与胃癌相关的肺肿瘤血栓性微血管病:临床特征和结果。

IF 3.8 4区 医学 Q2 GASTROENTEROLOGY & HEPATOLOGY
Tae-Se Kim, Soomin Ahn, Sung-A Chang, Sung Hee Lim, Byung-Hoon Min, Yang Won Min, Hyuk Lee, Poong-Lyul Rhee, Jae J Kim, Jun Haeng Lee
{"title":"与胃癌相关的肺肿瘤血栓性微血管病:临床特征和结果。","authors":"Tae-Se Kim, Soomin Ahn, Sung-A Chang, Sung Hee Lim, Byung-Hoon Min, Yang Won Min, Hyuk Lee, Poong-Lyul Rhee, Jae J Kim, Jun Haeng Lee","doi":"10.5230/jgc.2025.25.e1","DOIUrl":null,"url":null,"abstract":"<p><strong>Purpose: </strong>Pulmonary tumor thrombotic microangiopathy (PTTM) is a fatal complication of gastric cancer (GC). This study aimed to evaluate the clinical characteristics, outcomes, and immunohistochemical profiles of patients with GC-induced PTTM.</p><p><strong>Materials and methods: </strong>From 2011 to 2023, 8 patients were clinically diagnosed with PTTM associated with GC antemortem. Clinical features and outcomes were reviewed, and immunohistochemical staining for c-erbB-2, MutL protein homolog 1, and programmed cell death ligand-1 was performed.</p><p><strong>Results: </strong>The median patient age was 56 years (range, 34-66 years). In all the patients, the tumors exhibited either ulceroinfiltrative or diffusely infiltrative gross morphology. The median tumor size was 5.8 cm (range, 2.0 cm-15.0 cm). Poorly differentiated adenocarcinoma was the most common histological type (6/8, 75%), followed by signet ring cell carcinoma (1/8, 12.5%) and moderately differentiated adenocarcinoma (1/8, 12.5%). Chest computed tomography revealed ground-glass opacities (7/8, 87.5%) or tree-in-bud signs (2/8, 25.0%) without definite evidence of pulmonary thromboembolism. Disseminated intravascular coagulation was present in 62.5% (5/8) of the patients diagnosed with PTTM. C-erbB-2 was positive in one patient (1/8, 12.5%). One patient who received palliative chemotherapy after developing PTTM survived for 35 days, whereas the other 7 patients who did not receive chemotherapy after developing PTTM survived for 7 days or less after PTTM diagnosis.</p><p><strong>Conclusions: </strong>Most patients with GC-induced PTTM had an undifferentiated-type histology, infiltrative morphology, and extremely poor survival. Palliative chemotherapy may benefit patients with GC-induced PTTM; however, further studies are needed to explore the potential of targeted therapy in these patients.</p>","PeriodicalId":56072,"journal":{"name":"Journal of Gastric Cancer","volume":"25 2","pages":"276-284"},"PeriodicalIF":3.8000,"publicationDate":"2025-04-01","publicationTypes":"Journal Article","fieldsOfStudy":null,"isOpenAccess":false,"openAccessPdf":"https://www.ncbi.nlm.nih.gov/pmc/articles/PMC11982500/pdf/","citationCount":"0","resultStr":"{\"title\":\"Pulmonary Tumor Thrombotic Microangiopathy Associated With Gastric Cancer: Clinical Characteristics and Outcomes.\",\"authors\":\"Tae-Se Kim, Soomin Ahn, Sung-A Chang, Sung Hee Lim, Byung-Hoon Min, Yang Won Min, Hyuk Lee, Poong-Lyul Rhee, Jae J Kim, Jun Haeng Lee\",\"doi\":\"10.5230/jgc.2025.25.e1\",\"DOIUrl\":null,\"url\":null,\"abstract\":\"<p><strong>Purpose: </strong>Pulmonary tumor thrombotic microangiopathy (PTTM) is a fatal complication of gastric cancer (GC). This study aimed to evaluate the clinical characteristics, outcomes, and immunohistochemical profiles of patients with GC-induced PTTM.</p><p><strong>Materials and methods: </strong>From 2011 to 2023, 8 patients were clinically diagnosed with PTTM associated with GC antemortem. Clinical features and outcomes were reviewed, and immunohistochemical staining for c-erbB-2, MutL protein homolog 1, and programmed cell death ligand-1 was performed.</p><p><strong>Results: </strong>The median patient age was 56 years (range, 34-66 years). In all the patients, the tumors exhibited either ulceroinfiltrative or diffusely infiltrative gross morphology. The median tumor size was 5.8 cm (range, 2.0 cm-15.0 cm). Poorly differentiated adenocarcinoma was the most common histological type (6/8, 75%), followed by signet ring cell carcinoma (1/8, 12.5%) and moderately differentiated adenocarcinoma (1/8, 12.5%). Chest computed tomography revealed ground-glass opacities (7/8, 87.5%) or tree-in-bud signs (2/8, 25.0%) without definite evidence of pulmonary thromboembolism. Disseminated intravascular coagulation was present in 62.5% (5/8) of the patients diagnosed with PTTM. C-erbB-2 was positive in one patient (1/8, 12.5%). One patient who received palliative chemotherapy after developing PTTM survived for 35 days, whereas the other 7 patients who did not receive chemotherapy after developing PTTM survived for 7 days or less after PTTM diagnosis.</p><p><strong>Conclusions: </strong>Most patients with GC-induced PTTM had an undifferentiated-type histology, infiltrative morphology, and extremely poor survival. Palliative chemotherapy may benefit patients with GC-induced PTTM; however, further studies are needed to explore the potential of targeted therapy in these patients.</p>\",\"PeriodicalId\":56072,\"journal\":{\"name\":\"Journal of Gastric Cancer\",\"volume\":\"25 2\",\"pages\":\"276-284\"},\"PeriodicalIF\":3.8000,\"publicationDate\":\"2025-04-01\",\"publicationTypes\":\"Journal Article\",\"fieldsOfStudy\":null,\"isOpenAccess\":false,\"openAccessPdf\":\"https://www.ncbi.nlm.nih.gov/pmc/articles/PMC11982500/pdf/\",\"citationCount\":\"0\",\"resultStr\":null,\"platform\":\"Semanticscholar\",\"paperid\":null,\"PeriodicalName\":\"Journal of Gastric Cancer\",\"FirstCategoryId\":\"3\",\"ListUrlMain\":\"https://doi.org/10.5230/jgc.2025.25.e1\",\"RegionNum\":4,\"RegionCategory\":\"医学\",\"ArticlePicture\":[],\"TitleCN\":null,\"AbstractTextCN\":null,\"PMCID\":null,\"EPubDate\":\"\",\"PubModel\":\"\",\"JCR\":\"Q2\",\"JCRName\":\"GASTROENTEROLOGY & HEPATOLOGY\",\"Score\":null,\"Total\":0}","platform":"Semanticscholar","paperid":null,"PeriodicalName":"Journal of Gastric Cancer","FirstCategoryId":"3","ListUrlMain":"https://doi.org/10.5230/jgc.2025.25.e1","RegionNum":4,"RegionCategory":"医学","ArticlePicture":[],"TitleCN":null,"AbstractTextCN":null,"PMCID":null,"EPubDate":"","PubModel":"","JCR":"Q2","JCRName":"GASTROENTEROLOGY & HEPATOLOGY","Score":null,"Total":0}
引用次数: 0

摘要

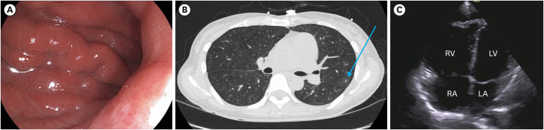
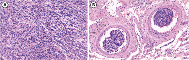
目的:肺肿瘤血栓性微血管病(PTTM)是胃癌(GC)的致命并发症。本研究旨在评估gc诱导的PTTM患者的临床特征、结局和免疫组织化学特征。材料与方法:2011 - 2023年,临床诊断为PTTM合并GC的死亡患者8例。回顾临床特征和结果,并对c-erbB-2、MutL蛋白同源物1和程序性细胞死亡配体1进行免疫组化染色。结果:患者年龄中位数为56岁(范围34-66岁)。所有患者的大体形态均表现为溃疡浸润性或弥漫性浸润性。中位肿瘤大小为5.8 cm(范围2.0 cm-15.0 cm)。低分化腺癌是最常见的组织学类型(6/ 8,75%),其次是印戒细胞癌(1/ 8,12.5%)和中分化腺癌(1/ 8,12.5%)。胸部计算机断层扫描显示磨玻璃影(7/ 8,87.5%)或树芽征(2/ 8,25.0%),没有明确的肺血栓栓塞证据。62.5%(5/8)的PTTM患者存在弥散性血管内凝血。1例患者C-erbB-2阳性(1/ 8,12.5%)。1例发生PTTM后接受姑息性化疗的患者存活了35天,而其他7例发生PTTM后未接受化疗的患者在诊断为PTTM后存活了7天或更短。结论:大多数gc诱导的PTTM患者具有未分化型组织学,浸润性形态学,生存率极低。姑息性化疗可能有利于gc诱导的PTTM患者;然而,需要进一步的研究来探索靶向治疗在这些患者中的潜力。
本文章由计算机程序翻译,如有差异,请以英文原文为准。

Pulmonary Tumor Thrombotic Microangiopathy Associated With Gastric Cancer: Clinical Characteristics and Outcomes.

Pulmonary Tumor Thrombotic Microangiopathy Associated With Gastric Cancer: Clinical Characteristics and Outcomes.

Pulmonary Tumor Thrombotic Microangiopathy Associated With Gastric Cancer: Clinical Characteristics and Outcomes.

Pulmonary Tumor Thrombotic Microangiopathy Associated With Gastric Cancer: Clinical Characteristics and Outcomes.

Purpose: Pulmonary tumor thrombotic microangiopathy (PTTM) is a fatal complication of gastric cancer (GC). This study aimed to evaluate the clinical characteristics, outcomes, and immunohistochemical profiles of patients with GC-induced PTTM.

Materials and methods: From 2011 to 2023, 8 patients were clinically diagnosed with PTTM associated with GC antemortem. Clinical features and outcomes were reviewed, and immunohistochemical staining for c-erbB-2, MutL protein homolog 1, and programmed cell death ligand-1 was performed.

Results: The median patient age was 56 years (range, 34-66 years). In all the patients, the tumors exhibited either ulceroinfiltrative or diffusely infiltrative gross morphology. The median tumor size was 5.8 cm (range, 2.0 cm-15.0 cm). Poorly differentiated adenocarcinoma was the most common histological type (6/8, 75%), followed by signet ring cell carcinoma (1/8, 12.5%) and moderately differentiated adenocarcinoma (1/8, 12.5%). Chest computed tomography revealed ground-glass opacities (7/8, 87.5%) or tree-in-bud signs (2/8, 25.0%) without definite evidence of pulmonary thromboembolism. Disseminated intravascular coagulation was present in 62.5% (5/8) of the patients diagnosed with PTTM. C-erbB-2 was positive in one patient (1/8, 12.5%). One patient who received palliative chemotherapy after developing PTTM survived for 35 days, whereas the other 7 patients who did not receive chemotherapy after developing PTTM survived for 7 days or less after PTTM diagnosis.

Conclusions: Most patients with GC-induced PTTM had an undifferentiated-type histology, infiltrative morphology, and extremely poor survival. Palliative chemotherapy may benefit patients with GC-induced PTTM; however, further studies are needed to explore the potential of targeted therapy in these patients.

求助全文
通过发布文献求助,成功后即可免费获取论文全文。 去求助
来源期刊
Journal of Gastric Cancer
Journal of Gastric Cancer Biochemistry, Genetics and Molecular Biology-Cancer Research
CiteScore
4.30
自引率
12.00%
发文量
36
期刊介绍: The Journal of Gastric Cancer (J Gastric Cancer) is an international peer-reviewed journal. Each issue carries high quality clinical and translational researches on gastric neoplasms. Editorial Board of J Gastric Cancer publishes original articles on pathophysiology, molecular oncology, diagnosis, treatment, and prevention of gastric cancer as well as articles on dietary control and improving the quality of life for gastric cancer patients. J Gastric Cancer includes case reports, review articles, how I do it articles, editorials, and letters to the editor.
×
引用
GB/T 7714-2015
复制
MLA
复制
APA
复制
导出至
BibTeX EndNote RefMan NoteFirst NoteExpress
×
提示
您的信息不完整,为了账户安全,请先补充。
现在去补充
×
提示
您因"违规操作"
具体请查看互助需知
我知道了
×
提示
确定
请完成安全验证×
copy
已复制链接
快去分享给好友吧!
我知道了
右上角分享
点击右上角分享
0
联系我们:info@booksci.cn Book学术提供免费学术资源搜索服务,方便国内外学者检索中英文文献。致力于提供最便捷和优质的服务体验。 Copyright © 2023 布克学术 All rights reserved.
京ICP备2023020795号-1
ghs 京公网安备 11010802042870号
Book学术文献互助
Book学术文献互助群
群 号:604180095
Book学术官方微信