Atezolizumab治疗虚弱的老年晚期大细胞神经内分泌癌患者的持续缓解

IF 0.6 Q4 ONCOLOGY
Case Reports in Oncological Medicine Pub Date : 2025-03-31 eCollection Date: 2025-01-01 DOI:10.1155/crom/2406678
Mayank Kapoor, Praneet Bedi, Deepak Sundriyal, Ashita Jain, Ujjawal Shriwastav, Amit Sehrawat
{"title":"Atezolizumab治疗虚弱的老年晚期大细胞神经内分泌癌患者的持续缓解","authors":"Mayank Kapoor, Praneet Bedi, Deepak Sundriyal, Ashita Jain, Ujjawal Shriwastav, Amit Sehrawat","doi":"10.1155/crom/2406678","DOIUrl":null,"url":null,"abstract":"<p><p>Large cell neuroendocrine carcinoma (LCNEC) is a rare, aggressive cancer primarily found in the lungs but can also occur in other organs. It is characterized by rapid progression and high metastatic potential. We present a case of advanced-stage LCNEC lung in a patient with a poor performance status (PS), requiring oxygen support. Imaging revealed a large right upper lobe mass, lymphadenopathy, with bronchial encasement and invasion into the superior vena cava, leading to SVC syndrome and pleural effusion. Biopsy and immunohistochemistry confirmed LCNEC. Due to the patient's poor PS, treatment began with low-dose single-agent chemotherapy (carboplatin), followed by etoposide and cisplatin after improvement. Local radiation was also administered, and the treatment plan was adjusted to include atezolizumab. After 10 cycles, the patient achieved complete remission, sustained for 6 years. This case highlights the complexities of managing advanced LCNEC in a geriatric patient and the effectiveness of a multidisciplinary approach and immunotherapy.</p>","PeriodicalId":9636,"journal":{"name":"Case Reports in Oncological Medicine","volume":"2025 ","pages":"2406678"},"PeriodicalIF":0.6000,"publicationDate":"2025-03-31","publicationTypes":"Journal Article","fieldsOfStudy":null,"isOpenAccess":false,"openAccessPdf":"https://www.ncbi.nlm.nih.gov/pmc/articles/PMC11976032/pdf/","citationCount":"0","resultStr":"{\"title\":\"Sustained Remission With Atezolizumab in a Frail, Geriatric Patient With Advanced-Stage Large Cell Neuroendocrine Carcinoma Lung.\",\"authors\":\"Mayank Kapoor, Praneet Bedi, Deepak Sundriyal, Ashita Jain, Ujjawal Shriwastav, Amit Sehrawat\",\"doi\":\"10.1155/crom/2406678\",\"DOIUrl\":null,\"url\":null,\"abstract\":\"<p><p>Large cell neuroendocrine carcinoma (LCNEC) is a rare, aggressive cancer primarily found in the lungs but can also occur in other organs. It is characterized by rapid progression and high metastatic potential. We present a case of advanced-stage LCNEC lung in a patient with a poor performance status (PS), requiring oxygen support. Imaging revealed a large right upper lobe mass, lymphadenopathy, with bronchial encasement and invasion into the superior vena cava, leading to SVC syndrome and pleural effusion. Biopsy and immunohistochemistry confirmed LCNEC. Due to the patient's poor PS, treatment began with low-dose single-agent chemotherapy (carboplatin), followed by etoposide and cisplatin after improvement. Local radiation was also administered, and the treatment plan was adjusted to include atezolizumab. After 10 cycles, the patient achieved complete remission, sustained for 6 years. This case highlights the complexities of managing advanced LCNEC in a geriatric patient and the effectiveness of a multidisciplinary approach and immunotherapy.</p>\",\"PeriodicalId\":9636,\"journal\":{\"name\":\"Case Reports in Oncological Medicine\",\"volume\":\"2025 \",\"pages\":\"2406678\"},\"PeriodicalIF\":0.6000,\"publicationDate\":\"2025-03-31\",\"publicationTypes\":\"Journal Article\",\"fieldsOfStudy\":null,\"isOpenAccess\":false,\"openAccessPdf\":\"https://www.ncbi.nlm.nih.gov/pmc/articles/PMC11976032/pdf/\",\"citationCount\":\"0\",\"resultStr\":null,\"platform\":\"Semanticscholar\",\"paperid\":null,\"PeriodicalName\":\"Case Reports in Oncological Medicine\",\"FirstCategoryId\":\"1085\",\"ListUrlMain\":\"https://doi.org/10.1155/crom/2406678\",\"RegionNum\":0,\"RegionCategory\":null,\"ArticlePicture\":[],\"TitleCN\":null,\"AbstractTextCN\":null,\"PMCID\":null,\"EPubDate\":\"2025/1/1 0:00:00\",\"PubModel\":\"eCollection\",\"JCR\":\"Q4\",\"JCRName\":\"ONCOLOGY\",\"Score\":null,\"Total\":0}","platform":"Semanticscholar","paperid":null,"PeriodicalName":"Case Reports in Oncological Medicine","FirstCategoryId":"1085","ListUrlMain":"https://doi.org/10.1155/crom/2406678","RegionNum":0,"RegionCategory":null,"ArticlePicture":[],"TitleCN":null,"AbstractTextCN":null,"PMCID":null,"EPubDate":"2025/1/1 0:00:00","PubModel":"eCollection","JCR":"Q4","JCRName":"ONCOLOGY","Score":null,"Total":0}
引用次数: 0

摘要

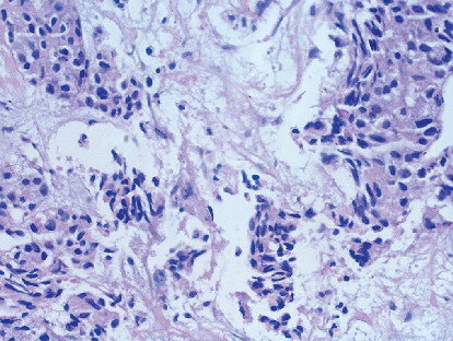
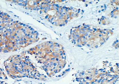
大细胞神经内分泌癌(LCNEC)是一种罕见的侵袭性癌症,主要发生在肺部,但也可以发生在其他器官。它的特点是进展迅速和高转移潜力。我们提出一例晚期LCNEC肺患者表现不佳(PS),需要氧气支持。影像学显示右上叶大肿块,淋巴结病变,伴支气管包膜及侵犯上腔静脉,导致SVC综合征及胸腔积液。活检和免疫组化证实LCNEC。由于患者PS较差,以低剂量单药化疗(卡铂)开始治疗,改善后给予依托泊苷和顺铂治疗。同时给予局部放疗,并调整治疗计划纳入atezolizumab。10个周期后,患者完全缓解,持续6年。该病例强调了老年患者晚期LCNEC管理的复杂性以及多学科方法和免疫治疗的有效性。
本文章由计算机程序翻译,如有差异,请以英文原文为准。

Sustained Remission With Atezolizumab in a Frail, Geriatric Patient With Advanced-Stage Large Cell Neuroendocrine Carcinoma Lung.

Sustained Remission With Atezolizumab in a Frail, Geriatric Patient With Advanced-Stage Large Cell Neuroendocrine Carcinoma Lung.

Sustained Remission With Atezolizumab in a Frail, Geriatric Patient With Advanced-Stage Large Cell Neuroendocrine Carcinoma Lung.

Sustained Remission With Atezolizumab in a Frail, Geriatric Patient With Advanced-Stage Large Cell Neuroendocrine Carcinoma Lung.

Large cell neuroendocrine carcinoma (LCNEC) is a rare, aggressive cancer primarily found in the lungs but can also occur in other organs. It is characterized by rapid progression and high metastatic potential. We present a case of advanced-stage LCNEC lung in a patient with a poor performance status (PS), requiring oxygen support. Imaging revealed a large right upper lobe mass, lymphadenopathy, with bronchial encasement and invasion into the superior vena cava, leading to SVC syndrome and pleural effusion. Biopsy and immunohistochemistry confirmed LCNEC. Due to the patient's poor PS, treatment began with low-dose single-agent chemotherapy (carboplatin), followed by etoposide and cisplatin after improvement. Local radiation was also administered, and the treatment plan was adjusted to include atezolizumab. After 10 cycles, the patient achieved complete remission, sustained for 6 years. This case highlights the complexities of managing advanced LCNEC in a geriatric patient and the effectiveness of a multidisciplinary approach and immunotherapy.

求助全文
通过发布文献求助,成功后即可免费获取论文全文。 去求助
来源期刊
自引率
0.00%
发文量
11
审稿时长
16 weeks
期刊介绍: Case Reports in Oncological Medicine is a peer-reviewed, Open Access journal that publishes case reports and case series related to breast cancer, lung cancer, gastrointestinal cancer, skin cancer, head and neck cancer, paediatric oncology, neurooncology as well as genitourinary cancer.
×
引用
GB/T 7714-2015
复制
MLA
复制
APA
复制
导出至
BibTeX EndNote RefMan NoteFirst NoteExpress
×
提示
您的信息不完整,为了账户安全,请先补充。
现在去补充
×
提示
您因"违规操作"
具体请查看互助需知
我知道了
×
提示
确定
请完成安全验证×
copy
已复制链接
快去分享给好友吧!
我知道了
右上角分享
点击右上角分享
0
联系我们:info@booksci.cn Book学术提供免费学术资源搜索服务,方便国内外学者检索中英文文献。致力于提供最便捷和优质的服务体验。 Copyright © 2023 布克学术 All rights reserved.
京ICP备2023020795号-1
ghs 京公网安备 11010802042870号
Book学术文献互助
Book学术文献互助群
群 号:604180095
Book学术官方微信