鼻中隔细胞神经鞘瘤1例。

IF 0.9
A K Al-Balasi, O M El Mustafa, A M El Hassan
{"title":"鼻中隔细胞神经鞘瘤1例。","authors":"A K Al-Balasi, O M El Mustafa, A M El Hassan","doi":"10.4314/ahs.v24i4.33","DOIUrl":null,"url":null,"abstract":"<p><strong>Background: </strong>Cellular schwannoma is a benign variant of classic schwannomas. It is an extremely rare condition to be derived from nasal septum.</p><p><strong>Case presentation: </strong>a cellular schwannoma of the nasal septum is described in a 10-year-old Sudanese girl presented with nasal obstruction. The tumor was treated surgically by a trans-nasal approach. Pathological examination of the resected tumor showed cellular schwannoma. The tumor cells were immunoreactive for S-100 protein. The patient has been doing well for 10 months with no evidence of tumor recurrence.</p>","PeriodicalId":94295,"journal":{"name":"African health sciences","volume":"24 4","pages":"258-261"},"PeriodicalIF":0.9000,"publicationDate":"2024-12-01","publicationTypes":"Journal Article","fieldsOfStudy":null,"isOpenAccess":false,"openAccessPdf":"https://www.ncbi.nlm.nih.gov/pmc/articles/PMC11970143/pdf/","citationCount":"0","resultStr":"{\"title\":\"A cellular schwannoma of the nasal septum: a case report.\",\"authors\":\"A K Al-Balasi, O M El Mustafa, A M El Hassan\",\"doi\":\"10.4314/ahs.v24i4.33\",\"DOIUrl\":null,\"url\":null,\"abstract\":\"<p><strong>Background: </strong>Cellular schwannoma is a benign variant of classic schwannomas. It is an extremely rare condition to be derived from nasal septum.</p><p><strong>Case presentation: </strong>a cellular schwannoma of the nasal septum is described in a 10-year-old Sudanese girl presented with nasal obstruction. The tumor was treated surgically by a trans-nasal approach. Pathological examination of the resected tumor showed cellular schwannoma. The tumor cells were immunoreactive for S-100 protein. The patient has been doing well for 10 months with no evidence of tumor recurrence.</p>\",\"PeriodicalId\":94295,\"journal\":{\"name\":\"African health sciences\",\"volume\":\"24 4\",\"pages\":\"258-261\"},\"PeriodicalIF\":0.9000,\"publicationDate\":\"2024-12-01\",\"publicationTypes\":\"Journal Article\",\"fieldsOfStudy\":null,\"isOpenAccess\":false,\"openAccessPdf\":\"https://www.ncbi.nlm.nih.gov/pmc/articles/PMC11970143/pdf/\",\"citationCount\":\"0\",\"resultStr\":null,\"platform\":\"Semanticscholar\",\"paperid\":null,\"PeriodicalName\":\"African health sciences\",\"FirstCategoryId\":\"1085\",\"ListUrlMain\":\"https://doi.org/10.4314/ahs.v24i4.33\",\"RegionNum\":0,\"RegionCategory\":null,\"ArticlePicture\":[],\"TitleCN\":null,\"AbstractTextCN\":null,\"PMCID\":null,\"EPubDate\":\"\",\"PubModel\":\"\",\"JCR\":\"\",\"JCRName\":\"\",\"Score\":null,\"Total\":0}","platform":"Semanticscholar","paperid":null,"PeriodicalName":"African health sciences","FirstCategoryId":"1085","ListUrlMain":"https://doi.org/10.4314/ahs.v24i4.33","RegionNum":0,"RegionCategory":null,"ArticlePicture":[],"TitleCN":null,"AbstractTextCN":null,"PMCID":null,"EPubDate":"","PubModel":"","JCR":"","JCRName":"","Score":null,"Total":0}
引用次数: 0

摘要

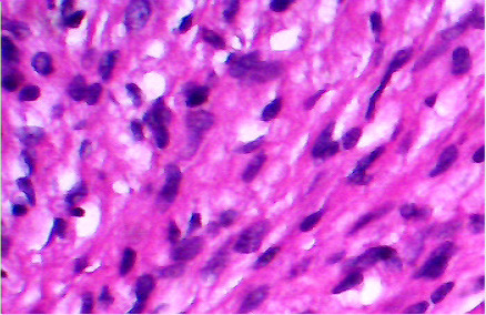
背景:细胞神经鞘瘤是典型神经鞘瘤的一种良性变异。这是一种极为罕见的情况,起源于鼻中隔。病例介绍:一个10岁的苏丹女孩鼻中隔细胞神经鞘瘤表现为鼻塞。肿瘤经鼻入路手术治疗。切除肿瘤病理检查为细胞神经鞘瘤。肿瘤细胞对S-100蛋白有免疫反应。患者10个月来情况良好,无肿瘤复发迹象。
本文章由计算机程序翻译,如有差异,请以英文原文为准。

A cellular schwannoma of the nasal septum: a case report.

A cellular schwannoma of the nasal septum: a case report.

A cellular schwannoma of the nasal septum: a case report.

A cellular schwannoma of the nasal septum: a case report.

Background: Cellular schwannoma is a benign variant of classic schwannomas. It is an extremely rare condition to be derived from nasal septum.

Case presentation: a cellular schwannoma of the nasal septum is described in a 10-year-old Sudanese girl presented with nasal obstruction. The tumor was treated surgically by a trans-nasal approach. Pathological examination of the resected tumor showed cellular schwannoma. The tumor cells were immunoreactive for S-100 protein. The patient has been doing well for 10 months with no evidence of tumor recurrence.

求助全文
通过发布文献求助,成功后即可免费获取论文全文。 去求助
来源期刊
自引率
0.00%
发文量
0
×
引用
GB/T 7714-2015
复制
MLA
复制
APA
复制
导出至
BibTeX EndNote RefMan NoteFirst NoteExpress
×
提示
您的信息不完整,为了账户安全,请先补充。
现在去补充
×
提示
您因"违规操作"
具体请查看互助需知
我知道了
×
提示
确定
请完成安全验证×
copy
已复制链接
快去分享给好友吧!
我知道了
右上角分享
点击右上角分享
0
联系我们:info@booksci.cn Book学术提供免费学术资源搜索服务,方便国内外学者检索中英文文献。致力于提供最便捷和优质的服务体验。 Copyright © 2023 布克学术 All rights reserved.
京ICP备2023020795号-1
ghs 京公网安备 11010802042870号
Book学术文献互助
Book学术文献互助群
群 号:604180095
Book学术官方微信