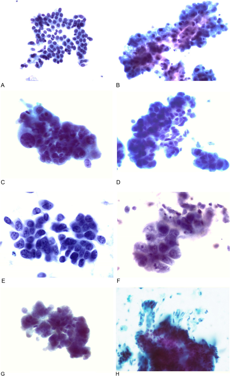
子宫内膜病变患者液基细胞学准备中细胞的形态特征和排列。

IF 2.3 3区 医学 Q2 PATHOLOGY
Ming-Zhe Wu, Na-Jin Gu, Ming-Ming Xiao, Dong-Ge Liu, Mu-Lan Jin, Xu-Yan Liu, Jian Wang, Hong-Tao Xu, Yi Zhang, Guang-Ping Wu
{"title":"子宫内膜病变患者液基细胞学准备中细胞的形态特征和排列。","authors":"Ming-Zhe Wu, Na-Jin Gu, Ming-Ming Xiao, Dong-Ge Liu, Mu-Lan Jin, Xu-Yan Liu, Jian Wang, Hong-Tao Xu, Yi Zhang, Guang-Ping Wu","doi":"10.1186/s13000-025-01631-4","DOIUrl":null,"url":null,"abstract":"<p><strong>Background: </strong>The accurate cytological diagnosis of endometrial carcinomas by minimally invasive method has a broad application. There are several articles described the morphological characteristics but not arrangements of endometrial lesion cells on LBC slides.</p><p><strong>Methods: </strong>A retrospective study was conducted using 175 endometrial samples obtained by direct negative pressure suction with disposable endometrial sampler. All lesions were diagnosed both cytologically and histologically, and the diagnostic results were compared and analyzed.</p><p><strong>Results: </strong>The cytological diagnoses of polyps, simple or complex hyperplasia, and atypical hyperplasia were highly consistent with the histological diagnosis. The cytological features of polyps and normal endometrium, as well as simple and complex hyperplasia, are the same. Among 82 cases of histologically confirmed adenocarcinoma, the cytological diagnosis were adenocarcinoma cells (46 cases, 56.10%), suspected for adenocarcinoma cells (22 cases, 26.83%), and false negative (14 cases,17.07%). Retrospective reviewing the slide suggest diagnostic parameters such as significantly enlarged nuclei, multistage papillary arrangements, large and numerous nucleoli, and large vacuoles containing neutrophils in the cytoplasm are reliable diagnostic criteria for endometrial carcinoma cells; on the other hand, ignorance of lobulated arrangements and escaped arrangements are the main reasons for missed diagnosis.</p><p><strong>Conclusions: </strong>The cytological diagnosis of endometrial lesions not only depends on the morphological characteristics of cells, but also need careful observations of the cellular arrangements.</p>","PeriodicalId":11237,"journal":{"name":"Diagnostic Pathology","volume":"20 1","pages":"32"},"PeriodicalIF":2.3000,"publicationDate":"2025-04-01","publicationTypes":"Journal Article","fieldsOfStudy":null,"isOpenAccess":false,"openAccessPdf":"https://www.ncbi.nlm.nih.gov/pmc/articles/PMC11963423/pdf/","citationCount":"0","resultStr":"{\"title\":\"The morphological characteristics and arrangements of cells in the liquid-based cytology preparation of patients with endometrial lesions.\",\"authors\":\"Ming-Zhe Wu, Na-Jin Gu, Ming-Ming Xiao, Dong-Ge Liu, Mu-Lan Jin, Xu-Yan Liu, Jian Wang, Hong-Tao Xu, Yi Zhang, Guang-Ping Wu\",\"doi\":\"10.1186/s13000-025-01631-4\",\"DOIUrl\":null,\"url\":null,\"abstract\":\"<p><strong>Background: </strong>The accurate cytological diagnosis of endometrial carcinomas by minimally invasive method has a broad application. There are several articles described the morphological characteristics but not arrangements of endometrial lesion cells on LBC slides.</p><p><strong>Methods: </strong>A retrospective study was conducted using 175 endometrial samples obtained by direct negative pressure suction with disposable endometrial sampler. All lesions were diagnosed both cytologically and histologically, and the diagnostic results were compared and analyzed.</p><p><strong>Results: </strong>The cytological diagnoses of polyps, simple or complex hyperplasia, and atypical hyperplasia were highly consistent with the histological diagnosis. The cytological features of polyps and normal endometrium, as well as simple and complex hyperplasia, are the same. Among 82 cases of histologically confirmed adenocarcinoma, the cytological diagnosis were adenocarcinoma cells (46 cases, 56.10%), suspected for adenocarcinoma cells (22 cases, 26.83%), and false negative (14 cases,17.07%). Retrospective reviewing the slide suggest diagnostic parameters such as significantly enlarged nuclei, multistage papillary arrangements, large and numerous nucleoli, and large vacuoles containing neutrophils in the cytoplasm are reliable diagnostic criteria for endometrial carcinoma cells; on the other hand, ignorance of lobulated arrangements and escaped arrangements are the main reasons for missed diagnosis.</p><p><strong>Conclusions: </strong>The cytological diagnosis of endometrial lesions not only depends on the morphological characteristics of cells, but also need careful observations of the cellular arrangements.</p>\",\"PeriodicalId\":11237,\"journal\":{\"name\":\"Diagnostic Pathology\",\"volume\":\"20 1\",\"pages\":\"32\"},\"PeriodicalIF\":2.3000,\"publicationDate\":\"2025-04-01\",\"publicationTypes\":\"Journal Article\",\"fieldsOfStudy\":null,\"isOpenAccess\":false,\"openAccessPdf\":\"https://www.ncbi.nlm.nih.gov/pmc/articles/PMC11963423/pdf/\",\"citationCount\":\"0\",\"resultStr\":null,\"platform\":\"Semanticscholar\",\"paperid\":null,\"PeriodicalName\":\"Diagnostic Pathology\",\"FirstCategoryId\":\"3\",\"ListUrlMain\":\"https://doi.org/10.1186/s13000-025-01631-4\",\"RegionNum\":3,\"RegionCategory\":\"医学\",\"ArticlePicture\":[],\"TitleCN\":null,\"AbstractTextCN\":null,\"PMCID\":null,\"EPubDate\":\"\",\"PubModel\":\"\",\"JCR\":\"Q2\",\"JCRName\":\"PATHOLOGY\",\"Score\":null,\"Total\":0}","platform":"Semanticscholar","paperid":null,"PeriodicalName":"Diagnostic Pathology","FirstCategoryId":"3","ListUrlMain":"https://doi.org/10.1186/s13000-025-01631-4","RegionNum":3,"RegionCategory":"医学","ArticlePicture":[],"TitleCN":null,"AbstractTextCN":null,"PMCID":null,"EPubDate":"","PubModel":"","JCR":"Q2","JCRName":"PATHOLOGY","Score":null,"Total":0}
引用次数: 0

摘要

背景:子宫内膜癌的微创细胞学准确诊断具有广泛的应用前景。有几篇文章描述了LBC玻片上子宫内膜病变细胞的形态特征,但没有描述其排列。方法:采用一次性子宫内膜取样器直接负压吸取175例子宫内膜标本进行回顾性研究。对所有病变进行细胞学和组织学诊断,并对诊断结果进行比较和分析。结果:息肉、单纯或复杂增生、不典型增生的细胞学诊断与组织学诊断高度一致。息肉与正常子宫内膜的细胞学特征,以及单纯和复杂增生是相同的。在82例组织学确诊的腺癌中,细胞学诊断为腺癌细胞46例(56.10%),疑似腺癌细胞22例(26.83%),假阴性14例(17.07%)。回顾性检查切片提示诊断参数如细胞核明显增大,多期乳头状排列,核核大且多,细胞质中含有中性粒细胞的大液泡是子宫内膜癌的可靠诊断标准;另一方面,对分叶排列和漏诊排列的无知是漏诊的主要原因。结论:子宫内膜病变的细胞学诊断不仅依赖于细胞的形态学特征,还需要仔细观察细胞排列。
本文章由计算机程序翻译,如有差异,请以英文原文为准。

The morphological characteristics and arrangements of cells in the liquid-based cytology preparation of patients with endometrial lesions.

The morphological characteristics and arrangements of cells in the liquid-based cytology preparation of patients with endometrial lesions.

Background: The accurate cytological diagnosis of endometrial carcinomas by minimally invasive method has a broad application. There are several articles described the morphological characteristics but not arrangements of endometrial lesion cells on LBC slides.

Methods: A retrospective study was conducted using 175 endometrial samples obtained by direct negative pressure suction with disposable endometrial sampler. All lesions were diagnosed both cytologically and histologically, and the diagnostic results were compared and analyzed.

Results: The cytological diagnoses of polyps, simple or complex hyperplasia, and atypical hyperplasia were highly consistent with the histological diagnosis. The cytological features of polyps and normal endometrium, as well as simple and complex hyperplasia, are the same. Among 82 cases of histologically confirmed adenocarcinoma, the cytological diagnosis were adenocarcinoma cells (46 cases, 56.10%), suspected for adenocarcinoma cells (22 cases, 26.83%), and false negative (14 cases,17.07%). Retrospective reviewing the slide suggest diagnostic parameters such as significantly enlarged nuclei, multistage papillary arrangements, large and numerous nucleoli, and large vacuoles containing neutrophils in the cytoplasm are reliable diagnostic criteria for endometrial carcinoma cells; on the other hand, ignorance of lobulated arrangements and escaped arrangements are the main reasons for missed diagnosis.

Conclusions: The cytological diagnosis of endometrial lesions not only depends on the morphological characteristics of cells, but also need careful observations of the cellular arrangements.

求助全文
通过发布文献求助,成功后即可免费获取论文全文。 去求助
来源期刊
Diagnostic Pathology
Diagnostic Pathology 医学-病理学
CiteScore
4.60
自引率
0.00%
发文量
93
审稿时长
1 months
期刊介绍: Diagnostic Pathology is an open access, peer-reviewed, online journal that considers research in surgical and clinical pathology, immunology, and biology, with a special focus on cutting-edge approaches in diagnostic pathology and tissue-based therapy. The journal covers all aspects of surgical pathology, including classic diagnostic pathology, prognosis-related diagnosis (tumor stages, prognosis markers, such as MIB-percentage, hormone receptors, etc.), and therapy-related findings. The journal also focuses on the technological aspects of pathology, including molecular biology techniques, morphometry aspects (stereology, DNA analysis, syntactic structure analysis), communication aspects (telecommunication, virtual microscopy, virtual pathology institutions, etc.), and electronic education and quality assurance (for example interactive publication, on-line references with automated updating, etc.).
×
引用
GB/T 7714-2015
复制
MLA
复制
APA
复制
导出至
BibTeX EndNote RefMan NoteFirst NoteExpress
×
提示
您的信息不完整,为了账户安全,请先补充。
现在去补充
×
提示
您因"违规操作"
具体请查看互助需知
我知道了
×
提示
确定
请完成安全验证×
copy
已复制链接
快去分享给好友吧!
我知道了
右上角分享
点击右上角分享
0
联系我们:info@booksci.cn Book学术提供免费学术资源搜索服务,方便国内外学者检索中英文文献。致力于提供最便捷和优质的服务体验。 Copyright © 2023 布克学术 All rights reserved.
京ICP备2023020795号-1
ghs 京公网安备 11010802042870号
Book学术文献互助
Book学术文献互助群
群 号:604180095
Book学术官方微信