键驱动因素,并建议将其作为一个潜在的治疗靶点。
本文章由计算机程序翻译,如有差异,请以英文原文为准。

Disrupting bile acid metabolism by suppressing Fxr causes hepatocellular carcinoma induced by YAP activation

Disrupting bile acid metabolism by suppressing Fxr causes hepatocellular carcinoma induced by YAP activation

Disruption of bile acid (BA) metabolism causes various liver diseases including hepatocellular carcinoma (HCC). However, the underlying molecular mechanism remains elusive. Here, we report that BA metabolism is directly controlled by a repressor function of YAP, which induces cholestasis by altering BA levels and composition via inhibiting the transcription activity of Fxr, a key physiological BA sensor. Elevated BA levels further activate hepatic YAP, resulting in a feedforward cycle leading to HCC. Mechanistically, Teads are found to bind Fxr in a DNA-binding-independent manner and recruit YAP to epigenetically suppress Fxr. Promoting BA excretion, or alleviating YAP repressor function by pharmacologically activating Fxr and inhibiting HDAC1, or overexpressing an Fxr target gene Bsep to promote BA exportation, alleviate cholestasis and HCC caused by YAP activation. Our results identify YAP’s transcriptional repressor role in BA metabolism as a key driver of HCC and suggest its potential as a therapeutic target.

求助全文
通过发布文献求助,成功后即可免费获取论文全文。 去求助
来源期刊
Nature Communications
Nature Communications Biological Science Disciplines-
CiteScore
24.90
自引率
2.40%
发文量
6928
审稿时长
3.7 months
期刊介绍: Nature Communications, an open-access journal, publishes high-quality research spanning all areas of the natural sciences. Papers featured in the journal showcase significant advances relevant to specialists in each respective field. With a 2-year impact factor of 16.6 (2022) and a median time of 8 days from submission to the first editorial decision, Nature Communications is committed to rapid dissemination of research findings. As a multidisciplinary journal, it welcomes contributions from biological, health, physical, chemical, Earth, social, mathematical, applied, and engineering sciences, aiming to highlight important breakthroughs within each domain.
×
引用
GB/T 7714-2015
复制
MLA
复制
APA
复制
导出至
BibTeX EndNote RefMan NoteFirst NoteExpress
×
提示
您的信息不完整,为了账户安全,请先补充。
现在去补充
×
提示
您因"违规操作"
具体请查看互助需知
我知道了
×
提示
确定
请完成安全验证×
copy
已复制链接
快去分享给好友吧!
我知道了
右上角分享
点击右上角分享
0
联系我们:info@booksci.cn Book学术提供免费学术资源搜索服务,方便国内外学者检索中英文文献。致力于提供最便捷和优质的服务体验。 Copyright © 2023 布克学术 All rights reserved.
京ICP备2023020795号-1
ghs 京公网安备 11010802042870号
Book学术文献互助
Book学术文献互助群
群 号:604180095
Book学术官方微信