凋亡细胞死亡过程中抑制ATP分泌的一种非常规自噬途径

IF 15.7 1区 综合性期刊 Q1 MULTIDISCIPLINARY SCIENCES
Elena Terraza-Silvestre, Raquel Villamuera, Julia Bandera-Linero, Michal Letek, Daniel Oña-Sánchez, Cristina Ramón-Barros, Clara Moyano-Jimeno, Felipe X. Pimentel-Muiños
{"title":"凋亡细胞死亡过程中抑制ATP分泌的一种非常规自噬途径","authors":"Elena Terraza-Silvestre, Raquel Villamuera, Julia Bandera-Linero, Michal Letek, Daniel Oña-Sánchez, Cristina Ramón-Barros, Clara Moyano-Jimeno, Felipe X. Pimentel-Muiños","doi":"10.1038/s41467-025-58619-3","DOIUrl":null,"url":null,"abstract":"<p>Mobilisation of Damage-Associated Molecular Patterns (DAMPs) determines the immunogenic properties of apoptosis, but the mechanisms that control DAMP exposure are still unclear. Here we describe an unconventional autophagic pathway that inhibits the release of ATP, a critical DAMP in immunogenic apoptosis, from dying cells. Mitochondrial BAK activated by BH3-only molecules interacts with prohibitins and stomatin-1 through its latch domain, indicating the existence of an interactome specifically assembled by unfolded BAK. This complex engages the WD40 domain of the autophagic effector ATG16L1 to induce unconventional autophagy, and the resulting LC3-positive vesicles contain ATP. Functional interference with the pathway increases ATP release during cell death, reduces ATP levels remaining in the apoptotic bodies, and improves phagocyte activation. These results reveal that an unconventional component of the autophagic burst that often accompanies apoptosis sequesters intracellular ATP to prevent its release, thus favouring the immunosilent nature of apoptotic cell death.</p>","PeriodicalId":19066,"journal":{"name":"Nature Communications","volume":"75 1","pages":""},"PeriodicalIF":15.7000,"publicationDate":"2025-04-10","publicationTypes":"Journal Article","fieldsOfStudy":null,"isOpenAccess":false,"openAccessPdf":"","citationCount":"0","resultStr":"{\"title\":\"An unconventional autophagic pathway that inhibits ATP secretion during apoptotic cell death\",\"authors\":\"Elena Terraza-Silvestre, Raquel Villamuera, Julia Bandera-Linero, Michal Letek, Daniel Oña-Sánchez, Cristina Ramón-Barros, Clara Moyano-Jimeno, Felipe X. Pimentel-Muiños\",\"doi\":\"10.1038/s41467-025-58619-3\",\"DOIUrl\":null,\"url\":null,\"abstract\":\"<p>Mobilisation of Damage-Associated Molecular Patterns (DAMPs) determines the immunogenic properties of apoptosis, but the mechanisms that control DAMP exposure are still unclear. Here we describe an unconventional autophagic pathway that inhibits the release of ATP, a critical DAMP in immunogenic apoptosis, from dying cells. Mitochondrial BAK activated by BH3-only molecules interacts with prohibitins and stomatin-1 through its latch domain, indicating the existence of an interactome specifically assembled by unfolded BAK. This complex engages the WD40 domain of the autophagic effector ATG16L1 to induce unconventional autophagy, and the resulting LC3-positive vesicles contain ATP. Functional interference with the pathway increases ATP release during cell death, reduces ATP levels remaining in the apoptotic bodies, and improves phagocyte activation. These results reveal that an unconventional component of the autophagic burst that often accompanies apoptosis sequesters intracellular ATP to prevent its release, thus favouring the immunosilent nature of apoptotic cell death.</p>\",\"PeriodicalId\":19066,\"journal\":{\"name\":\"Nature Communications\",\"volume\":\"75 1\",\"pages\":\"\"},\"PeriodicalIF\":15.7000,\"publicationDate\":\"2025-04-10\",\"publicationTypes\":\"Journal Article\",\"fieldsOfStudy\":null,\"isOpenAccess\":false,\"openAccessPdf\":\"\",\"citationCount\":\"0\",\"resultStr\":null,\"platform\":\"Semanticscholar\",\"paperid\":null,\"PeriodicalName\":\"Nature Communications\",\"FirstCategoryId\":\"103\",\"ListUrlMain\":\"https://doi.org/10.1038/s41467-025-58619-3\",\"RegionNum\":1,\"RegionCategory\":\"综合性期刊\",\"ArticlePicture\":[],\"TitleCN\":null,\"AbstractTextCN\":null,\"PMCID\":null,\"EPubDate\":\"\",\"PubModel\":\"\",\"JCR\":\"Q1\",\"JCRName\":\"MULTIDISCIPLINARY SCIENCES\",\"Score\":null,\"Total\":0}","platform":"Semanticscholar","paperid":null,"PeriodicalName":"Nature Communications","FirstCategoryId":"103","ListUrlMain":"https://doi.org/10.1038/s41467-025-58619-3","RegionNum":1,"RegionCategory":"综合性期刊","ArticlePicture":[],"TitleCN":null,"AbstractTextCN":null,"PMCID":null,"EPubDate":"","PubModel":"","JCR":"Q1","JCRName":"MULTIDISCIPLINARY SCIENCES","Score":null,"Total":0}
引用次数: 0

摘要

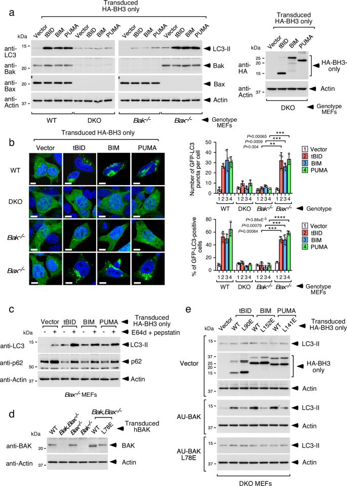
损伤相关分子模式(DAMPs)的动员决定了细胞凋亡的免疫原性,但控制DAMPs暴露的机制尚不清楚。在这里,我们描述了一种非常规的自噬途径,可以抑制垂死细胞中ATP的释放,ATP是免疫原性凋亡的关键DAMP。仅bh3分子激活的线粒体BAK通过其闩锁结构域与禁止素和stomatin-1相互作用,表明存在由未折叠的BAK特异性组装的相互作用组。该复合物与自噬效应物ATG16L1的WD40结构域结合,诱导非常规自噬,由此产生的lc3阳性囊泡含有ATP。对该通路的功能干扰增加了细胞死亡过程中ATP的释放,降低了凋亡小体中剩余的ATP水平,并改善了吞噬细胞的活化。这些结果表明,通常伴随细胞凋亡的自噬爆发的一种非常规成分会隔离细胞内ATP以阻止其释放,从而有利于凋亡细胞死亡的免疫沉默性质。
本文章由计算机程序翻译,如有差异,请以英文原文为准。

An unconventional autophagic pathway that inhibits ATP secretion during apoptotic cell death

An unconventional autophagic pathway that inhibits ATP secretion during apoptotic cell death

Mobilisation of Damage-Associated Molecular Patterns (DAMPs) determines the immunogenic properties of apoptosis, but the mechanisms that control DAMP exposure are still unclear. Here we describe an unconventional autophagic pathway that inhibits the release of ATP, a critical DAMP in immunogenic apoptosis, from dying cells. Mitochondrial BAK activated by BH3-only molecules interacts with prohibitins and stomatin-1 through its latch domain, indicating the existence of an interactome specifically assembled by unfolded BAK. This complex engages the WD40 domain of the autophagic effector ATG16L1 to induce unconventional autophagy, and the resulting LC3-positive vesicles contain ATP. Functional interference with the pathway increases ATP release during cell death, reduces ATP levels remaining in the apoptotic bodies, and improves phagocyte activation. These results reveal that an unconventional component of the autophagic burst that often accompanies apoptosis sequesters intracellular ATP to prevent its release, thus favouring the immunosilent nature of apoptotic cell death.

求助全文
通过发布文献求助,成功后即可免费获取论文全文。 去求助
来源期刊
Nature Communications
Nature Communications Biological Science Disciplines-
CiteScore
24.90
自引率
2.40%
发文量
6928
审稿时长
3.7 months
期刊介绍: Nature Communications, an open-access journal, publishes high-quality research spanning all areas of the natural sciences. Papers featured in the journal showcase significant advances relevant to specialists in each respective field. With a 2-year impact factor of 16.6 (2022) and a median time of 8 days from submission to the first editorial decision, Nature Communications is committed to rapid dissemination of research findings. As a multidisciplinary journal, it welcomes contributions from biological, health, physical, chemical, Earth, social, mathematical, applied, and engineering sciences, aiming to highlight important breakthroughs within each domain.
×
引用
GB/T 7714-2015
复制
MLA
复制
APA
复制
导出至
BibTeX EndNote RefMan NoteFirst NoteExpress
×
提示
您的信息不完整,为了账户安全,请先补充。
现在去补充
×
提示
您因"违规操作"
具体请查看互助需知
我知道了
×
提示
确定
请完成安全验证×
copy
已复制链接
快去分享给好友吧!
我知道了
右上角分享
点击右上角分享
0
联系我们:info@booksci.cn Book学术提供免费学术资源搜索服务,方便国内外学者检索中英文文献。致力于提供最便捷和优质的服务体验。 Copyright © 2023 布克学术 All rights reserved.
京ICP备2023020795号-1
ghs 京公网安备 11010802042870号
Book学术文献互助
Book学术文献互助群
群 号:604180095
Book学术官方微信