耳垂瘢痕疙瘩病灶内注射曲安奈德后发生同侧多相视网膜血管事件1例。

IF 0.6 Q4 OPHTHALMOLOGY
Case Reports in Ophthalmology Pub Date : 2025-03-08 eCollection Date: 2025-01-01 DOI:10.1159/000543454
Yafeng Li
{"title":"耳垂瘢痕疙瘩病灶内注射曲安奈德后发生同侧多相视网膜血管事件1例。","authors":"Yafeng Li","doi":"10.1159/000543454","DOIUrl":null,"url":null,"abstract":"<p><strong>Introduction: </strong>Intralesional triamcinolone acetonide is a widely used treatment for scarring skin conditions such as keloid and is known to have retinal vascular complications if administered in the periocular region.</p><p><strong>Case presentation: </strong>A 32-year-old female experienced a prompt onset transient vision decrease and a delayed onset, slow-resolving vison loss in the right eye (OD) following the last of a series of triamcinolone acetonide corticosteroid (TAC) injections in her right earlobe for a disfiguring keloid. Clinically, she developed a branch retinal arterial occlusion accompanied by features of a central retinal vein occlusion. The TAC particles that entered the retinal circulation are implicated in the thrombo-embolic occlusion of the branch retinal artery and subsequent blockage of the central retinal vein.</p><p><strong>Conclusion: </strong>This case should alert clinicians that there is always a potential hazard for retinal vascular occlusion when corticosteroid is injected in the region of the head and face because of the rich anastomoses between the external and internal carotid artery circulations.</p>","PeriodicalId":9635,"journal":{"name":"Case Reports in Ophthalmology","volume":"16 1","pages":"254-260"},"PeriodicalIF":0.6000,"publicationDate":"2025-03-08","publicationTypes":"Journal Article","fieldsOfStudy":null,"isOpenAccess":false,"openAccessPdf":"https://www.ncbi.nlm.nih.gov/pmc/articles/PMC11975346/pdf/","citationCount":"0","resultStr":"{\"title\":\"Ipsilateral, Multi-Phasic Retinal Vascular Events following Intralesional Triamcinolone Acetonide Injection for Earlobe Keloid: A Case Report.\",\"authors\":\"Yafeng Li\",\"doi\":\"10.1159/000543454\",\"DOIUrl\":null,\"url\":null,\"abstract\":\"<p><strong>Introduction: </strong>Intralesional triamcinolone acetonide is a widely used treatment for scarring skin conditions such as keloid and is known to have retinal vascular complications if administered in the periocular region.</p><p><strong>Case presentation: </strong>A 32-year-old female experienced a prompt onset transient vision decrease and a delayed onset, slow-resolving vison loss in the right eye (OD) following the last of a series of triamcinolone acetonide corticosteroid (TAC) injections in her right earlobe for a disfiguring keloid. Clinically, she developed a branch retinal arterial occlusion accompanied by features of a central retinal vein occlusion. The TAC particles that entered the retinal circulation are implicated in the thrombo-embolic occlusion of the branch retinal artery and subsequent blockage of the central retinal vein.</p><p><strong>Conclusion: </strong>This case should alert clinicians that there is always a potential hazard for retinal vascular occlusion when corticosteroid is injected in the region of the head and face because of the rich anastomoses between the external and internal carotid artery circulations.</p>\",\"PeriodicalId\":9635,\"journal\":{\"name\":\"Case Reports in Ophthalmology\",\"volume\":\"16 1\",\"pages\":\"254-260\"},\"PeriodicalIF\":0.6000,\"publicationDate\":\"2025-03-08\",\"publicationTypes\":\"Journal Article\",\"fieldsOfStudy\":null,\"isOpenAccess\":false,\"openAccessPdf\":\"https://www.ncbi.nlm.nih.gov/pmc/articles/PMC11975346/pdf/\",\"citationCount\":\"0\",\"resultStr\":null,\"platform\":\"Semanticscholar\",\"paperid\":null,\"PeriodicalName\":\"Case Reports in Ophthalmology\",\"FirstCategoryId\":\"1085\",\"ListUrlMain\":\"https://doi.org/10.1159/000543454\",\"RegionNum\":0,\"RegionCategory\":null,\"ArticlePicture\":[],\"TitleCN\":null,\"AbstractTextCN\":null,\"PMCID\":null,\"EPubDate\":\"2025/1/1 0:00:00\",\"PubModel\":\"eCollection\",\"JCR\":\"Q4\",\"JCRName\":\"OPHTHALMOLOGY\",\"Score\":null,\"Total\":0}","platform":"Semanticscholar","paperid":null,"PeriodicalName":"Case Reports in Ophthalmology","FirstCategoryId":"1085","ListUrlMain":"https://doi.org/10.1159/000543454","RegionNum":0,"RegionCategory":null,"ArticlePicture":[],"TitleCN":null,"AbstractTextCN":null,"PMCID":null,"EPubDate":"2025/1/1 0:00:00","PubModel":"eCollection","JCR":"Q4","JCRName":"OPHTHALMOLOGY","Score":null,"Total":0}
引用次数: 0

摘要

简介:局部曲安奈德是一种广泛用于瘢痕性皮肤疾病(如瘢痕疙瘩)的治疗方法,已知如果在眼周区域使用曲安奈德会导致视网膜血管并发症。病例介绍:一名32岁女性因瘢痕瘤毁损,在右耳垂注射曲安奈德皮质类固醇(TAC)后,右眼出现突发性短暂性视力下降和迟发性缓慢消退的视力丧失。临床表现为视网膜分支动脉闭塞并伴有视网膜中央静脉闭塞。进入视网膜循环的TAC颗粒与视网膜分支动脉的血栓栓塞闭塞和随后的视网膜中央静脉阻塞有关。结论:该病例应提醒临床医生,由于颈外动脉和颈内动脉循环之间有丰富的吻合,在头面区域注射皮质类固醇总是存在视网膜血管闭塞的潜在危险。
本文章由计算机程序翻译,如有差异,请以英文原文为准。

Ipsilateral, Multi-Phasic Retinal Vascular Events following Intralesional Triamcinolone Acetonide Injection for Earlobe Keloid: A Case Report.

Ipsilateral, Multi-Phasic Retinal Vascular Events following Intralesional Triamcinolone Acetonide Injection for Earlobe Keloid: A Case Report.

Ipsilateral, Multi-Phasic Retinal Vascular Events following Intralesional Triamcinolone Acetonide Injection for Earlobe Keloid: A Case Report.

Ipsilateral, Multi-Phasic Retinal Vascular Events following Intralesional Triamcinolone Acetonide Injection for Earlobe Keloid: A Case Report.

Ipsilateral, Multi-Phasic Retinal Vascular Events following Intralesional Triamcinolone Acetonide Injection for Earlobe Keloid: A Case Report.

Ipsilateral, Multi-Phasic Retinal Vascular Events following Intralesional Triamcinolone Acetonide Injection for Earlobe Keloid: A Case Report.

Ipsilateral, Multi-Phasic Retinal Vascular Events following Intralesional Triamcinolone Acetonide Injection for Earlobe Keloid: A Case Report.

Introduction: Intralesional triamcinolone acetonide is a widely used treatment for scarring skin conditions such as keloid and is known to have retinal vascular complications if administered in the periocular region.

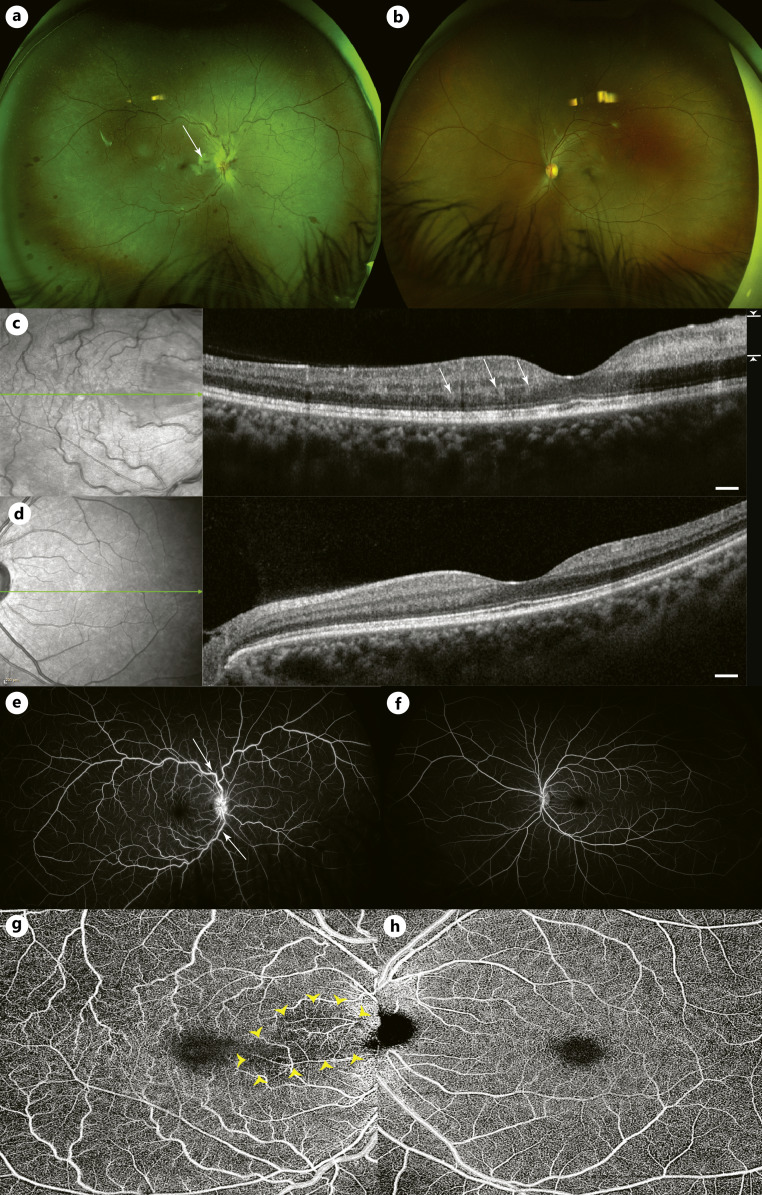
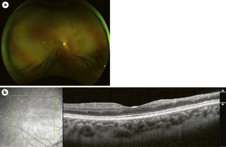
Case presentation: A 32-year-old female experienced a prompt onset transient vision decrease and a delayed onset, slow-resolving vison loss in the right eye (OD) following the last of a series of triamcinolone acetonide corticosteroid (TAC) injections in her right earlobe for a disfiguring keloid. Clinically, she developed a branch retinal arterial occlusion accompanied by features of a central retinal vein occlusion. The TAC particles that entered the retinal circulation are implicated in the thrombo-embolic occlusion of the branch retinal artery and subsequent blockage of the central retinal vein.

Conclusion: This case should alert clinicians that there is always a potential hazard for retinal vascular occlusion when corticosteroid is injected in the region of the head and face because of the rich anastomoses between the external and internal carotid artery circulations.

求助全文
通过发布文献求助,成功后即可免费获取论文全文。 去求助
来源期刊
CiteScore
0.90
自引率
0.00%
发文量
129
审稿时长
12 weeks
期刊介绍: This peer-reviewed online-only journal publishes original case reports covering the entire spectrum of ophthalmology, including prevention, diagnosis, treatment, toxicities of therapy, supportive care, quality-of-life, and survivorship issues. The submission of negative results is strongly encouraged. The journal will also accept case reports dealing with the use of novel technologies, both in the arena of diagnosis and treatment. Supplementary material is welcomed. The intent of the journal is to provide clinicians and researchers with a tool to disseminate their personal experiences to a wider public as well as to review interesting cases encountered by colleagues all over the world. Universally used terms can be searched across the entire growing collection of case reports, further facilitating the retrieval of specific information. Following the open access principle, the entire contents can be retrieved at no charge, guaranteeing easy access to this valuable source of anecdotal information at all times.
×
引用
GB/T 7714-2015
复制
MLA
复制
APA
复制
导出至
BibTeX EndNote RefMan NoteFirst NoteExpress
×
提示
您的信息不完整,为了账户安全,请先补充。
现在去补充
×
提示
您因"违规操作"
具体请查看互助需知
我知道了
×
提示
确定
请完成安全验证×
copy
已复制链接
快去分享给好友吧!
我知道了
右上角分享
点击右上角分享
0
联系我们:info@booksci.cn Book学术提供免费学术资源搜索服务,方便国内外学者检索中英文文献。致力于提供最便捷和优质的服务体验。 Copyright © 2023 布克学术 All rights reserved.
京ICP备2023020795号-1
ghs 京公网安备 11010802042870号
Book学术文献互助
Book学术文献互助群
群 号:604180095
Book学术官方微信