一例报告:隐源性多灶性溃疡性狭窄性肠炎-模拟克罗恩病的诊断挑战。

IF 0.6 Q4 GASTROENTEROLOGY & HEPATOLOGY
Case Reports in Gastroenterology Pub Date : 2025-04-01 eCollection Date: 2025-01-01 DOI:10.1159/000544941
Naveena Luke, Inna Carmela De Leon, Shayan Azizi, Seymour Katz
{"title":"一例报告:隐源性多灶性溃疡性狭窄性肠炎-模拟克罗恩病的诊断挑战。","authors":"Naveena Luke, Inna Carmela De Leon, Shayan Azizi, Seymour Katz","doi":"10.1159/000544941","DOIUrl":null,"url":null,"abstract":"<p><strong>Introduction: </strong>Cryptogenic multifocal ulcerative stenosing enteritis (CMUSE) is a rare and underrecognized small bowel disorder that often mimics Crohn's disease, leading to delays in diagnosis and misdirected treatment. Given its relapsing nature and resistance to conventional inflammatory bowel disease (IBD) therapies, CMUSE presents significant diagnostic and therapeutic challenges.</p><p><strong>Case presentation: </strong>We present the case of a 41-year-old male with chronic anemia, fatigue, weight loss, and intermittent abdominal pain with melena, who remained undiagnosed for 9 years despite extensive evaluations. Imaging and endoscopy failed to identify a definitive cause, and management with TNF inhibitors and IL-12/IL-23 blockade provided only temporary relief. The patient required multiple surgical resections due to recurrent strictures. Pathological examination consistently revealed multifocal jejunal ulceration with stenosis but lacked granulomas, vasculitis, or systemic inflammatory markers, ultimately confirming CMUSE. Given its distinct pathology and treatment resistance, differentiating CMUSE from Crohn's disease is essential. The patient's ongoing management includes upadacitinib, a JAK1 inhibitor, which may help modulate immune pathways contributing to ulcer formation and stricture development.</p><p><strong>Conclusion: </strong>This case underscores the need for heightened clinical recognition of CMUSE, particularly in patients with unexplained small bowel strictures and ulceration unresponsive to standard IBD therapies. Genetic testing may aid in distinguishing CMUSE from Crohn's disease, preventing unnecessary immunosuppressive treatments. Further research is necessary to establish effective, targeted therapies and improve outcomes for patients with this rare condition.</p>","PeriodicalId":9614,"journal":{"name":"Case Reports in Gastroenterology","volume":"19 1","pages":"238-245"},"PeriodicalIF":0.6000,"publicationDate":"2025-04-01","publicationTypes":"Journal Article","fieldsOfStudy":null,"isOpenAccess":false,"openAccessPdf":"https://www.ncbi.nlm.nih.gov/pmc/articles/PMC11961150/pdf/","citationCount":"0","resultStr":"{\"title\":\"A Case Report: Cryptogenic Multifocal Ulcerative Stenosing Enteritis - A Diagnostic Challenge Mimicking Crohn's Disease.\",\"authors\":\"Naveena Luke, Inna Carmela De Leon, Shayan Azizi, Seymour Katz\",\"doi\":\"10.1159/000544941\",\"DOIUrl\":null,\"url\":null,\"abstract\":\"<p><strong>Introduction: </strong>Cryptogenic multifocal ulcerative stenosing enteritis (CMUSE) is a rare and underrecognized small bowel disorder that often mimics Crohn's disease, leading to delays in diagnosis and misdirected treatment. Given its relapsing nature and resistance to conventional inflammatory bowel disease (IBD) therapies, CMUSE presents significant diagnostic and therapeutic challenges.</p><p><strong>Case presentation: </strong>We present the case of a 41-year-old male with chronic anemia, fatigue, weight loss, and intermittent abdominal pain with melena, who remained undiagnosed for 9 years despite extensive evaluations. Imaging and endoscopy failed to identify a definitive cause, and management with TNF inhibitors and IL-12/IL-23 blockade provided only temporary relief. The patient required multiple surgical resections due to recurrent strictures. Pathological examination consistently revealed multifocal jejunal ulceration with stenosis but lacked granulomas, vasculitis, or systemic inflammatory markers, ultimately confirming CMUSE. Given its distinct pathology and treatment resistance, differentiating CMUSE from Crohn's disease is essential. The patient's ongoing management includes upadacitinib, a JAK1 inhibitor, which may help modulate immune pathways contributing to ulcer formation and stricture development.</p><p><strong>Conclusion: </strong>This case underscores the need for heightened clinical recognition of CMUSE, particularly in patients with unexplained small bowel strictures and ulceration unresponsive to standard IBD therapies. Genetic testing may aid in distinguishing CMUSE from Crohn's disease, preventing unnecessary immunosuppressive treatments. Further research is necessary to establish effective, targeted therapies and improve outcomes for patients with this rare condition.</p>\",\"PeriodicalId\":9614,\"journal\":{\"name\":\"Case Reports in Gastroenterology\",\"volume\":\"19 1\",\"pages\":\"238-245\"},\"PeriodicalIF\":0.6000,\"publicationDate\":\"2025-04-01\",\"publicationTypes\":\"Journal Article\",\"fieldsOfStudy\":null,\"isOpenAccess\":false,\"openAccessPdf\":\"https://www.ncbi.nlm.nih.gov/pmc/articles/PMC11961150/pdf/\",\"citationCount\":\"0\",\"resultStr\":null,\"platform\":\"Semanticscholar\",\"paperid\":null,\"PeriodicalName\":\"Case Reports in Gastroenterology\",\"FirstCategoryId\":\"1085\",\"ListUrlMain\":\"https://doi.org/10.1159/000544941\",\"RegionNum\":0,\"RegionCategory\":null,\"ArticlePicture\":[],\"TitleCN\":null,\"AbstractTextCN\":null,\"PMCID\":null,\"EPubDate\":\"2025/1/1 0:00:00\",\"PubModel\":\"eCollection\",\"JCR\":\"Q4\",\"JCRName\":\"GASTROENTEROLOGY & HEPATOLOGY\",\"Score\":null,\"Total\":0}","platform":"Semanticscholar","paperid":null,"PeriodicalName":"Case Reports in Gastroenterology","FirstCategoryId":"1085","ListUrlMain":"https://doi.org/10.1159/000544941","RegionNum":0,"RegionCategory":null,"ArticlePicture":[],"TitleCN":null,"AbstractTextCN":null,"PMCID":null,"EPubDate":"2025/1/1 0:00:00","PubModel":"eCollection","JCR":"Q4","JCRName":"GASTROENTEROLOGY & HEPATOLOGY","Score":null,"Total":0}
引用次数: 0

摘要

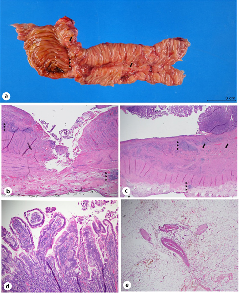
隐源性多灶性溃疡性狭窄性肠炎(CMUSE)是一种罕见且未被充分认识的小肠疾病,通常与克罗恩病相似,导致诊断延误和错误治疗。鉴于其复发性和对传统炎症性肠病(IBD)治疗的耐药性,CMUSE提出了重大的诊断和治疗挑战。病例介绍:我们报告一例41岁男性慢性贫血,疲劳,体重减轻,间歇性腹痛伴黑黑症,尽管进行了广泛的评估,但仍未确诊9年。影像学和内窥镜检查未能确定明确的原因,TNF抑制剂和IL-12/IL-23阻断治疗只能提供暂时的缓解。由于复发性狭窄,患者需要多次手术切除。病理检查一致显示多灶性空肠溃疡伴狭窄,但无肉芽肿、血管炎或全身炎症标志物,最终证实为CMUSE。鉴于其独特的病理和治疗耐药性,将CMUSE与克罗恩病区分开来是至关重要的。患者正在进行的治疗包括upadacitinib,一种JAK1抑制剂,可能有助于调节促进溃疡形成和狭窄发展的免疫途径。结论:该病例强调了提高临床对CMUSE的认识的必要性,特别是对于原因不明的小肠狭窄和对标准IBD治疗无反应的溃疡患者。基因检测可能有助于区分CMUSE和克罗恩病,防止不必要的免疫抑制治疗。需要进一步的研究来建立有效的靶向治疗方法并改善这种罕见疾病患者的预后。
本文章由计算机程序翻译,如有差异,请以英文原文为准。

A Case Report: Cryptogenic Multifocal Ulcerative Stenosing Enteritis - A Diagnostic Challenge Mimicking Crohn's Disease.

A Case Report: Cryptogenic Multifocal Ulcerative Stenosing Enteritis - A Diagnostic Challenge Mimicking Crohn's Disease.

Introduction: Cryptogenic multifocal ulcerative stenosing enteritis (CMUSE) is a rare and underrecognized small bowel disorder that often mimics Crohn's disease, leading to delays in diagnosis and misdirected treatment. Given its relapsing nature and resistance to conventional inflammatory bowel disease (IBD) therapies, CMUSE presents significant diagnostic and therapeutic challenges.

Case presentation: We present the case of a 41-year-old male with chronic anemia, fatigue, weight loss, and intermittent abdominal pain with melena, who remained undiagnosed for 9 years despite extensive evaluations. Imaging and endoscopy failed to identify a definitive cause, and management with TNF inhibitors and IL-12/IL-23 blockade provided only temporary relief. The patient required multiple surgical resections due to recurrent strictures. Pathological examination consistently revealed multifocal jejunal ulceration with stenosis but lacked granulomas, vasculitis, or systemic inflammatory markers, ultimately confirming CMUSE. Given its distinct pathology and treatment resistance, differentiating CMUSE from Crohn's disease is essential. The patient's ongoing management includes upadacitinib, a JAK1 inhibitor, which may help modulate immune pathways contributing to ulcer formation and stricture development.

Conclusion: This case underscores the need for heightened clinical recognition of CMUSE, particularly in patients with unexplained small bowel strictures and ulceration unresponsive to standard IBD therapies. Genetic testing may aid in distinguishing CMUSE from Crohn's disease, preventing unnecessary immunosuppressive treatments. Further research is necessary to establish effective, targeted therapies and improve outcomes for patients with this rare condition.

求助全文
通过发布文献求助,成功后即可免费获取论文全文。 去求助
来源期刊
Case Reports in Gastroenterology
Case Reports in Gastroenterology Medicine-Gastroenterology
CiteScore
1.10
自引率
0.00%
发文量
99
审稿时长
7 weeks
期刊介绍:
×
引用
GB/T 7714-2015
复制
MLA
复制
APA
复制
导出至
BibTeX EndNote RefMan NoteFirst NoteExpress
×
提示
您的信息不完整,为了账户安全,请先补充。
现在去补充
×
提示
您因"违规操作"
具体请查看互助需知
我知道了
×
提示
确定
请完成安全验证×
copy
已复制链接
快去分享给好友吧!
我知道了
右上角分享
点击右上角分享
0
联系我们:info@booksci.cn Book学术提供免费学术资源搜索服务,方便国内外学者检索中英文文献。致力于提供最便捷和优质的服务体验。 Copyright © 2023 布克学术 All rights reserved.
京ICP备2023020795号-1
ghs 京公网安备 11010802042870号
Book学术文献互助
Book学术文献互助群
群 号:604180095
Book学术官方微信