青少年特发性关节炎和相关的葡萄膜炎:发病机制、诊断和治疗的综述。

IF 1.2 Q4 OPHTHALMOLOGY
Saudi Journal of Ophthalmology Pub Date : 2025-01-02 eCollection Date: 2025-01-01 DOI:10.4103/sjopt.sjopt_153_24
Costanza Barresi, Francesco Baldo, Matteo Menean, Achille Marino, Stefania Costi, Cecilia B Chighizola, Roberto F Caporali, Elisabetta Miserocchi
{"title":"青少年特发性关节炎和相关的葡萄膜炎:发病机制、诊断和治疗的综述。","authors":"Costanza Barresi, Francesco Baldo, Matteo Menean, Achille Marino, Stefania Costi, Cecilia B Chighizola, Roberto F Caporali, Elisabetta Miserocchi","doi":"10.4103/sjopt.sjopt_153_24","DOIUrl":null,"url":null,"abstract":"<p><p>Juvenile idiopathic arthritis (JIA) is the most common rheumatologic disorder in children, posing significant physical and emotional challenges due to its chronic nature and the need for prolonged immunosuppressive therapies. Uveitis is the most common extra-articular manifestation of JIA, and it can be a sight-threatening condition. Despite advances in biologic treatments, JIA continues to present substantial therapeutic challenges, necessitating multiple treatment attempts and close monitoring for secondary failures. JIA-associated uveitis remains one of the most challenging and aggressive types of uveitis, particularly in children, due to its early onset, chronicity, and limited therapeutic responses despite new treatments. Early recognition and prompt treatment of both arthritis and uveitis are essential for achieving sustained remission and preventing complications. Effective management of JIA-uveitis requires a collaborative approach between pediatric rheumatologists and ophthalmologists to ensure timely assessments, regular screenings, and necessary therapy adjustments. This integrated care approach is crucial for achieving optimal outcomes. Therefore, this review aims to extensively analyze the pathogenesis, diagnosis, and therapy of JIA and its associated uveitis.</p>","PeriodicalId":46810,"journal":{"name":"Saudi Journal of Ophthalmology","volume":"39 1","pages":"31-40"},"PeriodicalIF":1.2000,"publicationDate":"2025-01-02","publicationTypes":"Journal Article","fieldsOfStudy":null,"isOpenAccess":false,"openAccessPdf":"https://www.ncbi.nlm.nih.gov/pmc/articles/PMC11964343/pdf/","citationCount":"0","resultStr":"{\"title\":\"Juvenile idiopathic arthritis and associated uveitis: A review of pathogenesis, diagnosis, and management.\",\"authors\":\"Costanza Barresi, Francesco Baldo, Matteo Menean, Achille Marino, Stefania Costi, Cecilia B Chighizola, Roberto F Caporali, Elisabetta Miserocchi\",\"doi\":\"10.4103/sjopt.sjopt_153_24\",\"DOIUrl\":null,\"url\":null,\"abstract\":\"<p><p>Juvenile idiopathic arthritis (JIA) is the most common rheumatologic disorder in children, posing significant physical and emotional challenges due to its chronic nature and the need for prolonged immunosuppressive therapies. Uveitis is the most common extra-articular manifestation of JIA, and it can be a sight-threatening condition. Despite advances in biologic treatments, JIA continues to present substantial therapeutic challenges, necessitating multiple treatment attempts and close monitoring for secondary failures. JIA-associated uveitis remains one of the most challenging and aggressive types of uveitis, particularly in children, due to its early onset, chronicity, and limited therapeutic responses despite new treatments. Early recognition and prompt treatment of both arthritis and uveitis are essential for achieving sustained remission and preventing complications. Effective management of JIA-uveitis requires a collaborative approach between pediatric rheumatologists and ophthalmologists to ensure timely assessments, regular screenings, and necessary therapy adjustments. This integrated care approach is crucial for achieving optimal outcomes. Therefore, this review aims to extensively analyze the pathogenesis, diagnosis, and therapy of JIA and its associated uveitis.</p>\",\"PeriodicalId\":46810,\"journal\":{\"name\":\"Saudi Journal of Ophthalmology\",\"volume\":\"39 1\",\"pages\":\"31-40\"},\"PeriodicalIF\":1.2000,\"publicationDate\":\"2025-01-02\",\"publicationTypes\":\"Journal Article\",\"fieldsOfStudy\":null,\"isOpenAccess\":false,\"openAccessPdf\":\"https://www.ncbi.nlm.nih.gov/pmc/articles/PMC11964343/pdf/\",\"citationCount\":\"0\",\"resultStr\":null,\"platform\":\"Semanticscholar\",\"paperid\":null,\"PeriodicalName\":\"Saudi Journal of Ophthalmology\",\"FirstCategoryId\":\"1085\",\"ListUrlMain\":\"https://doi.org/10.4103/sjopt.sjopt_153_24\",\"RegionNum\":0,\"RegionCategory\":null,\"ArticlePicture\":[],\"TitleCN\":null,\"AbstractTextCN\":null,\"PMCID\":null,\"EPubDate\":\"2025/1/1 0:00:00\",\"PubModel\":\"eCollection\",\"JCR\":\"Q4\",\"JCRName\":\"OPHTHALMOLOGY\",\"Score\":null,\"Total\":0}","platform":"Semanticscholar","paperid":null,"PeriodicalName":"Saudi Journal of Ophthalmology","FirstCategoryId":"1085","ListUrlMain":"https://doi.org/10.4103/sjopt.sjopt_153_24","RegionNum":0,"RegionCategory":null,"ArticlePicture":[],"TitleCN":null,"AbstractTextCN":null,"PMCID":null,"EPubDate":"2025/1/1 0:00:00","PubModel":"eCollection","JCR":"Q4","JCRName":"OPHTHALMOLOGY","Score":null,"Total":0}
引用次数: 0

摘要

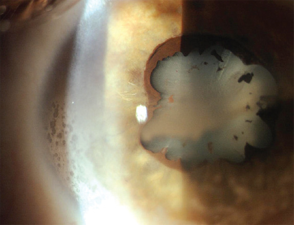
青少年特发性关节炎(JIA)是儿童中最常见的风湿病,由于其慢性性质和需要长期免疫抑制治疗,对身体和情绪造成重大挑战。葡萄膜炎是JIA最常见的关节外表现,可危及视力。尽管生物治疗取得了进展,但JIA仍然面临着巨大的治疗挑战,需要多次治疗尝试并密切监测继发性失败。jia相关性葡萄膜炎仍然是最具挑战性和侵袭性的葡萄膜炎类型之一,特别是在儿童中,由于其发病早,慢性,尽管有新的治疗方法,但治疗效果有限。早期识别和及时治疗关节炎和葡萄膜炎是实现持续缓解和预防并发症的必要条件。jia -葡萄膜炎的有效治疗需要儿科风湿病学家和眼科医生之间的合作,以确保及时评估,定期筛查和必要的治疗调整。这种综合护理方法对于实现最佳结果至关重要。因此,本文就JIA及其相关葡萄膜炎的发病机制、诊断和治疗进行综述。
本文章由计算机程序翻译,如有差异,请以英文原文为准。

Juvenile idiopathic arthritis and associated uveitis: A review of pathogenesis, diagnosis, and management.

Juvenile idiopathic arthritis and associated uveitis: A review of pathogenesis, diagnosis, and management.

Juvenile idiopathic arthritis and associated uveitis: A review of pathogenesis, diagnosis, and management.

Juvenile idiopathic arthritis and associated uveitis: A review of pathogenesis, diagnosis, and management.

Juvenile idiopathic arthritis (JIA) is the most common rheumatologic disorder in children, posing significant physical and emotional challenges due to its chronic nature and the need for prolonged immunosuppressive therapies. Uveitis is the most common extra-articular manifestation of JIA, and it can be a sight-threatening condition. Despite advances in biologic treatments, JIA continues to present substantial therapeutic challenges, necessitating multiple treatment attempts and close monitoring for secondary failures. JIA-associated uveitis remains one of the most challenging and aggressive types of uveitis, particularly in children, due to its early onset, chronicity, and limited therapeutic responses despite new treatments. Early recognition and prompt treatment of both arthritis and uveitis are essential for achieving sustained remission and preventing complications. Effective management of JIA-uveitis requires a collaborative approach between pediatric rheumatologists and ophthalmologists to ensure timely assessments, regular screenings, and necessary therapy adjustments. This integrated care approach is crucial for achieving optimal outcomes. Therefore, this review aims to extensively analyze the pathogenesis, diagnosis, and therapy of JIA and its associated uveitis.

求助全文
通过发布文献求助,成功后即可免费获取论文全文。 去求助
来源期刊
CiteScore
0.90
自引率
0.00%
发文量
79
审稿时长
13 weeks
期刊介绍: Saudi Journal of Ophthalmology is an English language, peer-reviewed scholarly publication in the area of ophthalmology. Saudi Journal of Ophthalmology publishes original papers, clinical studies, reviews and case reports. Saudi Journal of Ophthalmology is the official publication of the Saudi Ophthalmological Society and is published by King Saud University in collaboration with Elsevier and is edited by an international group of eminent researchers.
×
引用
GB/T 7714-2015
复制
MLA
复制
APA
复制
导出至
BibTeX EndNote RefMan NoteFirst NoteExpress
×
提示
您的信息不完整,为了账户安全,请先补充。
现在去补充
×
提示
您因"违规操作"
具体请查看互助需知
我知道了
×
提示
确定
请完成安全验证×
copy
已复制链接
快去分享给好友吧!
我知道了
右上角分享
点击右上角分享
0
联系我们:info@booksci.cn Book学术提供免费学术资源搜索服务,方便国内外学者检索中英文文献。致力于提供最便捷和优质的服务体验。 Copyright © 2023 布克学术 All rights reserved.
京ICP备2023020795号-1
ghs 京公网安备 11010802042870号
Book学术文献互助
Book学术文献互助群
群 号:604180095
Book学术官方微信