视网膜色素上皮细胞并乳头状先天性肥大:两个病例的报告。

IF 1.2 Q4 OPHTHALMOLOGY
Saudi Journal of Ophthalmology Pub Date : 2024-08-20 eCollection Date: 2025-01-01 DOI:10.4103/sjopt.sjopt_285_23
Hanan A Alshalan, Abrar K Alsalamah, Sawsan R Nowilaty
{"title":"视网膜色素上皮细胞并乳头状先天性肥大:两个病例的报告。","authors":"Hanan A Alshalan, Abrar K Alsalamah, Sawsan R Nowilaty","doi":"10.4103/sjopt.sjopt_285_23","DOIUrl":null,"url":null,"abstract":"<p><p>Congenital hypertrophy of the retinal pigment epithelium (CHRPE) occurring in the juxtapapillary location is extremely rare. In this report, we describe two cases of juxtapapillary CHRPEs discovered incidentally in two patients and highlight their clinical and multimodal retinal imaging features that helped establish the diagnosis and differentiate the lesions from other juxtapapillary solitary pigmented lesions.</p>","PeriodicalId":46810,"journal":{"name":"Saudi Journal of Ophthalmology","volume":"39 1","pages":"100-103"},"PeriodicalIF":1.2000,"publicationDate":"2024-08-20","publicationTypes":"Journal Article","fieldsOfStudy":null,"isOpenAccess":false,"openAccessPdf":"https://www.ncbi.nlm.nih.gov/pmc/articles/PMC11964350/pdf/","citationCount":"0","resultStr":"{\"title\":\"Juxtapapillary congenital hypertrophy of the retinal pigment epithelium: A report of two cases.\",\"authors\":\"Hanan A Alshalan, Abrar K Alsalamah, Sawsan R Nowilaty\",\"doi\":\"10.4103/sjopt.sjopt_285_23\",\"DOIUrl\":null,\"url\":null,\"abstract\":\"<p><p>Congenital hypertrophy of the retinal pigment epithelium (CHRPE) occurring in the juxtapapillary location is extremely rare. In this report, we describe two cases of juxtapapillary CHRPEs discovered incidentally in two patients and highlight their clinical and multimodal retinal imaging features that helped establish the diagnosis and differentiate the lesions from other juxtapapillary solitary pigmented lesions.</p>\",\"PeriodicalId\":46810,\"journal\":{\"name\":\"Saudi Journal of Ophthalmology\",\"volume\":\"39 1\",\"pages\":\"100-103\"},\"PeriodicalIF\":1.2000,\"publicationDate\":\"2024-08-20\",\"publicationTypes\":\"Journal Article\",\"fieldsOfStudy\":null,\"isOpenAccess\":false,\"openAccessPdf\":\"https://www.ncbi.nlm.nih.gov/pmc/articles/PMC11964350/pdf/\",\"citationCount\":\"0\",\"resultStr\":null,\"platform\":\"Semanticscholar\",\"paperid\":null,\"PeriodicalName\":\"Saudi Journal of Ophthalmology\",\"FirstCategoryId\":\"1085\",\"ListUrlMain\":\"https://doi.org/10.4103/sjopt.sjopt_285_23\",\"RegionNum\":0,\"RegionCategory\":null,\"ArticlePicture\":[],\"TitleCN\":null,\"AbstractTextCN\":null,\"PMCID\":null,\"EPubDate\":\"2025/1/1 0:00:00\",\"PubModel\":\"eCollection\",\"JCR\":\"Q4\",\"JCRName\":\"OPHTHALMOLOGY\",\"Score\":null,\"Total\":0}","platform":"Semanticscholar","paperid":null,"PeriodicalName":"Saudi Journal of Ophthalmology","FirstCategoryId":"1085","ListUrlMain":"https://doi.org/10.4103/sjopt.sjopt_285_23","RegionNum":0,"RegionCategory":null,"ArticlePicture":[],"TitleCN":null,"AbstractTextCN":null,"PMCID":null,"EPubDate":"2025/1/1 0:00:00","PubModel":"eCollection","JCR":"Q4","JCRName":"OPHTHALMOLOGY","Score":null,"Total":0}
引用次数: 0

摘要

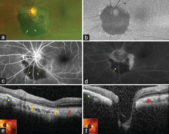
先天性视网膜色素上皮肥大(CHRPE)发生在乳头旁的位置是非常罕见的。在本报告中,我们描述了两例在两名患者中偶然发现的并乳头状CHRPEs,并强调了他们的临床和多模态视网膜成像特征,这些特征有助于建立诊断并将病变与其他并乳头状孤立性色素病变区分开来。
本文章由计算机程序翻译,如有差异,请以英文原文为准。

Juxtapapillary congenital hypertrophy of the retinal pigment epithelium: A report of two cases.

Juxtapapillary congenital hypertrophy of the retinal pigment epithelium: A report of two cases.

Juxtapapillary congenital hypertrophy of the retinal pigment epithelium: A report of two cases.

Congenital hypertrophy of the retinal pigment epithelium (CHRPE) occurring in the juxtapapillary location is extremely rare. In this report, we describe two cases of juxtapapillary CHRPEs discovered incidentally in two patients and highlight their clinical and multimodal retinal imaging features that helped establish the diagnosis and differentiate the lesions from other juxtapapillary solitary pigmented lesions.

求助全文
通过发布文献求助,成功后即可免费获取论文全文。 去求助
来源期刊
CiteScore
0.90
自引率
0.00%
发文量
79
审稿时长
13 weeks
期刊介绍: Saudi Journal of Ophthalmology is an English language, peer-reviewed scholarly publication in the area of ophthalmology. Saudi Journal of Ophthalmology publishes original papers, clinical studies, reviews and case reports. Saudi Journal of Ophthalmology is the official publication of the Saudi Ophthalmological Society and is published by King Saud University in collaboration with Elsevier and is edited by an international group of eminent researchers.
×
引用
GB/T 7714-2015
复制
MLA
复制
APA
复制
导出至
BibTeX EndNote RefMan NoteFirst NoteExpress
×
提示
您的信息不完整,为了账户安全,请先补充。
现在去补充
×
提示
您因"违规操作"
具体请查看互助需知
我知道了
×
提示
确定
请完成安全验证×
copy
已复制链接
快去分享给好友吧!
我知道了
右上角分享
点击右上角分享
0
联系我们:info@booksci.cn Book学术提供免费学术资源搜索服务,方便国内外学者检索中英文文献。致力于提供最便捷和优质的服务体验。 Copyright © 2023 布克学术 All rights reserved.
京ICP备2023020795号-1
ghs 京公网安备 11010802042870号
Book学术文献互助
Book学术文献互助群
群 号:604180095
Book学术官方微信