术前磁共振及腹部超声诊断后腹腔镜切除成人回肠囊性重复肠1例。

IF 0.7 Q4 SURGERY
Surgical Case Reports Pub Date : 2025-01-01 Epub Date: 2025-04-04 DOI:10.70352/scrj.cr.25-0015
Takashi Takeda, Katsuki Danno, Tadafumi Fukata, Itsuko Nakamichi, Kei Yamamoto, Masaya Higashiguchi, Kozo Noguchi, Takafumi Hirao, Mitsugu Sekimoto, Yoshio Oka
{"title":"术前磁共振及腹部超声诊断后腹腔镜切除成人回肠囊性重复肠1例。","authors":"Takashi Takeda, Katsuki Danno, Tadafumi Fukata, Itsuko Nakamichi, Kei Yamamoto, Masaya Higashiguchi, Kozo Noguchi, Takafumi Hirao, Mitsugu Sekimoto, Yoshio Oka","doi":"10.70352/scrj.cr.25-0015","DOIUrl":null,"url":null,"abstract":"<p><strong>Introduction: </strong>Small bowel duplication in adults is an uncommon congenital anomaly that often presents with nonspecific symptoms, such as abdominal pain, vomiting, or constipation, which complicates diagnosis. Imaging techniques such as computed tomography (CT) and ultrasonography are commonly used, and cine magnetic resonance imaging (MRI) has emerged as a promising modality for diagnosing duplication cysts by capturing peristaltic movements. Surgical resection is the definitive treatment for preventing complications such as obstruction, infection, or malignant transformation.</p><p><strong>Case presentation: </strong>A woman in her thirties visited the emergency department with persistent lower abdominal pain. Physical examination and laboratory tests, including those for tumor markers, were unremarkable. CT revealed a cystic mass near the uterus, and pelvic MRI revealed a cystic lesion that had migrated during follow-up imaging. Cine MRI showed peristaltic movements within the lesion, and abdominal ultrasonography confirmed a cystic structure with wall movements resembling intestinal peristalsis. Based on these findings, the diagnosis of a noncommunicating small bowel duplication cyst was made.The patient underwent a laparoscopic single-port partial resection of the ileum. A cystic lesion located 75 cm proximal to the terminal ileum was excised along with a segment of the small intestine. Histopathological examination revealed a duplicated cyst lined with the small intestinal mucosa, confirming the diagnosis. The postoperative course was uneventful, and the patient was discharged 1 week postoperatively.</p><p><strong>Conclusion: </strong>This case highlights the utility of cine MRI and ultrasonography in the preoperative diagnosis of small bowel duplication cysts. In particular, cine MRI provides dynamic visualization of peristaltic movements within the cyst, enabling a confident diagnosis. The migration of the cyst observed on serial MRI examinations further corroborated the origin of this duplication. These findings emphasize the importance of advanced imaging modalities in the diagnosis of rare intestinal anomalies. Preoperative diagnosis of small bowel duplication cysts can be significantly enhanced by using cine MRI and ultrasonography to detect peristaltic movements. These modalities offer critical insights that aid timely surgical intervention and improve outcomes.</p>","PeriodicalId":22096,"journal":{"name":"Surgical Case Reports","volume":"11 1","pages":""},"PeriodicalIF":0.7000,"publicationDate":"2025-01-01","publicationTypes":"Journal Article","fieldsOfStudy":null,"isOpenAccess":false,"openAccessPdf":"https://www.ncbi.nlm.nih.gov/pmc/articles/PMC11973249/pdf/","citationCount":"0","resultStr":"{\"title\":\"Adult Cystic Intestinal Duplication of the Ileum Laparoscopically Resected after Preoperative Diagnosis with Cine Magnetic Resonance Imaging and Abdominal Ultrasound: A Case Report.\",\"authors\":\"Takashi Takeda, Katsuki Danno, Tadafumi Fukata, Itsuko Nakamichi, Kei Yamamoto, Masaya Higashiguchi, Kozo Noguchi, Takafumi Hirao, Mitsugu Sekimoto, Yoshio Oka\",\"doi\":\"10.70352/scrj.cr.25-0015\",\"DOIUrl\":null,\"url\":null,\"abstract\":\"<p><strong>Introduction: </strong>Small bowel duplication in adults is an uncommon congenital anomaly that often presents with nonspecific symptoms, such as abdominal pain, vomiting, or constipation, which complicates diagnosis. Imaging techniques such as computed tomography (CT) and ultrasonography are commonly used, and cine magnetic resonance imaging (MRI) has emerged as a promising modality for diagnosing duplication cysts by capturing peristaltic movements. Surgical resection is the definitive treatment for preventing complications such as obstruction, infection, or malignant transformation.</p><p><strong>Case presentation: </strong>A woman in her thirties visited the emergency department with persistent lower abdominal pain. Physical examination and laboratory tests, including those for tumor markers, were unremarkable. CT revealed a cystic mass near the uterus, and pelvic MRI revealed a cystic lesion that had migrated during follow-up imaging. Cine MRI showed peristaltic movements within the lesion, and abdominal ultrasonography confirmed a cystic structure with wall movements resembling intestinal peristalsis. Based on these findings, the diagnosis of a noncommunicating small bowel duplication cyst was made.The patient underwent a laparoscopic single-port partial resection of the ileum. A cystic lesion located 75 cm proximal to the terminal ileum was excised along with a segment of the small intestine. Histopathological examination revealed a duplicated cyst lined with the small intestinal mucosa, confirming the diagnosis. The postoperative course was uneventful, and the patient was discharged 1 week postoperatively.</p><p><strong>Conclusion: </strong>This case highlights the utility of cine MRI and ultrasonography in the preoperative diagnosis of small bowel duplication cysts. In particular, cine MRI provides dynamic visualization of peristaltic movements within the cyst, enabling a confident diagnosis. The migration of the cyst observed on serial MRI examinations further corroborated the origin of this duplication. These findings emphasize the importance of advanced imaging modalities in the diagnosis of rare intestinal anomalies. Preoperative diagnosis of small bowel duplication cysts can be significantly enhanced by using cine MRI and ultrasonography to detect peristaltic movements. These modalities offer critical insights that aid timely surgical intervention and improve outcomes.</p>\",\"PeriodicalId\":22096,\"journal\":{\"name\":\"Surgical Case Reports\",\"volume\":\"11 1\",\"pages\":\"\"},\"PeriodicalIF\":0.7000,\"publicationDate\":\"2025-01-01\",\"publicationTypes\":\"Journal Article\",\"fieldsOfStudy\":null,\"isOpenAccess\":false,\"openAccessPdf\":\"https://www.ncbi.nlm.nih.gov/pmc/articles/PMC11973249/pdf/\",\"citationCount\":\"0\",\"resultStr\":null,\"platform\":\"Semanticscholar\",\"paperid\":null,\"PeriodicalName\":\"Surgical Case Reports\",\"FirstCategoryId\":\"1085\",\"ListUrlMain\":\"https://doi.org/10.70352/scrj.cr.25-0015\",\"RegionNum\":0,\"RegionCategory\":null,\"ArticlePicture\":[],\"TitleCN\":null,\"AbstractTextCN\":null,\"PMCID\":null,\"EPubDate\":\"2025/4/4 0:00:00\",\"PubModel\":\"Epub\",\"JCR\":\"Q4\",\"JCRName\":\"SURGERY\",\"Score\":null,\"Total\":0}","platform":"Semanticscholar","paperid":null,"PeriodicalName":"Surgical Case Reports","FirstCategoryId":"1085","ListUrlMain":"https://doi.org/10.70352/scrj.cr.25-0015","RegionNum":0,"RegionCategory":null,"ArticlePicture":[],"TitleCN":null,"AbstractTextCN":null,"PMCID":null,"EPubDate":"2025/4/4 0:00:00","PubModel":"Epub","JCR":"Q4","JCRName":"SURGERY","Score":null,"Total":0}
引用次数: 0

摘要

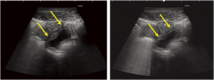
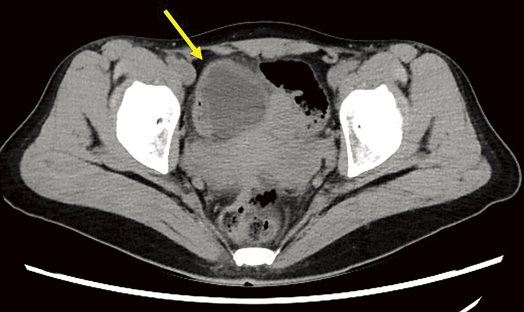
成人小肠重复是一种罕见的先天性异常,通常表现为非特异性症状,如腹痛、呕吐或便秘,使诊断复杂化。成像技术,如计算机断层扫描(CT)和超声检查是常用的,电影磁共振成像(MRI)已成为一种有前途的模式,诊断重复囊肿通过捕捉蠕动运动。手术切除是预防梗阻、感染或恶性转化等并发症的最终治疗方法。病例介绍:一名三十多岁的妇女因持续的下腹部疼痛来到急诊科。身体检查和实验室检查,包括肿瘤标志物,没有什么显著的变化。CT显示子宫附近有囊性肿块,骨盆MRI在随访期间显示囊性病变已迁移。MRI显示病变内蠕动,腹部超声证实囊性结构,壁运动类似肠蠕动。基于这些发现,诊断为非连通性小肠重复囊肿。患者接受了腹腔镜单孔部分回肠切除术。切除位于回肠末端近端75cm处的囊性病变,并切除一小段小肠。组织病理学检查显示一重复囊肿衬以小肠黏膜,证实诊断。术后过程顺利,患者于术后1周出院。结论:本病例强调了MRI和超声检查在小肠重复囊肿术前诊断中的应用价值。特别是,电影MRI提供了囊肿内蠕动运动的动态可视化,使诊断更加可靠。在一系列MRI检查中观察到的囊肿的迁移进一步证实了这种重复的起源。这些发现强调了先进的成像方式在诊断罕见的肠道异常的重要性。术前应用MRI和超声检查小肠重复囊肿的蠕动,可显著提高小肠重复囊肿的诊断。这些模式提供了关键的见解,有助于及时的手术干预和改善结果。
本文章由计算机程序翻译,如有差异,请以英文原文为准。

Adult Cystic Intestinal Duplication of the Ileum Laparoscopically Resected after Preoperative Diagnosis with Cine Magnetic Resonance Imaging and Abdominal Ultrasound: A Case Report.

Adult Cystic Intestinal Duplication of the Ileum Laparoscopically Resected after Preoperative Diagnosis with Cine Magnetic Resonance Imaging and Abdominal Ultrasound: A Case Report.

Adult Cystic Intestinal Duplication of the Ileum Laparoscopically Resected after Preoperative Diagnosis with Cine Magnetic Resonance Imaging and Abdominal Ultrasound: A Case Report.

Adult Cystic Intestinal Duplication of the Ileum Laparoscopically Resected after Preoperative Diagnosis with Cine Magnetic Resonance Imaging and Abdominal Ultrasound: A Case Report.

Introduction: Small bowel duplication in adults is an uncommon congenital anomaly that often presents with nonspecific symptoms, such as abdominal pain, vomiting, or constipation, which complicates diagnosis. Imaging techniques such as computed tomography (CT) and ultrasonography are commonly used, and cine magnetic resonance imaging (MRI) has emerged as a promising modality for diagnosing duplication cysts by capturing peristaltic movements. Surgical resection is the definitive treatment for preventing complications such as obstruction, infection, or malignant transformation.

Case presentation: A woman in her thirties visited the emergency department with persistent lower abdominal pain. Physical examination and laboratory tests, including those for tumor markers, were unremarkable. CT revealed a cystic mass near the uterus, and pelvic MRI revealed a cystic lesion that had migrated during follow-up imaging. Cine MRI showed peristaltic movements within the lesion, and abdominal ultrasonography confirmed a cystic structure with wall movements resembling intestinal peristalsis. Based on these findings, the diagnosis of a noncommunicating small bowel duplication cyst was made.The patient underwent a laparoscopic single-port partial resection of the ileum. A cystic lesion located 75 cm proximal to the terminal ileum was excised along with a segment of the small intestine. Histopathological examination revealed a duplicated cyst lined with the small intestinal mucosa, confirming the diagnosis. The postoperative course was uneventful, and the patient was discharged 1 week postoperatively.

Conclusion: This case highlights the utility of cine MRI and ultrasonography in the preoperative diagnosis of small bowel duplication cysts. In particular, cine MRI provides dynamic visualization of peristaltic movements within the cyst, enabling a confident diagnosis. The migration of the cyst observed on serial MRI examinations further corroborated the origin of this duplication. These findings emphasize the importance of advanced imaging modalities in the diagnosis of rare intestinal anomalies. Preoperative diagnosis of small bowel duplication cysts can be significantly enhanced by using cine MRI and ultrasonography to detect peristaltic movements. These modalities offer critical insights that aid timely surgical intervention and improve outcomes.

求助全文
通过发布文献求助,成功后即可免费获取论文全文。 去求助
来源期刊
自引率
0.00%
发文量
218
审稿时长
13 weeks
×
引用
GB/T 7714-2015
复制
MLA
复制
APA
复制
导出至
BibTeX EndNote RefMan NoteFirst NoteExpress
×
提示
您的信息不完整,为了账户安全,请先补充。
现在去补充
×
提示
您因"违规操作"
具体请查看互助需知
我知道了
×
提示
确定
请完成安全验证×
copy
已复制链接
快去分享给好友吧!
我知道了
右上角分享
点击右上角分享
0
联系我们:info@booksci.cn Book学术提供免费学术资源搜索服务,方便国内外学者检索中英文文献。致力于提供最便捷和优质的服务体验。 Copyright © 2023 布克学术 All rights reserved.
京ICP备2023020795号-1
ghs 京公网安备 11010802042870号
Book学术文献互助
Book学术文献互助群
群 号:604180095
Book学术官方微信