枸杞种子固定油对Wistar白化大鼠急性和亚急性毒性模型的毒性作用。

IF 4.6 Q2 TOXICOLOGY
Frontiers in toxicology Pub Date : 2025-03-21 eCollection Date: 2025-01-01 DOI:10.3389/ftox.2025.1535597
Teshome Gebremeskel Aragie, Kaleab Asres, Wondwossen Ergete, Samual Woldekidan, Sileshi Degu, Abiy Abebe, Worku Gemechu, Derso Furgasa, Girma Seyoum
{"title":"枸杞种子固定油对Wistar白化大鼠急性和亚急性毒性模型的毒性作用。","authors":"Teshome Gebremeskel Aragie, Kaleab Asres, Wondwossen Ergete, Samual Woldekidan, Sileshi Degu, Abiy Abebe, Worku Gemechu, Derso Furgasa, Girma Seyoum","doi":"10.3389/ftox.2025.1535597","DOIUrl":null,"url":null,"abstract":"<p><strong>Introduction: </strong><i>L. sativum</i> L. (family Brassicaceae) is a versatile herbal medicine in Ethiopia. The seed extract is widely employed in traditional medicine, whilst the seed oil is used as edible oil. However, there are no available studies conducted on the safety of the fixed oil of <i>L. sativum</i> seed in Ethiopia. Therefore, this study aimed to evaluate the acute and subacute toxicity of the oil in Wistar albino rats.</p><p><strong>Methods: </strong>Acute and subacute toxicity studies were conducted in Wistar albino rats. A single oral dose of <i>L</i>. <i>sativum</i> seed oil was administered, and the animals were followed for 14 days. The subacute oral dose toxicity study was conducted in rats of both sexes by repeated 28-day toxicity test as per OECD guidelines. Body weight was measured weekly, and observations of the animals were made regularly throughout the study period. Organ weight, histopathology, hematology, and clinical chemistry data were collected on the 29<sup>th</sup> day. One-way analysis of variance (ANOVA) was used to compare the means of the comparison groups and the results were presented as mean ± standard deviation, and significance was determined at the P-value of <0.05.</p><p><strong>Results: </strong>In this study, the LD<sub>50</sub> of the fixed oil of <i>L. sativum</i> was found to be 2818.32 mg/kg. According to the World Health Organization, the oil is classified as slightly hazardous at a single oral dose administration. In the subacute toxicity study, rats treated with the oil showed significant changes behavioral indices such as piloerection, lethargy, and tremor. In addition, gross pathology of organs, body weight, biochemical, and hematological parameters were deranged.</p><p><strong>Conclusion: </strong>The results of the present study demonstrated that the fixed oil of <i>L. sativum</i> has toxic effects. Therefore, it is highly essential to create awareness among the Ethiopian public who use the seeds for medicinal purposes and/or consume the oil as edible oil about the possible health hazards that they may pose.</p>","PeriodicalId":73111,"journal":{"name":"Frontiers in toxicology","volume":"7 ","pages":"1535597"},"PeriodicalIF":4.6000,"publicationDate":"2025-03-21","publicationTypes":"Journal Article","fieldsOfStudy":null,"isOpenAccess":false,"openAccessPdf":"https://www.ncbi.nlm.nih.gov/pmc/articles/PMC11969224/pdf/","citationCount":"0","resultStr":"{\"title\":\"Toxic effects of <i>Lepidium sativum</i> seed fixed oil on Wistar albino rats in acute and subacute toxicity models.\",\"authors\":\"Teshome Gebremeskel Aragie, Kaleab Asres, Wondwossen Ergete, Samual Woldekidan, Sileshi Degu, Abiy Abebe, Worku Gemechu, Derso Furgasa, Girma Seyoum\",\"doi\":\"10.3389/ftox.2025.1535597\",\"DOIUrl\":null,\"url\":null,\"abstract\":\"<p><strong>Introduction: </strong><i>L. sativum</i> L. (family Brassicaceae) is a versatile herbal medicine in Ethiopia. The seed extract is widely employed in traditional medicine, whilst the seed oil is used as edible oil. However, there are no available studies conducted on the safety of the fixed oil of <i>L. sativum</i> seed in Ethiopia. Therefore, this study aimed to evaluate the acute and subacute toxicity of the oil in Wistar albino rats.</p><p><strong>Methods: </strong>Acute and subacute toxicity studies were conducted in Wistar albino rats. A single oral dose of <i>L</i>. <i>sativum</i> seed oil was administered, and the animals were followed for 14 days. The subacute oral dose toxicity study was conducted in rats of both sexes by repeated 28-day toxicity test as per OECD guidelines. Body weight was measured weekly, and observations of the animals were made regularly throughout the study period. Organ weight, histopathology, hematology, and clinical chemistry data were collected on the 29<sup>th</sup> day. One-way analysis of variance (ANOVA) was used to compare the means of the comparison groups and the results were presented as mean ± standard deviation, and significance was determined at the P-value of <0.05.</p><p><strong>Results: </strong>In this study, the LD<sub>50</sub> of the fixed oil of <i>L. sativum</i> was found to be 2818.32 mg/kg. According to the World Health Organization, the oil is classified as slightly hazardous at a single oral dose administration. In the subacute toxicity study, rats treated with the oil showed significant changes behavioral indices such as piloerection, lethargy, and tremor. In addition, gross pathology of organs, body weight, biochemical, and hematological parameters were deranged.</p><p><strong>Conclusion: </strong>The results of the present study demonstrated that the fixed oil of <i>L. sativum</i> has toxic effects. Therefore, it is highly essential to create awareness among the Ethiopian public who use the seeds for medicinal purposes and/or consume the oil as edible oil about the possible health hazards that they may pose.</p>\",\"PeriodicalId\":73111,\"journal\":{\"name\":\"Frontiers in toxicology\",\"volume\":\"7 \",\"pages\":\"1535597\"},\"PeriodicalIF\":4.6000,\"publicationDate\":\"2025-03-21\",\"publicationTypes\":\"Journal Article\",\"fieldsOfStudy\":null,\"isOpenAccess\":false,\"openAccessPdf\":\"https://www.ncbi.nlm.nih.gov/pmc/articles/PMC11969224/pdf/\",\"citationCount\":\"0\",\"resultStr\":null,\"platform\":\"Semanticscholar\",\"paperid\":null,\"PeriodicalName\":\"Frontiers in toxicology\",\"FirstCategoryId\":\"1085\",\"ListUrlMain\":\"https://doi.org/10.3389/ftox.2025.1535597\",\"RegionNum\":0,\"RegionCategory\":null,\"ArticlePicture\":[],\"TitleCN\":null,\"AbstractTextCN\":null,\"PMCID\":null,\"EPubDate\":\"2025/1/1 0:00:00\",\"PubModel\":\"eCollection\",\"JCR\":\"Q2\",\"JCRName\":\"TOXICOLOGY\",\"Score\":null,\"Total\":0}","platform":"Semanticscholar","paperid":null,"PeriodicalName":"Frontiers in toxicology","FirstCategoryId":"1085","ListUrlMain":"https://doi.org/10.3389/ftox.2025.1535597","RegionNum":0,"RegionCategory":null,"ArticlePicture":[],"TitleCN":null,"AbstractTextCN":null,"PMCID":null,"EPubDate":"2025/1/1 0:00:00","PubModel":"eCollection","JCR":"Q2","JCRName":"TOXICOLOGY","Score":null,"Total":0}
引用次数: 0

摘要

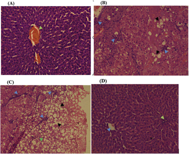
简介:芸苔科植物是埃塞俄比亚的一种多用途草药。种子提取物在传统医学中被广泛使用,而种子油被用作食用油。然而,目前在埃塞俄比亚尚无关于L. sativum种子固定油安全性的研究。因此,本研究旨在评价该油对Wistar白化大鼠的急性和亚急性毒性。方法:对Wistar白化大鼠进行急性和亚急性毒性研究。给予单次口服L. sativum种子油,随访14 d。亚急性口服剂量毒性研究是根据经合组织的指导方针,通过28天的重复毒性试验对男女大鼠进行的。每周测量体重,并在整个研究期间定期对动物进行观察。第29天采集脏器重量、组织病理学、血液学及临床化学资料。采用单因素方差分析(ANOVA)比较各组的均数,结果以均数±标准差表示,以结果的p值判定显著性:本研究中,枇杷固定油的LD50为2818.32 mg/kg。根据世界卫生组织(World Health Organization)的说法,单次口服这种油被归类为轻度危险。在亚急性毒性研究中,经油处理的大鼠表现出明显的行为指标变化,如头勃起、嗜睡和震颤。脏器大体病理、体重、生化、血液学指标均出现紊乱。结论:本研究结果表明,苜蓿固定油具有一定的毒性作用。因此,至关重要的是,要使那些将这种种子用于医药目的和(或)将其油作为食用油食用的埃塞俄比亚公众认识到它们可能对健康造成的危害。
本文章由计算机程序翻译,如有差异,请以英文原文为准。

Toxic effects of <i>Lepidium sativum</i> seed fixed oil on Wistar albino rats in acute and subacute toxicity models.

Toxic effects of <i>Lepidium sativum</i> seed fixed oil on Wistar albino rats in acute and subacute toxicity models.

Toxic effects of <i>Lepidium sativum</i> seed fixed oil on Wistar albino rats in acute and subacute toxicity models.

Toxic effects of Lepidium sativum seed fixed oil on Wistar albino rats in acute and subacute toxicity models.

Introduction: L. sativum L. (family Brassicaceae) is a versatile herbal medicine in Ethiopia. The seed extract is widely employed in traditional medicine, whilst the seed oil is used as edible oil. However, there are no available studies conducted on the safety of the fixed oil of L. sativum seed in Ethiopia. Therefore, this study aimed to evaluate the acute and subacute toxicity of the oil in Wistar albino rats.

Methods: Acute and subacute toxicity studies were conducted in Wistar albino rats. A single oral dose of L. sativum seed oil was administered, and the animals were followed for 14 days. The subacute oral dose toxicity study was conducted in rats of both sexes by repeated 28-day toxicity test as per OECD guidelines. Body weight was measured weekly, and observations of the animals were made regularly throughout the study period. Organ weight, histopathology, hematology, and clinical chemistry data were collected on the 29th day. One-way analysis of variance (ANOVA) was used to compare the means of the comparison groups and the results were presented as mean ± standard deviation, and significance was determined at the P-value of <0.05.

Results: In this study, the LD50 of the fixed oil of L. sativum was found to be 2818.32 mg/kg. According to the World Health Organization, the oil is classified as slightly hazardous at a single oral dose administration. In the subacute toxicity study, rats treated with the oil showed significant changes behavioral indices such as piloerection, lethargy, and tremor. In addition, gross pathology of organs, body weight, biochemical, and hematological parameters were deranged.

Conclusion: The results of the present study demonstrated that the fixed oil of L. sativum has toxic effects. Therefore, it is highly essential to create awareness among the Ethiopian public who use the seeds for medicinal purposes and/or consume the oil as edible oil about the possible health hazards that they may pose.

求助全文
通过发布文献求助,成功后即可免费获取论文全文。 去求助
来源期刊
CiteScore
3.80
自引率
0.00%
发文量
0
审稿时长
13 weeks
×
引用
GB/T 7714-2015
复制
MLA
复制
APA
复制
导出至
BibTeX EndNote RefMan NoteFirst NoteExpress
×
提示
您的信息不完整,为了账户安全,请先补充。
现在去补充
×
提示
您因"违规操作"
具体请查看互助需知
我知道了
×
提示
确定
请完成安全验证×
copy
已复制链接
快去分享给好友吧!
我知道了
右上角分享
点击右上角分享
0
联系我们:info@booksci.cn Book学术提供免费学术资源搜索服务,方便国内外学者检索中英文文献。致力于提供最便捷和优质的服务体验。 Copyright © 2023 布克学术 All rights reserved.
京ICP备2023020795号-1
ghs 京公网安备 11010802042870号
Book学术文献互助
Book学术文献互助群
群 号:604180095
Book学术官方微信