肺部遗传变异在儿童感染后闭塞性细支气管炎发病机制中的作用。

IF 0.6 0 RESPIRATORY SYSTEM
Sedef Narin Tongal, Gülsüm Kayhan, Özge Yılmaz, Merve Öçalan, Hasan Yüksel
{"title":"肺部遗传变异在儿童感染后闭塞性细支气管炎发病机制中的作用。","authors":"Sedef Narin Tongal, Gülsüm Kayhan, Özge Yılmaz, Merve Öçalan, Hasan Yüksel","doi":"10.4274/ThoracResPract.2025.2024-11-1","DOIUrl":null,"url":null,"abstract":"<p><strong>Objective: </strong>Postinfectious bronchiolitis obliterans (PIBO) is a chronic airway disease. The severity of the damage and the subsequent obstructive and inflammatory processes varies from one individual to another. The objective was to identify genetic variations that may be associated with pulmonary diseases in patients with PIBO.</p><p><strong>Material and methods: </strong>This retrospective descriptive study was carried out to define potential genetic changes that may be associated with PIBO. Medical records were used to obtain sociodemographic characteristics. Neutrophil, lymphocyte, platelet counts, immunoglobulins and C-reactive protein values, thoracic computed tomography (CT) findings and genetic analysis results for pulmonary panel using next-generation sequencing technology were recorded.</p><p><strong>Results: </strong>Sixteen patients were enrolled. Median age at diagnosis was 27.5 months (range: 7-195 months). Wheezing was the most common presenting symptom. The most prevalent finding on thoracic CT was a mosaic pattern. In all but one, a wide range of variations genes related to both pulmonary structure and function were identified. The genes identified included those related to primary ciliary dyskinesia (DNAH genes), surfactant metabolism disorder (ABCA3, CSF2RB), pulmonary fibrosis (MUC5B, SFTP), and bronchiectasis (SCNN1B).</p><p><strong>Conclusion: </strong>Heterozygous variations associated with pulmonary diseases, including the <i>MUC5B</i> and <i>DNAH</i> genes, and CSF2RB, were identified in most patients diagnosed with PIBO, which may have clinical significance. These data are valuable in hypothesis formation that may lead to the evaluation of these three genes in the pathogenesis of PIBO in children.</p>","PeriodicalId":75221,"journal":{"name":"Thoracic research and practice","volume":" ","pages":"191-196"},"PeriodicalIF":0.6000,"publicationDate":"2025-06-26","publicationTypes":"Journal Article","fieldsOfStudy":null,"isOpenAccess":false,"openAccessPdf":"https://www.ncbi.nlm.nih.gov/pmc/articles/PMC12243424/pdf/","citationCount":"0","resultStr":"{\"title\":\"The Role of Pulmonary Genetic Variations in the Pathogenesis of Pediatric Postinfectious Bronchiolitis Obliterans.\",\"authors\":\"Sedef Narin Tongal, Gülsüm Kayhan, Özge Yılmaz, Merve Öçalan, Hasan Yüksel\",\"doi\":\"10.4274/ThoracResPract.2025.2024-11-1\",\"DOIUrl\":null,\"url\":null,\"abstract\":\"<p><strong>Objective: </strong>Postinfectious bronchiolitis obliterans (PIBO) is a chronic airway disease. The severity of the damage and the subsequent obstructive and inflammatory processes varies from one individual to another. The objective was to identify genetic variations that may be associated with pulmonary diseases in patients with PIBO.</p><p><strong>Material and methods: </strong>This retrospective descriptive study was carried out to define potential genetic changes that may be associated with PIBO. Medical records were used to obtain sociodemographic characteristics. Neutrophil, lymphocyte, platelet counts, immunoglobulins and C-reactive protein values, thoracic computed tomography (CT) findings and genetic analysis results for pulmonary panel using next-generation sequencing technology were recorded.</p><p><strong>Results: </strong>Sixteen patients were enrolled. Median age at diagnosis was 27.5 months (range: 7-195 months). Wheezing was the most common presenting symptom. The most prevalent finding on thoracic CT was a mosaic pattern. In all but one, a wide range of variations genes related to both pulmonary structure and function were identified. The genes identified included those related to primary ciliary dyskinesia (DNAH genes), surfactant metabolism disorder (ABCA3, CSF2RB), pulmonary fibrosis (MUC5B, SFTP), and bronchiectasis (SCNN1B).</p><p><strong>Conclusion: </strong>Heterozygous variations associated with pulmonary diseases, including the <i>MUC5B</i> and <i>DNAH</i> genes, and CSF2RB, were identified in most patients diagnosed with PIBO, which may have clinical significance. These data are valuable in hypothesis formation that may lead to the evaluation of these three genes in the pathogenesis of PIBO in children.</p>\",\"PeriodicalId\":75221,\"journal\":{\"name\":\"Thoracic research and practice\",\"volume\":\" \",\"pages\":\"191-196\"},\"PeriodicalIF\":0.6000,\"publicationDate\":\"2025-06-26\",\"publicationTypes\":\"Journal Article\",\"fieldsOfStudy\":null,\"isOpenAccess\":false,\"openAccessPdf\":\"https://www.ncbi.nlm.nih.gov/pmc/articles/PMC12243424/pdf/\",\"citationCount\":\"0\",\"resultStr\":null,\"platform\":\"Semanticscholar\",\"paperid\":null,\"PeriodicalName\":\"Thoracic research and practice\",\"FirstCategoryId\":\"1085\",\"ListUrlMain\":\"https://doi.org/10.4274/ThoracResPract.2025.2024-11-1\",\"RegionNum\":0,\"RegionCategory\":null,\"ArticlePicture\":[],\"TitleCN\":null,\"AbstractTextCN\":null,\"PMCID\":null,\"EPubDate\":\"2025/4/8 0:00:00\",\"PubModel\":\"Epub\",\"JCR\":\"0\",\"JCRName\":\"RESPIRATORY SYSTEM\",\"Score\":null,\"Total\":0}","platform":"Semanticscholar","paperid":null,"PeriodicalName":"Thoracic research and practice","FirstCategoryId":"1085","ListUrlMain":"https://doi.org/10.4274/ThoracResPract.2025.2024-11-1","RegionNum":0,"RegionCategory":null,"ArticlePicture":[],"TitleCN":null,"AbstractTextCN":null,"PMCID":null,"EPubDate":"2025/4/8 0:00:00","PubModel":"Epub","JCR":"0","JCRName":"RESPIRATORY SYSTEM","Score":null,"Total":0}
引用次数: 0

摘要

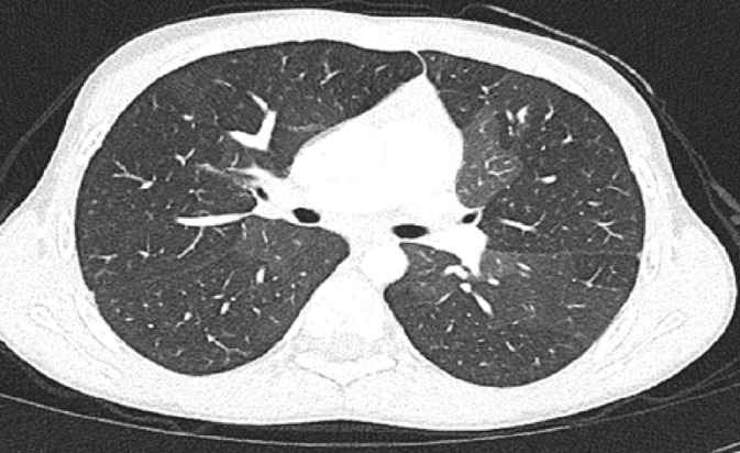
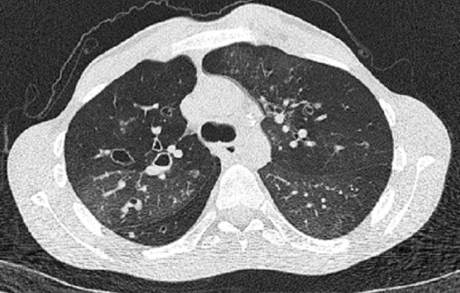
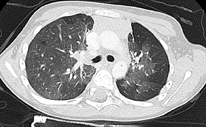
目的:传染性后闭塞性细支气管炎(PIBO)是一种慢性气道疾病。损伤的严重程度以及随后的阻塞和炎症过程因人而异。目的是确定可能与PIBO患者肺部疾病相关的遗传变异。材料和方法:本回顾性描述性研究旨在确定可能与PIBO相关的潜在遗传变化。使用医疗记录获取社会人口统计学特征。记录中性粒细胞、淋巴细胞、血小板计数、免疫球蛋白和c反应蛋白值、胸部计算机断层扫描(CT)结果和新一代测序技术对肺板的遗传分析结果。结果:16例患者入组。诊断时的中位年龄为27.5个月(范围7-195个月)。喘息是最常见的症状。胸部CT上最常见的表现是马赛克型。除一例外,在所有病例中,都发现了与肺结构和功能相关的广泛变异基因。鉴定的基因包括与原发性纤毛运动障碍(DNAH基因)、表面活性剂代谢障碍(ABCA3、CSF2RB)、肺纤维化(MUC5B、SFTP)和支气管扩张(SCNN1B)相关的基因。结论:多数PIBO患者存在MUC5B、DNAH基因、CSF2RB等与肺部疾病相关的杂合变异,可能具有临床意义。这些数据在假设形成中是有价值的,可能导致评估这三个基因在儿童PIBO发病机制中的作用。
本文章由计算机程序翻译,如有差异,请以英文原文为准。

The Role of Pulmonary Genetic Variations in the Pathogenesis of Pediatric Postinfectious Bronchiolitis Obliterans.

The Role of Pulmonary Genetic Variations in the Pathogenesis of Pediatric Postinfectious Bronchiolitis Obliterans.

The Role of Pulmonary Genetic Variations in the Pathogenesis of Pediatric Postinfectious Bronchiolitis Obliterans.

The Role of Pulmonary Genetic Variations in the Pathogenesis of Pediatric Postinfectious Bronchiolitis Obliterans.

Objective: Postinfectious bronchiolitis obliterans (PIBO) is a chronic airway disease. The severity of the damage and the subsequent obstructive and inflammatory processes varies from one individual to another. The objective was to identify genetic variations that may be associated with pulmonary diseases in patients with PIBO.

Material and methods: This retrospective descriptive study was carried out to define potential genetic changes that may be associated with PIBO. Medical records were used to obtain sociodemographic characteristics. Neutrophil, lymphocyte, platelet counts, immunoglobulins and C-reactive protein values, thoracic computed tomography (CT) findings and genetic analysis results for pulmonary panel using next-generation sequencing technology were recorded.

Results: Sixteen patients were enrolled. Median age at diagnosis was 27.5 months (range: 7-195 months). Wheezing was the most common presenting symptom. The most prevalent finding on thoracic CT was a mosaic pattern. In all but one, a wide range of variations genes related to both pulmonary structure and function were identified. The genes identified included those related to primary ciliary dyskinesia (DNAH genes), surfactant metabolism disorder (ABCA3, CSF2RB), pulmonary fibrosis (MUC5B, SFTP), and bronchiectasis (SCNN1B).

Conclusion: Heterozygous variations associated with pulmonary diseases, including the MUC5B and DNAH genes, and CSF2RB, were identified in most patients diagnosed with PIBO, which may have clinical significance. These data are valuable in hypothesis formation that may lead to the evaluation of these three genes in the pathogenesis of PIBO in children.

求助全文
通过发布文献求助,成功后即可免费获取论文全文。 去求助
来源期刊
CiteScore
1.50
自引率
0.00%
发文量
0
×
引用
GB/T 7714-2015
复制
MLA
复制
APA
复制
导出至
BibTeX EndNote RefMan NoteFirst NoteExpress
×
提示
您的信息不完整,为了账户安全,请先补充。
现在去补充
×
提示
您因"违规操作"
具体请查看互助需知
我知道了
×
提示
确定
请完成安全验证×
copy
已复制链接
快去分享给好友吧!
我知道了
右上角分享
点击右上角分享
0
联系我们:info@booksci.cn Book学术提供免费学术资源搜索服务,方便国内外学者检索中英文文献。致力于提供最便捷和优质的服务体验。 Copyright © 2023 布克学术 All rights reserved.
京ICP备2023020795号-1
ghs 京公网安备 11010802042870号
Book学术文献互助
Book学术文献互助群
群 号:604180095
Book学术官方微信