晚期升结肠癌右半结肠联合胰十二指肠切除术的治疗。

IF 0.7 Q4 SURGERY
Surgical Case Reports Pub Date : 2025-01-01 Epub Date: 2025-04-05 DOI:10.70352/scrj.cr.24-0146
Hiroyuki Takeda, Tetsuo Ishizaki, Ryutaro Udo, Tomoya Tago, Kenta Kasahara, Junichi Mazaki, Keiichiro Inoue, Yuichi Nagakawa
{"title":"晚期升结肠癌右半结肠联合胰十二指肠切除术的治疗。","authors":"Hiroyuki Takeda, Tetsuo Ishizaki, Ryutaro Udo, Tomoya Tago, Kenta Kasahara, Junichi Mazaki, Keiichiro Inoue, Yuichi Nagakawa","doi":"10.70352/scrj.cr.24-0146","DOIUrl":null,"url":null,"abstract":"<p><strong>Introduction: </strong>While simultaneous complex surgical procedures such as right hemicolectomies with pancreaticoduodenectomies (RHPD) may increase overall surgical complexity, complications, and risk of death, it is the only cure for advanced ascending colon cancer (AACC) that has directly invaded the duodenum/pancreas. There are a few reports, especially from Japan. Here, we report an extremely rare case of a patient who underwent RHPD for AACC with direct invasion to the duodenum and liver and describe the patient's long-term survival after en bloc resection.</p><p><strong>Case presentation: </strong>The patient was a 76-year-old man who presented with a chief complaint of right abdominal pain and weight loss of 12 kg over the past month. Colonoscopy revealed the entire circumference of a type 2 tumor in the ascending colon. Preoperative computed tomography showed a 12 cm mass lesion with wall thickening in the ascending colon which was also invading the second portion of the duodenum. MSI-H/dMMR was negative. RHPD and partial hepatectomy were performed with open surgery because of a preoperative diagnosis of clinical T4b (duodenum and liver) N1bM0 stage IIIc cancer. Although grade 2 adverse effects, which delayed gastric emptying was observed during the patient's postoperative course, the patient's condition resolved through conservative therapy. Oral intake started on postoperative day 17, and the patient was discharged on postoperative day 25. Capecitabine plus oxaliplatin was administered as adjuvant chemotherapy for 6 months. Hematoxylin and eosin staining revealed moderately differentiated adenocarcinoma invading the duodenum and liver. The patient was diagnosed as pathological T4b (duodenum and liver) N1bM0 stage IIIc cancer. No recurrence was noted up to 40 months after the surgery.</p><p><strong>Conclusions: </strong>The only curative therapy for AACC with involvement of the duodenum is en bloc RHPD. Here, we described a case in which long-term survival was achieved by ensuring R0 with en bloc resection.</p>","PeriodicalId":22096,"journal":{"name":"Surgical Case Reports","volume":"11 1","pages":""},"PeriodicalIF":0.7000,"publicationDate":"2025-01-01","publicationTypes":"Journal Article","fieldsOfStudy":null,"isOpenAccess":false,"openAccessPdf":"https://www.ncbi.nlm.nih.gov/pmc/articles/PMC11972922/pdf/","citationCount":"0","resultStr":"{\"title\":\"En bloc Right Hemicolectomy with Pancreaticoduodenectomy for Advanced Ascending Colon Cancer.\",\"authors\":\"Hiroyuki Takeda, Tetsuo Ishizaki, Ryutaro Udo, Tomoya Tago, Kenta Kasahara, Junichi Mazaki, Keiichiro Inoue, Yuichi Nagakawa\",\"doi\":\"10.70352/scrj.cr.24-0146\",\"DOIUrl\":null,\"url\":null,\"abstract\":\"<p><strong>Introduction: </strong>While simultaneous complex surgical procedures such as right hemicolectomies with pancreaticoduodenectomies (RHPD) may increase overall surgical complexity, complications, and risk of death, it is the only cure for advanced ascending colon cancer (AACC) that has directly invaded the duodenum/pancreas. There are a few reports, especially from Japan. Here, we report an extremely rare case of a patient who underwent RHPD for AACC with direct invasion to the duodenum and liver and describe the patient's long-term survival after en bloc resection.</p><p><strong>Case presentation: </strong>The patient was a 76-year-old man who presented with a chief complaint of right abdominal pain and weight loss of 12 kg over the past month. Colonoscopy revealed the entire circumference of a type 2 tumor in the ascending colon. Preoperative computed tomography showed a 12 cm mass lesion with wall thickening in the ascending colon which was also invading the second portion of the duodenum. MSI-H/dMMR was negative. RHPD and partial hepatectomy were performed with open surgery because of a preoperative diagnosis of clinical T4b (duodenum and liver) N1bM0 stage IIIc cancer. Although grade 2 adverse effects, which delayed gastric emptying was observed during the patient's postoperative course, the patient's condition resolved through conservative therapy. Oral intake started on postoperative day 17, and the patient was discharged on postoperative day 25. Capecitabine plus oxaliplatin was administered as adjuvant chemotherapy for 6 months. Hematoxylin and eosin staining revealed moderately differentiated adenocarcinoma invading the duodenum and liver. The patient was diagnosed as pathological T4b (duodenum and liver) N1bM0 stage IIIc cancer. No recurrence was noted up to 40 months after the surgery.</p><p><strong>Conclusions: </strong>The only curative therapy for AACC with involvement of the duodenum is en bloc RHPD. Here, we described a case in which long-term survival was achieved by ensuring R0 with en bloc resection.</p>\",\"PeriodicalId\":22096,\"journal\":{\"name\":\"Surgical Case Reports\",\"volume\":\"11 1\",\"pages\":\"\"},\"PeriodicalIF\":0.7000,\"publicationDate\":\"2025-01-01\",\"publicationTypes\":\"Journal Article\",\"fieldsOfStudy\":null,\"isOpenAccess\":false,\"openAccessPdf\":\"https://www.ncbi.nlm.nih.gov/pmc/articles/PMC11972922/pdf/\",\"citationCount\":\"0\",\"resultStr\":null,\"platform\":\"Semanticscholar\",\"paperid\":null,\"PeriodicalName\":\"Surgical Case Reports\",\"FirstCategoryId\":\"1085\",\"ListUrlMain\":\"https://doi.org/10.70352/scrj.cr.24-0146\",\"RegionNum\":0,\"RegionCategory\":null,\"ArticlePicture\":[],\"TitleCN\":null,\"AbstractTextCN\":null,\"PMCID\":null,\"EPubDate\":\"2025/4/5 0:00:00\",\"PubModel\":\"Epub\",\"JCR\":\"Q4\",\"JCRName\":\"SURGERY\",\"Score\":null,\"Total\":0}","platform":"Semanticscholar","paperid":null,"PeriodicalName":"Surgical Case Reports","FirstCategoryId":"1085","ListUrlMain":"https://doi.org/10.70352/scrj.cr.24-0146","RegionNum":0,"RegionCategory":null,"ArticlePicture":[],"TitleCN":null,"AbstractTextCN":null,"PMCID":null,"EPubDate":"2025/4/5 0:00:00","PubModel":"Epub","JCR":"Q4","JCRName":"SURGERY","Score":null,"Total":0}
引用次数: 0

摘要

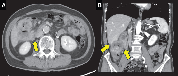
虽然同时进行复杂的外科手术,如右半结肠切除术和胰十二指肠切除术(RHPD)可能会增加手术的总体复杂性、并发症和死亡风险,但它是治疗直接侵犯十二指肠/胰腺的晚期升结肠癌(AACC)的唯一方法。有一些报道,尤其是来自日本的。在这里,我们报告了一个极其罕见的病例,患者因AACC直接侵犯十二指肠和肝脏而接受RHPD,并描述了患者在整体切除后的长期生存。病例介绍:患者为76岁男性,主诉右腹痛,近一个月体重减轻12公斤。结肠镜检查在升结肠发现了一个2型肿瘤的整个周长。术前计算机断层扫描显示升结肠有一个12厘米厚的肿块,病变壁增厚,并侵犯十二指肠第二部分。MSI-H/dMMR为阴性。由于术前诊断为临床T4b(十二指肠和肝脏)N1bM0 IIIc期癌症,RHPD和部分肝切除术采用开放手术。虽然在患者术后过程中观察到2级不良反应,延迟胃排空,但通过保守治疗,患者的病情得到缓解。术后第17天开始口服,患者于术后第25天出院。卡培他滨联合奥沙利铂辅助化疗6个月。苏木精和伊红染色显示浸润十二指肠和肝脏的中分化腺癌。诊断为病理性T4b(十二指肠及肝脏)N1bM0 IIIc期肿瘤。术后40个月无复发。结论:累及十二指肠的AACC唯一有效的治疗方法是整体RHPD。在这里,我们描述了一个病例,通过确保R0和整体切除来实现长期生存。
本文章由计算机程序翻译,如有差异,请以英文原文为准。

En bloc Right Hemicolectomy with Pancreaticoduodenectomy for Advanced Ascending Colon Cancer.

En bloc Right Hemicolectomy with Pancreaticoduodenectomy for Advanced Ascending Colon Cancer.

En bloc Right Hemicolectomy with Pancreaticoduodenectomy for Advanced Ascending Colon Cancer.

En bloc Right Hemicolectomy with Pancreaticoduodenectomy for Advanced Ascending Colon Cancer.

Introduction: While simultaneous complex surgical procedures such as right hemicolectomies with pancreaticoduodenectomies (RHPD) may increase overall surgical complexity, complications, and risk of death, it is the only cure for advanced ascending colon cancer (AACC) that has directly invaded the duodenum/pancreas. There are a few reports, especially from Japan. Here, we report an extremely rare case of a patient who underwent RHPD for AACC with direct invasion to the duodenum and liver and describe the patient's long-term survival after en bloc resection.

Case presentation: The patient was a 76-year-old man who presented with a chief complaint of right abdominal pain and weight loss of 12 kg over the past month. Colonoscopy revealed the entire circumference of a type 2 tumor in the ascending colon. Preoperative computed tomography showed a 12 cm mass lesion with wall thickening in the ascending colon which was also invading the second portion of the duodenum. MSI-H/dMMR was negative. RHPD and partial hepatectomy were performed with open surgery because of a preoperative diagnosis of clinical T4b (duodenum and liver) N1bM0 stage IIIc cancer. Although grade 2 adverse effects, which delayed gastric emptying was observed during the patient's postoperative course, the patient's condition resolved through conservative therapy. Oral intake started on postoperative day 17, and the patient was discharged on postoperative day 25. Capecitabine plus oxaliplatin was administered as adjuvant chemotherapy for 6 months. Hematoxylin and eosin staining revealed moderately differentiated adenocarcinoma invading the duodenum and liver. The patient was diagnosed as pathological T4b (duodenum and liver) N1bM0 stage IIIc cancer. No recurrence was noted up to 40 months after the surgery.

Conclusions: The only curative therapy for AACC with involvement of the duodenum is en bloc RHPD. Here, we described a case in which long-term survival was achieved by ensuring R0 with en bloc resection.

求助全文
通过发布文献求助,成功后即可免费获取论文全文。 去求助
来源期刊
自引率
0.00%
发文量
218
审稿时长
13 weeks
×
引用
GB/T 7714-2015
复制
MLA
复制
APA
复制
导出至
BibTeX EndNote RefMan NoteFirst NoteExpress
×
提示
您的信息不完整,为了账户安全,请先补充。
现在去补充
×
提示
您因"违规操作"
具体请查看互助需知
我知道了
×
提示
确定
请完成安全验证×
copy
已复制链接
快去分享给好友吧!
我知道了
右上角分享
点击右上角分享
0
联系我们:info@booksci.cn Book学术提供免费学术资源搜索服务,方便国内外学者检索中英文文献。致力于提供最便捷和优质的服务体验。 Copyright © 2023 布克学术 All rights reserved.
京ICP备2023020795号-1
ghs 京公网安备 11010802042870号
Book学术文献互助
Book学术文献互助群
群 号:604180095
Book学术官方微信