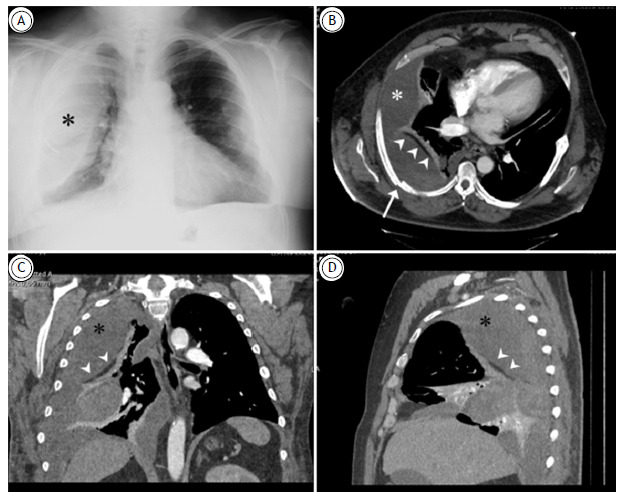
右胸膜外血肿,胸部外伤所致。胸膜外脂肪征。

IF 3 4区 医学 Q2 RESPIRATORY SYSTEM
Raquel García-Latorre, Luis Gorospe, Abel González-Huete
{"title":"右胸膜外血肿,胸部外伤所致。胸膜外脂肪征。","authors":"Raquel García-Latorre, Luis Gorospe, Abel González-Huete","doi":"10.36416/1806-3756/e20250027","DOIUrl":null,"url":null,"abstract":"","PeriodicalId":14845,"journal":{"name":"Jornal Brasileiro De Pneumologia","volume":"51 1","pages":"e20250027"},"PeriodicalIF":3.0000,"publicationDate":"2025-03-31","publicationTypes":"Journal Article","fieldsOfStudy":null,"isOpenAccess":false,"openAccessPdf":"https://www.ncbi.nlm.nih.gov/pmc/articles/PMC12097746/pdf/","citationCount":"0","resultStr":"{\"title\":\"Right extrapleural hematoma due to thoracic trauma. The extrapleural fat sign.\",\"authors\":\"Raquel García-Latorre, Luis Gorospe, Abel González-Huete\",\"doi\":\"10.36416/1806-3756/e20250027\",\"DOIUrl\":null,\"url\":null,\"abstract\":\"\",\"PeriodicalId\":14845,\"journal\":{\"name\":\"Jornal Brasileiro De Pneumologia\",\"volume\":\"51 1\",\"pages\":\"e20250027\"},\"PeriodicalIF\":3.0000,\"publicationDate\":\"2025-03-31\",\"publicationTypes\":\"Journal Article\",\"fieldsOfStudy\":null,\"isOpenAccess\":false,\"openAccessPdf\":\"https://www.ncbi.nlm.nih.gov/pmc/articles/PMC12097746/pdf/\",\"citationCount\":\"0\",\"resultStr\":null,\"platform\":\"Semanticscholar\",\"paperid\":null,\"PeriodicalName\":\"Jornal Brasileiro De Pneumologia\",\"FirstCategoryId\":\"3\",\"ListUrlMain\":\"https://doi.org/10.36416/1806-3756/e20250027\",\"RegionNum\":4,\"RegionCategory\":\"医学\",\"ArticlePicture\":[],\"TitleCN\":null,\"AbstractTextCN\":null,\"PMCID\":null,\"EPubDate\":\"\",\"PubModel\":\"\",\"JCR\":\"Q2\",\"JCRName\":\"RESPIRATORY SYSTEM\",\"Score\":null,\"Total\":0}","platform":"Semanticscholar","paperid":null,"PeriodicalName":"Jornal Brasileiro De Pneumologia","FirstCategoryId":"3","ListUrlMain":"https://doi.org/10.36416/1806-3756/e20250027","RegionNum":4,"RegionCategory":"医学","ArticlePicture":[],"TitleCN":null,"AbstractTextCN":null,"PMCID":null,"EPubDate":"","PubModel":"","JCR":"Q2","JCRName":"RESPIRATORY SYSTEM","Score":null,"Total":0}
引用次数: 0

摘要

本文章由计算机程序翻译,如有差异,请以英文原文为准。

Right extrapleural hematoma due to thoracic trauma. The extrapleural fat sign.

Right extrapleural hematoma due to thoracic trauma. The extrapleural fat sign.
求助全文
通过发布文献求助,成功后即可免费获取论文全文。 去求助
来源期刊
Jornal Brasileiro De Pneumologia
Jornal Brasileiro De Pneumologia RESPIRATORY SYSTEM-
CiteScore
3.50
自引率
14.80%
发文量
118
审稿时长
20 weeks
期刊介绍: The Brazilian Journal of Pulmonology publishes scientific articles that contribute to the improvement of knowledge in the field of the lung diseases and related areas.
×
引用
GB/T 7714-2015
复制
MLA
复制
APA
复制
导出至
BibTeX EndNote RefMan NoteFirst NoteExpress
×
提示
您的信息不完整,为了账户安全,请先补充。
现在去补充
×
提示
您因"违规操作"
具体请查看互助需知
我知道了
×
提示
确定
请完成安全验证×
copy
已复制链接
快去分享给好友吧!
我知道了
右上角分享
点击右上角分享
0
联系我们:info@booksci.cn Book学术提供免费学术资源搜索服务,方便国内外学者检索中英文文献。致力于提供最便捷和优质的服务体验。 Copyright © 2023 布克学术 All rights reserved.
京ICP备2023020795号-1
ghs 京公网安备 11010802042870号
Book学术文献互助
Book学术文献互助群
群 号:604180095
Book学术官方微信