格林菲尔特疝的临床表现及手术治疗:1例临床病例报告及文献复习。

IF 0.5 Q4 SURGERY
Case Reports in Surgery Pub Date : 2025-03-27 eCollection Date: 2025-01-01 DOI:10.1155/cris/5634242
Pabel Ruben Carbajal Cabrera, Ruben Daniel Pérez López, Yunuen Ailyn Morales Tercero, Itzel Ocampo Barrero
{"title":"格林菲尔特疝的临床表现及手术治疗:1例临床病例报告及文献复习。","authors":"Pabel Ruben Carbajal Cabrera, Ruben Daniel Pérez López, Yunuen Ailyn Morales Tercero, Itzel Ocampo Barrero","doi":"10.1155/cris/5634242","DOIUrl":null,"url":null,"abstract":"<p><p><b>Background:</b> Grynfelt's lumbar hernia is the rarest of all abdominal wall hernias, accounting for between 1.5% and 2% of cases, with only 300-350 instances described to date. Lumbar hernias can be congenital or acquired, often triggered by trauma or surgery (iatrogenic). Diagnosis is clinical and confirmed via computed tomography. Surgical intervention is required for resolution, with repair performed either through open or laparoscopic surgery. <b>Material and Methods:</b> We present the case of a young female with no prior surgical or traumatic history, in whom the diagnosis of Grynfelt's hernia was made. <b>Results:</b> The patient underwent elective left lumbotomy surgery with hernioplasty using a supra-aponeurotic polypropylene mesh. Postsurgical recovery was adequate, and she was discharged 4 h after surgery. Follow-up in the general surgery outpatient clinic occurred at 20 days, 1, 3, and 6 months, with no recurrence, complications, or incidents. <b>Conclusion:</b> Grynfelt's hernia is a rare entity that requires a high index of suspicion for accurate diagnosis. Although cases are often asymptomatic, untreated hernias can lead to significant morbidity. Early recognition and timely surgical intervention are crucial for symptom relief and prevention of complications. In this case report, surgical management involved hernioplasty through a left lumbotomy approach, repairing the hernia defect and reducing the hernia content. Supra-aponeurotic mesh was placed to ensure adequate closure. Given the rarity of this pathology, no specific management guidelines exist in the literature. Therefore, the decision for this type of repair was based on intraoperative findings. Further research is needed to clarify management strategies and optimize outcomes for patients with Grynfelt's hernia.</p>","PeriodicalId":9600,"journal":{"name":"Case Reports in Surgery","volume":"2025 ","pages":"5634242"},"PeriodicalIF":0.5000,"publicationDate":"2025-03-27","publicationTypes":"Journal Article","fieldsOfStudy":null,"isOpenAccess":false,"openAccessPdf":"https://www.ncbi.nlm.nih.gov/pmc/articles/PMC11968149/pdf/","citationCount":"0","resultStr":"{\"title\":\"Clinical Presentation and Surgical Management of a Grynfelt Hernia: Report of a Clinical Case and Literature Review.\",\"authors\":\"Pabel Ruben Carbajal Cabrera, Ruben Daniel Pérez López, Yunuen Ailyn Morales Tercero, Itzel Ocampo Barrero\",\"doi\":\"10.1155/cris/5634242\",\"DOIUrl\":null,\"url\":null,\"abstract\":\"<p><p><b>Background:</b> Grynfelt's lumbar hernia is the rarest of all abdominal wall hernias, accounting for between 1.5% and 2% of cases, with only 300-350 instances described to date. Lumbar hernias can be congenital or acquired, often triggered by trauma or surgery (iatrogenic). Diagnosis is clinical and confirmed via computed tomography. Surgical intervention is required for resolution, with repair performed either through open or laparoscopic surgery. <b>Material and Methods:</b> We present the case of a young female with no prior surgical or traumatic history, in whom the diagnosis of Grynfelt's hernia was made. <b>Results:</b> The patient underwent elective left lumbotomy surgery with hernioplasty using a supra-aponeurotic polypropylene mesh. Postsurgical recovery was adequate, and she was discharged 4 h after surgery. Follow-up in the general surgery outpatient clinic occurred at 20 days, 1, 3, and 6 months, with no recurrence, complications, or incidents. <b>Conclusion:</b> Grynfelt's hernia is a rare entity that requires a high index of suspicion for accurate diagnosis. Although cases are often asymptomatic, untreated hernias can lead to significant morbidity. Early recognition and timely surgical intervention are crucial for symptom relief and prevention of complications. In this case report, surgical management involved hernioplasty through a left lumbotomy approach, repairing the hernia defect and reducing the hernia content. Supra-aponeurotic mesh was placed to ensure adequate closure. Given the rarity of this pathology, no specific management guidelines exist in the literature. Therefore, the decision for this type of repair was based on intraoperative findings. Further research is needed to clarify management strategies and optimize outcomes for patients with Grynfelt's hernia.</p>\",\"PeriodicalId\":9600,\"journal\":{\"name\":\"Case Reports in Surgery\",\"volume\":\"2025 \",\"pages\":\"5634242\"},\"PeriodicalIF\":0.5000,\"publicationDate\":\"2025-03-27\",\"publicationTypes\":\"Journal Article\",\"fieldsOfStudy\":null,\"isOpenAccess\":false,\"openAccessPdf\":\"https://www.ncbi.nlm.nih.gov/pmc/articles/PMC11968149/pdf/\",\"citationCount\":\"0\",\"resultStr\":null,\"platform\":\"Semanticscholar\",\"paperid\":null,\"PeriodicalName\":\"Case Reports in Surgery\",\"FirstCategoryId\":\"1085\",\"ListUrlMain\":\"https://doi.org/10.1155/cris/5634242\",\"RegionNum\":0,\"RegionCategory\":null,\"ArticlePicture\":[],\"TitleCN\":null,\"AbstractTextCN\":null,\"PMCID\":null,\"EPubDate\":\"2025/1/1 0:00:00\",\"PubModel\":\"eCollection\",\"JCR\":\"Q4\",\"JCRName\":\"SURGERY\",\"Score\":null,\"Total\":0}","platform":"Semanticscholar","paperid":null,"PeriodicalName":"Case Reports in Surgery","FirstCategoryId":"1085","ListUrlMain":"https://doi.org/10.1155/cris/5634242","RegionNum":0,"RegionCategory":null,"ArticlePicture":[],"TitleCN":null,"AbstractTextCN":null,"PMCID":null,"EPubDate":"2025/1/1 0:00:00","PubModel":"eCollection","JCR":"Q4","JCRName":"SURGERY","Score":null,"Total":0}
引用次数: 0

摘要

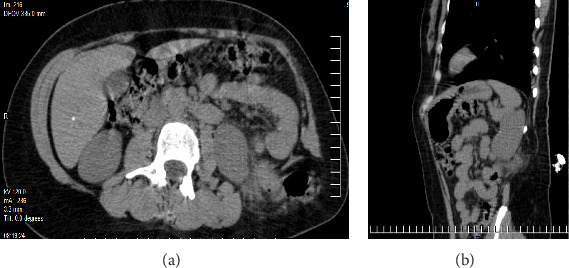
背景:Grynfelt 腰疝是所有腹壁疝中最罕见的一种,占病例的 1.5% 到 2%,迄今为止仅描述过 300 到 350 例。腰疝可以是先天性的,也可以是后天性的,通常由外伤或手术(先天性)引发。诊断依据临床表现,并通过计算机断层扫描确诊。需要进行手术治疗,通过开腹或腹腔镜手术进行修补。材料与方法:本病例为一名年轻女性,既往无手术史,也无外伤史,诊断为 Grynfelt 疝。手术结果患者接受了选择性左腰部切除手术,并使用腹膜上聚丙烯网片进行了疝成形术。术后恢复良好,术后 4 小时即可出院。普外科门诊分别在 20 天、1 个月、3 个月和 6 个月进行了随访,没有发现复发、并发症或事故。结论Grynfelt疝是一种罕见病,需要高度怀疑才能准确诊断。虽然病例通常没有症状,但未经治疗的疝气可导致严重的发病率。早期识别和及时手术治疗对于缓解症状和预防并发症至关重要。在本病例报告中,手术治疗包括通过左腰部切开术进行疝成形术,修补疝缺损并缩小疝内容物。为确保充分闭合,还放置了上腹膜网片。鉴于这种病症的罕见性,文献中没有具体的治疗指南。因此,这种类型的修补术是根据术中发现决定的。需要进一步开展研究,以明确管理策略,优化 Grynfelt 疝患者的治疗效果。
本文章由计算机程序翻译,如有差异,请以英文原文为准。

Clinical Presentation and Surgical Management of a Grynfelt Hernia: Report of a Clinical Case and Literature Review.

Clinical Presentation and Surgical Management of a Grynfelt Hernia: Report of a Clinical Case and Literature Review.

Clinical Presentation and Surgical Management of a Grynfelt Hernia: Report of a Clinical Case and Literature Review.

Clinical Presentation and Surgical Management of a Grynfelt Hernia: Report of a Clinical Case and Literature Review.

Background: Grynfelt's lumbar hernia is the rarest of all abdominal wall hernias, accounting for between 1.5% and 2% of cases, with only 300-350 instances described to date. Lumbar hernias can be congenital or acquired, often triggered by trauma or surgery (iatrogenic). Diagnosis is clinical and confirmed via computed tomography. Surgical intervention is required for resolution, with repair performed either through open or laparoscopic surgery. Material and Methods: We present the case of a young female with no prior surgical or traumatic history, in whom the diagnosis of Grynfelt's hernia was made. Results: The patient underwent elective left lumbotomy surgery with hernioplasty using a supra-aponeurotic polypropylene mesh. Postsurgical recovery was adequate, and she was discharged 4 h after surgery. Follow-up in the general surgery outpatient clinic occurred at 20 days, 1, 3, and 6 months, with no recurrence, complications, or incidents. Conclusion: Grynfelt's hernia is a rare entity that requires a high index of suspicion for accurate diagnosis. Although cases are often asymptomatic, untreated hernias can lead to significant morbidity. Early recognition and timely surgical intervention are crucial for symptom relief and prevention of complications. In this case report, surgical management involved hernioplasty through a left lumbotomy approach, repairing the hernia defect and reducing the hernia content. Supra-aponeurotic mesh was placed to ensure adequate closure. Given the rarity of this pathology, no specific management guidelines exist in the literature. Therefore, the decision for this type of repair was based on intraoperative findings. Further research is needed to clarify management strategies and optimize outcomes for patients with Grynfelt's hernia.

求助全文
通过发布文献求助,成功后即可免费获取论文全文。 去求助
来源期刊
自引率
0.00%
发文量
60
审稿时长
13 weeks
×
引用
GB/T 7714-2015
复制
MLA
复制
APA
复制
导出至
BibTeX EndNote RefMan NoteFirst NoteExpress
×
提示
您的信息不完整,为了账户安全,请先补充。
现在去补充
×
提示
您因"违规操作"
具体请查看互助需知
我知道了
×
提示
确定
请完成安全验证×
copy
已复制链接
快去分享给好友吧!
我知道了
右上角分享
点击右上角分享
0
联系我们:info@booksci.cn Book学术提供免费学术资源搜索服务,方便国内外学者检索中英文文献。致力于提供最便捷和优质的服务体验。 Copyright © 2023 布克学术 All rights reserved.
京ICP备2023020795号-1
ghs 京公网安备 11010802042870号
Book学术文献互助
Book学术文献互助群
群 号:604180095
Book学术官方微信