先前机械通气和应激性溃疡预防患者吞钡后胃穿孔和腹膜炎:一种罕见但严重的并发症

IF 0.6 Q3 MEDICINE, GENERAL & INTERNAL
Katrina J. Villegas, Islam Rajab, Hala Moussa, Mira Hallak, Patrick Michael
{"title":"先前机械通气和应激性溃疡预防患者吞钡后胃穿孔和腹膜炎:一种罕见但严重的并发症","authors":"Katrina J. Villegas,&nbsp;Islam Rajab,&nbsp;Hala Moussa,&nbsp;Mira Hallak,&nbsp;Patrick Michael","doi":"10.1002/ccr3.70414","DOIUrl":null,"url":null,"abstract":"<p>Gastric perforation is a serious yet rare complication in critically ill patients on mechanical ventilation and GI prophylaxis. This report highlights an unexpected gastric perforation in a patient with a negative barium swallow study while receiving GI prophylaxis during intubation. A 65-year-old male with COPD and tobacco use disorder was treated with Oseltamivir for Influenza A infection, intubated for acute respiratory failure, and received IV pantoprazole for GI prophylaxis. After extubation and an unremarkable barium swallow study, he developed abdominal pain and tachycardia. Imaging showed free air under the diaphragm, and a CT scan indicated gastrointestinal perforation. Emergency surgery confirmed an anterior gastric ulcer perforation with purulent peritonitis. He was successfully treated with a washout and antibiotics and was discharged in stable condition. This case underscores the necessity of vigilance for abdominal symptoms and the potential for gastric perforation in critically ill patients despite GI prophylaxis, highlighting the importance of recognizing early signs of pneumoperitoneum.</p>","PeriodicalId":10327,"journal":{"name":"Clinical Case Reports","volume":"13 4","pages":""},"PeriodicalIF":0.6000,"publicationDate":"2025-04-07","publicationTypes":"Journal Article","fieldsOfStudy":null,"isOpenAccess":false,"openAccessPdf":"https://onlinelibrary.wiley.com/doi/epdf/10.1002/ccr3.70414","citationCount":"0","resultStr":"{\"title\":\"Gastric Perforation and Peritonitis Following Barium Swallow in a Patient With Prior Mechanical Ventilation and Stress Ulcer Prophylaxis: A Rare but Critical Complication\",\"authors\":\"Katrina J. Villegas,&nbsp;Islam Rajab,&nbsp;Hala Moussa,&nbsp;Mira Hallak,&nbsp;Patrick Michael\",\"doi\":\"10.1002/ccr3.70414\",\"DOIUrl\":null,\"url\":null,\"abstract\":\"<p>Gastric perforation is a serious yet rare complication in critically ill patients on mechanical ventilation and GI prophylaxis. This report highlights an unexpected gastric perforation in a patient with a negative barium swallow study while receiving GI prophylaxis during intubation. A 65-year-old male with COPD and tobacco use disorder was treated with Oseltamivir for Influenza A infection, intubated for acute respiratory failure, and received IV pantoprazole for GI prophylaxis. After extubation and an unremarkable barium swallow study, he developed abdominal pain and tachycardia. Imaging showed free air under the diaphragm, and a CT scan indicated gastrointestinal perforation. Emergency surgery confirmed an anterior gastric ulcer perforation with purulent peritonitis. He was successfully treated with a washout and antibiotics and was discharged in stable condition. This case underscores the necessity of vigilance for abdominal symptoms and the potential for gastric perforation in critically ill patients despite GI prophylaxis, highlighting the importance of recognizing early signs of pneumoperitoneum.</p>\",\"PeriodicalId\":10327,\"journal\":{\"name\":\"Clinical Case Reports\",\"volume\":\"13 4\",\"pages\":\"\"},\"PeriodicalIF\":0.6000,\"publicationDate\":\"2025-04-07\",\"publicationTypes\":\"Journal Article\",\"fieldsOfStudy\":null,\"isOpenAccess\":false,\"openAccessPdf\":\"https://onlinelibrary.wiley.com/doi/epdf/10.1002/ccr3.70414\",\"citationCount\":\"0\",\"resultStr\":null,\"platform\":\"Semanticscholar\",\"paperid\":null,\"PeriodicalName\":\"Clinical Case Reports\",\"FirstCategoryId\":\"1085\",\"ListUrlMain\":\"https://onlinelibrary.wiley.com/doi/10.1002/ccr3.70414\",\"RegionNum\":0,\"RegionCategory\":null,\"ArticlePicture\":[],\"TitleCN\":null,\"AbstractTextCN\":null,\"PMCID\":null,\"EPubDate\":\"\",\"PubModel\":\"\",\"JCR\":\"Q3\",\"JCRName\":\"MEDICINE, GENERAL & INTERNAL\",\"Score\":null,\"Total\":0}","platform":"Semanticscholar","paperid":null,"PeriodicalName":"Clinical Case Reports","FirstCategoryId":"1085","ListUrlMain":"https://onlinelibrary.wiley.com/doi/10.1002/ccr3.70414","RegionNum":0,"RegionCategory":null,"ArticlePicture":[],"TitleCN":null,"AbstractTextCN":null,"PMCID":null,"EPubDate":"","PubModel":"","JCR":"Q3","JCRName":"MEDICINE, GENERAL & INTERNAL","Score":null,"Total":0}
引用次数: 0

摘要

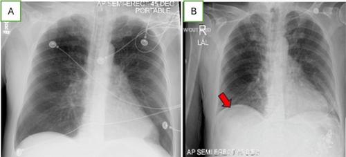
胃穿孔是危重病人在机械通气和胃肠道预防治疗中严重而罕见的并发症。本报告重点介绍了在插管期间接受胃肠道预防治疗时,吞下钡阴性研究的患者意外胃穿孔。一名患有慢性阻塞性肺病和烟草使用障碍的65岁男性因甲型流感感染接受奥司他韦治疗,因急性呼吸衰竭接受插管治疗,并接受静脉注射泮托拉唑进行胃肠道预防。拔管和一个不起眼的钡餐检查后,他出现腹痛和心动过速。影像显示膈下有游离空气,CT扫描显示胃肠道穿孔。急诊手术证实前胃溃疡穿孔并化脓性腹膜炎。患者经冲洗和抗生素治疗成功,出院时情况稳定。本病例强调了对腹部症状保持警惕的必要性,以及危重患者尽管进行了胃肠道预防,但仍有可能发生胃穿孔,强调了识别气腹早期症状的重要性。
本文章由计算机程序翻译,如有差异,请以英文原文为准。

Gastric Perforation and Peritonitis Following Barium Swallow in a Patient With Prior Mechanical Ventilation and Stress Ulcer Prophylaxis: A Rare but Critical Complication

Gastric Perforation and Peritonitis Following Barium Swallow in a Patient With Prior Mechanical Ventilation and Stress Ulcer Prophylaxis: A Rare but Critical Complication

Gastric perforation is a serious yet rare complication in critically ill patients on mechanical ventilation and GI prophylaxis. This report highlights an unexpected gastric perforation in a patient with a negative barium swallow study while receiving GI prophylaxis during intubation. A 65-year-old male with COPD and tobacco use disorder was treated with Oseltamivir for Influenza A infection, intubated for acute respiratory failure, and received IV pantoprazole for GI prophylaxis. After extubation and an unremarkable barium swallow study, he developed abdominal pain and tachycardia. Imaging showed free air under the diaphragm, and a CT scan indicated gastrointestinal perforation. Emergency surgery confirmed an anterior gastric ulcer perforation with purulent peritonitis. He was successfully treated with a washout and antibiotics and was discharged in stable condition. This case underscores the necessity of vigilance for abdominal symptoms and the potential for gastric perforation in critically ill patients despite GI prophylaxis, highlighting the importance of recognizing early signs of pneumoperitoneum.

求助全文
通过发布文献求助,成功后即可免费获取论文全文。 去求助
来源期刊
Clinical Case Reports
Clinical Case Reports MEDICINE, GENERAL & INTERNAL-
自引率
14.30%
发文量
1268
审稿时长
13 weeks
期刊介绍: Clinical Case Reports is different from other case report journals. Our aim is to directly improve global health and increase clinical understanding using case reports to convey important best practice information. We welcome case reports from all areas of Medicine, Nursing, Dentistry, and Veterinary Science and may include: -Any clinical case or procedure which illustrates an important best practice teaching message -Any clinical case or procedure which illustrates the appropriate use of an important clinical guideline or systematic review. As well as: -The management of novel or very uncommon diseases -A common disease presenting in an uncommon way -An uncommon disease masquerading as something more common -Cases which expand understanding of disease pathogenesis -Cases where the teaching point is based on an error -Cases which allow us to re-think established medical lore -Unreported adverse effects of interventions (drug, procedural, or other).
×
引用
GB/T 7714-2015
复制
MLA
复制
APA
复制
导出至
BibTeX EndNote RefMan NoteFirst NoteExpress
×
提示
您的信息不完整,为了账户安全,请先补充。
现在去补充
×
提示
您因"违规操作"
具体请查看互助需知
我知道了
×
提示
确定
请完成安全验证×
copy
已复制链接
快去分享给好友吧!
我知道了
右上角分享
点击右上角分享
0
联系我们:info@booksci.cn Book学术提供免费学术资源搜索服务,方便国内外学者检索中英文文献。致力于提供最便捷和优质的服务体验。 Copyright © 2023 布克学术 All rights reserved.
京ICP备2023020795号-1
ghs 京公网安备 11010802042870号
Book学术文献互助
Book学术文献互助群
群 号:604180095
Book学术官方微信