具有马尔堡样特征的治疗抵抗性炎性脱髓鞘假瘤:一种基于叙事回顾的治疗方法。

IF 1.5 4区 医学 Q2 MEDICINE, GENERAL & INTERNAL
Journal of Research in Medical Sciences Pub Date : 2025-02-28 eCollection Date: 2025-01-01 DOI:10.4103/jrms.jrms_477_24
Mohammad Amin Najafi, Shakiba Houshi, Payam Riahi, Salar Nasr, Mohammad Reza Najafi
{"title":"具有马尔堡样特征的治疗抵抗性炎性脱髓鞘假瘤:一种基于叙事回顾的治疗方法。","authors":"Mohammad Amin Najafi, Shakiba Houshi, Payam Riahi, Salar Nasr, Mohammad Reza Najafi","doi":"10.4103/jrms.jrms_477_24","DOIUrl":null,"url":null,"abstract":"<p><p>Inflammatory demyelinating pseudotumor (IDP) mimics intracranial neoplasms in terms of both clinical presentation and imaging features. IDP with Marburg-like features represents a severe form of inflammatory demyelinating encephalomyelitis, marked by a dramatic onset, aggressive course, absence of remission, and the presence of tumor-like central nervous system demyelinating lesions. Key features of IDP in brain magnetic resonance imaging include open or incomplete ring enhancement, low T2 rim, peripheral diffusion restriction, absent or mild mass effect, and perilesional edema. In brain magnetic resonance spectroscopy (MRS), elevated glutamate, choline, and lactate peaks are observed; however, brain MRS findings can be nonspecific and nondifferentiating. Pathologic findings show prominent perivascular lymphoid infiltrates consisting predominantly of leukocyte common antigen (LCA)+ and PAX5+ B lymphocytes in immunohistochemistry staining, parenchymal and perivascular macrophages (CD68+), some with visible myelin globules on Luxol Fast Blue staining, preferential loss of myelin with relative axonal preservation and the formation of axonal spheroids (swellings), reactive astrocytosis (GFAP+ and ATRX-), and remyelination with thinner myelin sheaths than background axons at the periphery of the plaque. A review of previous case reports revealed that prompt aggressive immunosuppression therapy in the IDP with Marburg-like features may lead to a favorable response. Initiating treatment with a cycle of high-dose corticosteroids followed by rescue immunosuppressive therapy using cyclophosphamide, mitoxantrone, rituximab, or alemtuzumab demonstrated positive outcomes. In addition, maintenance immunosuppressive therapy with B-cell-depleting agents, such as rituximab and ocrelizumab, showed potential for controlling disease activity and improving long-term prognosis.</p>","PeriodicalId":50062,"journal":{"name":"Journal of Research in Medical Sciences","volume":"30 ","pages":"9"},"PeriodicalIF":1.5000,"publicationDate":"2025-02-28","publicationTypes":"Journal Article","fieldsOfStudy":null,"isOpenAccess":false,"openAccessPdf":"https://www.ncbi.nlm.nih.gov/pmc/articles/PMC11974599/pdf/","citationCount":"0","resultStr":"{\"title\":\"Treatment-resistant inflammatory demyelinating pseudotumor with Marburg-like features: A narrative review-based treatment approach.\",\"authors\":\"Mohammad Amin Najafi, Shakiba Houshi, Payam Riahi, Salar Nasr, Mohammad Reza Najafi\",\"doi\":\"10.4103/jrms.jrms_477_24\",\"DOIUrl\":null,\"url\":null,\"abstract\":\"<p><p>Inflammatory demyelinating pseudotumor (IDP) mimics intracranial neoplasms in terms of both clinical presentation and imaging features. IDP with Marburg-like features represents a severe form of inflammatory demyelinating encephalomyelitis, marked by a dramatic onset, aggressive course, absence of remission, and the presence of tumor-like central nervous system demyelinating lesions. Key features of IDP in brain magnetic resonance imaging include open or incomplete ring enhancement, low T2 rim, peripheral diffusion restriction, absent or mild mass effect, and perilesional edema. In brain magnetic resonance spectroscopy (MRS), elevated glutamate, choline, and lactate peaks are observed; however, brain MRS findings can be nonspecific and nondifferentiating. Pathologic findings show prominent perivascular lymphoid infiltrates consisting predominantly of leukocyte common antigen (LCA)+ and PAX5+ B lymphocytes in immunohistochemistry staining, parenchymal and perivascular macrophages (CD68+), some with visible myelin globules on Luxol Fast Blue staining, preferential loss of myelin with relative axonal preservation and the formation of axonal spheroids (swellings), reactive astrocytosis (GFAP+ and ATRX-), and remyelination with thinner myelin sheaths than background axons at the periphery of the plaque. A review of previous case reports revealed that prompt aggressive immunosuppression therapy in the IDP with Marburg-like features may lead to a favorable response. Initiating treatment with a cycle of high-dose corticosteroids followed by rescue immunosuppressive therapy using cyclophosphamide, mitoxantrone, rituximab, or alemtuzumab demonstrated positive outcomes. In addition, maintenance immunosuppressive therapy with B-cell-depleting agents, such as rituximab and ocrelizumab, showed potential for controlling disease activity and improving long-term prognosis.</p>\",\"PeriodicalId\":50062,\"journal\":{\"name\":\"Journal of Research in Medical Sciences\",\"volume\":\"30 \",\"pages\":\"9\"},\"PeriodicalIF\":1.5000,\"publicationDate\":\"2025-02-28\",\"publicationTypes\":\"Journal Article\",\"fieldsOfStudy\":null,\"isOpenAccess\":false,\"openAccessPdf\":\"https://www.ncbi.nlm.nih.gov/pmc/articles/PMC11974599/pdf/\",\"citationCount\":\"0\",\"resultStr\":null,\"platform\":\"Semanticscholar\",\"paperid\":null,\"PeriodicalName\":\"Journal of Research in Medical Sciences\",\"FirstCategoryId\":\"3\",\"ListUrlMain\":\"https://doi.org/10.4103/jrms.jrms_477_24\",\"RegionNum\":4,\"RegionCategory\":\"医学\",\"ArticlePicture\":[],\"TitleCN\":null,\"AbstractTextCN\":null,\"PMCID\":null,\"EPubDate\":\"2025/1/1 0:00:00\",\"PubModel\":\"eCollection\",\"JCR\":\"Q2\",\"JCRName\":\"MEDICINE, GENERAL & INTERNAL\",\"Score\":null,\"Total\":0}","platform":"Semanticscholar","paperid":null,"PeriodicalName":"Journal of Research in Medical Sciences","FirstCategoryId":"3","ListUrlMain":"https://doi.org/10.4103/jrms.jrms_477_24","RegionNum":4,"RegionCategory":"医学","ArticlePicture":[],"TitleCN":null,"AbstractTextCN":null,"PMCID":null,"EPubDate":"2025/1/1 0:00:00","PubModel":"eCollection","JCR":"Q2","JCRName":"MEDICINE, GENERAL & INTERNAL","Score":null,"Total":0}
引用次数: 0

摘要

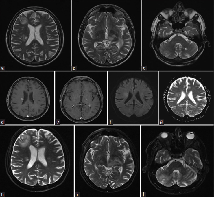
炎性脱髓鞘假瘤(IDP)在临床表现和影像学特征方面与颅内肿瘤相似。具有马尔堡样特征的IDP是一种严重形式的炎症性脱髓鞘性脑脊髓炎,其特点是起病剧烈,病程积极,无缓解,存在肿瘤样中枢神经系统脱髓鞘病变。脑磁共振成像IDP的主要特征包括开放或不完整的环形增强,低T2边缘,外周扩散受限,没有或轻微的肿块效应,以及病灶周围水肿。在脑磁共振波谱(MRS)中,观察到谷氨酸、胆碱和乳酸盐峰升高;然而,脑MRS的发现可能是非特异性和非鉴别的。病理结果显示明显的血管周围淋巴浸润,主要由白细胞共同抗原(LCA)+和PAX5+ B淋巴细胞组成(免疫组化染色),实质和血管周围巨噬细胞(CD68+), Luxol Fast Blue染色可见髓磷脂球,髓磷脂优先丢失,相对轴突保存,轴突球状体形成(肿胀),反应性星形细胞增生(GFAP+和ATRX-)。斑块周围的髓鞘比背景轴突薄。对以往病例报告的回顾显示,对具有马尔堡样特征的IDP进行及时积极的免疫抑制治疗可能会产生良好的反应。以高剂量皮质类固醇开始治疗周期,随后使用环磷酰胺、米托蒽酮、利妥昔单抗或阿仑单抗进行救援性免疫抑制治疗,显示出积极的结果。此外,使用b细胞消耗药物(如rituximab和ocrelizumab)进行维持性免疫抑制治疗,显示出控制疾病活动和改善长期预后的潜力。
本文章由计算机程序翻译,如有差异,请以英文原文为准。

Treatment-resistant inflammatory demyelinating pseudotumor with Marburg-like features: A narrative review-based treatment approach.

Treatment-resistant inflammatory demyelinating pseudotumor with Marburg-like features: A narrative review-based treatment approach.

Treatment-resistant inflammatory demyelinating pseudotumor with Marburg-like features: A narrative review-based treatment approach.

Treatment-resistant inflammatory demyelinating pseudotumor with Marburg-like features: A narrative review-based treatment approach.

Inflammatory demyelinating pseudotumor (IDP) mimics intracranial neoplasms in terms of both clinical presentation and imaging features. IDP with Marburg-like features represents a severe form of inflammatory demyelinating encephalomyelitis, marked by a dramatic onset, aggressive course, absence of remission, and the presence of tumor-like central nervous system demyelinating lesions. Key features of IDP in brain magnetic resonance imaging include open or incomplete ring enhancement, low T2 rim, peripheral diffusion restriction, absent or mild mass effect, and perilesional edema. In brain magnetic resonance spectroscopy (MRS), elevated glutamate, choline, and lactate peaks are observed; however, brain MRS findings can be nonspecific and nondifferentiating. Pathologic findings show prominent perivascular lymphoid infiltrates consisting predominantly of leukocyte common antigen (LCA)+ and PAX5+ B lymphocytes in immunohistochemistry staining, parenchymal and perivascular macrophages (CD68+), some with visible myelin globules on Luxol Fast Blue staining, preferential loss of myelin with relative axonal preservation and the formation of axonal spheroids (swellings), reactive astrocytosis (GFAP+ and ATRX-), and remyelination with thinner myelin sheaths than background axons at the periphery of the plaque. A review of previous case reports revealed that prompt aggressive immunosuppression therapy in the IDP with Marburg-like features may lead to a favorable response. Initiating treatment with a cycle of high-dose corticosteroids followed by rescue immunosuppressive therapy using cyclophosphamide, mitoxantrone, rituximab, or alemtuzumab demonstrated positive outcomes. In addition, maintenance immunosuppressive therapy with B-cell-depleting agents, such as rituximab and ocrelizumab, showed potential for controlling disease activity and improving long-term prognosis.

求助全文
通过发布文献求助,成功后即可免费获取论文全文。 去求助
来源期刊
Journal of Research in Medical Sciences
Journal of Research in Medical Sciences MEDICINE, GENERAL & INTERNAL-
CiteScore
2.60
自引率
6.20%
发文量
75
审稿时长
3-6 weeks
期刊介绍: Journal of Research in Medical Sciences, a publication of Isfahan University of Medical Sciences, is a peer-reviewed online continuous journal with print on demand compilation of issues published. The journal’s full text is available online at http://www.jmsjournal.net. The journal allows free access (Open Access) to its contents and permits authors to self-archive final accepted version of the articles on any OAI-compliant institutional / subject-based repository.
×
引用
GB/T 7714-2015
复制
MLA
复制
APA
复制
导出至
BibTeX EndNote RefMan NoteFirst NoteExpress
×
提示
您的信息不完整,为了账户安全,请先补充。
现在去补充
×
提示
您因"违规操作"
具体请查看互助需知
我知道了
×
提示
确定
请完成安全验证×
copy
已复制链接
快去分享给好友吧!
我知道了
右上角分享
点击右上角分享
0
联系我们:info@booksci.cn Book学术提供免费学术资源搜索服务,方便国内外学者检索中英文文献。致力于提供最便捷和优质的服务体验。 Copyright © 2023 布克学术 All rights reserved.
京ICP备2023020795号-1
ghs 京公网安备 11010802042870号
Book学术文献互助
Book学术文献互助群
群 号:604180095
Book学术官方微信