胶质瘤的扩散成像:ADC值如何预测胶质瘤遗传学。

Polish journal of radiology Pub Date : 2025-02-20 eCollection Date: 2025-01-01 DOI:10.5114/pjr/200967
Paulina Śledzińska-Bebyn, Jacek Furtak, Marek Bebyn, Alicja Bartoszewska-Kubiak, Zbigniew Serafin
{"title":"胶质瘤的扩散成像:ADC值如何预测胶质瘤遗传学。","authors":"Paulina Śledzińska-Bebyn, Jacek Furtak, Marek Bebyn, Alicja Bartoszewska-Kubiak, Zbigniew Serafin","doi":"10.5114/pjr/200967","DOIUrl":null,"url":null,"abstract":"<p><strong>Purpose: </strong>This study investigates the relationship between diffusion-weighted imaging (DWI) and mean apparent diffusion coefficient (ADC) values in predicting the genetic and molecular features of gliomas. The goal is to enhance non-invasive diagnostic methods and support personalised treatment strategies by clarifying the association between imaging biomarkers and tumour genotypes.</p><p><strong>Material and methods: </strong>A total of 91 glioma patients treated between August 2023 and March 2024 were included in the analysis. All patients underwent preoperative magnetic resonance imaging (MRI), including DWI, and had available histopathological and genetic test results. Clinical data, tumour characteristics, and genetic markers such as <i>IDH1</i> mutation, <i>MGMT</i> promoter methylation, <i>EGFR</i> amplification, <i>TERT</i> pathogenic variant, and <i>CDKN2A</i> deletion were collected. Statistical analysis was performed to identify correlations between ADC values, MRI perfusion parameters, and genetic characteristics.</p><p><strong>Results: </strong>Significant associations were found between lower ADC values and aggressive tumour features, including <i>IDH1</i>-wildtype, <i>MGMT</i> unmethylated status, <i>TERT</i> pathogenic variant, and <i>EGFR</i> amplification. Additionally, distinct ADC patterns were observed in gliomas with <i>CDKN2A</i>, <i>TP53</i>, and <i>PTEN</i> gene deletions. These findings were further supported by contrast enhancement and other MRI parameters, indicating their role in tumour characterisation.</p><p><strong>Conclusions: </strong>DWI and ADC measurements demonstrate strong potential as non-invasive tools for predicting glioma genetics. These imaging biomarkers can aid in tumour characterisation and provide valuable insights for guiding personalised treatment strategies.</p>","PeriodicalId":94174,"journal":{"name":"Polish journal of radiology","volume":"90 ","pages":"e103-e113"},"PeriodicalIF":0.0000,"publicationDate":"2025-02-20","publicationTypes":"Journal Article","fieldsOfStudy":null,"isOpenAccess":false,"openAccessPdf":"https://www.ncbi.nlm.nih.gov/pmc/articles/PMC11973703/pdf/","citationCount":"0","resultStr":"{\"title\":\"Diffusion imaging in gliomas: how ADC values forecast glioma genetics.\",\"authors\":\"Paulina Śledzińska-Bebyn, Jacek Furtak, Marek Bebyn, Alicja Bartoszewska-Kubiak, Zbigniew Serafin\",\"doi\":\"10.5114/pjr/200967\",\"DOIUrl\":null,\"url\":null,\"abstract\":\"<p><strong>Purpose: </strong>This study investigates the relationship between diffusion-weighted imaging (DWI) and mean apparent diffusion coefficient (ADC) values in predicting the genetic and molecular features of gliomas. The goal is to enhance non-invasive diagnostic methods and support personalised treatment strategies by clarifying the association between imaging biomarkers and tumour genotypes.</p><p><strong>Material and methods: </strong>A total of 91 glioma patients treated between August 2023 and March 2024 were included in the analysis. All patients underwent preoperative magnetic resonance imaging (MRI), including DWI, and had available histopathological and genetic test results. Clinical data, tumour characteristics, and genetic markers such as <i>IDH1</i> mutation, <i>MGMT</i> promoter methylation, <i>EGFR</i> amplification, <i>TERT</i> pathogenic variant, and <i>CDKN2A</i> deletion were collected. Statistical analysis was performed to identify correlations between ADC values, MRI perfusion parameters, and genetic characteristics.</p><p><strong>Results: </strong>Significant associations were found between lower ADC values and aggressive tumour features, including <i>IDH1</i>-wildtype, <i>MGMT</i> unmethylated status, <i>TERT</i> pathogenic variant, and <i>EGFR</i> amplification. Additionally, distinct ADC patterns were observed in gliomas with <i>CDKN2A</i>, <i>TP53</i>, and <i>PTEN</i> gene deletions. These findings were further supported by contrast enhancement and other MRI parameters, indicating their role in tumour characterisation.</p><p><strong>Conclusions: </strong>DWI and ADC measurements demonstrate strong potential as non-invasive tools for predicting glioma genetics. These imaging biomarkers can aid in tumour characterisation and provide valuable insights for guiding personalised treatment strategies.</p>\",\"PeriodicalId\":94174,\"journal\":{\"name\":\"Polish journal of radiology\",\"volume\":\"90 \",\"pages\":\"e103-e113\"},\"PeriodicalIF\":0.0000,\"publicationDate\":\"2025-02-20\",\"publicationTypes\":\"Journal Article\",\"fieldsOfStudy\":null,\"isOpenAccess\":false,\"openAccessPdf\":\"https://www.ncbi.nlm.nih.gov/pmc/articles/PMC11973703/pdf/\",\"citationCount\":\"0\",\"resultStr\":null,\"platform\":\"Semanticscholar\",\"paperid\":null,\"PeriodicalName\":\"Polish journal of radiology\",\"FirstCategoryId\":\"1085\",\"ListUrlMain\":\"https://doi.org/10.5114/pjr/200967\",\"RegionNum\":0,\"RegionCategory\":null,\"ArticlePicture\":[],\"TitleCN\":null,\"AbstractTextCN\":null,\"PMCID\":null,\"EPubDate\":\"2025/1/1 0:00:00\",\"PubModel\":\"eCollection\",\"JCR\":\"\",\"JCRName\":\"\",\"Score\":null,\"Total\":0}","platform":"Semanticscholar","paperid":null,"PeriodicalName":"Polish journal of radiology","FirstCategoryId":"1085","ListUrlMain":"https://doi.org/10.5114/pjr/200967","RegionNum":0,"RegionCategory":null,"ArticlePicture":[],"TitleCN":null,"AbstractTextCN":null,"PMCID":null,"EPubDate":"2025/1/1 0:00:00","PubModel":"eCollection","JCR":"","JCRName":"","Score":null,"Total":0}
引用次数: 0

摘要

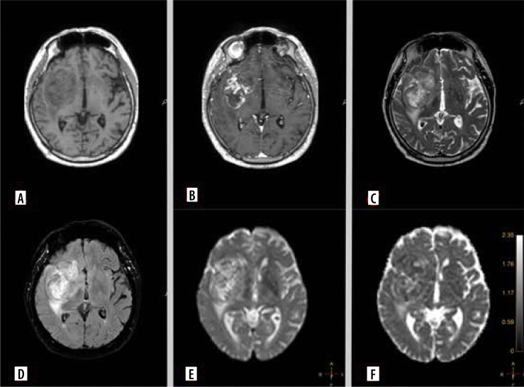
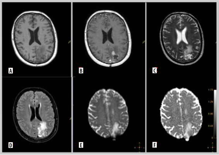
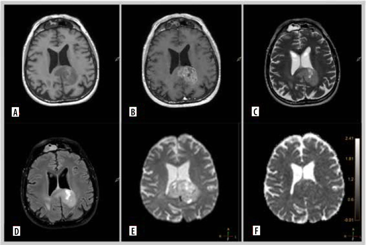
目的:探讨扩散加权成像(DWI)与平均表观扩散系数(ADC)在预测胶质瘤遗传和分子特征中的关系。目标是通过澄清成像生物标志物和肿瘤基因型之间的关联,增强非侵入性诊断方法,支持个性化治疗策略。材料和方法:共有91例胶质瘤患者在2023年8月至2024年3月期间接受了治疗。所有患者术前均行磁共振成像(MRI),包括DWI,并有可用的组织病理学和基因检测结果。收集临床资料、肿瘤特征、IDH1突变、MGMT启动子甲基化、EGFR扩增、TERT致病变异、CDKN2A缺失等遗传标记。通过统计分析确定ADC值、MRI灌注参数和遗传特征之间的相关性。结果:低ADC值与侵袭性肿瘤特征之间存在显著关联,包括idh1野生型、MGMT未甲基化状态、TERT致病性变异和EGFR扩增。此外,在CDKN2A、TP53和PTEN基因缺失的胶质瘤中观察到不同的ADC模式。这些发现进一步得到了对比增强和其他MRI参数的支持,表明它们在肿瘤特征中的作用。结论:DWI和ADC测量显示了作为预测胶质瘤遗传学的非侵入性工具的强大潜力。这些成像生物标志物可以帮助肿瘤表征,并为指导个性化治疗策略提供有价值的见解。
本文章由计算机程序翻译,如有差异,请以英文原文为准。

Diffusion imaging in gliomas: how ADC values forecast glioma genetics.

Diffusion imaging in gliomas: how ADC values forecast glioma genetics.

Diffusion imaging in gliomas: how ADC values forecast glioma genetics.

Diffusion imaging in gliomas: how ADC values forecast glioma genetics.

Purpose: This study investigates the relationship between diffusion-weighted imaging (DWI) and mean apparent diffusion coefficient (ADC) values in predicting the genetic and molecular features of gliomas. The goal is to enhance non-invasive diagnostic methods and support personalised treatment strategies by clarifying the association between imaging biomarkers and tumour genotypes.

Material and methods: A total of 91 glioma patients treated between August 2023 and March 2024 were included in the analysis. All patients underwent preoperative magnetic resonance imaging (MRI), including DWI, and had available histopathological and genetic test results. Clinical data, tumour characteristics, and genetic markers such as IDH1 mutation, MGMT promoter methylation, EGFR amplification, TERT pathogenic variant, and CDKN2A deletion were collected. Statistical analysis was performed to identify correlations between ADC values, MRI perfusion parameters, and genetic characteristics.

Results: Significant associations were found between lower ADC values and aggressive tumour features, including IDH1-wildtype, MGMT unmethylated status, TERT pathogenic variant, and EGFR amplification. Additionally, distinct ADC patterns were observed in gliomas with CDKN2A, TP53, and PTEN gene deletions. These findings were further supported by contrast enhancement and other MRI parameters, indicating their role in tumour characterisation.

Conclusions: DWI and ADC measurements demonstrate strong potential as non-invasive tools for predicting glioma genetics. These imaging biomarkers can aid in tumour characterisation and provide valuable insights for guiding personalised treatment strategies.

求助全文
通过发布文献求助,成功后即可免费获取论文全文。 去求助
来源期刊
CiteScore
2.10
自引率
0.00%
发文量
0
×
引用
GB/T 7714-2015
复制
MLA
复制
APA
复制
导出至
BibTeX EndNote RefMan NoteFirst NoteExpress
×
提示
您的信息不完整,为了账户安全,请先补充。
现在去补充
×
提示
您因"违规操作"
具体请查看互助需知
我知道了
×
提示
确定
请完成安全验证×
copy
已复制链接
快去分享给好友吧!
我知道了
右上角分享
点击右上角分享
0
联系我们:info@booksci.cn Book学术提供免费学术资源搜索服务,方便国内外学者检索中英文文献。致力于提供最便捷和优质的服务体验。 Copyright © 2023 布克学术 All rights reserved.
京ICP备2023020795号-1
ghs 京公网安备 11010802042870号
Book学术文献互助
Book学术文献互助群
群 号:604180095
Book学术官方微信