合并Leber遗传性视神经病变和多发性硬化症(哈丁综合征)患者的DNAJC30突变:1例报告。

IF 0.6 Q4 OPHTHALMOLOGY
Case Reports in Ophthalmology Pub Date : 2025-03-07 eCollection Date: 2025-01-01 DOI:10.1159/000545079
Sara KamaliZonouzi, Jonathan Micieli
{"title":"合并Leber遗传性视神经病变和多发性硬化症(哈丁综合征)患者的DNAJC30突变:1例报告。","authors":"Sara KamaliZonouzi, Jonathan Micieli","doi":"10.1159/000545079","DOIUrl":null,"url":null,"abstract":"<p><strong>Introduction: </strong>Patients with Leber's hereditary optic neuropathy (LHON) have a higher risk of developing multiple sclerosis (MS) than the general population. The coexistence of LHON and MS, also known as Harding's syndrome complicates the diagnosis of optic neuropathy, particularly when the underlying genetic mutation is a rare cause of LHON like <i>DNAJC30</i>.</p><p><strong>Case presentation: </strong>We present a 26-year-old woman with progressive, sequential, painless, bilateral visual loss which was unresponsive to steroids, and two temporally distinct episodes of neurological disturbance suggestive of central nervous system demyelination. Thorough investigations including serological tests ruled out other causes, including negative neuromyelitis optica and myelin oligodendrocyte protein (MOG) antibodies and nutritional deficiencies. MRI detected areas of demyelination within the spinal cord and brain (infratentorial and periventricular areas). After genetic analysis revealing c.152A>G (p.Tyr51Cys) mutation at the <i>DNAJC30</i> gene, LHON was suggested. She was prescribed with idebenone and her visual acuity resolved to normal at 4-year follow-up.</p><p><strong>Conclusion: </strong>This case further expands the clinical presentations of <i>DNAJC30</i>-related LHON and underscores the importance of considering LHON in patients with demyelinating syndrome presenting with severe bilateral visual loss and presumed optic neuritis unresponsive to steroids.</p>","PeriodicalId":9635,"journal":{"name":"Case Reports in Ophthalmology","volume":"16 1","pages":"246-253"},"PeriodicalIF":0.6000,"publicationDate":"2025-03-07","publicationTypes":"Journal Article","fieldsOfStudy":null,"isOpenAccess":false,"openAccessPdf":"https://www.ncbi.nlm.nih.gov/pmc/articles/PMC11968095/pdf/","citationCount":"0","resultStr":"{\"title\":\"DNAJC30 Mutation in a Patient with Coexisting Leber's Hereditary Optic Neuropathy and Multiple Sclerosis (Harding's Syndrome): A Case Report.\",\"authors\":\"Sara KamaliZonouzi, Jonathan Micieli\",\"doi\":\"10.1159/000545079\",\"DOIUrl\":null,\"url\":null,\"abstract\":\"<p><strong>Introduction: </strong>Patients with Leber's hereditary optic neuropathy (LHON) have a higher risk of developing multiple sclerosis (MS) than the general population. The coexistence of LHON and MS, also known as Harding's syndrome complicates the diagnosis of optic neuropathy, particularly when the underlying genetic mutation is a rare cause of LHON like <i>DNAJC30</i>.</p><p><strong>Case presentation: </strong>We present a 26-year-old woman with progressive, sequential, painless, bilateral visual loss which was unresponsive to steroids, and two temporally distinct episodes of neurological disturbance suggestive of central nervous system demyelination. Thorough investigations including serological tests ruled out other causes, including negative neuromyelitis optica and myelin oligodendrocyte protein (MOG) antibodies and nutritional deficiencies. MRI detected areas of demyelination within the spinal cord and brain (infratentorial and periventricular areas). After genetic analysis revealing c.152A>G (p.Tyr51Cys) mutation at the <i>DNAJC30</i> gene, LHON was suggested. She was prescribed with idebenone and her visual acuity resolved to normal at 4-year follow-up.</p><p><strong>Conclusion: </strong>This case further expands the clinical presentations of <i>DNAJC30</i>-related LHON and underscores the importance of considering LHON in patients with demyelinating syndrome presenting with severe bilateral visual loss and presumed optic neuritis unresponsive to steroids.</p>\",\"PeriodicalId\":9635,\"journal\":{\"name\":\"Case Reports in Ophthalmology\",\"volume\":\"16 1\",\"pages\":\"246-253\"},\"PeriodicalIF\":0.6000,\"publicationDate\":\"2025-03-07\",\"publicationTypes\":\"Journal Article\",\"fieldsOfStudy\":null,\"isOpenAccess\":false,\"openAccessPdf\":\"https://www.ncbi.nlm.nih.gov/pmc/articles/PMC11968095/pdf/\",\"citationCount\":\"0\",\"resultStr\":null,\"platform\":\"Semanticscholar\",\"paperid\":null,\"PeriodicalName\":\"Case Reports in Ophthalmology\",\"FirstCategoryId\":\"1085\",\"ListUrlMain\":\"https://doi.org/10.1159/000545079\",\"RegionNum\":0,\"RegionCategory\":null,\"ArticlePicture\":[],\"TitleCN\":null,\"AbstractTextCN\":null,\"PMCID\":null,\"EPubDate\":\"2025/1/1 0:00:00\",\"PubModel\":\"eCollection\",\"JCR\":\"Q4\",\"JCRName\":\"OPHTHALMOLOGY\",\"Score\":null,\"Total\":0}","platform":"Semanticscholar","paperid":null,"PeriodicalName":"Case Reports in Ophthalmology","FirstCategoryId":"1085","ListUrlMain":"https://doi.org/10.1159/000545079","RegionNum":0,"RegionCategory":null,"ArticlePicture":[],"TitleCN":null,"AbstractTextCN":null,"PMCID":null,"EPubDate":"2025/1/1 0:00:00","PubModel":"eCollection","JCR":"Q4","JCRName":"OPHTHALMOLOGY","Score":null,"Total":0}
引用次数: 0

摘要

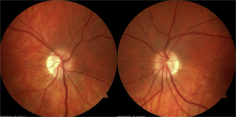
Leber遗传性视神经病变(LHON)患者发生多发性硬化症(MS)的风险高于一般人群。LHON和MS的共存,也被称为哈丁综合征,使视神经病变的诊断复杂化,特别是当潜在的基因突变是像DNAJC30这样罕见的LHON病因时。病例介绍:我们报告了一位26岁的女性,她进行性、顺序性、无痛性、双侧视力丧失,对类固醇无反应,并伴有两次暂时性不同的神经系统障碍,提示中枢神经系统脱髓鞘。包括血清学测试在内的彻底调查排除了其他原因,包括视神经脊髓炎和髓鞘少突胶质细胞蛋白(MOG)抗体阴性和营养缺乏。MRI检测到脊髓和大脑(幕下和脑室周围区域)脱髓鞘。遗传分析显示c.152A >g (p.t r51cys)突变于DNAJC30基因,推测为LHON。术后给予依地苯酮治疗,随访4年视力恢复正常。结论:本病例进一步扩展了dnajc30相关LHON的临床表现,并强调了在脱髓鞘综合征患者中考虑LHON的重要性,这些患者表现为严重的双侧视力丧失和对类固醇无反应的视神经炎。
本文章由计算机程序翻译,如有差异,请以英文原文为准。

DNAJC30 Mutation in a Patient with Coexisting Leber's Hereditary Optic Neuropathy and Multiple Sclerosis (Harding's Syndrome): A Case Report.

DNAJC30 Mutation in a Patient with Coexisting Leber's Hereditary Optic Neuropathy and Multiple Sclerosis (Harding's Syndrome): A Case Report.

DNAJC30 Mutation in a Patient with Coexisting Leber's Hereditary Optic Neuropathy and Multiple Sclerosis (Harding's Syndrome): A Case Report.

DNAJC30 Mutation in a Patient with Coexisting Leber's Hereditary Optic Neuropathy and Multiple Sclerosis (Harding's Syndrome): A Case Report.

Introduction: Patients with Leber's hereditary optic neuropathy (LHON) have a higher risk of developing multiple sclerosis (MS) than the general population. The coexistence of LHON and MS, also known as Harding's syndrome complicates the diagnosis of optic neuropathy, particularly when the underlying genetic mutation is a rare cause of LHON like DNAJC30.

Case presentation: We present a 26-year-old woman with progressive, sequential, painless, bilateral visual loss which was unresponsive to steroids, and two temporally distinct episodes of neurological disturbance suggestive of central nervous system demyelination. Thorough investigations including serological tests ruled out other causes, including negative neuromyelitis optica and myelin oligodendrocyte protein (MOG) antibodies and nutritional deficiencies. MRI detected areas of demyelination within the spinal cord and brain (infratentorial and periventricular areas). After genetic analysis revealing c.152A>G (p.Tyr51Cys) mutation at the DNAJC30 gene, LHON was suggested. She was prescribed with idebenone and her visual acuity resolved to normal at 4-year follow-up.

Conclusion: This case further expands the clinical presentations of DNAJC30-related LHON and underscores the importance of considering LHON in patients with demyelinating syndrome presenting with severe bilateral visual loss and presumed optic neuritis unresponsive to steroids.

求助全文
通过发布文献求助,成功后即可免费获取论文全文。 去求助
来源期刊
CiteScore
0.90
自引率
0.00%
发文量
129
审稿时长
12 weeks
期刊介绍: This peer-reviewed online-only journal publishes original case reports covering the entire spectrum of ophthalmology, including prevention, diagnosis, treatment, toxicities of therapy, supportive care, quality-of-life, and survivorship issues. The submission of negative results is strongly encouraged. The journal will also accept case reports dealing with the use of novel technologies, both in the arena of diagnosis and treatment. Supplementary material is welcomed. The intent of the journal is to provide clinicians and researchers with a tool to disseminate their personal experiences to a wider public as well as to review interesting cases encountered by colleagues all over the world. Universally used terms can be searched across the entire growing collection of case reports, further facilitating the retrieval of specific information. Following the open access principle, the entire contents can be retrieved at no charge, guaranteeing easy access to this valuable source of anecdotal information at all times.
×
引用
GB/T 7714-2015
复制
MLA
复制
APA
复制
导出至
BibTeX EndNote RefMan NoteFirst NoteExpress
×
提示
您的信息不完整,为了账户安全,请先补充。
现在去补充
×
提示
您因"违规操作"
具体请查看互助需知
我知道了
×
提示
确定
请完成安全验证×
copy
已复制链接
快去分享给好友吧!
我知道了
右上角分享
点击右上角分享
0
联系我们:info@booksci.cn Book学术提供免费学术资源搜索服务,方便国内外学者检索中英文文献。致力于提供最便捷和优质的服务体验。 Copyright © 2023 布克学术 All rights reserved.
京ICP备2023020795号-1
ghs 京公网安备 11010802042870号
Book学术文献互助
Book学术文献互助群
群 号:604180095
Book学术官方微信