一种用于组织工程的新型蛋壳来源的磷酸钙生物陶瓷:细胞毒性和组织形态学研究。

IF 1.3
Acta cirurgica brasileira Pub Date : 2025-03-31 eCollection Date: 2025-01-01 DOI:10.1590/acb402625
Conrado Dias do Nascimento Neto, Laisa Kindely Ramos de Oliveira, Amy Brian Costa E Silva, Patrícia Roccon Bianchi, André Gustavo de Sousa Galdino, Daniela Nascimento Silva
{"title":"一种用于组织工程的新型蛋壳来源的磷酸钙生物陶瓷:细胞毒性和组织形态学研究。","authors":"Conrado Dias do Nascimento Neto, Laisa Kindely Ramos de Oliveira, Amy Brian Costa E Silva, Patrícia Roccon Bianchi, André Gustavo de Sousa Galdino, Daniela Nascimento Silva","doi":"10.1590/acb402625","DOIUrl":null,"url":null,"abstract":"<p><strong>Purpose: </strong>To evaluate cytotoxicity and tissue repair of a new chicken eggshell-derived bioceramic (hydroxyapatite/dicalcium phosphate anhydrous-HA/DCPA).</p><p><strong>Methods: </strong>Cytotoxicity was evaluated in fibroblasts (L cell, L-929) by MTT test. Tissue repair of HA/DCPA was compared to HA/β-TCP bioceramic (Maxresorb-MXR). Two critical-sized bone defects (CSDs) were drilled in the calvarial of 24 Wistar rats and filled with one of the biomaterials. The animals were euthanized after 30, 60, and 90 days, and bone specimens were examined by histomorphometric analyses, scanning electron microscopy, and energy-dispersive X-ray spectroscopy. The percentages of newly formed bone, connective tissue, remaining biomaterial, and total tissue repair area were compared between groups using Student's t-test and analysis of variance (p ≤ 0.05).</p><p><strong>Results: </strong>HA/DCPA did not exhibit any cytotoxicity. CSDs contained newly formed bone from the defect margins and from ossification centers interspersed throughout the biomaterials. At 30 days, HA/DCPA group had a significantly larger total tissue repair area than MXR group (p = 0.047). No differences were observed between groups regarding variables studied (p > 0.05).</p><p><strong>Conclusion: </strong>HA/DCPA is non-cytotoxic. This cement promoted new bone formation and tissue filling of the entire defect area with degree of biomaterial degradation similar to HA/β-TCP, proving to be equally suitable and successful for bone regeneration.</p>","PeriodicalId":93850,"journal":{"name":"Acta cirurgica brasileira","volume":"40 ","pages":"e402625"},"PeriodicalIF":1.3000,"publicationDate":"2025-03-31","publicationTypes":"Journal Article","fieldsOfStudy":null,"isOpenAccess":false,"openAccessPdf":"https://www.ncbi.nlm.nih.gov/pmc/articles/PMC11960574/pdf/","citationCount":"0","resultStr":"{\"title\":\"A new eggshell-derived calcium phosphate bioceramic for tissue engineering: cytotoxicity and histomorphometric study.\",\"authors\":\"Conrado Dias do Nascimento Neto, Laisa Kindely Ramos de Oliveira, Amy Brian Costa E Silva, Patrícia Roccon Bianchi, André Gustavo de Sousa Galdino, Daniela Nascimento Silva\",\"doi\":\"10.1590/acb402625\",\"DOIUrl\":null,\"url\":null,\"abstract\":\"<p><strong>Purpose: </strong>To evaluate cytotoxicity and tissue repair of a new chicken eggshell-derived bioceramic (hydroxyapatite/dicalcium phosphate anhydrous-HA/DCPA).</p><p><strong>Methods: </strong>Cytotoxicity was evaluated in fibroblasts (L cell, L-929) by MTT test. Tissue repair of HA/DCPA was compared to HA/β-TCP bioceramic (Maxresorb-MXR). Two critical-sized bone defects (CSDs) were drilled in the calvarial of 24 Wistar rats and filled with one of the biomaterials. The animals were euthanized after 30, 60, and 90 days, and bone specimens were examined by histomorphometric analyses, scanning electron microscopy, and energy-dispersive X-ray spectroscopy. The percentages of newly formed bone, connective tissue, remaining biomaterial, and total tissue repair area were compared between groups using Student's t-test and analysis of variance (p ≤ 0.05).</p><p><strong>Results: </strong>HA/DCPA did not exhibit any cytotoxicity. CSDs contained newly formed bone from the defect margins and from ossification centers interspersed throughout the biomaterials. At 30 days, HA/DCPA group had a significantly larger total tissue repair area than MXR group (p = 0.047). No differences were observed between groups regarding variables studied (p > 0.05).</p><p><strong>Conclusion: </strong>HA/DCPA is non-cytotoxic. This cement promoted new bone formation and tissue filling of the entire defect area with degree of biomaterial degradation similar to HA/β-TCP, proving to be equally suitable and successful for bone regeneration.</p>\",\"PeriodicalId\":93850,\"journal\":{\"name\":\"Acta cirurgica brasileira\",\"volume\":\"40 \",\"pages\":\"e402625\"},\"PeriodicalIF\":1.3000,\"publicationDate\":\"2025-03-31\",\"publicationTypes\":\"Journal Article\",\"fieldsOfStudy\":null,\"isOpenAccess\":false,\"openAccessPdf\":\"https://www.ncbi.nlm.nih.gov/pmc/articles/PMC11960574/pdf/\",\"citationCount\":\"0\",\"resultStr\":null,\"platform\":\"Semanticscholar\",\"paperid\":null,\"PeriodicalName\":\"Acta cirurgica brasileira\",\"FirstCategoryId\":\"1085\",\"ListUrlMain\":\"https://doi.org/10.1590/acb402625\",\"RegionNum\":0,\"RegionCategory\":null,\"ArticlePicture\":[],\"TitleCN\":null,\"AbstractTextCN\":null,\"PMCID\":null,\"EPubDate\":\"2025/1/1 0:00:00\",\"PubModel\":\"eCollection\",\"JCR\":\"\",\"JCRName\":\"\",\"Score\":null,\"Total\":0}","platform":"Semanticscholar","paperid":null,"PeriodicalName":"Acta cirurgica brasileira","FirstCategoryId":"1085","ListUrlMain":"https://doi.org/10.1590/acb402625","RegionNum":0,"RegionCategory":null,"ArticlePicture":[],"TitleCN":null,"AbstractTextCN":null,"PMCID":null,"EPubDate":"2025/1/1 0:00:00","PubModel":"eCollection","JCR":"","JCRName":"","Score":null,"Total":0}
引用次数: 0

摘要

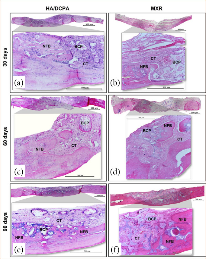
目的:评价一种新型蛋壳生物陶瓷(羟基磷灰石/无水磷酸二钙- ha /DCPA)的细胞毒性和组织修复作用。方法:采用MTT法测定成纤维细胞(L细胞,L-929)的细胞毒性。比较HA/DCPA与HA/β-TCP生物陶瓷(Maxresorb-MXR)的组织修复效果。在24只Wistar大鼠颅骨上钻取两个临界大小的骨缺损(CSDs),并用其中一种生物材料填充。分别在30,60和90天后对动物实施安乐死,并通过组织形态学分析,扫描电子显微镜和能量色散x射线光谱学检查骨标本。新成骨百分率、结缔组织百分率、剩余生物材料百分率、组织修复总面积百分率比较采用Student’st检验和方差分析(p≤0.05)。结果:HA/DCPA无细胞毒性。csd包含来自缺损边缘和骨化中心的新形成的骨,这些骨分布在整个生物材料中。30 d时,HA/DCPA组的组织修复面积显著大于MXR组(p = 0.047)。各组间研究变量无差异(p < 0.05)。结论:HA/DCPA无细胞毒性。该骨水泥促进了整个缺损区域的新骨形成和组织填充,生物材料降解程度与HA/β-TCP相似,同样适用于骨再生并取得了成功。
本文章由计算机程序翻译,如有差异,请以英文原文为准。

A new eggshell-derived calcium phosphate bioceramic for tissue engineering: cytotoxicity and histomorphometric study.

A new eggshell-derived calcium phosphate bioceramic for tissue engineering: cytotoxicity and histomorphometric study.

A new eggshell-derived calcium phosphate bioceramic for tissue engineering: cytotoxicity and histomorphometric study.

A new eggshell-derived calcium phosphate bioceramic for tissue engineering: cytotoxicity and histomorphometric study.

Purpose: To evaluate cytotoxicity and tissue repair of a new chicken eggshell-derived bioceramic (hydroxyapatite/dicalcium phosphate anhydrous-HA/DCPA).

Methods: Cytotoxicity was evaluated in fibroblasts (L cell, L-929) by MTT test. Tissue repair of HA/DCPA was compared to HA/β-TCP bioceramic (Maxresorb-MXR). Two critical-sized bone defects (CSDs) were drilled in the calvarial of 24 Wistar rats and filled with one of the biomaterials. The animals were euthanized after 30, 60, and 90 days, and bone specimens were examined by histomorphometric analyses, scanning electron microscopy, and energy-dispersive X-ray spectroscopy. The percentages of newly formed bone, connective tissue, remaining biomaterial, and total tissue repair area were compared between groups using Student's t-test and analysis of variance (p ≤ 0.05).

Results: HA/DCPA did not exhibit any cytotoxicity. CSDs contained newly formed bone from the defect margins and from ossification centers interspersed throughout the biomaterials. At 30 days, HA/DCPA group had a significantly larger total tissue repair area than MXR group (p = 0.047). No differences were observed between groups regarding variables studied (p > 0.05).

Conclusion: HA/DCPA is non-cytotoxic. This cement promoted new bone formation and tissue filling of the entire defect area with degree of biomaterial degradation similar to HA/β-TCP, proving to be equally suitable and successful for bone regeneration.

求助全文
通过发布文献求助,成功后即可免费获取论文全文。 去求助
来源期刊
自引率
0.00%
发文量
0
×
引用
GB/T 7714-2015
复制
MLA
复制
APA
复制
导出至
BibTeX EndNote RefMan NoteFirst NoteExpress
×
提示
您的信息不完整,为了账户安全,请先补充。
现在去补充
×
提示
您因"违规操作"
具体请查看互助需知
我知道了
×
提示
确定
请完成安全验证×
copy
已复制链接
快去分享给好友吧!
我知道了
右上角分享
点击右上角分享
0
联系我们:info@booksci.cn Book学术提供免费学术资源搜索服务,方便国内外学者检索中英文文献。致力于提供最便捷和优质的服务体验。 Copyright © 2023 布克学术 All rights reserved.
京ICP备2023020795号-1
ghs 京公网安备 11010802042870号
Book学术文献互助
Book学术文献互助群
群 号:604180095
Book学术官方微信