新型美学区即刻放置修复种植体的临床表现。前瞻性病例系列的3年随访

IF 5.3 1区 医学 Q1 DENTISTRY, ORAL SURGERY & MEDICINE
Frank Schwarz, Georgina Trimpou, Alexa Montada, Karina Obreja, Puria Parvini, Amira Begić
{"title":"新型美学区即刻放置修复种植体的临床表现。前瞻性病例系列的3年随访","authors":"Frank Schwarz,&nbsp;Georgina Trimpou,&nbsp;Alexa Montada,&nbsp;Karina Obreja,&nbsp;Puria Parvini,&nbsp;Amira Begić","doi":"10.1111/clr.14438","DOIUrl":null,"url":null,"abstract":"<div>\n \n \n <section>\n \n <h3> Aim</h3>\n \n <p>To assess the medium-term implant success and survival rates of immediately placed and restored implants with a novel design in the esthetic zone.</p>\n </section>\n \n <section>\n \n <h3> Materials and Methods</h3>\n \n <p>A total of <i>n</i> = 20 patients had received immediately placed tapered, two-part implants with a progressive thread design (PL) (<i>n</i> = 20) and an immediate “non full-functional” loading (patient-specific abutments) for single tooth replacements in the anterior maxilla. Implant survival and success (e.g., bleeding on probing—BOP, probing pocket depth—PD, mucosal recession—MR) were assessed at 24 and 36 months following final restoration (i.e., 12 weeks after implant placement). Patient-reported outcomes were evaluated at 36 months.</p>\n </section>\n \n <section>\n \n <h3> Results</h3>\n \n <p>A total of four patients were lost to follow-up, resulting in 16 patients included in the analysis. At 24 and 36 months, implant survival amounted to 100%, respectively. Non-significant changes to baseline were noted at 24 and 36 months for mean BOP (9.37 (29.7)%, 9.38 (26.5)%), PD (−0.45 (0.88)mm, −0.34 (0.74)mm), and MR (0.0 (0.0)mm, 0.0 (0.02)mm) values. Pink esthetic score—PES values amounted to 13.0 (1.22) and 12.62 (1.42) at 24 and 36 months. Technical and mechanical complications were not observed. Patients expressed an overall high satisfaction at 36 months.</p>\n </section>\n \n <section>\n \n <h3> Conclusions</h3>\n \n <p>The presented immediacy protocol was associated with high survival and success rates as well as a high patient satisfaction in the medium-term.</p>\n </section>\n </div>","PeriodicalId":10455,"journal":{"name":"Clinical Oral Implants Research","volume":"36 7","pages":"903-911"},"PeriodicalIF":5.3000,"publicationDate":"2025-04-06","publicationTypes":"Journal Article","fieldsOfStudy":null,"isOpenAccess":false,"openAccessPdf":"https://onlinelibrary.wiley.com/doi/epdf/10.1111/clr.14438","citationCount":"0","resultStr":"{\"title\":\"Clinical Performance of Immediately Placed and Restored Implants With a Novel Design in the Esthetic Zone. A 3-Year Follow-Up of Prospective Case Series\",\"authors\":\"Frank Schwarz,&nbsp;Georgina Trimpou,&nbsp;Alexa Montada,&nbsp;Karina Obreja,&nbsp;Puria Parvini,&nbsp;Amira Begić\",\"doi\":\"10.1111/clr.14438\",\"DOIUrl\":null,\"url\":null,\"abstract\":\"<div>\\n \\n \\n <section>\\n \\n <h3> Aim</h3>\\n \\n <p>To assess the medium-term implant success and survival rates of immediately placed and restored implants with a novel design in the esthetic zone.</p>\\n </section>\\n \\n <section>\\n \\n <h3> Materials and Methods</h3>\\n \\n <p>A total of <i>n</i> = 20 patients had received immediately placed tapered, two-part implants with a progressive thread design (PL) (<i>n</i> = 20) and an immediate “non full-functional” loading (patient-specific abutments) for single tooth replacements in the anterior maxilla. Implant survival and success (e.g., bleeding on probing—BOP, probing pocket depth—PD, mucosal recession—MR) were assessed at 24 and 36 months following final restoration (i.e., 12 weeks after implant placement). Patient-reported outcomes were evaluated at 36 months.</p>\\n </section>\\n \\n <section>\\n \\n <h3> Results</h3>\\n \\n <p>A total of four patients were lost to follow-up, resulting in 16 patients included in the analysis. At 24 and 36 months, implant survival amounted to 100%, respectively. Non-significant changes to baseline were noted at 24 and 36 months for mean BOP (9.37 (29.7)%, 9.38 (26.5)%), PD (−0.45 (0.88)mm, −0.34 (0.74)mm), and MR (0.0 (0.0)mm, 0.0 (0.02)mm) values. Pink esthetic score—PES values amounted to 13.0 (1.22) and 12.62 (1.42) at 24 and 36 months. Technical and mechanical complications were not observed. Patients expressed an overall high satisfaction at 36 months.</p>\\n </section>\\n \\n <section>\\n \\n <h3> Conclusions</h3>\\n \\n <p>The presented immediacy protocol was associated with high survival and success rates as well as a high patient satisfaction in the medium-term.</p>\\n </section>\\n </div>\",\"PeriodicalId\":10455,\"journal\":{\"name\":\"Clinical Oral Implants Research\",\"volume\":\"36 7\",\"pages\":\"903-911\"},\"PeriodicalIF\":5.3000,\"publicationDate\":\"2025-04-06\",\"publicationTypes\":\"Journal Article\",\"fieldsOfStudy\":null,\"isOpenAccess\":false,\"openAccessPdf\":\"https://onlinelibrary.wiley.com/doi/epdf/10.1111/clr.14438\",\"citationCount\":\"0\",\"resultStr\":null,\"platform\":\"Semanticscholar\",\"paperid\":null,\"PeriodicalName\":\"Clinical Oral Implants Research\",\"FirstCategoryId\":\"5\",\"ListUrlMain\":\"https://onlinelibrary.wiley.com/doi/10.1111/clr.14438\",\"RegionNum\":1,\"RegionCategory\":\"医学\",\"ArticlePicture\":[],\"TitleCN\":null,\"AbstractTextCN\":null,\"PMCID\":null,\"EPubDate\":\"\",\"PubModel\":\"\",\"JCR\":\"Q1\",\"JCRName\":\"DENTISTRY, ORAL SURGERY & MEDICINE\",\"Score\":null,\"Total\":0}","platform":"Semanticscholar","paperid":null,"PeriodicalName":"Clinical Oral Implants Research","FirstCategoryId":"5","ListUrlMain":"https://onlinelibrary.wiley.com/doi/10.1111/clr.14438","RegionNum":1,"RegionCategory":"医学","ArticlePicture":[],"TitleCN":null,"AbstractTextCN":null,"PMCID":null,"EPubDate":"","PubModel":"","JCR":"Q1","JCRName":"DENTISTRY, ORAL SURGERY & MEDICINE","Score":null,"Total":0}
引用次数: 0

摘要

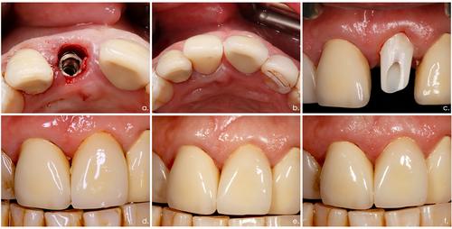
目的评价一种新型美学区即刻放置和修复种植体的中期种植成功率和成活率。材料和方法总共有n = 20名患者接受了立即放置的锥形、两部分种植体,采用渐进式螺纹设计(PL) (n = 20)和立即“非全功能”加载(患者特异性基台),用于上颌前牙单牙置换。在最终修复后24个月和36个月(即种植体放置后12周)评估种植体的存活和成功(例如,探针- bop出血,探针口袋深度- pd,粘膜退缩- mr)。患者报告的结果在36个月时进行评估。结果4例患者失访,16例患者纳入分析。在24个月和36个月时,种植体成活率分别为100%。在24和36个月时,平均BOP (9.37 (29.7)%, 9.38 (26.5)%), PD (- 0.45 (0.88)mm, - 0.34 (0.74)mm)和MR (0.0 (0.0)mm, 0.0 (0.02)mm)值与基线无显著变化。24个月和36个月时,粉红美学评分- pes值分别为13.0(1.22)和12.62(1.42)。未观察到技术和机械并发症。患者在36个月时总体满意度较高。结论提出的即刻治疗方案具有较高的生存率和成功率以及较高的中期患者满意度。
本文章由计算机程序翻译,如有差异,请以英文原文为准。

Clinical Performance of Immediately Placed and Restored Implants With a Novel Design in the Esthetic Zone. A 3-Year Follow-Up of Prospective Case Series

Clinical Performance of Immediately Placed and Restored Implants With a Novel Design in the Esthetic Zone. A 3-Year Follow-Up of Prospective Case Series

Aim

To assess the medium-term implant success and survival rates of immediately placed and restored implants with a novel design in the esthetic zone.

Materials and Methods

A total of n = 20 patients had received immediately placed tapered, two-part implants with a progressive thread design (PL) (n = 20) and an immediate “non full-functional” loading (patient-specific abutments) for single tooth replacements in the anterior maxilla. Implant survival and success (e.g., bleeding on probing—BOP, probing pocket depth—PD, mucosal recession—MR) were assessed at 24 and 36 months following final restoration (i.e., 12 weeks after implant placement). Patient-reported outcomes were evaluated at 36 months.

Results

A total of four patients were lost to follow-up, resulting in 16 patients included in the analysis. At 24 and 36 months, implant survival amounted to 100%, respectively. Non-significant changes to baseline were noted at 24 and 36 months for mean BOP (9.37 (29.7)%, 9.38 (26.5)%), PD (−0.45 (0.88)mm, −0.34 (0.74)mm), and MR (0.0 (0.0)mm, 0.0 (0.02)mm) values. Pink esthetic score—PES values amounted to 13.0 (1.22) and 12.62 (1.42) at 24 and 36 months. Technical and mechanical complications were not observed. Patients expressed an overall high satisfaction at 36 months.

Conclusions

The presented immediacy protocol was associated with high survival and success rates as well as a high patient satisfaction in the medium-term.

求助全文
通过发布文献求助,成功后即可免费获取论文全文。 去求助
来源期刊
Clinical Oral Implants Research
Clinical Oral Implants Research 医学-工程:生物医学
CiteScore
7.70
自引率
11.60%
发文量
149
审稿时长
3 months
期刊介绍: Clinical Oral Implants Research conveys scientific progress in the field of implant dentistry and its related areas to clinicians, teachers and researchers concerned with the application of this information for the benefit of patients in need of oral implants. The journal addresses itself to clinicians, general practitioners, periodontists, oral and maxillofacial surgeons and prosthodontists, as well as to teachers, academicians and scholars involved in the education of professionals and in the scientific promotion of the field of implant dentistry.
×
引用
GB/T 7714-2015
复制
MLA
复制
APA
复制
导出至
BibTeX EndNote RefMan NoteFirst NoteExpress
×
提示
您的信息不完整,为了账户安全,请先补充。
现在去补充
×
提示
您因"违规操作"
具体请查看互助需知
我知道了
×
提示
确定
请完成安全验证×
copy
已复制链接
快去分享给好友吧!
我知道了
右上角分享
点击右上角分享
0
联系我们:info@booksci.cn Book学术提供免费学术资源搜索服务,方便国内外学者检索中英文文献。致力于提供最便捷和优质的服务体验。 Copyright © 2023 布克学术 All rights reserved.
京ICP备2023020795号-1
ghs 京公网安备 11010802042870号
Book学术文献互助
Book学术文献互助群
群 号:604180095
Book学术官方微信