中心静脉血栓形成作为一种罕见的登革热感染后并发症:1例报告。

IF 0.9 Q4 CLINICAL NEUROLOGY
Case Reports in Neurological Medicine Pub Date : 2025-04-01 eCollection Date: 2025-01-01 DOI:10.1155/crnm/5368634
Linda Angela Mbah, Parvinder Kaur, Dakshin Meenashi Sundaram, Shubh Mehta, Zenia Elavia, Seyi Olaniyi, Jubran Al Balushi, Jeffrin John Varghese, Archit Kumar Nigam, Mansi Singh
{"title":"中心静脉血栓形成作为一种罕见的登革热感染后并发症:1例报告。","authors":"Linda Angela Mbah, Parvinder Kaur, Dakshin Meenashi Sundaram, Shubh Mehta, Zenia Elavia, Seyi Olaniyi, Jubran Al Balushi, Jeffrin John Varghese, Archit Kumar Nigam, Mansi Singh","doi":"10.1155/crnm/5368634","DOIUrl":null,"url":null,"abstract":"<p><p>Dengue fever, caused by a flavivirus transmitted through Aedes mosquitoes, presents a spectrum of clinical manifestations ranging from mild to severe. Several neurological complications, including encephalopathy and encephalitis, have been increasingly recognized. Here, we report a case of central venous thrombosis (CVT) as a postinfectious complication of dengue fever. A 38-year-old previously healthy male presented with classic dengue symptoms and later developed persistent headaches and visual disturbances. Neurological examination revealed papilledema, and imaging confirmed CVT involving the superior straight sinus. Prompt initiation of anticoagulant therapy led to gradual improvement in neurological symptoms and partial recanalization of the thrombosed sinus. Our case underscores the importance of considering thrombotic complications in dengue infections, despite the predominance of hemorrhagic manifestations. Understanding pathophysiology and appropriate management of thrombotic events in dengue fever is crucial for favorable patient outcomes.</p>","PeriodicalId":9615,"journal":{"name":"Case Reports in Neurological Medicine","volume":"2025 ","pages":"5368634"},"PeriodicalIF":0.9000,"publicationDate":"2025-04-01","publicationTypes":"Journal Article","fieldsOfStudy":null,"isOpenAccess":false,"openAccessPdf":"https://www.ncbi.nlm.nih.gov/pmc/articles/PMC11978471/pdf/","citationCount":"0","resultStr":"{\"title\":\"Exploring Central Venous Thrombosis as a Rare Postinfectious Complication of Dengue: A Case Report.\",\"authors\":\"Linda Angela Mbah, Parvinder Kaur, Dakshin Meenashi Sundaram, Shubh Mehta, Zenia Elavia, Seyi Olaniyi, Jubran Al Balushi, Jeffrin John Varghese, Archit Kumar Nigam, Mansi Singh\",\"doi\":\"10.1155/crnm/5368634\",\"DOIUrl\":null,\"url\":null,\"abstract\":\"<p><p>Dengue fever, caused by a flavivirus transmitted through Aedes mosquitoes, presents a spectrum of clinical manifestations ranging from mild to severe. Several neurological complications, including encephalopathy and encephalitis, have been increasingly recognized. Here, we report a case of central venous thrombosis (CVT) as a postinfectious complication of dengue fever. A 38-year-old previously healthy male presented with classic dengue symptoms and later developed persistent headaches and visual disturbances. Neurological examination revealed papilledema, and imaging confirmed CVT involving the superior straight sinus. Prompt initiation of anticoagulant therapy led to gradual improvement in neurological symptoms and partial recanalization of the thrombosed sinus. Our case underscores the importance of considering thrombotic complications in dengue infections, despite the predominance of hemorrhagic manifestations. Understanding pathophysiology and appropriate management of thrombotic events in dengue fever is crucial for favorable patient outcomes.</p>\",\"PeriodicalId\":9615,\"journal\":{\"name\":\"Case Reports in Neurological Medicine\",\"volume\":\"2025 \",\"pages\":\"5368634\"},\"PeriodicalIF\":0.9000,\"publicationDate\":\"2025-04-01\",\"publicationTypes\":\"Journal Article\",\"fieldsOfStudy\":null,\"isOpenAccess\":false,\"openAccessPdf\":\"https://www.ncbi.nlm.nih.gov/pmc/articles/PMC11978471/pdf/\",\"citationCount\":\"0\",\"resultStr\":null,\"platform\":\"Semanticscholar\",\"paperid\":null,\"PeriodicalName\":\"Case Reports in Neurological Medicine\",\"FirstCategoryId\":\"1085\",\"ListUrlMain\":\"https://doi.org/10.1155/crnm/5368634\",\"RegionNum\":0,\"RegionCategory\":null,\"ArticlePicture\":[],\"TitleCN\":null,\"AbstractTextCN\":null,\"PMCID\":null,\"EPubDate\":\"2025/1/1 0:00:00\",\"PubModel\":\"eCollection\",\"JCR\":\"Q4\",\"JCRName\":\"CLINICAL NEUROLOGY\",\"Score\":null,\"Total\":0}","platform":"Semanticscholar","paperid":null,"PeriodicalName":"Case Reports in Neurological Medicine","FirstCategoryId":"1085","ListUrlMain":"https://doi.org/10.1155/crnm/5368634","RegionNum":0,"RegionCategory":null,"ArticlePicture":[],"TitleCN":null,"AbstractTextCN":null,"PMCID":null,"EPubDate":"2025/1/1 0:00:00","PubModel":"eCollection","JCR":"Q4","JCRName":"CLINICAL NEUROLOGY","Score":null,"Total":0}
引用次数: 0

摘要

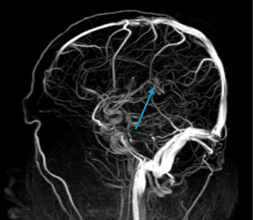
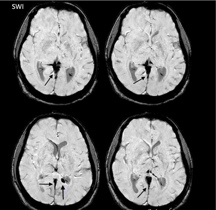
登革热由一种通过伊蚊传播的黄病毒引起,临床表现从轻微到严重不等。一些神经系统并发症,包括脑病和脑炎,已经被越来越多地认识到。在此,我们报告一例中心静脉血栓形成(CVT)作为登革热的感染后并发症。一名先前健康的38岁男性出现典型登革热症状,后来出现持续性头痛和视力障碍。神经学检查显示乳头水肿,影像学证实CVT累及上直窦。迅速开始抗凝治疗导致神经症状逐渐改善和血栓窦部分再通。我们的病例强调了在登革热感染中考虑血栓并发症的重要性,尽管出血表现占主导地位。了解登革热的病理生理学和适当的血栓事件管理对患者的良好预后至关重要。
本文章由计算机程序翻译,如有差异,请以英文原文为准。

Exploring Central Venous Thrombosis as a Rare Postinfectious Complication of Dengue: A Case Report.

Exploring Central Venous Thrombosis as a Rare Postinfectious Complication of Dengue: A Case Report.

Exploring Central Venous Thrombosis as a Rare Postinfectious Complication of Dengue: A Case Report.

Dengue fever, caused by a flavivirus transmitted through Aedes mosquitoes, presents a spectrum of clinical manifestations ranging from mild to severe. Several neurological complications, including encephalopathy and encephalitis, have been increasingly recognized. Here, we report a case of central venous thrombosis (CVT) as a postinfectious complication of dengue fever. A 38-year-old previously healthy male presented with classic dengue symptoms and later developed persistent headaches and visual disturbances. Neurological examination revealed papilledema, and imaging confirmed CVT involving the superior straight sinus. Prompt initiation of anticoagulant therapy led to gradual improvement in neurological symptoms and partial recanalization of the thrombosed sinus. Our case underscores the importance of considering thrombotic complications in dengue infections, despite the predominance of hemorrhagic manifestations. Understanding pathophysiology and appropriate management of thrombotic events in dengue fever is crucial for favorable patient outcomes.

求助全文
通过发布文献求助,成功后即可免费获取论文全文。 去求助
来源期刊
自引率
0.00%
发文量
26
审稿时长
11 weeks
×
引用
GB/T 7714-2015
复制
MLA
复制
APA
复制
导出至
BibTeX EndNote RefMan NoteFirst NoteExpress
×
提示
您的信息不完整,为了账户安全,请先补充。
现在去补充
×
提示
您因"违规操作"
具体请查看互助需知
我知道了
×
提示
确定
请完成安全验证×
copy
已复制链接
快去分享给好友吧!
我知道了
右上角分享
点击右上角分享
0
联系我们:info@booksci.cn Book学术提供免费学术资源搜索服务,方便国内外学者检索中英文文献。致力于提供最便捷和优质的服务体验。 Copyright © 2023 布克学术 All rights reserved.
京ICP备2023020795号-1
ghs 京公网安备 11010802042870号
Book学术文献互助
Book学术文献互助群
群 号:604180095
Book学术官方微信