基于人工智能的 AudaxCeph 软件、Dolphin 软件和手动技术在正畸地标识别和描记侧头影方面的准确性比较。

IF 2.1 Q3 DENTISTRY, ORAL SURGERY & MEDICINE
Imaging Science in Dentistry Pub Date : 2025-03-01 Epub Date: 2024-12-06 DOI:10.5624/isd.20240089
Maryam Foroozandeh, Fatemeh Salemi, Abbas Shokri, Nasrin Farhadian, Nesa Aeini, Roghayyeh Hassanzadeh
{"title":"基于人工智能的 AudaxCeph 软件、Dolphin 软件和手动技术在正畸地标识别和描记侧头影方面的准确性比较。","authors":"Maryam Foroozandeh, Fatemeh Salemi, Abbas Shokri, Nasrin Farhadian, Nesa Aeini, Roghayyeh Hassanzadeh","doi":"10.5624/isd.20240089","DOIUrl":null,"url":null,"abstract":"<p><strong>Purpose: </strong>The aim of this study was to compare the accuracy of AI-based AudaxCeph software, Dolphin software, and the manual technique for identifying orthodontic landmarks and tracing lateral cephalograms.</p><p><strong>Materials and methods: </strong>In this cross-sectional study, 23 anatomical landmarks were identified on 60 randomly selected lateral cephalograms, and 5 dental indices, 4 skeletal indices, and 1 soft tissue index were measured. Each cephalogram was traced using 4 different methods: manually, with the Dolphin software, with the AudaxCeph software automatically, and with the AudaxCeph software in semi-automatic mode. The intra-class correlation coefficient (ICC) and Bland-Altman plots were used to evaluate the agreement between methods. Inter-observer and intra-observer agreements, calculated using the ICC, confirmed the accuracy, reliability, and reproducibility of the results.</p><p><strong>Results: </strong>There was strong agreement among the AudexCeph (semi-automated or automated) AudaxCeph, Dolphin, and manual methods in measuring orthodontic indices, with ICC values consistently above 0.90. Bland-Altman plots confirmed satisfactory agreement between both versions of AudaxCeph (semi-automated and automated) with the manual method, with mean differences close to 0 and about 95% of data points within the limits of agreement. However, the semi-automated AudaxCeph showed greater agreement and precision than the automated version, as indicated by narrower limits of agreement. The ICC values for inter-observer and intra-observer agreements exceeded 0.98 and 0.99, respectively.</p><p><strong>Conclusion: </strong>The semi-automated AudaxCeph software offers a robust and cost-effective solution for cephalometric analysis. Its high accuracy and affordability make it a compelling alternative to Dolphin software and the manual method.</p>","PeriodicalId":51714,"journal":{"name":"Imaging Science in Dentistry","volume":"55 1","pages":"11-21"},"PeriodicalIF":2.1000,"publicationDate":"2025-03-01","publicationTypes":"Journal Article","fieldsOfStudy":null,"isOpenAccess":false,"openAccessPdf":"https://www.ncbi.nlm.nih.gov/pmc/articles/PMC11966017/pdf/","citationCount":"0","resultStr":"{\"title\":\"Comparative accuracy of artificial intelligence-based AudaxCeph software, Dolphin software, and the manual technique for orthodontic landmark identification and tracing of lateral cephalograms.\",\"authors\":\"Maryam Foroozandeh, Fatemeh Salemi, Abbas Shokri, Nasrin Farhadian, Nesa Aeini, Roghayyeh Hassanzadeh\",\"doi\":\"10.5624/isd.20240089\",\"DOIUrl\":null,\"url\":null,\"abstract\":\"<p><strong>Purpose: </strong>The aim of this study was to compare the accuracy of AI-based AudaxCeph software, Dolphin software, and the manual technique for identifying orthodontic landmarks and tracing lateral cephalograms.</p><p><strong>Materials and methods: </strong>In this cross-sectional study, 23 anatomical landmarks were identified on 60 randomly selected lateral cephalograms, and 5 dental indices, 4 skeletal indices, and 1 soft tissue index were measured. Each cephalogram was traced using 4 different methods: manually, with the Dolphin software, with the AudaxCeph software automatically, and with the AudaxCeph software in semi-automatic mode. The intra-class correlation coefficient (ICC) and Bland-Altman plots were used to evaluate the agreement between methods. Inter-observer and intra-observer agreements, calculated using the ICC, confirmed the accuracy, reliability, and reproducibility of the results.</p><p><strong>Results: </strong>There was strong agreement among the AudexCeph (semi-automated or automated) AudaxCeph, Dolphin, and manual methods in measuring orthodontic indices, with ICC values consistently above 0.90. Bland-Altman plots confirmed satisfactory agreement between both versions of AudaxCeph (semi-automated and automated) with the manual method, with mean differences close to 0 and about 95% of data points within the limits of agreement. However, the semi-automated AudaxCeph showed greater agreement and precision than the automated version, as indicated by narrower limits of agreement. The ICC values for inter-observer and intra-observer agreements exceeded 0.98 and 0.99, respectively.</p><p><strong>Conclusion: </strong>The semi-automated AudaxCeph software offers a robust and cost-effective solution for cephalometric analysis. Its high accuracy and affordability make it a compelling alternative to Dolphin software and the manual method.</p>\",\"PeriodicalId\":51714,\"journal\":{\"name\":\"Imaging Science in Dentistry\",\"volume\":\"55 1\",\"pages\":\"11-21\"},\"PeriodicalIF\":2.1000,\"publicationDate\":\"2025-03-01\",\"publicationTypes\":\"Journal Article\",\"fieldsOfStudy\":null,\"isOpenAccess\":false,\"openAccessPdf\":\"https://www.ncbi.nlm.nih.gov/pmc/articles/PMC11966017/pdf/\",\"citationCount\":\"0\",\"resultStr\":null,\"platform\":\"Semanticscholar\",\"paperid\":null,\"PeriodicalName\":\"Imaging Science in Dentistry\",\"FirstCategoryId\":\"1085\",\"ListUrlMain\":\"https://doi.org/10.5624/isd.20240089\",\"RegionNum\":0,\"RegionCategory\":null,\"ArticlePicture\":[],\"TitleCN\":null,\"AbstractTextCN\":null,\"PMCID\":null,\"EPubDate\":\"2024/12/6 0:00:00\",\"PubModel\":\"Epub\",\"JCR\":\"Q3\",\"JCRName\":\"DENTISTRY, ORAL SURGERY & MEDICINE\",\"Score\":null,\"Total\":0}","platform":"Semanticscholar","paperid":null,"PeriodicalName":"Imaging Science in Dentistry","FirstCategoryId":"1085","ListUrlMain":"https://doi.org/10.5624/isd.20240089","RegionNum":0,"RegionCategory":null,"ArticlePicture":[],"TitleCN":null,"AbstractTextCN":null,"PMCID":null,"EPubDate":"2024/12/6 0:00:00","PubModel":"Epub","JCR":"Q3","JCRName":"DENTISTRY, ORAL SURGERY & MEDICINE","Score":null,"Total":0}
引用次数: 0

摘要

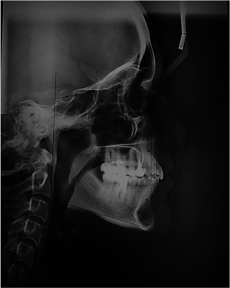
目的:本研究的目的是比较基于人工智能的AudaxCeph软件、Dolphin软件和手工技术识别正畸标志和追踪侧位脑电图的准确性。材料与方法:在横断面研究中,随机选取60张侧位头片,识别23个解剖标志,测量5个牙齿指标、4个骨骼指标和1个软组织指标。每个脑电图图使用4种不同的方法进行跟踪:手动、使用Dolphin软件、自动使用AudaxCeph软件以及半自动模式下使用AudaxCeph软件。使用类内相关系数(ICC)和Bland-Altman图来评估方法之间的一致性。使用ICC计算的观察员之间和观察员内部协议确认了结果的准确性、可靠性和可重复性。结果:AudexCeph(半自动或自动化)、Dolphin和手动测量正畸指数的方法具有很强的一致性,ICC值均在0.90以上。Bland-Altman图证实了两种版本的AudaxCeph(半自动和自动化)与手动方法之间令人满意的一致性,平均差异接近于0,约95%的数据点在一致性范围内。然而,半自动化的AudaxCeph显示出比自动化版本更高的一致性和精度,正如更窄的一致性限制所表明的那样。观察员间和观察员内部协议的ICC值分别超过0.98和0.99。结论:半自动化的AudaxCeph软件为头颅测量分析提供了一个强大而经济的解决方案。它的高准确性和可负担性使其成为海豚软件和手动方法的令人信服的替代品。
本文章由计算机程序翻译,如有差异,请以英文原文为准。

Comparative accuracy of artificial intelligence-based AudaxCeph software, Dolphin software, and the manual technique for orthodontic landmark identification and tracing of lateral cephalograms.

Comparative accuracy of artificial intelligence-based AudaxCeph software, Dolphin software, and the manual technique for orthodontic landmark identification and tracing of lateral cephalograms.

Comparative accuracy of artificial intelligence-based AudaxCeph software, Dolphin software, and the manual technique for orthodontic landmark identification and tracing of lateral cephalograms.

Comparative accuracy of artificial intelligence-based AudaxCeph software, Dolphin software, and the manual technique for orthodontic landmark identification and tracing of lateral cephalograms.

Purpose: The aim of this study was to compare the accuracy of AI-based AudaxCeph software, Dolphin software, and the manual technique for identifying orthodontic landmarks and tracing lateral cephalograms.

Materials and methods: In this cross-sectional study, 23 anatomical landmarks were identified on 60 randomly selected lateral cephalograms, and 5 dental indices, 4 skeletal indices, and 1 soft tissue index were measured. Each cephalogram was traced using 4 different methods: manually, with the Dolphin software, with the AudaxCeph software automatically, and with the AudaxCeph software in semi-automatic mode. The intra-class correlation coefficient (ICC) and Bland-Altman plots were used to evaluate the agreement between methods. Inter-observer and intra-observer agreements, calculated using the ICC, confirmed the accuracy, reliability, and reproducibility of the results.

Results: There was strong agreement among the AudexCeph (semi-automated or automated) AudaxCeph, Dolphin, and manual methods in measuring orthodontic indices, with ICC values consistently above 0.90. Bland-Altman plots confirmed satisfactory agreement between both versions of AudaxCeph (semi-automated and automated) with the manual method, with mean differences close to 0 and about 95% of data points within the limits of agreement. However, the semi-automated AudaxCeph showed greater agreement and precision than the automated version, as indicated by narrower limits of agreement. The ICC values for inter-observer and intra-observer agreements exceeded 0.98 and 0.99, respectively.

Conclusion: The semi-automated AudaxCeph software offers a robust and cost-effective solution for cephalometric analysis. Its high accuracy and affordability make it a compelling alternative to Dolphin software and the manual method.

求助全文
通过发布文献求助,成功后即可免费获取论文全文。 去求助
来源期刊
Imaging Science in Dentistry
Imaging Science in Dentistry DENTISTRY, ORAL SURGERY & MEDICINE-
CiteScore
2.90
自引率
11.10%
发文量
42
×
引用
GB/T 7714-2015
复制
MLA
复制
APA
复制
导出至
BibTeX EndNote RefMan NoteFirst NoteExpress
×
提示
您的信息不完整,为了账户安全,请先补充。
现在去补充
×
提示
您因"违规操作"
具体请查看互助需知
我知道了
×
提示
确定
请完成安全验证×
copy
已复制链接
快去分享给好友吧!
我知道了
右上角分享
点击右上角分享
0
联系我们:info@booksci.cn Book学术提供免费学术资源搜索服务,方便国内外学者检索中英文文献。致力于提供最便捷和优质的服务体验。 Copyright © 2023 布克学术 All rights reserved.
京ICP备2023020795号-1
ghs 京公网安备 11010802042870号
Book学术文献互助
Book学术文献互助群
群 号:604180095
Book学术官方微信