颅底软骨骨呼吸上皮腺瘤样错构瘤1例报告及文献复习。

IF 0.7 Q4 CLINICAL NEUROLOGY
Journal of Neurological Surgery Reports Pub Date : 2025-04-03 eCollection Date: 2025-04-01 DOI:10.1055/a-2556-0732
Monica S Trent, Beverly Wang, Edward C Kuan
{"title":"颅底软骨骨呼吸上皮腺瘤样错构瘤1例报告及文献复习。","authors":"Monica S Trent, Beverly Wang, Edward C Kuan","doi":"10.1055/a-2556-0732","DOIUrl":null,"url":null,"abstract":"<p><strong>Objective: </strong>Chondro-osseous respiratory epithelial adenomatoid hamartoma (COREAH) is a rare benign growth within the nasal cavity or paranasal sinuses. We aim to highlight the pathogenesis and clinical presentation of an extremely rare benign mass within the nasal cavity and demonstrate the workup, diagnosis, and management of this rare lesion, as well as review the literature.</p><p><strong>Methods: </strong>Retrospective review of a patient presenting with COREAH of the sinonasal cavity treated at a single tertiary academic medical center. The MEDLINE database was additionally searched for all case series or reports of sinonasal or skull base COREAH.</p><p><strong>Results: </strong>A total of sixteen articles were identified for review. In addition to the current case, a total of nineteen patients were identified in literature found to have sinonasal or skull base COREAH. The most common primary sites of attachment were the lateral nasal wall and posterior septum. Only two cases were identified with skull base attachment. Computed topography (CT) was employed in 84.2% of patients, and CT with MRI was utilized in 26.3% of patients. Endoscopic resection was performed in 100% of patients, with one recurrence reported in the literature and one incomplete resection requiring revision surgery.</p><p><strong>Conclusion: </strong>COREAH is an extremely rare hamartoma consisting of glandular proliferation with cartilaginous and osseous stroma. COREAH is symptomatic in 100% of reported cases in the literature, and complete surgical resection is often curative. Our case represents the longest follow-up reported with 4 years postoperatively revealing no growth or recurrence of COREAH.</p>","PeriodicalId":44256,"journal":{"name":"Journal of Neurological Surgery Reports","volume":"86 2","pages":"e50-e56"},"PeriodicalIF":0.7000,"publicationDate":"2025-04-03","publicationTypes":"Journal Article","fieldsOfStudy":null,"isOpenAccess":false,"openAccessPdf":"https://www.ncbi.nlm.nih.gov/pmc/articles/PMC11968135/pdf/","citationCount":"0","resultStr":"{\"title\":\"Chondro-Osseous Respiratory Epithelial Adenomatoid Hamartoma of the Skull Base: Report of a Case and Literature Review.\",\"authors\":\"Monica S Trent, Beverly Wang, Edward C Kuan\",\"doi\":\"10.1055/a-2556-0732\",\"DOIUrl\":null,\"url\":null,\"abstract\":\"<p><strong>Objective: </strong>Chondro-osseous respiratory epithelial adenomatoid hamartoma (COREAH) is a rare benign growth within the nasal cavity or paranasal sinuses. We aim to highlight the pathogenesis and clinical presentation of an extremely rare benign mass within the nasal cavity and demonstrate the workup, diagnosis, and management of this rare lesion, as well as review the literature.</p><p><strong>Methods: </strong>Retrospective review of a patient presenting with COREAH of the sinonasal cavity treated at a single tertiary academic medical center. The MEDLINE database was additionally searched for all case series or reports of sinonasal or skull base COREAH.</p><p><strong>Results: </strong>A total of sixteen articles were identified for review. In addition to the current case, a total of nineteen patients were identified in literature found to have sinonasal or skull base COREAH. The most common primary sites of attachment were the lateral nasal wall and posterior septum. Only two cases were identified with skull base attachment. Computed topography (CT) was employed in 84.2% of patients, and CT with MRI was utilized in 26.3% of patients. Endoscopic resection was performed in 100% of patients, with one recurrence reported in the literature and one incomplete resection requiring revision surgery.</p><p><strong>Conclusion: </strong>COREAH is an extremely rare hamartoma consisting of glandular proliferation with cartilaginous and osseous stroma. COREAH is symptomatic in 100% of reported cases in the literature, and complete surgical resection is often curative. Our case represents the longest follow-up reported with 4 years postoperatively revealing no growth or recurrence of COREAH.</p>\",\"PeriodicalId\":44256,\"journal\":{\"name\":\"Journal of Neurological Surgery Reports\",\"volume\":\"86 2\",\"pages\":\"e50-e56\"},\"PeriodicalIF\":0.7000,\"publicationDate\":\"2025-04-03\",\"publicationTypes\":\"Journal Article\",\"fieldsOfStudy\":null,\"isOpenAccess\":false,\"openAccessPdf\":\"https://www.ncbi.nlm.nih.gov/pmc/articles/PMC11968135/pdf/\",\"citationCount\":\"0\",\"resultStr\":null,\"platform\":\"Semanticscholar\",\"paperid\":null,\"PeriodicalName\":\"Journal of Neurological Surgery Reports\",\"FirstCategoryId\":\"1085\",\"ListUrlMain\":\"https://doi.org/10.1055/a-2556-0732\",\"RegionNum\":0,\"RegionCategory\":null,\"ArticlePicture\":[],\"TitleCN\":null,\"AbstractTextCN\":null,\"PMCID\":null,\"EPubDate\":\"2025/4/1 0:00:00\",\"PubModel\":\"eCollection\",\"JCR\":\"Q4\",\"JCRName\":\"CLINICAL NEUROLOGY\",\"Score\":null,\"Total\":0}","platform":"Semanticscholar","paperid":null,"PeriodicalName":"Journal of Neurological Surgery Reports","FirstCategoryId":"1085","ListUrlMain":"https://doi.org/10.1055/a-2556-0732","RegionNum":0,"RegionCategory":null,"ArticlePicture":[],"TitleCN":null,"AbstractTextCN":null,"PMCID":null,"EPubDate":"2025/4/1 0:00:00","PubModel":"eCollection","JCR":"Q4","JCRName":"CLINICAL NEUROLOGY","Score":null,"Total":0}
引用次数: 0

摘要

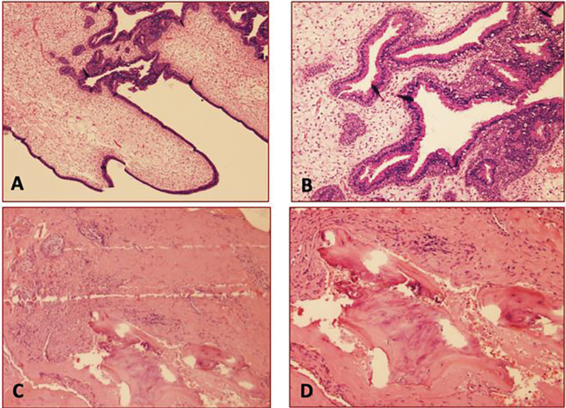
目的:软骨骨呼吸上皮腺瘤样错构瘤(COREAH)是一种罕见的鼻腔或鼻窦内的良性肿瘤。我们的目的是强调一个极其罕见的鼻腔良性肿块的发病机制和临床表现,并展示这种罕见病变的检查,诊断和治疗,以及复习文献。方法:回顾性分析在某三级学术医疗中心就诊的1例鼻腔COREAH患者。MEDLINE数据库还检索了所有鼻窦或颅底COREAH的病例系列或报告。结果:共纳入16篇文献。除本病例外,文献中共有19例患者被发现患有鼻窦或颅底COREAH。最常见的原发附着部位为鼻外侧壁和后鼻中隔。仅有2例确诊为颅底附着。84.2%的患者使用了CT, 26.3%的患者使用了CT和MRI。100%的患者进行了内镜切除,文献中报道了一例复发,一例不完全切除需要翻修手术。结论:COREAH是一种极为罕见的错构瘤,由腺体增生伴软骨和骨间质组成。COREAH在文献报道的病例中100%是有症状的,完全手术切除通常是可以治愈的。我们的病例是报道的最长随访时间,术后4年未发现COREAH的生长或复发。
本文章由计算机程序翻译,如有差异,请以英文原文为准。

Chondro-Osseous Respiratory Epithelial Adenomatoid Hamartoma of the Skull Base: Report of a Case and Literature Review.

Chondro-Osseous Respiratory Epithelial Adenomatoid Hamartoma of the Skull Base: Report of a Case and Literature Review.

Chondro-Osseous Respiratory Epithelial Adenomatoid Hamartoma of the Skull Base: Report of a Case and Literature Review.

Objective: Chondro-osseous respiratory epithelial adenomatoid hamartoma (COREAH) is a rare benign growth within the nasal cavity or paranasal sinuses. We aim to highlight the pathogenesis and clinical presentation of an extremely rare benign mass within the nasal cavity and demonstrate the workup, diagnosis, and management of this rare lesion, as well as review the literature.

Methods: Retrospective review of a patient presenting with COREAH of the sinonasal cavity treated at a single tertiary academic medical center. The MEDLINE database was additionally searched for all case series or reports of sinonasal or skull base COREAH.

Results: A total of sixteen articles were identified for review. In addition to the current case, a total of nineteen patients were identified in literature found to have sinonasal or skull base COREAH. The most common primary sites of attachment were the lateral nasal wall and posterior septum. Only two cases were identified with skull base attachment. Computed topography (CT) was employed in 84.2% of patients, and CT with MRI was utilized in 26.3% of patients. Endoscopic resection was performed in 100% of patients, with one recurrence reported in the literature and one incomplete resection requiring revision surgery.

Conclusion: COREAH is an extremely rare hamartoma consisting of glandular proliferation with cartilaginous and osseous stroma. COREAH is symptomatic in 100% of reported cases in the literature, and complete surgical resection is often curative. Our case represents the longest follow-up reported with 4 years postoperatively revealing no growth or recurrence of COREAH.

求助全文
通过发布文献求助,成功后即可免费获取论文全文。 去求助
来源期刊
自引率
0.00%
发文量
31
审稿时长
12 weeks
×
引用
GB/T 7714-2015
复制
MLA
复制
APA
复制
导出至
BibTeX EndNote RefMan NoteFirst NoteExpress
×
提示
您的信息不完整,为了账户安全,请先补充。
现在去补充
×
提示
您因"违规操作"
具体请查看互助需知
我知道了
×
提示
确定
请完成安全验证×
copy
已复制链接
快去分享给好友吧!
我知道了
右上角分享
点击右上角分享
0
联系我们:info@booksci.cn Book学术提供免费学术资源搜索服务,方便国内外学者检索中英文文献。致力于提供最便捷和优质的服务体验。 Copyright © 2023 布克学术 All rights reserved.
京ICP备2023020795号-1
ghs 京公网安备 11010802042870号
Book学术文献互助
Book学术文献互助群
群 号:604180095
Book学术官方微信