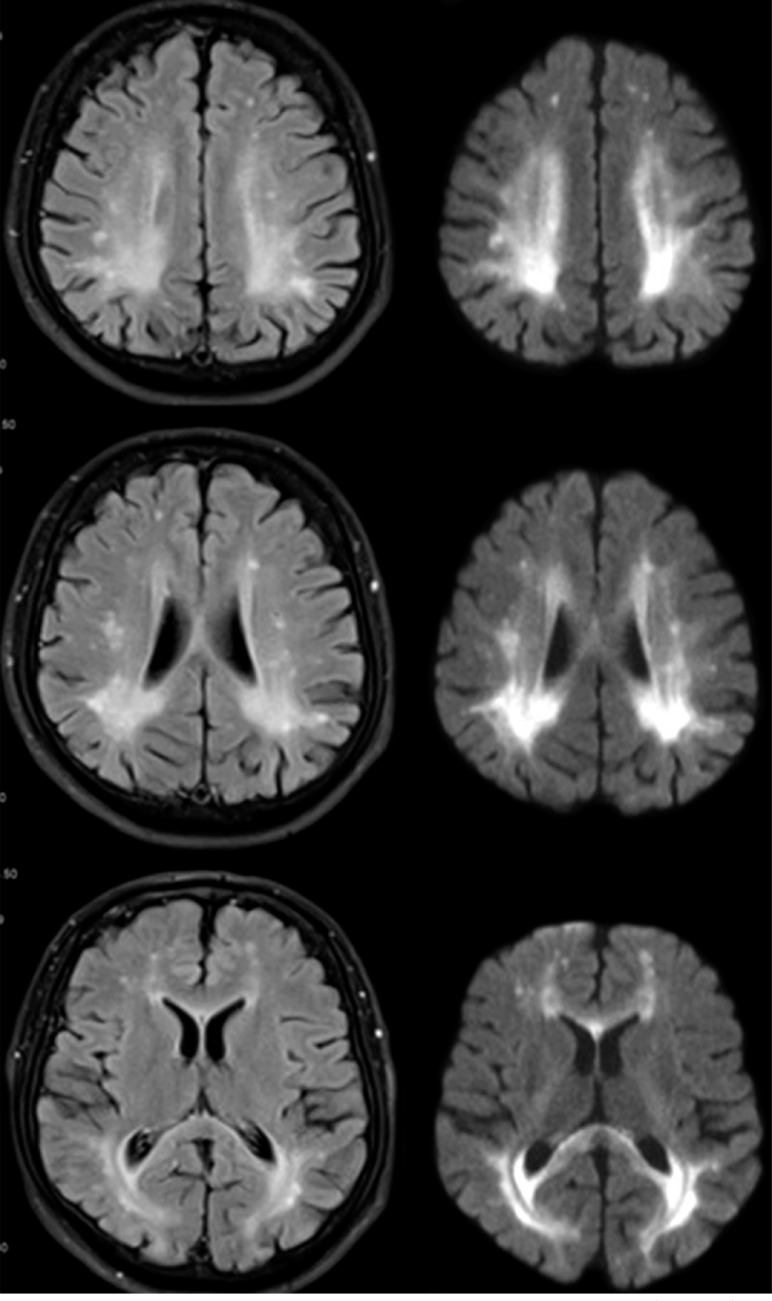
苯丙酮尿症成人的神经学表现。

IF 3.3 4区 医学 Q1 MEDICINE, GENERAL & INTERNAL
Archives of Medical Science Pub Date : 2025-02-26 eCollection Date: 2025-01-01 DOI:10.5114/aoms/201449
Patryk Sochań, Michał Białobrzewski, Patrycja J Sochań, Izabela Domitrz
{"title":"苯丙酮尿症成人的神经学表现。","authors":"Patryk Sochań, Michał Białobrzewski, Patrycja J Sochań, Izabela Domitrz","doi":"10.5114/aoms/201449","DOIUrl":null,"url":null,"abstract":"","PeriodicalId":8278,"journal":{"name":"Archives of Medical Science","volume":"21 1","pages":"346-348"},"PeriodicalIF":3.3000,"publicationDate":"2025-02-26","publicationTypes":"Journal Article","fieldsOfStudy":null,"isOpenAccess":false,"openAccessPdf":"https://www.ncbi.nlm.nih.gov/pmc/articles/PMC11969542/pdf/","citationCount":"0","resultStr":"{\"title\":\"Neurological manifestations in an adult with phenylketonuria.\",\"authors\":\"Patryk Sochań, Michał Białobrzewski, Patrycja J Sochań, Izabela Domitrz\",\"doi\":\"10.5114/aoms/201449\",\"DOIUrl\":null,\"url\":null,\"abstract\":\"\",\"PeriodicalId\":8278,\"journal\":{\"name\":\"Archives of Medical Science\",\"volume\":\"21 1\",\"pages\":\"346-348\"},\"PeriodicalIF\":3.3000,\"publicationDate\":\"2025-02-26\",\"publicationTypes\":\"Journal Article\",\"fieldsOfStudy\":null,\"isOpenAccess\":false,\"openAccessPdf\":\"https://www.ncbi.nlm.nih.gov/pmc/articles/PMC11969542/pdf/\",\"citationCount\":\"0\",\"resultStr\":null,\"platform\":\"Semanticscholar\",\"paperid\":null,\"PeriodicalName\":\"Archives of Medical Science\",\"FirstCategoryId\":\"3\",\"ListUrlMain\":\"https://doi.org/10.5114/aoms/201449\",\"RegionNum\":4,\"RegionCategory\":\"医学\",\"ArticlePicture\":[],\"TitleCN\":null,\"AbstractTextCN\":null,\"PMCID\":null,\"EPubDate\":\"2025/1/1 0:00:00\",\"PubModel\":\"eCollection\",\"JCR\":\"Q1\",\"JCRName\":\"MEDICINE, GENERAL & INTERNAL\",\"Score\":null,\"Total\":0}","platform":"Semanticscholar","paperid":null,"PeriodicalName":"Archives of Medical Science","FirstCategoryId":"3","ListUrlMain":"https://doi.org/10.5114/aoms/201449","RegionNum":4,"RegionCategory":"医学","ArticlePicture":[],"TitleCN":null,"AbstractTextCN":null,"PMCID":null,"EPubDate":"2025/1/1 0:00:00","PubModel":"eCollection","JCR":"Q1","JCRName":"MEDICINE, GENERAL & INTERNAL","Score":null,"Total":0}
引用次数: 0

摘要

本文章由计算机程序翻译,如有差异,请以英文原文为准。

Neurological manifestations in an adult with phenylketonuria.

Neurological manifestations in an adult with phenylketonuria.
求助全文
通过发布文献求助,成功后即可免费获取论文全文。 去求助
来源期刊
Archives of Medical Science
Archives of Medical Science 医学-医学:内科
CiteScore
4.90
自引率
7.90%
发文量
139
审稿时长
1.7 months
期刊介绍: Archives of Medical Science (AMS) publishes high quality original articles and reviews of recognized scientists that deal with all scientific medicine. AMS opens the possibilities for young, capable scientists. The journal would like to give them a chance to have a publication following matter-of-fact, professional review by outstanding, famous medical scientists. Thanks to that they will have an opportunity to present their study results and/or receive useful advice about the mistakes they have made so far. The second equally important aim is a presentation of review manuscripts of recognized scientists about the educational capacity, in order that young scientists, often at the beginning of their scientific carrier, could constantly deepen their medical knowledge and be up-to-date with current guidelines and trends in world-wide medicine. The fact that our educational articles are written by world-famous scientists determines their innovation and the highest quality.
×
引用
GB/T 7714-2015
复制
MLA
复制
APA
复制
导出至
BibTeX EndNote RefMan NoteFirst NoteExpress
×
提示
您的信息不完整,为了账户安全,请先补充。
现在去补充
×
提示
您因"违规操作"
具体请查看互助需知
我知道了
×
提示
确定
请完成安全验证×
copy
已复制链接
快去分享给好友吧!
我知道了
右上角分享
点击右上角分享
0
联系我们:info@booksci.cn Book学术提供免费学术资源搜索服务,方便国内外学者检索中英文文献。致力于提供最便捷和优质的服务体验。 Copyright © 2023 布克学术 All rights reserved.
京ICP备2023020795号-1
ghs 京公网安备 11010802042870号
Book学术文献互助
Book学术文献互助群
群 号:604180095
Book学术官方微信