腹腔镜切除脾后硬化性血管瘤样结节转化:病例报告及文献复习。

IF 0.7 Q4 SURGERY
Surgical Case Reports Pub Date : 2025-01-01 Epub Date: 2025-04-02 DOI:10.70352/scrj.cr.24-0057
Shingo Yamasaki, Hiroto Nishino, Takayuki Anazawa, Yuki Teramoto, Takahiro Nishio, Shoichi Kageyama, Kazuyuki Nagai, Yoichiro Uchida, Hironori Haga, Etsuro Hatano
{"title":"腹腔镜切除脾后硬化性血管瘤样结节转化:病例报告及文献复习。","authors":"Shingo Yamasaki, Hiroto Nishino, Takayuki Anazawa, Yuki Teramoto, Takahiro Nishio, Shoichi Kageyama, Kazuyuki Nagai, Yoichiro Uchida, Hironori Haga, Etsuro Hatano","doi":"10.70352/scrj.cr.24-0057","DOIUrl":null,"url":null,"abstract":"<p><strong>Introduction: </strong>Most splenic tumors are benign; however, it is essential to differentiate them from malignant tumors, such as malignant lymphoma and metastatic tumors. Sclerosing angiomatoid nodular transformation (SANT) is a relatively rare benign tumor that has been reported recently. Splenectomy is performed in most cases of SANT because of the challenges associated with a definitive diagnosis. However, in some cases, SANT can be diagnosed through endoscopic ultrasound-guided fine-needle aspiration (EUS-FNA), and these cases are subsequently followed up. In this report, we present 2 cases of splenic SANT that underwent laparoscopic resection. In Case 1, atypical imaging findings required EUS-FNA for further evaluation. Case 2 exhibited typical imaging findings of SANT, and therefore, EUS-FNA was not performed.</p><p><strong>Case presentation: </strong>Case 1: A 47-year-old female was found to have a 26 mm tumor in the spleen on abdominal ultrasonography during follow-up for gallbladder polyps. Abdominal computed tomography (CT), magnetic resonance imaging (MRI), and positron emission tomography-CT were performed. EUS-FNA was performed because of the high surgical risk associated with pulmonary hypertension and because hemangioendothelioma, an intermediate malignancy, was suspected. Subsequently, laparoscopic splenectomy was performed, and SANT was diagnosed. Case 2: A 46-year-old female had an incidental detection of a tumor in the spleen on CT. SANT was suspected based on CT and MRI findings. Malignancy could not be completely ruled out owing to the gradual growth of the mass; therefore, the patient was referred to our hospital for surgery. Laparoscopic splenectomy was performed, and SANT was subsequently diagnosed.</p><p><strong>Conclusion: </strong>SANT is a benign tumor that is difficult to diagnose; however, in some cases, it can be diagnosed using EUS-FNA. We report 2 cases of SANT of the spleen that underwent laparoscopic resection. In cases where the diagnosis is confirmed through imaging or histological examination, disease management with follow-up and without surgery is a possible alternative.</p>","PeriodicalId":22096,"journal":{"name":"Surgical Case Reports","volume":"11 1","pages":""},"PeriodicalIF":0.7000,"publicationDate":"2025-01-01","publicationTypes":"Journal Article","fieldsOfStudy":null,"isOpenAccess":false,"openAccessPdf":"https://www.ncbi.nlm.nih.gov/pmc/articles/PMC11973248/pdf/","citationCount":"0","resultStr":"{\"title\":\"Sclerosing Angiomatoid Nodular Transformation of the Laparoscopically Resected Spleen: Case Reports and Review of the Literature.\",\"authors\":\"Shingo Yamasaki, Hiroto Nishino, Takayuki Anazawa, Yuki Teramoto, Takahiro Nishio, Shoichi Kageyama, Kazuyuki Nagai, Yoichiro Uchida, Hironori Haga, Etsuro Hatano\",\"doi\":\"10.70352/scrj.cr.24-0057\",\"DOIUrl\":null,\"url\":null,\"abstract\":\"<p><strong>Introduction: </strong>Most splenic tumors are benign; however, it is essential to differentiate them from malignant tumors, such as malignant lymphoma and metastatic tumors. Sclerosing angiomatoid nodular transformation (SANT) is a relatively rare benign tumor that has been reported recently. Splenectomy is performed in most cases of SANT because of the challenges associated with a definitive diagnosis. However, in some cases, SANT can be diagnosed through endoscopic ultrasound-guided fine-needle aspiration (EUS-FNA), and these cases are subsequently followed up. In this report, we present 2 cases of splenic SANT that underwent laparoscopic resection. In Case 1, atypical imaging findings required EUS-FNA for further evaluation. Case 2 exhibited typical imaging findings of SANT, and therefore, EUS-FNA was not performed.</p><p><strong>Case presentation: </strong>Case 1: A 47-year-old female was found to have a 26 mm tumor in the spleen on abdominal ultrasonography during follow-up for gallbladder polyps. Abdominal computed tomography (CT), magnetic resonance imaging (MRI), and positron emission tomography-CT were performed. EUS-FNA was performed because of the high surgical risk associated with pulmonary hypertension and because hemangioendothelioma, an intermediate malignancy, was suspected. Subsequently, laparoscopic splenectomy was performed, and SANT was diagnosed. Case 2: A 46-year-old female had an incidental detection of a tumor in the spleen on CT. SANT was suspected based on CT and MRI findings. Malignancy could not be completely ruled out owing to the gradual growth of the mass; therefore, the patient was referred to our hospital for surgery. Laparoscopic splenectomy was performed, and SANT was subsequently diagnosed.</p><p><strong>Conclusion: </strong>SANT is a benign tumor that is difficult to diagnose; however, in some cases, it can be diagnosed using EUS-FNA. We report 2 cases of SANT of the spleen that underwent laparoscopic resection. In cases where the diagnosis is confirmed through imaging or histological examination, disease management with follow-up and without surgery is a possible alternative.</p>\",\"PeriodicalId\":22096,\"journal\":{\"name\":\"Surgical Case Reports\",\"volume\":\"11 1\",\"pages\":\"\"},\"PeriodicalIF\":0.7000,\"publicationDate\":\"2025-01-01\",\"publicationTypes\":\"Journal Article\",\"fieldsOfStudy\":null,\"isOpenAccess\":false,\"openAccessPdf\":\"https://www.ncbi.nlm.nih.gov/pmc/articles/PMC11973248/pdf/\",\"citationCount\":\"0\",\"resultStr\":null,\"platform\":\"Semanticscholar\",\"paperid\":null,\"PeriodicalName\":\"Surgical Case Reports\",\"FirstCategoryId\":\"1085\",\"ListUrlMain\":\"https://doi.org/10.70352/scrj.cr.24-0057\",\"RegionNum\":0,\"RegionCategory\":null,\"ArticlePicture\":[],\"TitleCN\":null,\"AbstractTextCN\":null,\"PMCID\":null,\"EPubDate\":\"2025/4/2 0:00:00\",\"PubModel\":\"Epub\",\"JCR\":\"Q4\",\"JCRName\":\"SURGERY\",\"Score\":null,\"Total\":0}","platform":"Semanticscholar","paperid":null,"PeriodicalName":"Surgical Case Reports","FirstCategoryId":"1085","ListUrlMain":"https://doi.org/10.70352/scrj.cr.24-0057","RegionNum":0,"RegionCategory":null,"ArticlePicture":[],"TitleCN":null,"AbstractTextCN":null,"PMCID":null,"EPubDate":"2025/4/2 0:00:00","PubModel":"Epub","JCR":"Q4","JCRName":"SURGERY","Score":null,"Total":0}
引用次数: 0

摘要

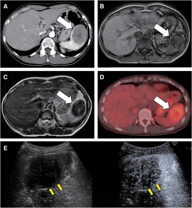
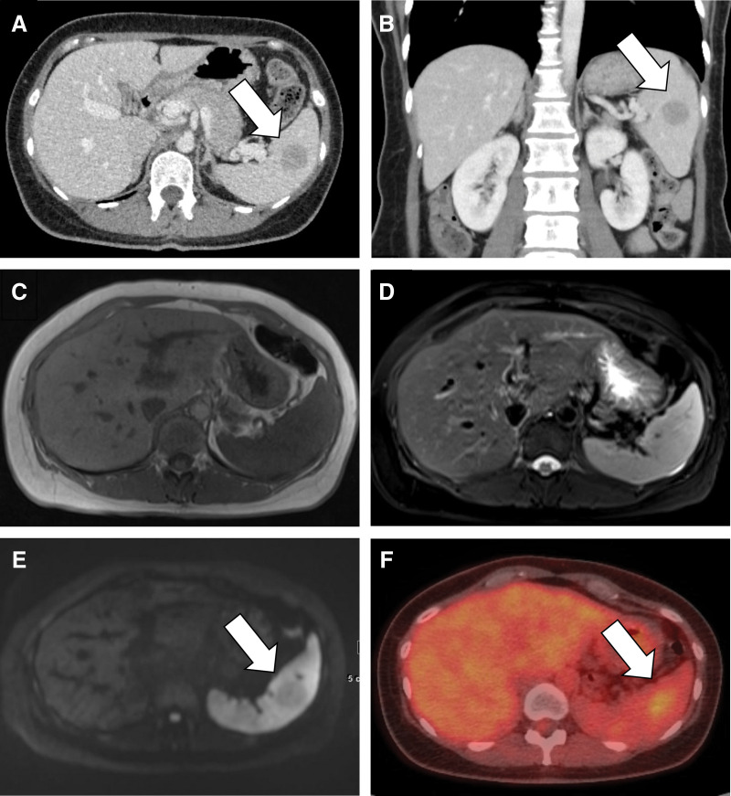
简介:大多数脾肿瘤是良性的;然而,必须将其与恶性肿瘤,如恶性淋巴瘤和转移性肿瘤区分开来。硬化性血管瘤样结节转化(SANT)是近年来报道的一种较为罕见的良性肿瘤。脾切除术在大多数SANT病例中进行,因为与明确诊断相关的挑战。然而,在某些情况下,SANT可以通过内镜超声引导下的细针穿刺(EUS-FNA)诊断,并随后对这些病例进行随访。在此报告中,我们报告了2例经腹腔镜切除的脾SANT。在病例1中,非典型影像学发现需要EUS-FNA进行进一步评估。病例2表现出典型的SANT影像学表现,因此未行EUS-FNA。病例介绍:病例1:一位47岁的女性,在胆囊息肉的随访中,腹部超声检查发现脾脏有一个26毫米的肿瘤。进行腹部计算机断层扫描(CT)、磁共振成像(MRI)和正电子发射断层扫描(CT)。EUS-FNA的实施是因为肺动脉高压相关的高手术风险,并且因为血管内皮瘤(一种中度恶性肿瘤)被怀疑。随后行腹腔镜脾切除术,诊断为SANT。病例2:一名46岁女性,在CT上偶然发现脾脏肿瘤。基于CT和MRI表现,怀疑SANT。由于肿块逐渐增大,不能完全排除恶性;因此,患者被转介到我院进行手术。行腹腔镜脾切除术,随后诊断为SANT。结论:SANT是一种难以诊断的良性肿瘤;然而,在某些情况下,可以使用EUS-FNA诊断。我们报告2例经腹腔镜切除的脾脏SANT。在通过影像学或组织学检查确诊的情况下,有随访和不手术的疾病管理是一种可能的选择。
本文章由计算机程序翻译,如有差异,请以英文原文为准。

Sclerosing Angiomatoid Nodular Transformation of the Laparoscopically Resected Spleen: Case Reports and Review of the Literature.

Sclerosing Angiomatoid Nodular Transformation of the Laparoscopically Resected Spleen: Case Reports and Review of the Literature.

Sclerosing Angiomatoid Nodular Transformation of the Laparoscopically Resected Spleen: Case Reports and Review of the Literature.

Sclerosing Angiomatoid Nodular Transformation of the Laparoscopically Resected Spleen: Case Reports and Review of the Literature.

Introduction: Most splenic tumors are benign; however, it is essential to differentiate them from malignant tumors, such as malignant lymphoma and metastatic tumors. Sclerosing angiomatoid nodular transformation (SANT) is a relatively rare benign tumor that has been reported recently. Splenectomy is performed in most cases of SANT because of the challenges associated with a definitive diagnosis. However, in some cases, SANT can be diagnosed through endoscopic ultrasound-guided fine-needle aspiration (EUS-FNA), and these cases are subsequently followed up. In this report, we present 2 cases of splenic SANT that underwent laparoscopic resection. In Case 1, atypical imaging findings required EUS-FNA for further evaluation. Case 2 exhibited typical imaging findings of SANT, and therefore, EUS-FNA was not performed.

Case presentation: Case 1: A 47-year-old female was found to have a 26 mm tumor in the spleen on abdominal ultrasonography during follow-up for gallbladder polyps. Abdominal computed tomography (CT), magnetic resonance imaging (MRI), and positron emission tomography-CT were performed. EUS-FNA was performed because of the high surgical risk associated with pulmonary hypertension and because hemangioendothelioma, an intermediate malignancy, was suspected. Subsequently, laparoscopic splenectomy was performed, and SANT was diagnosed. Case 2: A 46-year-old female had an incidental detection of a tumor in the spleen on CT. SANT was suspected based on CT and MRI findings. Malignancy could not be completely ruled out owing to the gradual growth of the mass; therefore, the patient was referred to our hospital for surgery. Laparoscopic splenectomy was performed, and SANT was subsequently diagnosed.

Conclusion: SANT is a benign tumor that is difficult to diagnose; however, in some cases, it can be diagnosed using EUS-FNA. We report 2 cases of SANT of the spleen that underwent laparoscopic resection. In cases where the diagnosis is confirmed through imaging or histological examination, disease management with follow-up and without surgery is a possible alternative.

求助全文
通过发布文献求助,成功后即可免费获取论文全文。 去求助
来源期刊
自引率
0.00%
发文量
218
审稿时长
13 weeks
×
引用
GB/T 7714-2015
复制
MLA
复制
APA
复制
导出至
BibTeX EndNote RefMan NoteFirst NoteExpress
×
提示
您的信息不完整,为了账户安全,请先补充。
现在去补充
×
提示
您因"违规操作"
具体请查看互助需知
我知道了
×
提示
确定
请完成安全验证×
copy
已复制链接
快去分享给好友吧!
我知道了
右上角分享
点击右上角分享
0
联系我们:info@booksci.cn Book学术提供免费学术资源搜索服务,方便国内外学者检索中英文文献。致力于提供最便捷和优质的服务体验。 Copyright © 2023 布克学术 All rights reserved.
京ICP备2023020795号-1
ghs 京公网安备 11010802042870号
Book学术文献互助
Book学术文献互助群
群 号:604180095
Book学术官方微信