内侧间隙是闭合性踝关节骨折脱位闭合复位后石膏固定后继发脱位的危险因素。

IF 2.2 3区 医学 Q2 EMERGENCY MEDICINE
Verena Hecht, Eléonore Sophie Mosimann, Fabian Krause, Christophe Kurze, Thomas Lustenberger, Helen Anwander
{"title":"内侧间隙是闭合性踝关节骨折脱位闭合复位后石膏固定后继发脱位的危险因素。","authors":"Verena Hecht, Eléonore Sophie Mosimann, Fabian Krause, Christophe Kurze, Thomas Lustenberger, Helen Anwander","doi":"10.1007/s00068-025-02803-z","DOIUrl":null,"url":null,"abstract":"<p><strong>Purpose: </strong>Ankle fractures represent about 10% of all adult fractures, with increasing incidence. Dislocated ankle fractures often require delayed open reduction and internal fixation due to swelling, necessitating temporary stabilization using a cast or an external fixator. This study aims to assess risk factors for insufficient preliminary reduction immobilized by a cast, focusing on medial clearspace and posterior malleolus fragment size, to identify fractures that would benefit from initial stabilization with an external fixator.</p><p><strong>Methods: </strong>Patients treated for dislocated ankle fractures at our level-1 trauma center from 2011 to 2023 were retrospectively reviewed. The primary outcome was the rate of insufficient reduction during immobilization in a cast. Secondary outcomes included time to definitive surgery, length of surgery and hospital stay.</p><p><strong>Results: </strong>134 patients met the inclusion criteria. The most common fracture type was AO 44B3, with 71.6%. Sufficient reduction was achieved in 53.7% of patients. Multiple regression analyses revealed the initial medial clearspace at the time of dislocation as an independent risk factor for insufficient reduction after reduction. ROC-analysis revealed that a initial medial clearspace at the time of dislocation of 9 mm is a predictor for insufficient reduction with a sensitivity of 88% and a specificity of 55%.</p><p><strong>Conclusion: </strong>Initial medial clearspace was an important predictor for insufficient reduction in a cast, with 9 mm being identified as the cutoff for critical initial medial clearspace. Therefore, we recommend primary external fixation or acute internal fixation, if the soft tissue allows it for those patients with initial medial clearspace of > 9 mm. This approach may prevent secondary dislocation, reduce swelling, and expedite definitive surgery.</p>","PeriodicalId":12064,"journal":{"name":"European Journal of Trauma and Emergency Surgery","volume":"51 1","pages":"161"},"PeriodicalIF":2.2000,"publicationDate":"2025-04-03","publicationTypes":"Journal Article","fieldsOfStudy":null,"isOpenAccess":false,"openAccessPdf":"https://www.ncbi.nlm.nih.gov/pmc/articles/PMC11968475/pdf/","citationCount":"0","resultStr":"{\"title\":\"The medial clearspace is a risk factor for secondary dislocation following cast immobilization after closed reduction in closed ankle fracture dislocations.\",\"authors\":\"Verena Hecht, Eléonore Sophie Mosimann, Fabian Krause, Christophe Kurze, Thomas Lustenberger, Helen Anwander\",\"doi\":\"10.1007/s00068-025-02803-z\",\"DOIUrl\":null,\"url\":null,\"abstract\":\"<p><strong>Purpose: </strong>Ankle fractures represent about 10% of all adult fractures, with increasing incidence. Dislocated ankle fractures often require delayed open reduction and internal fixation due to swelling, necessitating temporary stabilization using a cast or an external fixator. This study aims to assess risk factors for insufficient preliminary reduction immobilized by a cast, focusing on medial clearspace and posterior malleolus fragment size, to identify fractures that would benefit from initial stabilization with an external fixator.</p><p><strong>Methods: </strong>Patients treated for dislocated ankle fractures at our level-1 trauma center from 2011 to 2023 were retrospectively reviewed. The primary outcome was the rate of insufficient reduction during immobilization in a cast. Secondary outcomes included time to definitive surgery, length of surgery and hospital stay.</p><p><strong>Results: </strong>134 patients met the inclusion criteria. The most common fracture type was AO 44B3, with 71.6%. Sufficient reduction was achieved in 53.7% of patients. Multiple regression analyses revealed the initial medial clearspace at the time of dislocation as an independent risk factor for insufficient reduction after reduction. ROC-analysis revealed that a initial medial clearspace at the time of dislocation of 9 mm is a predictor for insufficient reduction with a sensitivity of 88% and a specificity of 55%.</p><p><strong>Conclusion: </strong>Initial medial clearspace was an important predictor for insufficient reduction in a cast, with 9 mm being identified as the cutoff for critical initial medial clearspace. Therefore, we recommend primary external fixation or acute internal fixation, if the soft tissue allows it for those patients with initial medial clearspace of > 9 mm. This approach may prevent secondary dislocation, reduce swelling, and expedite definitive surgery.</p>\",\"PeriodicalId\":12064,\"journal\":{\"name\":\"European Journal of Trauma and Emergency Surgery\",\"volume\":\"51 1\",\"pages\":\"161\"},\"PeriodicalIF\":2.2000,\"publicationDate\":\"2025-04-03\",\"publicationTypes\":\"Journal Article\",\"fieldsOfStudy\":null,\"isOpenAccess\":false,\"openAccessPdf\":\"https://www.ncbi.nlm.nih.gov/pmc/articles/PMC11968475/pdf/\",\"citationCount\":\"0\",\"resultStr\":null,\"platform\":\"Semanticscholar\",\"paperid\":null,\"PeriodicalName\":\"European Journal of Trauma and Emergency Surgery\",\"FirstCategoryId\":\"3\",\"ListUrlMain\":\"https://doi.org/10.1007/s00068-025-02803-z\",\"RegionNum\":3,\"RegionCategory\":\"医学\",\"ArticlePicture\":[],\"TitleCN\":null,\"AbstractTextCN\":null,\"PMCID\":null,\"EPubDate\":\"\",\"PubModel\":\"\",\"JCR\":\"Q2\",\"JCRName\":\"EMERGENCY MEDICINE\",\"Score\":null,\"Total\":0}","platform":"Semanticscholar","paperid":null,"PeriodicalName":"European Journal of Trauma and Emergency Surgery","FirstCategoryId":"3","ListUrlMain":"https://doi.org/10.1007/s00068-025-02803-z","RegionNum":3,"RegionCategory":"医学","ArticlePicture":[],"TitleCN":null,"AbstractTextCN":null,"PMCID":null,"EPubDate":"","PubModel":"","JCR":"Q2","JCRName":"EMERGENCY MEDICINE","Score":null,"Total":0}
引用次数: 0

摘要

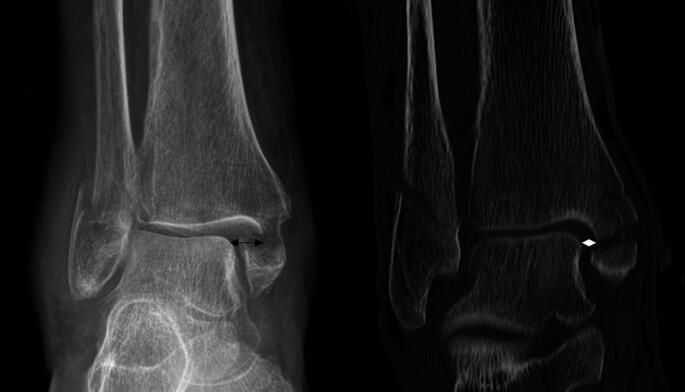
目的:踝关节骨折约占所有成人骨折的10%,且发病率呈上升趋势。脱位的踝关节骨折通常由于肿胀需要延迟切开复位和内固定,需要使用石膏或外固定架暂时稳定。本研究旨在评估用石膏固定的初步复位不充分的危险因素,重点关注内侧间隙和后踝碎片大小,以确定骨折是否受益于外固定架的初步稳定。方法:回顾性分析2011 ~ 2023年我院一级创伤中心收治的踝关节脱位骨折患者。主要结果是固定石膏期间复位不足的比率。次要结局包括最终手术时间、手术时间和住院时间。结果:134例患者符合纳入标准。最常见的骨折类型为AO 44B3,占71.6%。53.7%的患者达到了充分的降低。多元回归分析显示,脱位时的初始内侧间隙是复位后复位不足的独立危险因素。roc分析显示,脱位9 mm时的初始内侧间隙是复位不充分的预测因子,敏感性为88%,特异性为55%。结论:初始内侧间隙是石膏复位不足的重要预测因素,9mm被确定为临界初始内侧间隙的临界值。因此,如果软组织允许,对于初始内侧间隙为bbb90mm的患者,我们建议进行初级外固定或急性内固定。该入路可预防继发性脱位,减少肿胀,加快最终手术。
本文章由计算机程序翻译,如有差异,请以英文原文为准。

The medial clearspace is a risk factor for secondary dislocation following cast immobilization after closed reduction in closed ankle fracture dislocations.

The medial clearspace is a risk factor for secondary dislocation following cast immobilization after closed reduction in closed ankle fracture dislocations.

The medial clearspace is a risk factor for secondary dislocation following cast immobilization after closed reduction in closed ankle fracture dislocations.

The medial clearspace is a risk factor for secondary dislocation following cast immobilization after closed reduction in closed ankle fracture dislocations.

Purpose: Ankle fractures represent about 10% of all adult fractures, with increasing incidence. Dislocated ankle fractures often require delayed open reduction and internal fixation due to swelling, necessitating temporary stabilization using a cast or an external fixator. This study aims to assess risk factors for insufficient preliminary reduction immobilized by a cast, focusing on medial clearspace and posterior malleolus fragment size, to identify fractures that would benefit from initial stabilization with an external fixator.

Methods: Patients treated for dislocated ankle fractures at our level-1 trauma center from 2011 to 2023 were retrospectively reviewed. The primary outcome was the rate of insufficient reduction during immobilization in a cast. Secondary outcomes included time to definitive surgery, length of surgery and hospital stay.

Results: 134 patients met the inclusion criteria. The most common fracture type was AO 44B3, with 71.6%. Sufficient reduction was achieved in 53.7% of patients. Multiple regression analyses revealed the initial medial clearspace at the time of dislocation as an independent risk factor for insufficient reduction after reduction. ROC-analysis revealed that a initial medial clearspace at the time of dislocation of 9 mm is a predictor for insufficient reduction with a sensitivity of 88% and a specificity of 55%.

Conclusion: Initial medial clearspace was an important predictor for insufficient reduction in a cast, with 9 mm being identified as the cutoff for critical initial medial clearspace. Therefore, we recommend primary external fixation or acute internal fixation, if the soft tissue allows it for those patients with initial medial clearspace of > 9 mm. This approach may prevent secondary dislocation, reduce swelling, and expedite definitive surgery.

求助全文
通过发布文献求助,成功后即可免费获取论文全文。 去求助
来源期刊
CiteScore
4.50
自引率
14.30%
发文量
311
审稿时长
3 months
期刊介绍: The European Journal of Trauma and Emergency Surgery aims to open an interdisciplinary forum that allows for the scientific exchange between basic and clinical science related to pathophysiology, diagnostics and treatment of traumatized patients. The journal covers all aspects of clinical management, operative treatment and related research of traumatic injuries. Clinical and experimental papers on issues relevant for the improvement of trauma care are published. Reviews, original articles, short communications and letters allow the appropriate presentation of major and minor topics.
×
引用
GB/T 7714-2015
复制
MLA
复制
APA
复制
导出至
BibTeX EndNote RefMan NoteFirst NoteExpress
×
提示
您的信息不完整,为了账户安全,请先补充。
现在去补充
×
提示
您因"违规操作"
具体请查看互助需知
我知道了
×
提示
确定
请完成安全验证×
copy
已复制链接
快去分享给好友吧!
我知道了
右上角分享
点击右上角分享
0
联系我们:info@booksci.cn Book学术提供免费学术资源搜索服务,方便国内外学者检索中英文文献。致力于提供最便捷和优质的服务体验。 Copyright © 2023 布克学术 All rights reserved.
京ICP备2023020795号-1
ghs 京公网安备 11010802042870号
Book学术文献互助
Book学术文献互助群
群 号:604180095
Book学术官方微信