胶原性口疮与乳糜泻共存1例报告。

IF 0.6 Q4 GASTROENTEROLOGY & HEPATOLOGY
Case Reports in Gastroenterology Pub Date : 2025-04-02 eCollection Date: 2025-01-01 DOI:10.1159/000543939
Tyler M Selig, Ayesha Siddique, John L Reagan, Edward R Feller, Samir A Shah
{"title":"胶原性口疮与乳糜泻共存1例报告。","authors":"Tyler M Selig, Ayesha Siddique, John L Reagan, Edward R Feller, Samir A Shah","doi":"10.1159/000543939","DOIUrl":null,"url":null,"abstract":"<p><strong>Introduction: </strong>Collagenous sprue (CS) is an extremely rare enteropathy of unknown etiology and if untreated, can lead to substantial morbidity and mortality. CS often copresents with celiac disease. The presence of a subepithelial collagen band on histology differentiates CS from celiac disease, as both have villous blunting. The management of the two diseases is different, and thus it is critical that the proper diagnosis of CS is made promptly to prevent complications.</p><p><strong>Case presentation: </strong>We present a case report of CS in an elderly male who was initially diagnosed with celiac disease alone before returning to care years later with unresolved gastrointestinal symptoms.</p><p><strong>Conclusion: </strong>Clinicians must verify that CS has been ruled out following a celiac disease diagnosis. In regard to CS's mechanism, CS's high frequency of comorbid autoimmune conditions and its robust response to corticosteroids support an immune-mediated process. Future research should continue to aim to elucidate the mechanism as it would allow for a more targeted approach to treatment, such as anti-fibrotic or specific immunomodulator therapy.</p>","PeriodicalId":9614,"journal":{"name":"Case Reports in Gastroenterology","volume":"19 1","pages":"246-252"},"PeriodicalIF":0.6000,"publicationDate":"2025-04-02","publicationTypes":"Journal Article","fieldsOfStudy":null,"isOpenAccess":false,"openAccessPdf":"https://www.ncbi.nlm.nih.gov/pmc/articles/PMC11964410/pdf/","citationCount":"0","resultStr":"{\"title\":\"Coexisting Collagenous Sprue and Celiac Disease: A Case Report.\",\"authors\":\"Tyler M Selig, Ayesha Siddique, John L Reagan, Edward R Feller, Samir A Shah\",\"doi\":\"10.1159/000543939\",\"DOIUrl\":null,\"url\":null,\"abstract\":\"<p><strong>Introduction: </strong>Collagenous sprue (CS) is an extremely rare enteropathy of unknown etiology and if untreated, can lead to substantial morbidity and mortality. CS often copresents with celiac disease. The presence of a subepithelial collagen band on histology differentiates CS from celiac disease, as both have villous blunting. The management of the two diseases is different, and thus it is critical that the proper diagnosis of CS is made promptly to prevent complications.</p><p><strong>Case presentation: </strong>We present a case report of CS in an elderly male who was initially diagnosed with celiac disease alone before returning to care years later with unresolved gastrointestinal symptoms.</p><p><strong>Conclusion: </strong>Clinicians must verify that CS has been ruled out following a celiac disease diagnosis. In regard to CS's mechanism, CS's high frequency of comorbid autoimmune conditions and its robust response to corticosteroids support an immune-mediated process. Future research should continue to aim to elucidate the mechanism as it would allow for a more targeted approach to treatment, such as anti-fibrotic or specific immunomodulator therapy.</p>\",\"PeriodicalId\":9614,\"journal\":{\"name\":\"Case Reports in Gastroenterology\",\"volume\":\"19 1\",\"pages\":\"246-252\"},\"PeriodicalIF\":0.6000,\"publicationDate\":\"2025-04-02\",\"publicationTypes\":\"Journal Article\",\"fieldsOfStudy\":null,\"isOpenAccess\":false,\"openAccessPdf\":\"https://www.ncbi.nlm.nih.gov/pmc/articles/PMC11964410/pdf/\",\"citationCount\":\"0\",\"resultStr\":null,\"platform\":\"Semanticscholar\",\"paperid\":null,\"PeriodicalName\":\"Case Reports in Gastroenterology\",\"FirstCategoryId\":\"1085\",\"ListUrlMain\":\"https://doi.org/10.1159/000543939\",\"RegionNum\":0,\"RegionCategory\":null,\"ArticlePicture\":[],\"TitleCN\":null,\"AbstractTextCN\":null,\"PMCID\":null,\"EPubDate\":\"2025/1/1 0:00:00\",\"PubModel\":\"eCollection\",\"JCR\":\"Q4\",\"JCRName\":\"GASTROENTEROLOGY & HEPATOLOGY\",\"Score\":null,\"Total\":0}","platform":"Semanticscholar","paperid":null,"PeriodicalName":"Case Reports in Gastroenterology","FirstCategoryId":"1085","ListUrlMain":"https://doi.org/10.1159/000543939","RegionNum":0,"RegionCategory":null,"ArticlePicture":[],"TitleCN":null,"AbstractTextCN":null,"PMCID":null,"EPubDate":"2025/1/1 0:00:00","PubModel":"eCollection","JCR":"Q4","JCRName":"GASTROENTEROLOGY & HEPATOLOGY","Score":null,"Total":0}
引用次数: 0

摘要

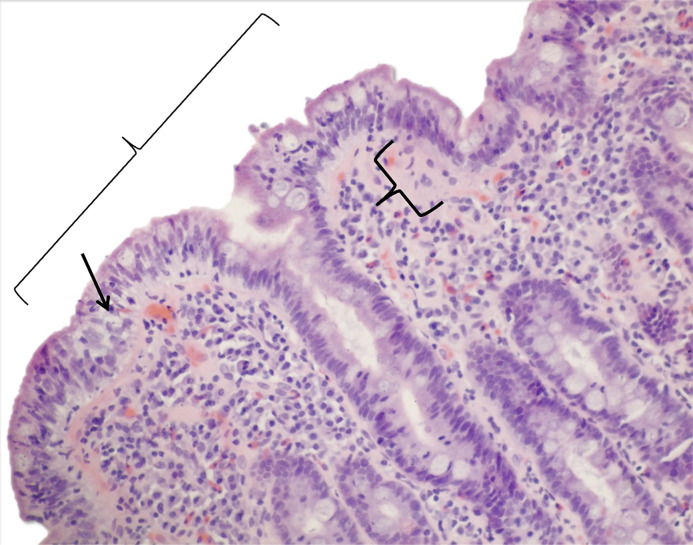
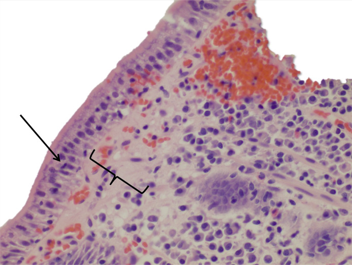
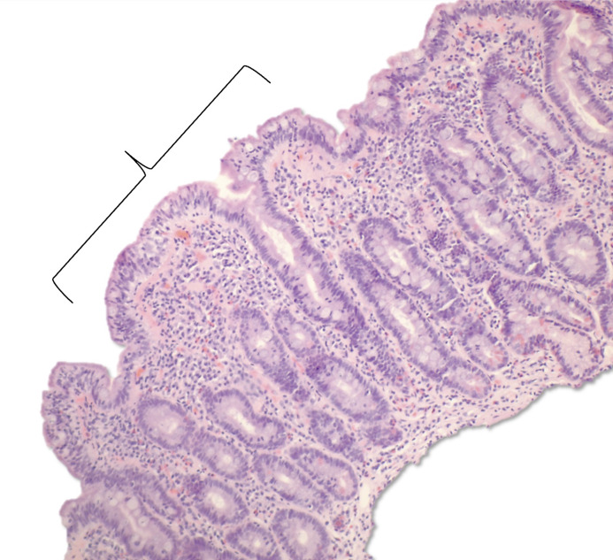
胶原性肠瘘(CS)是一种病因不明的极其罕见的肠病,如果不治疗,可导致大量的发病率和死亡率。CS常伴有乳糜泻。组织学上上皮下胶原带的存在将CS与乳糜泻区分开来,因为两者都有绒毛变钝。这两种疾病的治疗方法不同,因此及时做出正确的诊断以预防并发症至关重要。病例介绍:我们报告了一名老年男性的CS病例,他最初被诊断为乳糜泻,几年后因未解决的胃肠道症状而返回护理。结论:临床医生必须确认在乳糜泻诊断后排除了CS。关于CS的机制,CS的高频率合并症自身免疫性疾病及其对皮质类固醇的强烈反应支持免疫介导的过程。未来的研究应继续致力于阐明其机制,因为它将允许更有针对性的治疗方法,如抗纤维化或特异性免疫调节剂治疗。
本文章由计算机程序翻译,如有差异,请以英文原文为准。

Coexisting Collagenous Sprue and Celiac Disease: A Case Report.

Coexisting Collagenous Sprue and Celiac Disease: A Case Report.

Coexisting Collagenous Sprue and Celiac Disease: A Case Report.

Coexisting Collagenous Sprue and Celiac Disease: A Case Report.

Introduction: Collagenous sprue (CS) is an extremely rare enteropathy of unknown etiology and if untreated, can lead to substantial morbidity and mortality. CS often copresents with celiac disease. The presence of a subepithelial collagen band on histology differentiates CS from celiac disease, as both have villous blunting. The management of the two diseases is different, and thus it is critical that the proper diagnosis of CS is made promptly to prevent complications.

Case presentation: We present a case report of CS in an elderly male who was initially diagnosed with celiac disease alone before returning to care years later with unresolved gastrointestinal symptoms.

Conclusion: Clinicians must verify that CS has been ruled out following a celiac disease diagnosis. In regard to CS's mechanism, CS's high frequency of comorbid autoimmune conditions and its robust response to corticosteroids support an immune-mediated process. Future research should continue to aim to elucidate the mechanism as it would allow for a more targeted approach to treatment, such as anti-fibrotic or specific immunomodulator therapy.

求助全文
通过发布文献求助,成功后即可免费获取论文全文。 去求助
来源期刊
Case Reports in Gastroenterology
Case Reports in Gastroenterology Medicine-Gastroenterology
CiteScore
1.10
自引率
0.00%
发文量
99
审稿时长
7 weeks
期刊介绍:
×
引用
GB/T 7714-2015
复制
MLA
复制
APA
复制
导出至
BibTeX EndNote RefMan NoteFirst NoteExpress
×
提示
您的信息不完整,为了账户安全,请先补充。
现在去补充
×
提示
您因"违规操作"
具体请查看互助需知
我知道了
×
提示
确定
请完成安全验证×
copy
已复制链接
快去分享给好友吧!
我知道了
右上角分享
点击右上角分享
0
联系我们:info@booksci.cn Book学术提供免费学术资源搜索服务,方便国内外学者检索中英文文献。致力于提供最便捷和优质的服务体验。 Copyright © 2023 布克学术 All rights reserved.
京ICP备2023020795号-1
ghs 京公网安备 11010802042870号
Book学术文献互助
Book学术文献互助群
群 号:604180095
Book学术官方微信